呼吸系统33个影像征象
1、分叶征
形成的原因,肿瘤生长的速度,肿瘤受周围组织或器官的阻挡和限制,肿瘤突破小叶间隔向外扩展并和邻近的组织相互合并。
医学百科网 | YxBaike.Com
医学百科网 | YxBaike.Com
医学百科网 | YxBaike.Com
2、横S征(反S征) 医学百科网 | YxBaike.Com
右肺门肿块与右上叶不张相连,形似横写S,为右上叶中央型肺癌特征性表现 医学百科网 | YxBaike.Com
3、鼠尾征
病理特征是以肺门区肿块合并不同程度的支气管阻塞,受累支气管截断,断端呈杯口状,鼠尾状,可见腔内肿物。 医学百科网 | YxBaike.Com
医学百科网 | YxBaike.Com
医学百科网 | YxBaike.Com
指结节边缘呈尖角状突起,同小的三角形,病灶边缘不规则。棘状突起密集排列就构成锯齿征,棘状突起粗细、长短不一时,如螃蟹足,就是伪足征。是肺癌的重要征象。 医学百科网 | YxBaike.Com
医学百科网 | YxBaike.Com
5、毛刺征:
医学百科网 | YxBaike.Com
是肿瘤细胞向邻近血管鞘或局部淋巴结浸润,或促结缔组织生成反应形成的纤维带,良性结节如肺炎性假瘤和肺结核球,边缘也见毛刺,常为长毛刺。 医学百科网 | YxBaike.Com
6、扫帚征: 医学百科网 | YxBaike.Com
表现为左肺门向尖后段呈扇形放射状分布的粗条索影和左肺门肿块,形似扫帚,而癌组织肿块隐藏在肺门,平片不易发现。 医学百科网 | YxBaike.Com
医学百科网 | YxBaike.Com
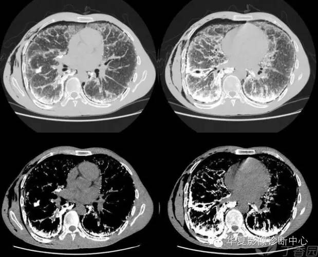
7、磨玻璃密度(GGO)
医学百科网 | YxBaike.Com
在轻度增加的肺密度内可以看到肺纹理的影像。分为弥漫型、班片型、局灶型。 肺腺癌 含铁血黄素沉着症 特发性肺间质纤维化 医学百科网 | YxBaike.Com
肺腺癌 医学百科网 | YxBaike.Com
医学百科网 | YxBaike.Com
含铁血黄素沉着症: 医学百科网 | YxBaike.Com
医学百科网 | YxBaike.Com
医学百科网 | YxBaike.Com
8、血管集束征:
医学百科网 | YxBaike.Com
表现为肺结节周围一支或几支血管到达瘤体内或在瘤体边缘截断或穿过瘤体的现象。有3种情况,肺血管进入肿瘤内或穿过肿瘤,肺血管受牵拉向病灶移位,肺血管到达肿瘤边缘截断。
医学百科网 | YxBaike.Com
医学百科网 | YxBaike.Com
医学百科网 | YxBaike.Com
9、冰山征: 医学百科网 | YxBaike.Com
是病变沿支气管粘膜下生长,并向粘膜内侵犯或向外生长侵犯邻近的肺实质所形成的征象,CT清楚显示肿物在支气管腔内或腔外的部分,此征象就是“冰山征”,如肺类癌、小细胞肺癌
10、桃尖征 医学百科网 | YxBaike.Com
指肿块某一边缘尖角状突起形似桃尖,是肺炎性假瘤包膜的粘连牵拉,为良性肿块炎性假瘤特有。 医学百科网 | YxBaike.Com
医学百科网 | YxBaike.Com
医学百科网 | YxBaike.Com
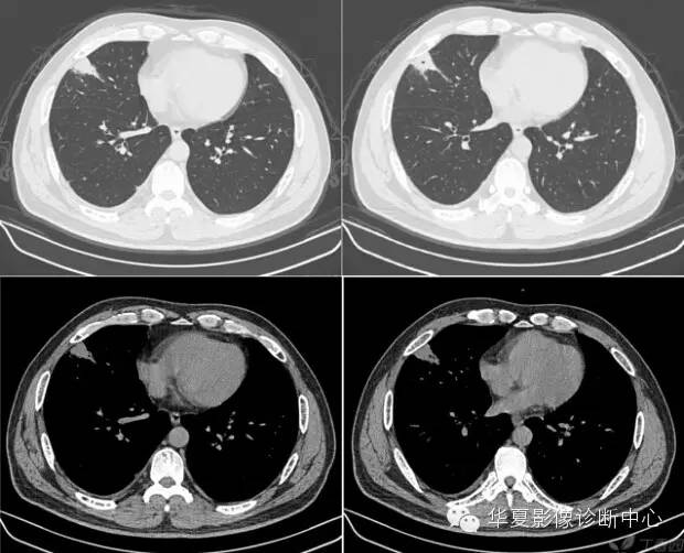
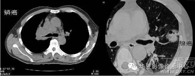
11、胸膜凹陷征(PI) 医学百科网 | YxBaike.Com
为肺癌侵达胸膜的最直接征象。病理基础是肿瘤方向的牵拉而局部脏壁胸膜无增厚粘连。多见于周围性肺癌,以腺癌最多见,也可见于良性病变,如肺结核球、肺炎性假瘤、肺脓肿、硬化性血管瘤等。
医学百科网 | YxBaike.Com
医学百科网 | YxBaike.Com
12、多结节聚合征:
医学百科网 | YxBaike.Com
分两种,桑葚样多结节聚合征一般见于恶性肿瘤,未见良性病变。病理为小叶间隔的纤维增生、各部分生长速度不均一、生长遇到阻力3种因素共同作用。宝塔样或葫芦样多结节聚合征,为肿瘤向周围组织以连续浸润方式进行扩散。 医学百科网 | YxBaike.Com
医学百科网 | YxBaike.Com
医学百科网 | YxBaike.Com
13、反晕征: 医学百科网 | YxBaike.Com
和晕片表现相反,病灶中心密度低呈磨玻璃状,周围是新月形或环形高密度,中心为低密度为肺泡间隔浸润和细胞碎片,周围是肺泡管机化性肺炎或致密、均匀肺泡间细胞浸润所致的致密气腔实变。常见于隐原性肺泡炎及类球孢子菌病等 医学百科网 | YxBaike.Com
14、晕轮征:
医学百科网 | YxBaike.Com
毛玻璃的晕轮病理上是肺出血、肿瘤浸润或肺炎症过程
医学百科网 | YxBaike.Com
医学百科网 | YxBaike.Com
医学百科网 | YxBaike.Com
常用来描述细支气管肺泡癌,是肿瘤沿肺泡壁生长浸润尚未完全破坏肺泡间隔,肺泡壁增厚或邻近肺泡内有分泌物,部分仍含气,形成肺炎型改变,增强时病变内见血穿行的血流强化,称CT血管造影征。 医学百科网 | YxBaike.Com
医学百科网 | YxBaike.Com
16、黑边征(黑胸膜线): 医学百科网 | YxBaike.Com
在胸壁和肺内微石的衬托下,肺实质和肋骨间的细条状低密度影。是肺泡微石症的X线征象
医学百科网 | YxBaike.Com
医学百科网 | YxBaike.Com
17、方形征:
病变临近胸膜或叶间胸膜时,两侧缘可垂直于胸膜,呈刀切样,致病变呈方形。方形征是球形肺炎的特征性表现。 医学百科网 | YxBaike.Com
医学百科网 | YxBaike.Com
医学百科网 | YxBaike.Com
为曲菌移植到已有的空洞内或在血管侵袭性曲菌病中梗死的肺收缩的结果,也可见于结核病,韦哥肉芽肿,空洞内出血和肺癌。 医学百科网 | YxBaike.Com
医学百科网 | YxBaike.Com
医学百科网 | YxBaike.Com
19、支气管充气征:
医学百科网 | YxBaike.Com
在病变的肺组织区域中见到透亮的支气管影。
医学百科网 | YxBaike.Com
I型空气支气管造影征
医学百科网 | YxBaike.Com
医学百科网 | YxBaike.Com
III型支气管造影征(枯树枝征),是肺泡癌的特征性表现
医学百科网 | YxBaike.Com
20、细支气管造影征: 医学百科网 | YxBaike.Com
多见于细支气管肺泡癌,为病灶内细管状或条状气体样低密度,是由于扫描层面和充气支气管所在平面平行所致。 医学百科网 | YxBaike.Com
医学百科网 | YxBaike.Com
21、空泡征 医学百科网 | YxBaike.Com
空泡征:指病灶内1-2mm或<5mm的点状透亮影,单个或多个,主要见于早期肺癌。病理中尚未被肿瘤破坏、替代的肺结构支架如肺泡、扩展扭曲的未闭细支气管,部分是肿瘤坏死腔、含粘液的腺腔结构以及乳头状癌结构间的含气间隙。
医学百科网 | YxBaike.Com
医学百科网 | YxBaike.Com
22、阳性支气管征: 医学百科网 | YxBaike.Com
是直接通向肺内肿块或被包埋在肿块内的含气支气管影。肺内结节内的较大支气管受累的征象。 医学百科网 | YxBaike.Com
医学百科网 | YxBaike.Com
下为空气支气管征:
医学百科网 | YxBaike.Com
医学百科网 | YxBaike.Com
为肺密度增高区和肺密度减低区夹杂相间呈不规则的补丁状或地图状
医学百科网 | YxBaike.Com
医学百科网 | YxBaike.Com
医学百科网 | YxBaike.Com
24、粘液支气管征: 医学百科网 | YxBaike.Com
病理是肺不张内有支气管粘液栓塞。
医学百科网 | YxBaike.Com
25、树芽征: 医学百科网 | YxBaike.Com
指病变累及细支气管,炎性渗出物或分泌物堵塞细支气管,CT表现为小叶中心分枝状线影和与其相连的细支气管横断面结节影,状如树芽,是细支气管扩张、阻塞的特征之一。
医学百科网 | YxBaike.Com
26、水上百合征: 医学百科网 | YxBaike.Com
是包虫内囊破裂塌陷漂浮于液面上,有气体进入形成的不规则凸起影。双层壁破裂,部分囊液排出,内、外囊剥离,内囊漂浮于液面,CT表现为水上浮莲征。 医学百科网 | YxBaike.Com
医学百科网 | YxBaike.Com
医学百科网 | YxBaike.Com
27、碎石路征: 医学百科网 | YxBaike.Com
碎石路征或称铺路石征,是胸部CT上的一种影像学征象,主要表现为在弥漫性或散在分布的毛玻璃样浸润影中,有小叶间隔增厚、小叶内线状影重叠存在。碎石路征在PAP的特征性表现,但是,象感染性疾病,肿瘤,特发性肺弥漫性疾病,吸入性病变也可以出现。
医学百科网 | YxBaike.Com
医学百科网 | YxBaike.Com
28、星系征:
指的是肺结节病的大结节(d>1cm)有无数小结节构成,大结节周围环绕小结节卫星灶,晚期支气管血管周围受累呈条带状,与卫星、慧星、银河相象。星系征有肺结节病,还有肺TB、肺转移瘤,BAC及癌性淋巴管炎等。 医学百科网 | YxBaike.Com
29、串珠样间隔征:
医学百科网 | YxBaike.Com
指肺间质的间隔不规则增厚和串珠样改变,病理基础是肿瘤细胞在毛细血管和淋巴管内生长及继发血管周围和间质水肿及纤维化所致。主要见于肺转移瘤,也可见于肺结节病和先天性肺小叶周围纤维化。 医学百科网 | YxBaike.Com
医学百科网 | YxBaike.Com
30、胸腹水鉴别四联症:
医学百科网 | YxBaike.Com
医学百科网 | YxBaike.Com
医学百科网 | YxBaike.Com
31、印戒征(支气管轨道征): 医学百科网 | YxBaike.Com
是支气管扩张的影像表现,分为柱状、串珠状、囊状扩张。是支气管壁弹性组织和肌肉组织破坏导致的局部支气管不可恢复的异常扩张,是受累支气管多种病理过程共同的最终结果,支扩病理改变是管腔扩张和管壁增厚。
32、胸膜下弧线: 医学百科网 | YxBaike.Com
是细支气管周围纤维性增厚及肺纤维化引起的肺泡变扁和肺不张。多见于肺间质纤维化的疾病,如慢支合并肺间质纤维化,煤工尘肺,特发性肺间质纤维化,胶原病引起的肺间质纤维化,结节病引起的肺改变等。
医学百科网 | YxBaike.Com
医学百科网 | YxBaike.Com
33、胸膜分离征:表现为胸膜脏层和壁层胸膜增厚并被其间的胸腔积液分开,当胸膜感染,胸腔内积脓时,胸膜常有明显强化。 医学百科网 | YxBaike.Com
附件列表
词条内容仅供参考,如果您需要解决具体问题,请遵医嘱或咨询医师。
本站词条内容如果涉嫌侵权,请与客服联系,我们将及时进行处理。如需转载,请注明来源于www.yxbaike.com
如果您认为本词条还有待完善,请 编辑
