“空泡征” 的影像表现与临床意义
医学百科网 | YxBaike.Com
英文:bronchus encapsulated air sign。
医学百科网 | YxBaike.Com
空泡征指结节内直径<5mm的气体密度影或低密度影,可单个或多个,且相邻2个以 上层面不能见到低密度点状影。 医学百科网 | YxBaike.Com
医学百科网 | YxBaike.Com
X线上空泡征表现为结节内夹杂有小的密度减低区及小透亮区,多为圆形、卵圆形 及不规则形,边缘不甚清晰,轮廓不像空洞锐利,密度不像空洞低,多数呈半透明状。 见图1。
医学百科网 | YxBaike.Com
医学百科网 | YxBaike.Com
a
b
医学百科网 | YxBaike.Com
c
(a)左下肺腺癌(箭头示空泡征)(b)右上肺腺癌(箭头示空泡征)(c)右上肺腺癌(体层片示空泡征) 医学百科网 | YxBaike.Com
二、CT表现
医学百科网 | YxBaike.Com
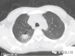
空泡征在CT及HRCT上表现为孤立结节中夹有小的低密度透亮泡影,多呈圆形、卵 圆或小条状影,形态不规则,轮廓清晰或隐约可见,其直径<5mm,可单发或多发。空泡 征形态多种多样,一个或多个,边界尚清,多个者呈蜂窝状。大者似小囊样,散在分布。有 的融合为梅花瓣样,直径>20mm。有的如细小蜂窝样,位于肿块中心,内侧缘均有细线样 光滑的壁,如纤维壁,未见细小壁结节。见图2。
当数个肺泡破裂并融合形成不规则的小腔时,称之为“裂隙”。有文献报道,这种裂隙 是微支气管阻塞性扩张或肿瘤内碳末沉积(其密度低于肿瘤组织)所形成,故把它也归于此 征。见图3。 医学百科网 | YxBaike.Com
医学百科网 | YxBaike.Com
a
医学百科网 | YxBaike.Com
b
医学百科网 | YxBaike.Com
c
医学百科网 | YxBaike.Com
(a)右上叶后段结节内见单个空泡征(肺腺癌)(b)右下叶结节内见单个空泡征(肺腺癌)
医学百科网 | YxBaike.Com
(c)右下叶肿块影内见细小蜂窝样空泡征(肺腺癌)
医学百科网 | YxBaike.Com
a
b
(a)右下叶裂缝征(b)右中叶裂缝征 医学百科网 | YxBaike.Com
空泡征的发生与肺癌的大小、组织学分类有密切关系。杨业有报告103例确诊为早期肺 癌的患者其肺部病灶内均具有空泡征的存在,其癌肿的大小均在5.2cm以下,癌肿越大空泡征出现率越低,可能是原有空泡征的早期肺癌因随癌肿的增长,瘤体的增大,其原有 含气的正常肺组织、肿瘤的小灶性坏死及堆积的碳末颗粒被生长的癌组织所取代,空泡 征就随癌肿的生长增大而消失。早期小肺癌由于肿瘤内存在有未被癌组织取代的正常含 气肺组织、肿瘤的小灶性坏死及碳末颗粒的堆积而在X线影像上出现空泡征,成为早期肺 癌的一个重要X线征象。经手术、病理报告及组织学分类,肺泡癌和腺癌发病率较高, 医学百科网 | YxBaike.Com
103例患者肺泡癌53例,占51. 5%;腺癌37例,占35. 9%;鳞癌13例,占12. 6%。有 空泡征的早期肺癌患者组织学分类中未检出未分化癌和类癌,说明空泡征的形成与癌肿 的组织学分类密切相关。
医学百科网 | YxBaike.Com
关于肺癌中空泡征的形成,文献报道,癌细胞沿肺泡壁生长,肺泡支架保存,有残 存未被破坏的肺泡结构,可发生细支气管囊状扩张,肿瘤坏死排出,肿瘤产生的黏液充 满肺泡腔,从而形成瘤体内直径1〜3mm的低密度区为空泡征,随肿瘤增大,残存肺组织逐渐被肿瘤组织取代,空泡即消失或继续坏死最后形成癌性空洞。周围型肺腺癌病变 主要发生于比较细小及中等大小的支气管,前者癌组织逐渐代替正常肺泡组织,引起实 变形成结节,由于其中夹杂正常肺组织,因而密度不均,密度较低处呈透亮的小泡状阴 影,多发生于肺腺癌及细支气管肺泡腺癌。此外肺腺癌常可引起内部纤维组织形成、瘢 痕组织收缩,导致肺泡壁破裂合并、扩大亦形成空泡征,以及坏死组织排出,脱水,体 积缩小形成真空时或瘤内含气肺组织被癌组织所取代亦称空泡征;后者沿支气管壁生长 蔓延并侵其分支,使受侵支气管壁增厚,轮廓不规则,管腔狭窄,但支气管支架结构保 存不被破坏,增生的纤维组织使瘤内细支气管扭曲扩张,表现为管状低密度影,长短不 一,形成空泡征和支气管充气征。有时多个空泡征或支气管征表现为蜂窝状改变,称为蜂窝征。由于高分化腺癌生长方式呈伏壁式生长,与前述生长方式相一致,因而出现较 为典型的支气管充气征或空泡征。
医学百科网 | YxBaike.Com
空泡征在肺癌和良性结节中出现率分别为28.7%和8.2%,两者有显著差异(P〈 0.05),因此空泡征在鉴别肺癌和良性结节有着重要的价值。见图4。
医学百科网 | YxBaike.Com
二、肺部转移瘤 医学百科网 | YxBaike.Com
原发部位除肺部外,男性多为头颈部恶性肿瘤,女性多为生殖道肿瘤。常见的组织学来 源有鱗癌、腺癌、黑色素瘤、肉瘤、胚细胞瘤和移行细胞瘤等。影像学表现可有空泡征,一 般认为是肿瘤坏死或向支气管内侵犯形成活瓣所致。肺部转移瘤出现空泡样的表现,其发病 机理尚不明确,可能与下列因素有关:①与化疗及放疗有关。放化疗一段时间后,肺部转移 瘤或减少,或在原结节内出现空泡,或出现了新的空泡样转移,这说明,化疗、放疗可能使 转移瘤的细胞破坏,从而使其组织坏死。②与原发肿瘤切除有关。据文献报道,原发肿瘤切 除后,肺部的转移瘤可在短期内缩小或甚至消失。因此出现空泡样转移灶,可能为转移瘤正 处于消退的某一时期。见图5。
医学百科网 | YxBaike.Com
医学百科网 | YxBaike.Com
三、结核球
医学百科网 | YxBaike.Com
结核球又称结核瘤,是继发性肺结核的一种类型。结核球直径一般2〜5cm,是有 纤维包囊的孤立的边界分明的干酪样坏死灶,多为单个,也可为多个,多位于肺上叶, 右肺多于左肺。其影像学表现可有空泡征,瘤体内未发现明显的空洞,但有一些局限坏 死液化区域。其病理基础与结核瘤内有干酪样坏死灶与支气管相通,小灶性坏死组织 排出后形成有关。
与肺癌的空泡征相鉴别。肺癌的空泡征多发生在直径3mm以内的病灶,肺泡可产生较 多的空隙,CT片显示微小(2〜3mm)低密度透亮区,是因肿瘤组织坏死,形成纤维间隔的 蜂窝征;而肺结核的空泡征,其结核灶常显示有小腔,透亮度更高,且腔隙边缘较肺癌锐 利。见图6。 医学百科网 | YxBaike.Com
医学百科网 | YxBaike.Com
四、肺炎性假瘤 医学百科网 | YxBaike.Com
肺炎性假瘤是一种较少见的非特异性肺内炎性增生性病变,其肺实质为肺内慢性炎性增 生性肉芽肿病变。CT可见细长毛刺或分叶,病灶边缘模糊,密度不均匀,内可见空泡征, 其病理基础为脓肿形成蜂窝状小空泡。见图7。
医学百科网 | YxBaike.Com
医学百科网 | YxBaike.Com
五、球形肺炎 见图8。 医学百科网 | YxBaike.Com
医学百科网 | YxBaike.Com
医学百科网 | YxBaike.Com
六、肺棘球蚴病 医学百科网 | YxBaike.Com
棘球蚴病(或称包虫病)是一种人畜共患的寄生虫病,在我国主要流行于畜牧业较发达的西北地区。肺棘球蝴病占全身棘球蚴病的15%,分肺细粒棘球蚴病和肺泡状棘 球蚴病两型。肺泡状棘球蚴病由肝泡状棘球蚴病肝外转移形成,CT表现为两肺内大小 不一的结节,以下肺野及外带居多,病灶边缘呈分叶状或有小结节隆起,内部密度不 均,可见小空泡征或斑点状钙化,其病灶内小空泡系转移的小囊泡病灶与支气管相通 被引流所致。
七、肺梗死(亚段性) 医学百科网 | YxBaike.Com
亚段性肺梗死以单发为主,有多发倾向;右肺多发,位于肺与胸膜交界面,基底部紧靠 胸膜,病灶基底部较宽大,呈三角形或锥形,双肺基底段的肺胸膜交界面为其好发部位,边 缘空泡征和与胸膜钝角夹角及顶部血管征是其最基本的特征。
医学百科网 | YxBaike.Com
为大于相应支气管管径2倍且与上下层面支气管不连续的灶内透亮影,或直径>5mm 的空气样低密度影。肺癌中的空泡征随着肿瘤的增大,残存肺组织逐渐被肿瘤组织取代,组 织继续坏死空泡最后形成空洞。 医学百科网 | YxBaike.Com
二、空气支气管征 医学百科网 | YxBaike.Com
空气支气管征以厚3〜5mm薄层CT扫描,呈以下三种形态:①气体密度小管状;②一个或两个以上层面气体密度卵圆影;③数个相邻CT层面连续性气体密度点状影。易与空泡
征相混淆,为了避免这种混淆,根据CT扫描断面与支气管成角的不同,提出评价空气支气 管征的标准:①小管形气体密度影;②两个以上相邻层面见到连续性点状气体密度影; ③主要以纵隔窗窗宽、窗位条件观察;④不包括一个层面观察到直径<5mm为圆点状空泡 征和与支气管走向无关的圆点状或裂隙状空洞。 医学百科网 | YxBaike.Com
附件列表
词条内容仅供参考,如果您需要解决具体问题,请遵医嘱或咨询医师。
本站词条内容如果涉嫌侵权,请与客服联系,我们将及时进行处理。如需转载,请注明来源于www.yxbaike.com
如果您认为本词条还有待完善,请 编辑
上一篇 “方形征” 的影像表现与临床意义 下一篇 “支气管截断征” 的影像表现与临床意义
