脑泡状棘球蚴病1例MR
临床病史
患者,男,36 岁,抽搐 6 小时入院。现病史:入院 6 小时前无明显诱因出现抽搐、口吐白沫,伴大小便失禁,无咬舌,无恶心呕吐。
医学百科网 | YxBaike.Com
影像学检查 医学百科网 | YxBaike.Com
医学百科网 | YxBaike.Com
医学百科网 | YxBaike.Com
医学百科网 | YxBaike.Com
医学百科网 | YxBaike.Com
医学百科网 | YxBaike.Com
医学百科网 | YxBaike.Com
医学百科网 | YxBaike.Com
病理结果 医学百科网 | YxBaike.Com
医学百科网 | YxBaike.Com
病理结果:泡状棘球蚴(包虫) 医学百科网 | YxBaike.Com
讨论 医学百科网 | YxBaike.Com
包虫病是人感染棘球绦虫的幼虫 (棘球蚴) 所致的寄生虫病。主要类型为囊型和泡型包虫病,常累及肝、肺、脑、骨等组织器官。
脑包虫病约占 2%-3%,继发较多见,原发少见,而本例为原发。分类:细粒棘球蚴,又称囊型包虫病;泡状棘球蚴,又称泡型包虫病。最常见的症状是头痛、癫痫发作和神经功能障碍。囊型脑包虫病患者的颅内高压症状出现缓慢,癫痫发作频率较低;泡型脑包虫病上述症状出现早、进展快,早期即可出现癫痫等。 医学百科网 | YxBaike.Com
医学百科网 | YxBaike.Com
脑囊型包虫病影像学表现: 医学百科网 | YxBaike.Com
①单纯型:圆形或类圆形,单房多见,多房少见,CT 呈脑脊液样密度,边界锐利、光整。部分病灶可见内外缘光滑的囊壁,少有边缘强化及灶周水肿。MRI 呈长 T1、长 T2 信号,与脑脊液信号相似或略高。 医学百科网 | YxBaike.Com
医学百科网 | YxBaike.Com
T1WI显示脑脊液信号,未见强化;术中所见囊内清亮液体及白色飘絮状物体,病理可见囊壁包虫体。
医学百科网 | YxBaike.Com
医学百科网 | YxBaike.Com
脑脊液信号,未见强化 医学百科网 | YxBaike.Com
多房型 医学百科网 | YxBaike.Com
②子囊型:囊内可见数量不等、大小不一的子囊,子囊密度总是低于母囊。子囊依母囊内缘排列或漂浮于母囊液中;若母囊内充满子囊,但尚有少量母囊液游离于子囊间时,则子囊仍保持其圆形或类圆形轮廓;若母囊内子囊过多时,则后者相互挤压呈多边、多角形。MRI 显示母囊与子囊信号不同,T2WI 子囊信号高于母囊,T1WI 子囊信号低于母囊。
医学百科网 | YxBaike.Com
多囊型
医学百科网 | YxBaike.Com
③内囊分离型:包虫内囊破裂,内囊膜部分剥脱,可形成 「双壁征」。内囊膜脱落,则折叠、卷曲悬浮于囊液中,形成 「活动性内囊膜征」,可形似水蛇、飘带样。MRI 示囊液呈长 T1 长 T2 脑脊液样信号,信号不均,可见强化,周围可见水肿带。
医学百科网 | YxBaike.Com
囊呈脑脊液信号,可见内囊膜脱落漂浮于囊液中
医学百科网 | YxBaike.Com
④ 蜕变型:包虫囊壁可见弧形、壳状或环形钙化,囊内容物密度增高,脱落的内囊膜、子囊及头节均可发生钙化,以致整个包虫钙化,但钙化多不均匀。
医学百科网 | YxBaike.Com
⑤ 播散型:可为血源性感染或医源性播散。其特点为脑内多发病灶,多为单房包虫,可呈簇状分布。
医学百科网 | YxBaike.Com
脑泡型包虫病影像学表现: 医学百科网 | YxBaike.Com
CT:类圆形或不规则形实性肿块,外周较中央部密度高,或呈略高密度肿块,病灶外周及中央部可发生钙化,周围水肿明显。
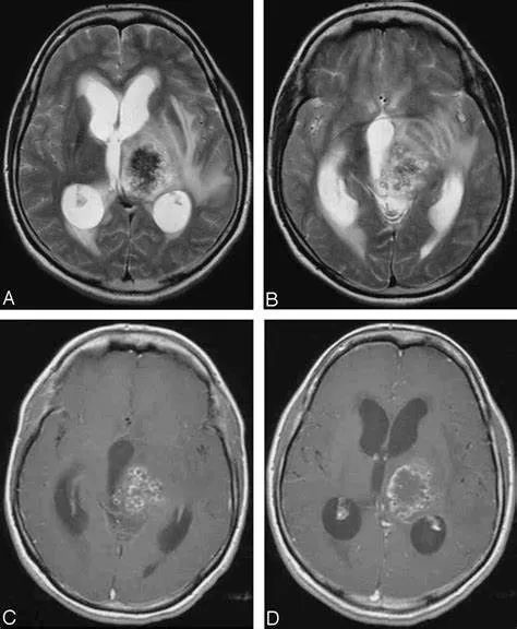
MRI:T1WI 呈等信号,T2WI 呈「煤炭样」黑色低信号(凝固性坏死),内可见多个大小不等或细小囊泡影(T2WI 高信号);周围常有水肿带;可有不规则环形强化,其内部可见细小强化浅淡的小分隔影,类似于「有厚沿的筛子」。 医学百科网 | YxBaike.Com
医学百科网 | YxBaike.Com
CT不均匀稍高密度,T1WI稍高信号,中心低信号,T2WI及FLAIR低信号,内部多发高信号,边缘不规则强化
医学百科网 | YxBaike.Com
T2WI低信号,内部多发小结节状高信号,边缘不规则强化 医学百科网 | YxBaike.Com
附件列表
词条内容仅供参考,如果您需要解决具体问题,请遵医嘱或咨询医师。
本站词条内容如果涉嫌侵权,请与客服联系,我们将及时进行处理。如需转载,请注明来源于www.yxbaike.com
如果您认为本词条还有待完善,请 编辑
上一篇 滑膜树枝状脂肪瘤 下一篇 脊髓节细胞胶质瘤1例MR影像解析
