“空气支气管征” 的影像表现与临床意义
英文:air bronchogram sign。
医学百科网 | YxBaike.Com
又名:支气管气象,支气管充气征,支气管含气显影,空气支气管像。 在病变的肺组织区域中见到透亮的支气管影,称之为空气支气管征。
医学百科网 | YxBaike.Com
医学百科网 | YxBaike.Com
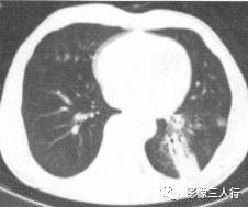
由于实变的肺组织与含气的支气管相衬托,在实变区中可见透明的支气管影即空气 支气管征,临床常见于大叶性肺炎的实变期,包括红色肝样变及灰色肝样变期,表现为密度均匀的致密影内可见透明的支气管影(图1)。这一征象被认为是肺泡炎性病变的有力证据。
医学百科网 | YxBaike.Com
二、CT表现 医学百科网 | YxBaike.Com
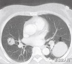
胸部CT图像显示,在含气少的致密肺的背景上见到含气的支气管,表现为两种形态: ①在大片肺实变病灶内的细条状空气密度影;②直径Imm的小泡状空气密度影,连续的几 个层面都能出现(图2、图3)。该征象表明:①近侧气道通畅;②肺泡内的空气经吸收(肺不张)或取代(肺炎、肺癌),或两者综合而消失。通畅含气的支气管在肺泡实变高 密度区内表现为管腔内低密度充气轮廓。 医学百科网 | YxBaike.Com
医学百科网 | YxBaike.Com
空气支气管征,从支气管改变的部位基本可以分为两类,一是支气管本身如管腔、 管壁的局部改变;二是支气管树形态、走行的整体改变。管腔若有变化,不外乎扩张、 狭窄和闭塞或者合并存在;支气管管壁的改变,表现为管壁毛糙。小分支由于管腔细 小,容易被分泌物或肿瘤组织等充填而在影像上表现为闭塞,此时支气管树的形态自 然也会发生相应改变;肺不张时由于肺体积的缩小,支气管及其分支会产生聚拢现象; 肺部的多种病变均会对所属的支气管产生牵拉力,引起支气管走行的改变,同时造成 支气管树的形态改变;在综合分析充气支气管的改变时,发现多种征象之间存在着一 定的相关性,如支气管走行柔软时,通常其管腔很少改变,其管壁也很光整;而当管 腔既有狭窄又有扩张时,支气管的走行很僵直;这种相关性是空气支气管征的分型基 础,通常把空气支气管征分为四型。
①Ⅰ型为青枝型:表现为管腔未见明显改变,管壁光整,分支完整,走行柔软自然, 整个支气管树柔软状如青树,名为青枝型。常见于大叶性肺炎、肺水肿等急性渗出性病变。 其病理变化主要在肺泡,并不侵犯支气管,同时,急性渗出性病变病程相对较短,以渗出为 主,此时肺实质的变化对支气管的影响较小,基本不足以引起其病变范围内支气管的形态和 走行的改变。 医学百科网 | YxBaike.Com
②Ⅱ型为扩张型:显示的充气支气管管腔以扩张为主。
医学百科网 | YxBaike.Com
③Ⅲ型为枯枝型:显示支气管管腔狭窄与扩张并存,小分支残缺而使支气管树形态 不完整,支气管走行僵直,状如枯枝,名为枯枝型。该征象是肺泡癌的特征性表现。在 肺大片实变阴影中,有较大的充气支气管影像,而较小的支气管不显影,支气管管壁不 规整,凹凸不平,广泛性狭窄、僵硬、扭曲,该征和肺炎中的充气支气管不同的是小支 气管不显影,充气的大支气管管壁不规整,凹凸不平,广泛性狭窄、僵硬、扭曲,走行 不自然。
④Ⅳ型为复合型:支气管充气征与支气管黏液征并存。 医学百科网 | YxBaike.Com
不过四型之间没有截然的分界,其与疾病之间也不是完全对应,例如大叶性肺炎的支气 管充气征,起初支气管显示管壁毛糙,但在随后的复查中病灶完全消散,可能为少量分泌液 附着于支气管壁,未完全排出所致。但详细分析各型支气管充气征,对病变的鉴别诊断有一 定的价值。 医学百科网 | YxBaike.Com
一、肺炎症性疾病
医学百科网 | YxBaike.Com
空气支气管征内支气管壁柔软,无僵硬感,分支自然,支气管径由粗变细。以工型 常见。
医学百科网 | YxBaike.Com
1.大叶性肺炎 医学百科网 | YxBaike.Com
胸部影像常呈肺段或肺叶急性炎性实变。影像实变期表现为密度均匀的致密影,在实变 区中可见空气支气管征。其病理基础是由于广泛的肺泡腔内炎性渗出,肺充气明显减少,使 正常充气的各级支气管与实变的肺泡构成鲜明的对比,形成支气管充气征。见图4至图6。
医学百科网 | YxBaike.Com
医学百科网 | YxBaike.Com
医学百科网 | YxBaike.Com
医学百科网 | YxBaike.Com
2.球性肺炎 医学百科网 | YxBaike.Com
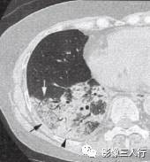
急性肺炎呈球形肿块形态是一种少见的特殊表现,可由细菌或病毒感染引起。影像表现 为球形或卵圆形阴影,密度较淡,较同体积的肺癌或结核瘤为低,部分病灶内可见空气支气 管征象,病理基础为炎性渗出和水肿液经肺泡小孔直接向邻近肺泡离心性扩散蔓延,肺泡腔 被炎性渗出和水肿液填充,肺充气明显减少所致。见图7。
医学百科网 | YxBaike.Com
医学百科网 | YxBaike.Com
3.真菌性肺炎 医学百科网 | YxBaike.Com
真菌性肺炎可表现为炎性病变,小斑点或结节状及实变阴影,内可见空气支气管征象, 不同的类型其病理机制不同,但最终都因导致肺泡萎陷或肺泡腔被炎性渗出和水肿液填充, 肺充气明显减少所致。见图8。 医学百科网 | YxBaike.Com
医学百科网 | YxBaike.Com
4.非典型肺炎
非典型肺炎的CT征象特点:分布不均匀、形态不同、大小不一的肺实变是本组 患者共同存在的基本CT表现。肺实变通常由于肺泡内充盈浆液性、渗出性或血性液 体、炎细胞或其他成分,导致肺实质弥漫性或局灶性密度增高。早期表现为边界不 清楚的0.5〜1.0cm的结节性高密度灶,随着病变的进展,融合成团块或斑片状阴 影,掩盖肺血管纹理。较大的实变影像内可见支气管分支的透亮影则为空气支气管征。见图9。
医学百科网 | YxBaike.Com
5.支气管/肺结核
支气管结核/肺结核常表现为肺段或肺叶的阴影内伴空气支气管征。支气管结核病理基础为肉芽组织沿着支气管伏壁生长,肺的支架结构未被破坏所致。肺结核病理基础为干酪样 肺炎,肺充气明显减少所致。见图10。
医学百科网 | YxBaike.Com
医学百科网 | YxBaike.Com
医学百科网 | YxBaike.Com
医学百科网 | YxBaike.Com
医学百科网 | YxBaike.Com 二、肺癌
空气支气管征内支气管管壁不规整,凹凸不平,广泛性狭窄、僵硬、扭曲。以m型 常见。
肺癌空气支气管征表现为结节内见到充气的支气管,常伴见分叶征、毛刺征、胸膜凹陷 征、空泡征。病理基础为一方面是癌细胞包围和浸润正常或异常的支气管,导致支气管出现 扭曲、扩张、变尖或中断,可为单支或多支,在走行方向上无一定的规律性;另一方面是支 气管近端癌性浸润或分泌物潴留成活瓣样通气的结果。肺癌的生长方式和肺支气管结构完整 与否是肺癌空气支气管征存在的决定性因素,据文献报道肺癌中出现空气支气管征的概率为 65%,且有此征象的肿瘤与无此征象的肿瘤相比,具有相对低度恶性的生物学行为。空气支 气管征多见于3cm以下的细支气管肺泡癌、腺癌、部分鱗癌及鳞腺混合癌。有资料显示, 直径<3mm的周围肺结节出现空气支气管征,是周围型肺癌特异性很高的征象,在肺癌诊 断中具有相当的价值。亦有资料显示,空气支气管征能进一步提示肺癌的组织类型,以腺癌 及肺泡癌多见,鳞癌相对少见,据统计,在肺癌内出现空气支气管征时,腺癌与肺泡癌的危 险度约3倍于鱗癌。见图11、图12。
医学百科网 | YxBaike.Com
医学百科网 | YxBaike.Com
医学百科网 | YxBaike.Com
三、原发性/继发性肺淋巴瘤 医学百科网 | YxBaike.Com
原发性肺淋巴瘤在影像上可呈现肺实质内或肺门旁单发的圆形、卵圆形、分叶状、密度 均匀、边缘清晰的肿块影,其内可见空气支气管征,可累及一叶或一侧肺。继发性肺淋巴瘤 肺内病变包括下面几种。①混合型:肺内病变表现形式多样,可出现多发的肿块结节、斑片 状渗出或实变影以及增粗的支气管血管束,呈两种或两种以上的混合形式存在,可见空气支气管征。见图13。②肿块(结节)型:双侧肺内散在分布的多发性肿块结节,直径在1〜 5cm,多数为类圆形,可见空气支气管征。见图14。③肺炎肺泡型:单侧或双侧肺野分 布的斑片状渗出或实变影,中心密度高,周边密度低,可见空气支气管征。见图15。 ④支气管血管淋巴管型:肺内弥漫性或节段性支气管血管束增粗。⑤粟粒型:表现为双肺弥 漫分布的针尖样大小的阴影,边界清楚,无融合。
医学百科网 | YxBaike.Com
医学百科网 | YxBaike.Com
四、急性呼吸窘迫综合征(ARDS)
医学百科网 | YxBaike.Com
见图16。 医学百科网 | YxBaike.Com
医学百科网 | YxBaike.Com
五、其他疾病 医学百科网 | YxBaike.Com
1.间质性肺疾病(ILD)
(1)特发性肺纤维化(IPF) IPF是特发性间质性肺炎中病理表现为普通型间质性肺炎的一 种类型。其CT表现为双侧肺弥漫性病变,左右可对称或不对称,以下肺的周边部为明显,IPF的病变形态多样,早期以磨玻璃样阴影为主,以下肺野周边多见,病变广泛时可累及全肺,在磨玻 璃病变的背景下,可见空气支气管征,其病理基础为肺泡炎,即肺泡上皮增生,肺泡隔轻度增厚 以及肺泡腔内浆液性渗出及淋巴细胞浸润肺间质使之增厚压迫邻近肺泡所致。见图17。 医学百科网 | YxBaike.Com
(2)结缔组织疾病相关性肺炎见图18。 医学百科网 | YxBaike.Com
(3)胺碘酮致药物性间质性肺炎见图19。
医学百科网 | YxBaike.Com
医学百科网 | YxBaike.Com
(4)特发性肺含铁血黄素沉着症(IPH)特发性肺含铁血黄素沉着症是一种少见的病 因不明的肺泡毛细血管出血性疾病,好发于婴幼儿及儿童。影像上肺内改变因肺出血反复次 数、范围和量的不同,表现亦不相同。急性肺出血期,影像学表现为两肺野透亮度普遍减 低,呈毛玻璃样改变,浸润性阴影从边缘模糊的斑点状、腺泡结节状影逐渐融合成大片云絮 状阴影,以肺门及中下肺野多见,两侧多对称分布,肺尖、肋膈角及肺底表现较轻甚至不累 及,此期可见支气管充气征。病理上为弥漫性肺泡毛细血管出血,肺泡腔及肺泡间隔内大量 红细胞及渗出液,肺泡间隔增厚,肺充气明显减少,使正常充气的各级支气管与肺泡构成鲜 明的对比所致。
医学百科网 | YxBaike.Com
(5)肺泡蛋白沉积症(PAP)肺泡蛋白沉积症是一种以肺泡与细支气管内大量沉淀的磷脂 和外结晶的蛋白类物质,肺泡无炎症或极少纤维化为特点的罕见病。肺泡蛋白沉积症HRCT表现 为两肺广泛性浸润、不同程度的肺泡实变影,气腔病变及肺间质病变并存的弥漫性磨玻璃样阴影 与相对正常组织分界清楚呈地图样,小叶间隔增厚交织成铺路石样改变,且在肺泡实变区可见空 气支气管征。病理上为肺泡内磷脂蛋白样物质充盈,肺充气明显减少所致。见图20。 医学百科网 | YxBaike.Com
医学百科网 | YxBaike.Com
(6)急性嗜酸粒细胞性肺炎见图21。 医学百科网 | YxBaike.Com
(7)结节病见图22。 医学百科网 | YxBaike.Com
医学百科网 | YxBaike.Com
2.局灶机化性肺炎(FOP) 医学百科网 | YxBaike.Com
半数FOP病灶可出现空气支气管征。HRCT可清晰显示其为条状、分叉状或连续几个 层面呈圆管、点状低密度影。病理上为病灶内纤维增生收缩引起的小支气管扩张所致。见图23。
医学百科网 | YxBaike.Com
3.肺出血-肾炎综合征 医学百科网 | YxBaike.Com
肺出血-肾炎综合征系自身免疫性疾病,是一种与抗肾小球基底膜抗体有关的n型变态 反应性疾病,其肺泡壁的基底膜与抗肾小球基底膜抗体存在交叉性抗原,故肺肾同时受累。 影像上表现为肺野密度减低,呈磨玻璃状,小片状模糊影融合成片状,病灶以间质和实质同 时受累为特征,常对称性出现以中下野为著,双肺尖及肺底很少受累,可见支气管充气征。 病理上为肺泡壁毛细血管基底膜断裂溶解及间质纤维化,肺泡腔有出血及水肿,肺充气明显 减少所致。见图24。
医学百科网 | YxBaike.Com
医学百科网 | YxBaike.Com
4.放射性肺炎
医学百科网 | YxBaike.Com
放射性肺炎是肺辐射损伤的早期表现。胸部CT上可见空气支气管征。病理上为微血管 结构损伤导致毛细血管充血和血栓形成,病变进一步发展后,富含蛋白的液体渗出血管进入 间质,并通过损伤的肺泡上皮进入肺泡,肺泡腔被大量的渗出液填充,肺充气明显减少,表现为空气支气管征,其支气管壁是光整的。见图25。 医学百科网 | YxBaike.Com
医学百科网 | YxBaike.Com
5.恶性组织细胞病 医学百科网 | YxBaike.Com
恶性组织细胞病是发生于单核-巨噬细胞系统的一种恶性肿瘤样病变,易浸润肺部, 大量恶性组织细胞不规则浸润肺组织时形成多个大小不等的结节,病变多见于双侧中下 肺,形态不一,同时呈蟹足状逐步向周围正常肺组织浸润,这些结节边缘不清,并见毛刺 形成,多个结节增大后可互相融合,结节内亦可见空气支气管征。病理上为恶性组织细胞 快速环绕浸润较粗大的支气管周围肺组织,还未能同时破坏支气管软骨所致,其支气管壁 是光整的。
医学百科网 | YxBaike.Com
指病灶内1〜2mm (或〈5mm)的点状透亮影,单个或多个,肺窗下观察为小泡状模 糊低密度灶,纵隔窗为小泡状透亮影,此征主要见于细支气管肺泡癌和腺癌,也可见于鳞 癌。其病理基础主要是尚未被肿瘤破坏、替代的肺结构支架如肺泡、扩展扭曲的未闭细支气 管等,部分是肿瘤坏死腔、含黏液的腺腔结构以及乳头状癌结构间的含气间隙。此外尚包括 未被肿瘤占据的含气肺组织及未闭合的或扩张的小支气管。而空气支气管征以厚3〜5mm 薄层CT扫描,呈以下三种形态:①气体密度小管状;②一个或两个以上层面气体密度卵圆 影;③数个相邻CT层面连续性气体密度点状影。为了避免这种征象与文献上所提的空泡征相混淆,根据CT扫描断面与支气管成角的不同,提出评价空气支气管征的标准:①小管形 气体密度影;②两个以上相邻层面见到连续性点状气体密度影;③主要以纵隔窗窗宽、窗 位条件观察;④不包括一个层面观察到直径<5mm为圆点状空泡征和与支气管走向无关的 圆点状或裂隙状空洞。 二、空洞征 为大于相应支气管管径2倍且与上下层面支气管不连续的灶内透亮影,或直径>5mm 的空气样低密度影。 医学百科网 | YxBaike.Com
三、阳性支气管征
医学百科网 | YxBaike.Com
是指直接通向肺内肿块或被包埋在肿块内的含气支气管影像。出现此征主要意味着 较大支气管与肿块相通,与空气支气管征的枯树枝征有差别。枯树枝征指的是一片肺 组织病变内一个或多个受累的支气管气相改变,而阳性支气管征指的是肺内结节内的 较大支气管受累的征象。就支气管形态改变而言,阳性支气管征针对肺内结节或肿块 而言,枯树枝征是对一片受累的肺组织而言。阳性支气管征主要反映支气管与肺内结 节或肿块侵犯肺内支气管的表现,根据病变侵犯支气管位置的不同有以下表现:①支 气管到达肿瘤边缘被截断;②支气管壁均勻或不均匀增厚,管腔规则或不规则狭窄; ③支气管深入肿瘤内部,肿瘤沿支气管管壁浸润;④支气管壁受肿瘤挤压。支气管肺癌 起源于支气管,造成支气管形态的改变,所以肺内恶性结节尤其是腺癌出现此征的概 率最大。而肺内的良性病变由于起源于肺间质或肺实质,对支气管的影响不大,所以 此征相对少见。 医学百科网 | YxBaike.Com
附件列表
词条内容仅供参考,如果您需要解决具体问题,请遵医嘱或咨询医师。
本站词条内容如果涉嫌侵权,请与客服联系,我们将及时进行处理。如需转载,请注明来源于www.yxbaike.com
如果您认为本词条还有待完善,请 编辑
上一篇 “分叶征” 的影像表现与临床意义 下一篇 “晕征” 的影像表现与临床意义
