腹壁硬纤维瘤
腹壁硬纤维瘤(desmoid of abdominal wall)是好发于腹壁肌层和筋膜鞘的纤维瘤,故又称腹壁韧带样纤维瘤、带状瘤、纤维瘤病。因该瘤生长具有侵袭性、易复发性和局部破坏性,亦称侵袭性纤维瘤病、纤维组织瘤样增生、腹壁复发性纤维样瘤和腹壁成纤维瘤等。
(一)发病原因 医学百科网 | YxBaike.Com
本病发病原因尚不十分明了,可能与下述因素有关。
1.腹壁损伤 国内外大多数学者认为腹壁损伤是导致本病的主要因素之一。笔者统计近年来国内5组175例腹壁硬纤维瘤,其中有妊娠、分娩史者152例(86.9%),有手术和伤史者35例(24.8%)。腹壁损伤导致发生硬纤维瘤的机制不清,可能与肌纤维破坏、局部出血、血肿修复过程中发生异常增生有关,也有学者认为与肌肉纤维破坏引起的自身免疫反应有关。但损伤因素不能解释男性、无妊娠生育、无手术史或外伤史的病人发生腹壁硬纤维瘤的病因。腹壁损伤的常见原因有:
(1)手术:手术直接切断腹壁肌肉或分离牵拉导致肌肉撕裂出血。 医学百科网 | YxBaike.Com
(2)腹部钝挫伤:造成肌纤维破坏,局部出血或形成血肿。 医学百科网 | YxBaike.Com
(3)妊娠:因腹肌长期受到过度牵拉可造成腹壁慢性损伤,分娩时腹肌持续而剧烈地收缩,可造成肌纤维破坏、断裂和肌纤维间出血。
2.内分泌失调 近年的临床观察和实验表明,本病可能与女性激素平衡失调有关。其依据为:
(1)本病多见于18~36岁生育期的女性,常在分娩后数年发生,绝经后发病者少。 医学百科网 | YxBaike.Com
(2)本病经卵巢放疗去势或者进入绝经期后,肿瘤有逐渐自行消退的特点。 医学百科网 | YxBaike.Com
(3)少数病例应用雌激素受体拮抗剂(如他莫昔芬)治疗有一定疗效。 医学百科网 | YxBaike.Com
(4)动物实验证明,雌激素可诱发此瘤的形成。Brasfield等在大白兔的腹壁肌层内多次注射雌激素,结果导致了试验动物腹壁硬纤维瘤的发生,应用睾酮、孕酮可抑制肿瘤的发展。
(5)硬纤维瘤的标本中可检测到雌激素受体。 医学百科网 | YxBaike.Com
3.遗传因素 早在1923年Nichols就发现家族性腺瘤样息肉病(familial adenomatoid polyposis)的患者易患硬纤维瘤,Hizawa等报道在诊断为家族性腺瘤样息肉病的49例患者中,有6例确诊合并侵袭性纤维瘤病。另有统计结果显示,家族性腺瘤样息肉病患者硬纤维瘤发生率高达8%~38%,高于正常人群8~52倍。鉴于本病常同时伴有家族性腺瘤样息肉病,而且自新生儿期就可发病或同胞同患本病等情况,有学者提出硬纤维瘤的发病可能与遗传有关。 医学百科网 | YxBaike.Com
近年来国内外学者研究发现,在一些散发和与家族性腺瘤样息肉病有关的硬纤维瘤中,瘤组织内可检测到APC基因的5q缺失、第15外显子发生突变等异常。现已知APC基因能调节B链蛋白的表达,而后者则是细胞膜具有黏附连接功能的蛋白成员,并且作为Wingless信号传导的中介体在细胞核内与转录因子结合、激活基因转录。WntAPC-β链蛋白通路中两中介体突变显示,β链蛋白的稳定在硬纤维瘤的发病中起关键作用。实验发现,切断APC基因,在其1526密码子中插入一337个碱基对的AluⅠ序列,使之突变并提高硬纤维瘤细胞β链蛋白水平,有助于硬纤维瘤细胞的增殖。另有实验发现,虽硬纤维瘤细胞内含有高水平的β-链蛋白,而β链mRNA表达水平则正常,与周围正常组织相同,提示瘤组织内β-链蛋白的降解率较正常组织减低,亦是β链蛋白水平高的重要因素之一。以上研究表明,APC基因的缺失和突变,瘤组织内β-链蛋白高水平表达和降解率减低所致的β链蛋白高水平及其在激活转录因子过程中的重要作用,在导致或促进本病发生发展中具有重要作用。 医学百科网 | YxBaike.Com
此外,通过原位杂交和免疫荧光检查发现,硬纤维瘤细胞中存有C-sis基因高表达,该基因能促进血小板衍生性生长因子R的产生,而血小板衍生性生长因子R则具有促进硬纤维瘤细胞及其周围纤维细胞有丝分裂的作用。
医学百科网 | YxBaike.Com
(二)发病机制 医学百科网 | YxBaike.Com
组织病理示硬纤维瘤大小不等,没有包膜,边缘不规则,向周围组织呈浸润性生长而界限不清,常为“分叶”状的肿块。切面质地韧如橡皮,呈灰白色,纤维束呈编织条索状排列,侵犯周围组织(如肌肉、脂肪)。被侵犯的肌肉可出现萎缩变性。瘤组织可浸润血管、神经并破坏这些组织。偶见恶变为低度恶性的纤维肉瘤。
镜下所见:肿瘤由分化良好的成纤维细胞增生和胶原纤维构成,成纤维细胞及纤维之间往往呈波浪状交错排列,胶原纤维穿插于细胞之间。不同肿瘤或同一肿瘤的不同区域细胞与纤维比例差异很大,有的纤维少而胶原多,有的细胞多而胶原少,但其量比分化好的纤维肉瘤多。增生的成纤维细胞较肥大,淡染,境界清楚,呈束状排列,无异型性;细胞核呈长形,染色质呈点彩状,有小核仁,可见核分裂象,但无病理性核分裂象(图1)。 医学百科网 | YxBaike.Com
医学百科网 | YxBaike.Com

医学百科网 | YxBaike.Com
部分病例可见瘤组织与周围肌肉组织粘连,有的细胞生长较活跃,有的呈玻璃样变,有的位于脂肪及肌肉间呈侵袭性生长,肌纤维组织被分隔成小岛状,发生萎缩变性,并可见多核的肌肉巨细胞。
医学百科网 | YxBaike.Com
1.症状 腹壁韧带样纤维瘤多生长缓慢,病程较长并且多无明显症状,少数伴有局部隐痛或偶有不适感,常为偶然发现的腹壁肿块。由于腹壁韧带样纤维瘤的生长受腹肌及筋膜的限制,肿瘤的长径多在5cm以内,而腹壁外其他部位的韧带样纤维瘤因无上述解剖特点的限制,可长成巨大肿块。在育龄期妇女的肿瘤生长较快,绝经前后肿瘤的生长速度. 医学百科网 | YxBaike.Com
2.体征 为腹壁的硬性肿块,边界常不很清楚,与腹肌纤维方向一致。当腹壁肌肉收缩时,肿块固定而不能移动;腹壁肌肉松弛后,肿瘤可随腹壁推动。 医学百科网 | YxBaike.Com
晚期肿瘤向四周呈片状浸润生长,发展成巨大腹壁硬纤维瘤,可造成大片腹壁僵硬。
本病诊断并不困难,对于有腹壁质硬、边缘不太清楚的圆形或椭圆形肿块的病人,结合如下几点即可确诊。 医学百科网 | YxBaike.Com
1.既往有妊娠生育史、腹部手术史及腹部外伤史。
2.有多发性结肠息肉病家族史或有Gardner综合征。 医学百科网 | YxBaike.Com
3.无转移征象,但有局部切除后多次复发史。
医学百科网 | YxBaike.Com
4.腹壁,尤其是下腹壁有缓慢生长的无痛性或轻微疼痛肿块,呈椭圆形或长条形,质硬,固定,边界不清楚,多数无压痛,Bouchocoun征阴性(阳性可以确定为腹壁内肿块)。 医学百科网 | YxBaike.Com
5.浸润性生长侵及腹腔内肠管或膀胱并产生相应的不完全肠梗阻或尿频、尿急等症状。 医学百科网 | YxBaike.Com
6.B超、CT或MRI显示腹壁内有占位病变和浸润周围组织的图像。 医学百科网 | YxBaike.Com
7.病理检查显示肿瘤中成纤维细胞增生,成纤维细胞周围有大量胶原基质,其中细胞数量较多,成纤维细胞常侵犯邻近正常结构。成纤维细胞无异型性,无病理性核分裂象。
医学百科网 | YxBaike.Com
医学百科网 | YxBaike.Com

医学百科网 | YxBaike.Com
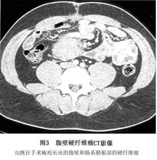
2.CT扫描 硬纤维瘤在CT上大部分呈边界清楚、密度均匀的软组织肿块。但病变小时往往边界不清晰,病变大时一组肌肉已被肿瘤“蚕食”,周围有皮下脂肪相衬,多显示边界比较清晰。肿瘤平扫呈均匀等密度。增强扫描较平扫能更好显示肿瘤边界,边界极不规则,呈浸润状,肿瘤呈爪样蚕食正常肌肉(图3)。
医学百科网 | YxBaike.Com

医学百科网 | YxBaike.Com
增强扫描时与肌肉比较:肿瘤较大时,病灶密度略高或等肌肉密度中有小梁状、条状或呈偏心的较大圆形低密度改变分散其间,小梁状或条状与原肌纤维走向一致;如果肿瘤较小,组织学显示肿瘤组织间仍有一定量的正常肌肉组织,但不足以在影像上表现出来,因而CT扫描呈均匀等密度或略高密度。亦有极少文献报道硬纤维瘤可见钙化、软骨化或骨化。但有学者认为,腹壁硬纤维瘤多较小,平扫与增强多呈均匀的等密度,仅表现局部肌肉略肿胀,脂肪间隙模糊;因腹壁肌群少而薄,爪样浸润及肿瘤中偏心的多个低密度改变这两个特征的征象常常不能表现出来,须结合临床考虑。
3.MRI 与CT相比,MRI较能更精确地显示出病灶的部位、范围和形态、病灶边缘的爪状浸润,以及是否有包膜。亦可较清楚地显示出病灶内是否有脂肪组织,病灶周围是否有水肿区。腹壁硬纤维瘤主要由成束状交织的梭形成纤维细胞和不等量的致密胶原组织构成,不同的病例、同一病灶内不同部位,梭形成纤维细胞和胶原组织的比例有所不同,MRI多序列的扫描程序可真实地反映病灶的组织学构成。因病灶内成纤维细胞和胶原组织比例的不同可使信号发生改变,以细胞为主而胶原成分少的病灶在T1加权像上与肌肉相比可呈低信号,在T2加权像上呈高信号;以胶原成分为主而细胞成分少的病灶在T1加权像和T2加权像上则均呈略低信号。在同一病例中,由于病灶周边常以胶原成分为主,中央以细胞成分为主,故在T2加权像上周边信号低于中央区;浸润性生长或复发的病灶其细胞成分常常多于胶原成分。也有作者认为,病程长者由于肿瘤本能的皱缩,胶原成分增多而信号降低。 医学百科网 | YxBaike.Com
本病MRI表现为肌肉内占位病变、相对均质、无坏死、无钙化、无脂肪组织。病灶在T1加权像上呈低信号或等信号,T2加权像病灶均呈高信号,信号强度略低于皮下脂肪。有的病灶内可见到小条状低信号区,与肌肉信号一致,系残存的肌肉岛所致。增强后病灶明显强化,而残存的肌肉岛无强化。 医学百科网 | YxBaike.Com
腹壁硬纤维瘤呈浸润性生长,当其侵及腹腔内肠管或膀胱时可发生不完全性肠梗阻或出现膀胱刺激症状。 医学百科网 | YxBaike.Com
腹壁硬纤维瘤呈浸润性生长,当其侵及腹腔内肠管或膀胱时可发生不完全性肠梗阻或出现膀胱刺激症状。 医学百科网 | YxBaike.Com
腹壁硬纤维瘤不转移,但易复发。据报道,复发率可高达50%~66.8%,而且主要在18~30岁这一年龄阶段。Plukker等认为,肿瘤的复发与手术切除范围和肿瘤大小有关,肿瘤愈大愈容易复发,肿瘤大于10cm的病例术后复发率最高。少数腹壁硬纤维瘤在外科切除不彻底的情况下可长期存在而不生长。但有学者报道,反复复发、多次手术可能导致肿瘤转移。 医学百科网 | YxBaike.Com
该肿瘤有自行性消退可能,甚至个别巨大腹壁硬纤维瘤不予任何治疗可自然退缩或消失。
医学百科网 | YxBaike.Com
有学者认为腹壁韧带样纤维瘤在月经初期或绝经后有自行消退的可能,故可作短期观察。除此之外,手术切除肿瘤是惟一的治疗手段。
医学百科网 | YxBaike.Com
1.手术切除
医学百科网 | YxBaike.Com
(1)肿瘤局部切除术:单纯局部切除肿瘤,其局部复发率可高达70%。早在1889年Douffier就提倡对腹壁硬纤维瘤行广泛彻底切除。 医学百科网 | YxBaike.Com
(2)肿瘤大块切除术:一股要求切除范围至少包括肿瘤周围3cm以上的正常组织,同时切除腹膜,此对防止术后复发极为重要。腹壁缺损可用人工合成补片如MarlexMesh、聚丙烯或聚四氟乙烯补片等予以修复,疗效较好。
医学百科网 | YxBaike.Com
(3)为明确肿瘤性质及切除范围,防止病灶残留,术中常规冰冻切片。对于较大肿瘤或腹壁巨大硬纤维瘤,应在切缘做多处冰冻切片,尤其是纵轴方向切缘,确认无瘤体组织残留后方可关闭切口。 医学百科网 | YxBaike.Com
2.放射治疗 无论单独放疗还是作为手术的辅助治疗,都是治疗腹壁硬纤维瘤的有效方法。为减少复发,放疗可以作为较大肿瘤手术前后的辅助治疗,或作为手术切除范围不足、肿瘤无法切除时的一种补救方法。对于切除边缘阴性的病人,不主张行放疗。放疗的剂量为50~60Gy,一般主张,切除边缘阳性病人术后需接受50Gy的放疗,不能切除的肿瘤用约56Gy剂量照射,75%的病人病情可以得到控制。放射剂量与并发症的发生相关,用56Gy或更少的剂量时,15年有5%的病人有并发症发生,更大剂量将有30%的病人发生并发症。
3.内分泌治疗 基础研究发现雌激素与腹壁硬纤维瘤生长有密切关系,因而近年来一些学者主张采用内分泌治疗。Wilcken等报道内分泌治疗对单发的肿瘤有效率为60%。对切除标本雌激素受体阳性的患者,可首选他莫昔芬,二线药物可选择黄体生成素释放激素(luteinizing hormone releasing hormone),二者联合使用有效率达50%。也有应用黄体酮、睾酮及泼尼松(强的松)治疗有成功的病例报道。但有人认为,内分泌治疗的确切作用尚不肯定,仍需进一步观察、研究。
4.辅助性化疗 化疗适用于肿瘤肉眼残留、疾病进行性发展、手术和放射治疗失败的年轻人和儿童患者,可能有助于降低局部复发率及有效地控制病情进展。常用化疗药物有长春新碱(vincristine,VCR)、甲氨蝶呤(MTX)、多柔比星(ADM,阿霉素)和放线菌素D(actinomycin D,更生霉素)等。最有效的治疗方案是长春新碱和甲氨蝶呤,毒副作用尚可接受,应持续治疗至少20周。 医学百科网 | YxBaike.Com
其他药物还有环磷腺苷调节剂(如茶碱、氯噻嗪、维生素C等)、非甾体类抗炎药物(如吲哚美辛)等。 医学百科网 | YxBaike.Com
附件列表
词条内容仅供参考,如果您需要解决具体问题,请遵医嘱或咨询医师。
本站词条内容如果涉嫌侵权,请与客服联系,我们将及时进行处理。如需转载,请注明来源于www.yxbaike.com
