肝脏CT分段
肝脏从表面划分的左叶、右叶、方叶和尾叶没有真正反映其内部管道系统的构造特征,因而不适应肝脏外科进行部分肝切除的需要。CT医师对病灶的准确分段,对外科医师有很大的帮助。 医学百科网 | YxBaike.Com
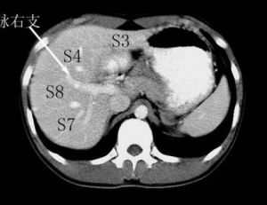
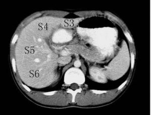
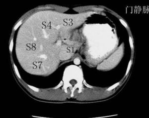
根据格利森系统的分布,将肝脏分为左、右两个半肝,再进一步分为8段(奎纳德分类): I段:尾状叶。 Ⅱ段:相当于左外叶上段。 Ⅲ段:左外叶下段。 Ⅳ段左内叶。 Ⅴ段:右前叶下段。 Ⅵ段:右后叶下段。 Ⅶ段:右后叶上段。 Ⅷ段:右前叶上段。肝脏的分段主要是根据肝内的管道系统而命名。门静脉、肝动脉、肝胆管三者伴行包裹在同一Glisson鞘内,故称为Glisson系统或门脉系统。据门脉系统分布所作的肝脏分段,称为门脉肝段。肝静脉与门静脉呈插指状的关系,按照肝静脉引流区域所作的分段,称为静脉肝段。由于肝内胆管是与肝内门静脉伴行,故在肝胆管外科中均采用门脉肝段的命名。 医学百科网 | YxBaike.Com
Couinaud根据门脉系统肝段按顺时针方向标以罗马数字从ⅠⅡⅢⅣⅤⅥⅧ,其中左内叶及尾状叶不再分段。 肝脏分8个段,主要被肝静脉系统和门静脉系统分割。肝中静脉将肝分成左右两叶。肝右静脉分肝右叶为右前、右后两部分。肝左静脉分肝左叶为左内叶、左外叶。门静脉系统走行于肝段内。Ⅰ段为尾状叶,CT示在门、腔静脉之间,Ⅱ段(靠上)与Ⅲ段(靠下)构成左外叶,Ⅳ段为方叶,也是左内叶,Ⅴ段(靠下)与Ⅷ(靠上)段构成肝右前叶,Ⅵ段(靠下)与Ⅶ段(靠上)构成肝右后叶。至于Ⅱ段与Ⅲ段、Ⅴ段与Ⅷ段、Ⅵ段与Ⅶ段分界,粗略方法以肝内门静脉分支或肝门平面为分界标志,出现以上平面所显示的是靠上方的,Ⅱ段、Ⅶ段、Ⅷ段,以下层面就是Ⅲ段、Ⅴ段、Ⅵ段。Ⅴ段与Ⅵ段、Ⅶ段与Ⅷ段之间以肝右静脉分界。影像学上横断面上以肝静脉为界,2,3;5,8;6,7 的分界大约门静脉左右分支平面。 医学百科网 | YxBaike.Com
1、肝脏分段的意义:可以了解病灶所处位置,尤其对于肝脏恶性肿瘤患者,从而指导治疗。肝脏的分段和肝脏的解剖密切相关,了解了肝脏的解剖并且应用到影像学的分析中去,也就可以熟练的了解肝脏的分段了。 2、分段主要依靠CT。 CT:首先找出肝脏的三大静脉:肝中静脉,肝左静脉,肝右静脉;找出门静脉及其分叉部位。门静脉分叉可以区分上段和下段,即肝S5/S8,S6/S7,门静脉分叉以上为S8,S7;肝右静脉和肝中静脉之间是右前叶,肝右静脉以后是右后叶;一般规律,从CT上看,最先看到的是S8,然后是S2、3,肝左外叶以肝裂为界,比较容易辨认,左内叶为肝裂和肝中静脉之间区域,胆囊往下的层次是S5,最后的层面一般是肝S6,下腔静脉和门静脉夹着的是尾状叶,即S1。
医学百科网 | YxBaike.Com
医学百科网 | YxBaike.Com
医学百科网 | YxBaike.Com
医学百科网 | YxBaike.Com
医学百科网 | YxBaike.Com
医学百科网 | YxBaike.Com
医学百科网 | YxBaike.Com
医学百科网 | YxBaike.Com
医学百科网 | YxBaike.Com
医学百科网 | YxBaike.Com
医学百科网 | YxBaike.Com
医学百科网 | YxBaike.Com
医学百科网 | YxBaike.Com
医学百科网 | YxBaike.Com
医学百科网 | YxBaike.Com
医学百科网 | YxBaike.Com
医学百科网 | YxBaike.Com
医学百科网 | YxBaike.Com
医学百科网 | YxBaike.Com
附件列表
词条内容仅供参考,如果您需要解决具体问题,请遵医嘱或咨询医师。
本站词条内容如果涉嫌侵权,请与客服联系,我们将及时进行处理。如需转载,请注明来源于www.yxbaike.com
如果您认为本词条还有待完善,请 编辑
上一篇 乳腺癌的TNM分类及分期 下一篇 门静脉高压症










