“卫星征” 的影像表现与临床意义
卫星征
医学百科网 | YxBaike.Com
英文:satellite focus。 医学百科网 | YxBaike.Com
卫星灶为肺内结节病灶周围的斑点状阴影。
一、X线表现
医学百科网 | YxBaike.Com
见图1。
医学百科网 | YxBaike.Com
医学百科网 | YxBaike.Com
图1示右上肺病灶周围多发斑点状结节影及纤维条索状阴影
医学百科网 | YxBaike.Com
二、CT表现
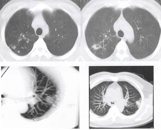
见图2。
医学百科网 | YxBaike.Com
医学百科网 | YxBaike.Com
图2肿块及空洞周围多发斑点状结节影 医学百科网 | YxBaike.Com
卫星灶其病理基础可能为结核结节周围播散灶及纤维增生灶,表现为无规律分布于结核球周围密度较高的斑点状或小条索状影,现普遍认为卫星灶是结核球的特征性表现,但要与炎性结节周围炎性反应形成的无规律分布的密度较淡的细小点片絮状影识别。
医学百科网 | YxBaike.Com
医学百科网 | YxBaike.Com
卫星灶对于判断结节阴影的良恶性性质上具有重要参考价值。卫星灶多见于肺结核球,周围型肺癌很少在肿块影周围出现卫星灶。 医学百科网 | YxBaike.Com
单世民等对162例经临床和病理证实的无症状肺部块影的研究,其中恶性肿瘤100例, 无一例发现卫星灶,良性结节62例,7例发现卫星灶。研究表明,棘突征、空泡征、血管集束征多见于肺癌;边缘光滑锐利、卫星灶多见于良性肿块,经统计学处理差异具有显著 性,对肺部块影的定性诊断具有重要价值。而分叶征、毛刺征、胸膜凹陷征经统计学处理, 良恶性无显著差异。 医学百科网 | YxBaike.Com
马俊对21例经手术病理证实的肺及胸膜炎性假瘤分析的CT片进行回顾性分析,21例 主要CT表现:全部为孤立性病变,无卫星灶;均见胸膜反应;6例典型表现为边缘清晰、 光整、锐利、内部密度均匀;其余15例分别表现为分叶状、边缘毛糙不规则、毛刺、密度 不均、增强或不增强、空洞、钙化,具有上述一种或几种改变。 医学百科网 | YxBaike.Com
魏永祥等对54例经临床和病理确诊的肺结核球的影像学分析,卫星灶征37例 占 68. 5%。 医学百科网 | YxBaike.Com
符正秀等搜集经手术病理证实的肺孤立性球形病变40例,对其X线表现进行回顾性分 析发现,深分叶、毛刺征、胸膜凹陷征、聚束征为肺癌常见X线表现;环形、成层钙化及 周围“卫星灶”,为结核球X线特征;肺炎性假瘤常位于肺的边缘部胸膜下,以广基底贴于 胸膜,引起邻近胸膜粘连增厚。 医学百科网 | YxBaike.Com
黄鸿源等对16例经病理证实的肺炎性假瘤回顾性分析其CT表现,病变呈椭圆形4例, 三角形或不规则形4例,可见锯齿状或分叶7例;靠近胸膜的病灶,其两侧缘垂直于胸膜呈 刀切样平直边缘5例;病变中央密度高、边缘低,呈“晕圈样”改变7例;5例可见支气管充气征;病灶周围,胸膜反应显著,广泛增厚10例;“卫星灶” 6例;胸膜凹陷3例;病变 周围血管纹理增多,增粗9例。
医学百科网 | YxBaike.Com
彭光明等对97个恶性结节的分析,腺癌和鳞癌各27个,细支气管肺泡癌29个,小细 胞癌和类癌各3个,大细胞癌2个,转移瘤6个,无一例发现卫星灶。而24例结核瘤周围 46%发现卫星灶。经统计学处理表明,分叶、毛刺、血管连接、泡样征及空气支气管征与恶性结节显著相关,而卫星灶、钙化、边缘光滑及密度均匀与结核瘤显著相关,以上几个参数 在恶性结节与结核瘤之间有显著性差异。 医学百科网 | YxBaike.Com
邱伟江等对40例孤立性肺结节的影像(X线、CT)表现分析,包括23例周围型肺癌, 10例结核球,4例球形肺炎,以及3例错构瘤。周围型肺癌23例,主要影像学表现:18例 有分叶征,14例有毛刺征,13例有胸膜凹陷征,12例有血管集束征,4例有空气支气管征 和空泡征;结核球10例,7例结节内有钙化,3例有卫星灶;球形肺炎4例,均表现为结节 靠近胸膜生长呈中心密度高而周围密度较淡阴影;错构瘤3例,1例内部有脂肪密度,1例 内部见爆米花样钙化。 医学百科网 | YxBaike.Com
江森等对手术病理证实的12例表现为孤立性肺结节的局灶性机化性肺炎的CT表现的 分析结果显示:10例病灶邻近胸膜,其中8例合并相邻胸膜增厚粘连,6例位于各胸膜交界 区。病灶边缘光整3例,毛糙9例,边缘有粗长毛刺征2例,细短毛刺征5例,分叶征3 例,血管纠集征4例,棘状突起征2例;7例病灶内密度均匀,支气管空气征2例,空泡征 1例,病灶内液化2例;强化明显6例;病灶周缘肺内渗出灶3例,卫星灶1例;病灶同侧 少量胸腔积液3例。
赵永生等对115例经手术病理证实的肺结核的X线进行分析:肿块内内钙化为58例, 占50. 43%,其中有27例合并有卫星灶和空洞。钙化呈小点状,条或片状弧形、成层钙化 等。肿块周围有卫星灶者57例,占49. 6%左右,其中钙化、空洞、卫星灶并存者35例, 仅22例单独有卫星灶。肿块内形成空洞为19例,其中钙化、卫星灶、空洞并存者为11例, 仅有空洞8例。
附件列表
词条内容仅供参考,如果您需要解决具体问题,请遵医嘱或咨询医师。
本站词条内容如果涉嫌侵权,请与客服联系,我们将及时进行处理。如需转载,请注明来源于www.yxbaike.com
如果您认为本词条还有待完善,请 编辑
上一篇 “毛刺征” 的影像表现与临床意义 下一篇 “分叶征” 的影像表现与临床意义
