医学百科网 | YxBaike.Com
医学百科网 | YxBaike.Com
医学百科网 | YxBaike.Com
医学百科网 | YxBaike.Com
医学百科网 | YxBaike.Com
医学百科网 | YxBaike.Com
医学百科网 | YxBaike.Com
医学百科网 | YxBaike.Com
医学百科网 | YxBaike.Com
医学百科网 | YxBaike.Com
医学百科网 | YxBaike.Com
医学百科网 | YxBaike.Com
医学百科网 | YxBaike.Com
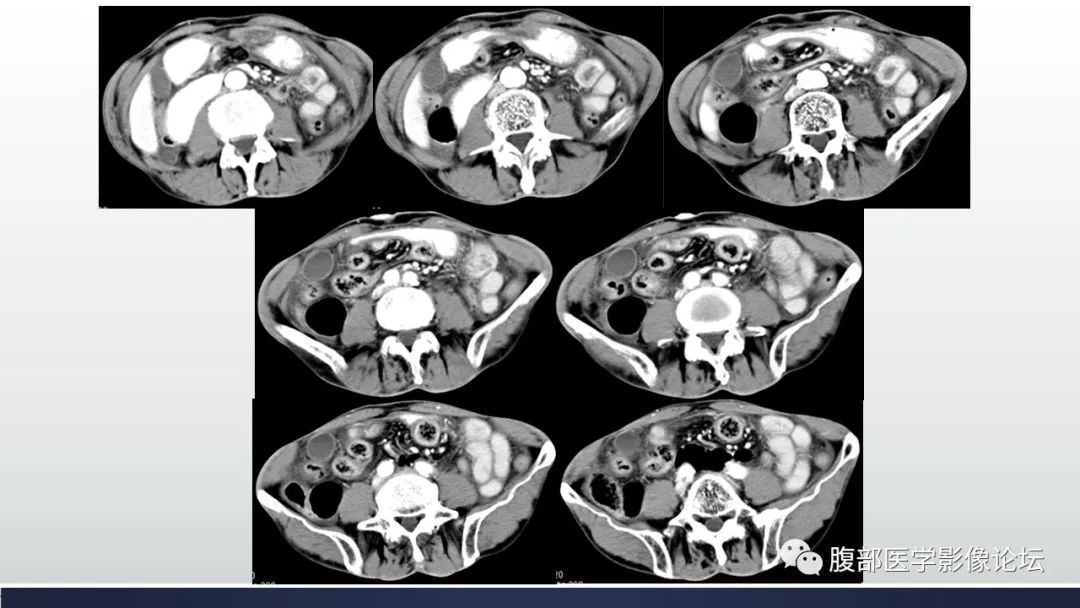
腹内疝征象:肠管异位征象、肠梗阻征象、占位征象、鸟嘴征(疝口处肠管受压呈鸟嘴状狭窄)、缆绳征或漩涡征(肠系膜及血管牵拉、纠集、移位并充血水肿)绞窄性小肠梗阻征象:1直接征象,肠系膜血管闭塞、不强化,肠系膜水肿呈云雾征;2间接征象,肠壁明显增厚呈靶征,肠壁强化不均、弱强化或不强化,肠腔血性渗液,肠壁、肠系膜出血;3并发症征象,肠壁间、肠系膜积气征、肠系膜静脉或门静脉气栓征、腹水或气腹。§十二指肠旁疝 据文献报道,此型为最常见类型,约占全部内疝的53%。与其他类型内疝不同,十二指肠旁疝的发生有性别倾向,男4性发病率约为女性的3倍。包括左侧及右侧两种亚型,其中前者常见(约占3/),二者临床表现相似,均为先天性疝,有疝囊,但胚胎学发育病理基础却不同。 医学百科网 | YxBaike.Com
医学百科网 | YxBaike.Com
医学百科网 | YxBaike.Com
医学百科网 | YxBaike.Com
医学百科网 | YxBaike.Com
医学百科网 | YxBaike.Com
医学百科网 | YxBaike.Com
医学百科网 | YxBaike.Com
医学百科网 | YxBaike.Com
医学百科网 | YxBaike.Com
医学百科网 | YxBaike.Com
医学百科网 | YxBaike.Com
医学百科网 | YxBaike.Com
医学百科网 | YxBaike.Com
医学百科网 | YxBaike.Com
医学百科网 | YxBaike.Com
医学百科网 | YxBaike.Com
医学百科网 | YxBaike.Com
医学百科网 | YxBaike.Com
医学百科网 | YxBaike.Com
医学百科网 | YxBaike.Com
医学百科网 | YxBaike.Com
