颈部解剖与常见疾病的影像特点
No.1 颈部筋膜
颈浅筋膜—皮下脂肪组织、小淋巴结、肌肉 医学百科网 | YxBaike.Com
颈深筋膜:浅、中、深层
医学百科网 | YxBaike.Com
医学百科网 | YxBaike.Com
No.2 颈部解剖 医学百科网 | YxBaike.Com
后上壁:软、硬腭交界处至颅底
医学百科网 | YxBaike.Com
侧壁:耳咽管开口、咽鼓管圆枕、咽隐窝
下壁:软腭的上表面
医学百科网 | YxBaike.Com
No.3 鼻咽癌影像表现
鼻咽粘膜增厚、软组织结节和肿块 医学百科网 | YxBaike.Com
咽旁或咽后间隙等周围结构受侵
医学百科网 | YxBaike.Com
肿瘤侵及颅底和颅内
医学百科网 | YxBaike.Com
伴发鼻窦炎症
医学百科网 | YxBaike.Com
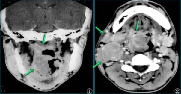
颈部淋巴结转移
No.4 鼻咽癌分期
医学百科网 | YxBaike.Com
T1 期 局限于鼻咽,或侵犯口咽和(或)鼻腔 医学百科网 | YxBaike.Com
T2 期 咽旁间隙受累
T3 期 侵犯颅底和(或)鼻窦等骨结构 医学百科网 | YxBaike.Com
T4 期 侵犯颅内、脑神经、下咽、眼眶、颞下窝/咀嚼肌间隙
医学百科网 | YxBaike.Com
鼻咽癌 T1 期 医学百科网 | YxBaike.Com
左侧咽隐窝区域粘膜增厚,增强后咽隐窝区域明显强化。 医学百科网 | YxBaike.Com
鼻咽癌 T2 期
咽旁间隙粘膜增厚,增强扫描示咽旁间隙粘膜增厚,中度强化。 医学百科网 | YxBaike.Com
鼻咽癌 T3 期
医学百科网 | YxBaike.Com
肿块向后侵犯斜坡。 医学百科网 | YxBaike.Com
肿块向外侧侵犯到咽旁间隙,MRI 示肿块向外侧侵犯翼内肌。 医学百科网 | YxBaike.Com
鼻咽癌 T4 期
医学百科网 | YxBaike.Com
No.4 鼻部其他疾病 医学百科网 | YxBaike.Com
鼻咽腺样体增殖
医学百科网 | YxBaike.Com
医学百科网 | YxBaike.Com
鼻咽腔有明显软组织增厚,增强后病变边缘清楚,无明显强化。
医学百科网 | YxBaike.Com
鼻咽炎症
医学百科网 | YxBaike.Com
医学百科网 | YxBaike.Com
鼻腔内充满大量软组织,密度较低。 医学百科网 | YxBaike.Com
青年性纤维管瘤
鼻咽部顶部肿块,增强后有明显强化。
医学百科网 | YxBaike.Com
鼻咽腔肿块,增强后肿块内可见流空血管影。
淋巴瘤
医学百科网 | YxBaike.Com
医学百科网 | YxBaike.Com
肿块侵犯鼻咽、口咽、边缘清楚,密度均匀,无明显强化;右侧淋巴结受侵。 医学百科网 | YxBaike.Com
附件列表
词条内容仅供参考,如果您需要解决具体问题,请遵医嘱或咨询医师。
本站词条内容如果涉嫌侵权,请与客服联系,我们将及时进行处理。如需转载,请注明来源于www.yxbaike.com
如果您认为本词条还有待完善,请 编辑
上一篇 医学全在线公众号 下一篇 子宫静脉内平滑肌瘤病1例MR影像
