结节性硬化症丨诊断、多系统损害影像表现
医学百科网 | YxBaike.Com
医学百科网 | YxBaike.Com
Tuberous sclerosis complex, TSC 医学百科网 | YxBaike.Com
结节性硬化症(TSC)系TSC1 或TSC2 基因变异所致,为 常染色体显性遗传性疾病,新生儿发病率为1/6000 ~ 1/10 000、成人约为1/8000。 结节性硬化症可以导致细胞增殖和分化失控,几乎累及所有器官和系统,尤以脑、皮肤、肾脏、心脏表现突出, 病理改变是错构瘤。 医学百科网 | YxBaike.Com
诊断标准
医学百科网 | YxBaike.Com
1998年首届国际结节性硬化症共识大会修订诊断标准,该标准以临床诊断为主,迅速获得广泛认可和临床应用。2012年第2届国际结节性硬化症共识大会再次修订诊断标准,增加基因诊断,并且指出基因诊断可以作为独立的诊断标准。
(1)基因诊断标准:基因检测发现TSC1 或TSC2 基因致病性突变即明确诊断为结节性硬化症,其中,致病性突变系指明显降低TSC1或TSC2蛋白功能(如无义突变)、抑制蛋白合成(如大片段缺失),或经功能检测证实影响蛋白功能的错义突变;其他对功能影响不明确的TSC1 或TSC2 基因突变不能诊断结节性硬化症。有10%~25%的患者经常规基因检测未能检出基因突变,不能排除结节性硬化症的诊断,但与符合临床诊断标准的结节性硬化症不冲突。
医学百科网 | YxBaike.Com
(2)临床诊断标准:
① 主要特征: 医学百科网 | YxBaike.Com
- 色素脱失斑(≥3 个,直径≥ 5 mm);
- 面部血管纤维瘤(≥ 3 个)或头部纤维斑块;
- 指(趾)甲纤维瘤(≥2 个);
- “鲨鱼皮”样斑;
- 多发性视网膜错构瘤;
- 皮质发育不良(包括皮质结节和白质放射状移行线);
- 室管膜下结节;
- 室管膜下巨细胞型星形细胞瘤(SEGA);
- 心脏横纹肌瘤;
- 肺淋巴管肌瘤病;
- 肾血管平滑肌脂肪瘤。
② 次要特征:
- “斑斓”样皮肤损害;
- 牙釉质点状凹陷(> 3个);
- 口内纤维瘤(≥2 个);
- 视网膜色素脱失斑;
- 多发性骨囊肿;
- 非肾脏错构瘤。
具备2项主要特征,或者具备1项主要特征和2项次要特征,诊断为确定的(definite)结节性硬化症;具备1项主要特征,或2项次要特征,诊断为 疑诊(possible)的结节性硬化症;
医学百科网 | YxBaike.Com
仅肺淋巴管肌瘤病和肾血管平滑肌脂肪瘤作为主要特征同时存在,还需要其他特征方诊断为结节性硬化症。
- 男性发病多于女性; 典型的临床表现是 癫痫、智力低下及面部皮肤皮脂腺瘤 的三联征。
医学百科网 | YxBaike.Com
中枢:
颅内结节性硬化可出现典型的 4种类型的病理改变: 皮质结节、脑白质异常、室管膜下结节、室管膜下巨细胞星形细胞瘤。
医学百科网 | YxBaike.Com
皮质结节及室管膜下结节的发生率为95%,脑白质异常的发生率为40%~90%,尽管室管膜下星形细胞瘤本身比较少见, 但在结节性硬化病人中是最常见的脑肿瘤,发生率为26%,青少年为发病高峰。
医学百科网 | YxBaike.Com
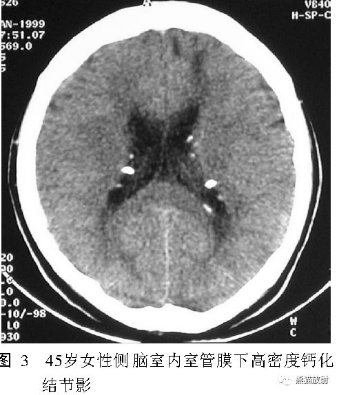
- 室管膜下钙化小结节(<1.3cm) ; 室管膜下巨细胞性星形细胞瘤 (>1.3cm) ,绝大多数位于室间孔
- 白质放射状迁移线: 代表异位神经胶质及神经元沿着由脑室至皮质的迁移通路
- 囊样白质病灶(囊状大脑变性)
- 皮质或皮质下结节: 早期T1WI高信号
医学百科网 | YxBaike.Com
医学百科网 | YxBaike.Com
左图:巨细胞性星形细胞瘤、室管膜下小结节、放射状迁移线、皮质下结节; 医学百科网 | YxBaike.Com
右图:室管膜下巨细胞性星形细胞瘤,位于左侧室间孔水平,明显均匀强化。 医学百科网 | YxBaike.Com
13个月TSC患儿,多发皮质或皮质下结节,白质放射状迁移线. 医学百科网 | YxBaike.Com
肾脏:
医学百科网 | YxBaike.Com
是结节性硬化最常累及的器官之一,可表现为 5 种肾脏病变: 错构瘤、囊肿、潜在恶性的错构瘤、肾细胞癌及嗜酸细胞瘤,其中肾血管平滑肌脂肪瘤最为常见,约占70%~80%,多在5 岁后开始出现,肾脏病变随着年龄的增长发病率升高。囊肿一般双侧多发,约5%的患者表现为成人型多囊肾,这是因为TSC2 基因与多囊肾基因都位于16 号染色体上且位置毗邻。也有文献报道,结节性硬化80%会累及双肾表现为双肾多发的血管平滑肌脂肪瘤,50%双肾多发性血管平滑肌脂肪瘤合并结节性硬化。
心脏:
医学百科网 | YxBaike.Com
心脏横纹肌瘤是诊断结节性硬化的主要标准之一,可以单发,可以多发。在儿童结节性硬化患者中常见,约占40%~86%,文献认为横纹肌瘤可能会随着年龄的增长尺寸变小、数量减少,最终可能完全消失,另外,心脏含脂肪占位同时有肾脏错构瘤的患者,心脏含脂病灶很可能是错构瘤, 这也可能是结节性硬化的特征之一。 医学百科网 | YxBaike.Com
肺: 医学百科网 | YxBaike.Com
结节性硬化患者可以出现肺淋巴管肌瘤病。文献报道认为,肺部典型表现为淋巴管肌瘤病且多发生于女性患者,CT 主要表现为双肺薄壁囊肿及多发非钙化结节灶。 医学百科网 | YxBaike.Com
医学百科网 | YxBaike.Com
骨: 医学百科网 | YxBaike.Com
可发现骨骼硬化性小结节,多位于松质骨丰富区,边界清楚,还可表现为牙质样增生或骨纤维结构不良样改变,以颅骨内外板常见;短管状骨可见局限性骨皮质增厚改变等。 医学百科网 | YxBaike.Com
特征性骨骼影像表现为同时出现椎体内多发硬化小结节伴象牙质样椎弓硬化;颅骨内多发硬化小结节伴局部类骨纤样改变等。 医学百科网 | YxBaike.Com
医学百科网 | YxBaike.Com
肝脏:
医学百科网 | YxBaike.Com
本病伴肝脏血管平滑肌脂肪瘤较少见。可以单发,也可以多发,并发结节性硬化多为青年人,5%~10%的肝脏血管平滑肌脂肪瘤可合并结节性硬化。
医学百科网 | YxBaike.Com
医学百科网 | YxBaike.Com
附件列表
词条内容仅供参考,如果您需要解决具体问题,请遵医嘱或咨询医师。
本站词条内容如果涉嫌侵权,请与客服联系,我们将及时进行处理。如需转载,请注明来源于www.yxbaike.com
如果您认为本词条还有待完善,请 编辑
上一篇 腹部医学影像论坛公众号 下一篇 结节病,纤维化丨CT表现、诊断要点
