新型冠状病毒肺炎肺部CT表现
目前新型冠状病毒引起的肺炎波及范围很大,每天新增病例很多,人们普遍心怀恐惧,那我们就看看它的危害在哪里?
医学百科网 | YxBaike.Com
顾名思义,既然叫肺炎,当然肺部是它攻击的靶器官
“防控新冠肺炎做到“四早”:发热干咳早发现,尽快就医早诊断,疑似人员早隔离,确诊患者早治疗。(省新冠肺炎防控指挥部)”
医学百科网 | YxBaike.Com
以下图片是不同阶段疑似病例的肺部CT平扫,可以领略一下它的真实面目
医学百科网 | YxBaike.Com
患者出现持续不改善的发热,咳嗽,不明原因乏力时,CT常常会有阳性发现,早期肺部表现多样 医学百科网 | YxBaike.Com
比如图1 左肺内箭头所指为 实变结节影
医学百科网 | YxBaike.Com
医学百科网 | YxBaike.Com
可以表现为 图2 中箭头所指的 中央实变周围磨玻璃 医学百科网 | YxBaike.Com
医学百科网 | YxBaike.Com
随着病情发展,实变区域开始吸收,密度减低,逐渐成为磨玻璃密度影,就像一颗糖融化了,比如图3 医学百科网 | YxBaike.Com
医学百科网 | YxBaike.Com
根据病情的发展,这种磨玻璃影可以累及一个肺叶,比如图4
医学百科网 | YxBaike.Com
医学百科网 | YxBaike.Com
也可同时累及多个肺叶,比如图5、 图6、图7
医学百科网 | YxBaike.Com
医学百科网 | YxBaike.Com
医学百科网 | YxBaike.Com
累及单个或两个肺叶的往往肺功能影响不严重,气促、呼吸困难不明显,多以发热,咳嗽,乏力为主诉,也就是传说中的“轻症“ 医学百科网 | YxBaike.Com
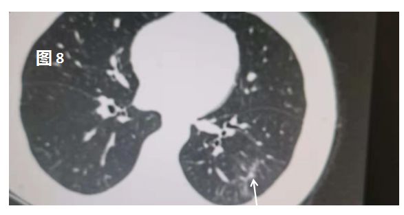
随着病情发展,实变区域开始吸收,密度减低,逐渐成为磨玻璃密度影,就像一颗糖 融化了,有效的治疗或机体的免疫力可以逐步战胜病毒,炎症会进一步吸收,范围逐步缩小,或许会留下纤维条索灶。这对于患者而言,可能真的就和得了一场流感差不多。比如图8
医学百科网 | YxBaike.Com
医学百科网 | YxBaike.Com
真正危及生命的是进展到“白肺“(图9),这只见于极少数累及多个肺叶,肺泡损伤弥漫的患者,此时严重影响肺换气,需要持续吸氧,呼吸机,甚至ECMO(体外膜肺氧合)
医学百科网 | YxBaike.Com
当影像学出现阳性表现时,患者早就有了传染性,所以早诊断的意义在于及时控制病变范围,使自己成为一个轻症者
医学百科网 | YxBaike.Com
在积极治疗的同时,与周围易感人群及时隔离十分关键,当前每个人的周围应该都是自己的亲人,保护亲人,人人有责啊! 医学百科网 | YxBaike.Com
而与感染者密切接触过的人,也宁可矫枉过正隔离14天,如此方能让自己成为一个合格无污染的自然人。
医学百科网 | YxBaike.Com
这里可以看到,一个感染者影响到的是周围一群人。为什么当前全国各地对湖北人如此警惕和防范,原因即在此,不是歧视,是不能再出现一个个的武汉!
你明白了为什么我们说一定能战胜病毒疫情的道理吗?如果每一个人自觉保护好自己,同时确保自己不会影响到他人,病毒就无处藏身,“一米之内无安全” 医学百科网 | YxBaike.Com
医务工作者治的还是“标“,每一个武汉人才是“本“。它并不可怕,可怕的是我们的心理,让我们齐心协力,继续加油! 医学百科网 | YxBaike.Com
附件列表
词条内容仅供参考,如果您需要解决具体问题,请遵医嘱或咨询医师。
本站词条内容如果涉嫌侵权,请与客服联系,我们将及时进行处理。如需转载,请注明来源于www.yxbaike.com
如果您认为本词条还有待完善,请 编辑
上一篇 尺侧伸腕肌 下一篇 新型冠状病毒感染肺炎影像学表现
