诡异的左肺包块
患者,男 ,66岁, “左肺占位”收住院。CEA 5.23 轻度增高 医学百科网 | YxBaike.Com
医学百科网 | YxBaike.Com
医学百科网 | YxBaike.Com
医学百科网 | YxBaike.Com
医学百科网 | YxBaike.Com
医学百科网 | YxBaike.Com
医学百科网 | YxBaike.Com
医学百科网 | YxBaike.Com
医学百科网 | YxBaike.Com
医学百科网 | YxBaike.Com
医学百科网 | YxBaike.Com
医学百科网 | YxBaike.Com
医学百科网 | YxBaike.Com
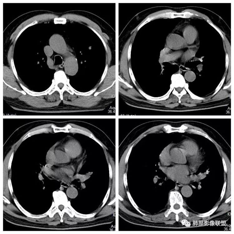
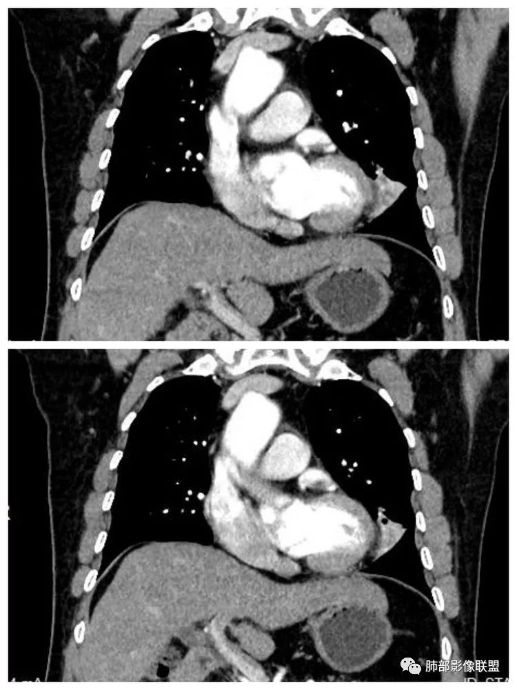
平扫 动脉期 静脉期 40HU、48HU、57HU
相关视频
大雄: 医学百科网 | YxBaike.Com
左下叶内前基底段实性占位堵塞支气管,强化较弱,考虑肺癌可能 ,小细胞?腺癌?
医学百科网 | YxBaike.Com
肺内其他小结节,需怀疑转移可能 医学百科网 | YxBaike.Com
水晶石头: 医学百科网 | YxBaike.Com
患者老年男性,“左肺占位”收入住院。查CEA轻度升高。胸部CT:左肺肺门占位并左肺下叶阻塞性,远端肺组织膨胀不全,增强可见轻度强化,内似见低密度灶。双肺多发类圆形结节,以左肺上叶尖后段为大,内可见部分钙化,边缘光滑、清楚。综合考虑恶性病变,鳞癌并转移可能大,鉴别腺癌、结核。
医学百科网 | YxBaike.Com
流心明智: 医学百科网 | YxBaike.Com
男性,66岁,发現左肺占位。CEA轻度升高。 医学百科网 | YxBaike.Com
胸CT:左下叶内前基底段肿块,支气管堵塞,强化弱,延迟强化,两肺多处结节,右上肺门淋巴结大。常规考虑:肺癌可能 ,肺内小结节,转移?鉴别:错构瘤,TB等。 医学百科网 | YxBaike.Com
飞鹰行动:
左肺下叶占位,左肺下叶前内支气管阻塞可疑(缺乏薄层),病灶有膨胀性,远端较内侧细,增强病灶强化不明显——乏血供病灶,病灶沿支气管生长,考虑恶性病变,左肺上叶可见小结节病灶,边缘光滑清晰,考虑转移瘤,综上所述考虑恶性病变,左肺下叶小细胞类癌可能,左肺上叶转移。
尘缘:
左上肺光滑圆形结节,内有钙化,密度不均,错构瘤;
医学百科网 | YxBaike.Com
左肺下叶结节支气管进入截断,远端肺不张,增强后坏死不均匀,肺癌明显,至于病理类型,鳞癌,小细胞,腺癌都有支持和不支持的地方,个人倾向于鳞癌可能,理由,纵隔淋巴结肿大不明显,远端阻塞性不张,支持小细胞的地方,坏死呈沼泽样,但纵隔无明显淋巴结肿大及冰冻表现。腺癌这种表现一般为低分化腺癌,但远端阻塞性不张及纵隔无明显淋巴结肿大不支持。
医学百科网 | YxBaike.Com
初学者: 医学百科网 | YxBaike.Com
支气管堵塞,那我考虑鳞癌吧,另外一个转移?
医学百科网 | YxBaike.Com
1.主病灶明显堵塞支气管,我觉得如果结核爬行,应该是外向内爬,这个我觉得是内向外堵塞,而且爬行的结核一般是肉芽肿,不是坏死,增强不会这么低,这个密度和强化比较符合一个坏死。最重要鉴别,结核的爬行是外向内,周围有树丫。这个是内向外,支气管堵塞且坏死明显,外周的堵塞性肺不张,没有树丫,所以主病灶考虑内向外,故结核爬行不太符合。而中央型腺癌不是没有,而是少,加上坏死这么明显,淋巴结转移不明显,故猜测鳞癌或者唾液腺肿瘤可能性比较大,因为后者也是支气管中央起源,强化比较弱的。腺癌和小细胞不太典型,类癌可以表现为支气管粘液栓,但是强化不够。 医学百科网 | YxBaike.Com
2.病灶在平扫时似乎软骨在病灶外,提示病灶位于支气管内?这个可以仔细观察一下。
3.至于那个结节。是否一元不太好说。给的不是薄层似乎,强化没有说。目测是一个比较光滑的病变,有微分叶。那套路就是判断与支气管血管关系看看。血管关系很重要,错构瘤是推移,psp是贴边,转移应该会有血供,血管会增粗,这个需要细节。孤立结节疾病谱有错构瘤,psp,肺本身另外一个肺癌,转移,结核球。也可以从这个病灶入手 医学百科网 | YxBaike.Com
初学者:
这个结节里面点状高密度究竟是血管还是钙化,视频看不清楚,大家可以讨论一下。很有帮助 医学百科网 | YxBaike.Com
下面这个图可以看到病灶整体有彭隆以及强化不均
血管如果给我重建一下就好了,如中央钙化,强化弱,又血管推移,边缘这么光滑的又钙化,一般概率上良性的错构瘤最多,转移保险起见要排一排。
医学百科网 | YxBaike.Com
医学百科网 | YxBaike.Com
初学者:
医学百科网 | YxBaike.Com
这个人有其他地方肿瘤吗,比如骨,软骨,甲状腺,生殖系统腺的肿瘤。 医学百科网 | YxBaike.Com
崔刚:
医学百科网 | YxBaike.Com
@吴婧南京市第一医院 晨读病例接着分析分析,病灶伴钙化,如果转移瘤,来源哪里。 医学百科网 | YxBaike.Com
初学者:
骨,软骨和其他部分腺癌;机制就是骨头,软骨还有腺癌分泌的粘液容易钙化。肺内也一样 医学百科网 | YxBaike.Com
初学者:
因为我见过这种转移,留了一个心眼,肾癌见过支气管内转移的,一般强化高,肠癌见过支气管转移的,一般强化低,可以的。 医学百科网 | YxBaike.Com
病例结果:2年前直肠癌根治术后改变,中分化腺癌,支气管镜检:转移性腺癌。 医学百科网 | YxBaike.Com
病例小结: 医学百科网 | YxBaike.Com
1.定位:左肺块影同时累及下舌段及下叶内基底段且相互延续。病灶跨叶,或存在叶裂发育异常,或者说就是病灶的肺门蔓延。 医学百科网 | YxBaike.Com
2.病灶前上部分与舌段支气管相关且形成阻塞。
医学百科网 | YxBaike.Com
3.左肺上叶另见孤立结节影,边界清楚光整,中央钙化,未见脂质密度特征。 医学百科网 | YxBaike.Com
4.增强扫描左肺门区块影轻度强化,强化程度轻于舌段周围不张肺组织。
医学百科网 | YxBaike.Com
左肺上叶孤立小结节影未见异常强化。 医学百科网 | YxBaike.Com
5.双肺门及纵隔未见明确增大淋巴结。
6.分析:男性患者,左肺门区块状影,支气管阻塞,强化不显著,未见淋巴结肿大,更多见于肺鳞癌。难以解释的是下肺病灶的生长方式。 医学百科网 | YxBaike.Com
沿肺门或是叶裂缺损孤立发生且蔓延,转移性腺癌似乎可以解释,但占据较大支气管腔就属罕见了。 医学百科网 | YxBaike.Com
本例很难首先怀疑转移灶。
7.左肺上叶孤立小结节影中央钙化可见于肠道肿瘤,但更多见于错构瘤,或是结核球。
附件列表
词条内容仅供参考,如果您需要解决具体问题,请遵医嘱或咨询医师。
本站词条内容如果涉嫌侵权,请与客服联系,我们将及时进行处理。如需转载,请注明来源于www.yxbaike.com
如果您认为本词条还有待完善,请 编辑
