一眼识破的肺部新生物4例CT影像讨论
case 1 医学百科网 | YxBaike.Com
医学百科网 | YxBaike.Com
医学百科网 | YxBaike.Com
医学百科网 | YxBaike.Com
医学百科网 | YxBaike.Com
医学百科网 | YxBaike.Com
医学百科网 | YxBaike.Com
医学百科网 | YxBaike.Com
医学百科网 | YxBaike.Com
医学百科网 | YxBaike.Com
医学百科网 | YxBaike.Com
医学百科网 | YxBaike.Com
医学百科网 | YxBaike.Com
医学百科网 | YxBaike.Com
医学百科网 | YxBaike.Com
医学百科网 | YxBaike.Com
医学百科网 | YxBaike.Com
医学百科网 | YxBaike.Com
医学百科网 | YxBaike.Com
医学百科网 | YxBaike.Com
开始讨论
医学百科网 | YxBaike.Com
光明: 医学百科网 | YxBaike.Com
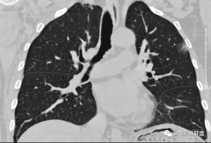
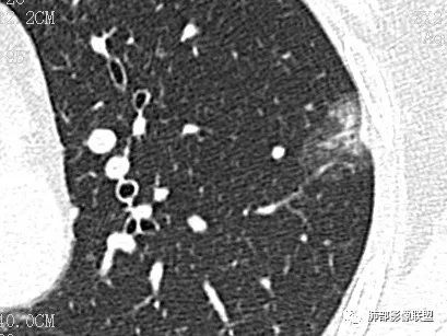
MGGO,边界清楚,胸膜凹陷,考虑LPA?
邓云特:
@王兆宇 上海 肺病理 病史?(性别、年龄、临床症状) 医学百科网 | YxBaike.Com
王兆宇:
医学百科网 | YxBaike.Com
F 053Y 体检发现 医学百科网 | YxBaike.Com
Clover: 医学百科网 | YxBaike.Com
混合GGO,收缩力弱,部分边缘似清非清,圆洞样胸膜凹陷
医学百科网 | YxBaike.Com
错过:
近胸膜处,边缘似清非清,血管进入,胸膜凹陷,结合CT值,考虑IAC 医学百科网 | YxBaike.Com
毛勤香: 医学百科网 | YxBaike.Com
混合磨玻璃,收缩力弱,部分边缘似清非清,圆洞样胸膜凹陷,血管进入增粗,LPA,粘液腺癌?
医学百科网 | YxBaike.Com
王兆宇:CT值中央区偏高 医学百科网 | YxBaike.Com
医学百科网 | YxBaike.Com
Coke with ice: 医学百科网 | YxBaike.Com
洞壁感觉不像粘液腺的洞,不够光整,牵拉有点重。 医学百科网 | YxBaike.Com
不再涩的柠檬:
医学百科网 | YxBaike.Com
常规会抗炎治疗后复查,除外粘液腺癌 医学百科网 | YxBaike.Com
王兆宇: 医学百科网 | YxBaike.Com
边界清楚还是有些不清楚(似清不清)呢? 医学百科网 | YxBaike.Com
Clover:
医学百科网 | YxBaike.Com
部分边缘有点似清非清 医学百科网 | YxBaike.Com
管洪林: 医学百科网 | YxBaike.Com
胸膜下mggo,边界部分不清,部分清晰,胸膜凹陷,考虑粘液腺,建议抗炎后复查 医学百科网 | YxBaike.Com
王兆宇:边界很清楚啊
医学百科网 | YxBaike.Com
医学百科网 | YxBaike.Com
江大夫-省中医院天使之眼:
MIA(微浸润腺癌)
王兆宇:
医学百科网 | YxBaike.Com
@江登科 内部的高密度区>5mm
Coke with ice: 医学百科网 | YxBaike.Com
这个层面看着挺清晰。病灶最下缘感觉不太清 医学百科网 | YxBaike.Com
江大夫-省中医院:
是大于5mm IAC(浸润性腺癌) 胸膜还是有牵拉
王兆宇:
这例圆洞样的胸膜,造成一定难度
杨丽:
医学百科网 | YxBaike.Com
圆洞的底不太光滑
医学百科网 | YxBaike.Com
Coke with ice: 医学百科网 | YxBaike.Com
牵拉洞壁不够光滑,洞底感觉坑坑洼洼的 医学百科网 | YxBaike.Com
王兆宇: 医学百科网 | YxBaike.Com
病理结果
浸润性腺癌 医学百科网 | YxBaike.Com
病理结果没有记录附壁生长的成分。我认为附壁生长为主型LPA。通常收缩力明显的,是裂隙状胸膜凹陷 但在肺尖部,可能胸膜有一定的壳样增厚,所以可以圆洞样 医学百科网 | YxBaike.Com
Coke with ice:
哦,这么回事
管洪林:
医学百科网 | YxBaike.Com
常规是否会 先抗感染后复查?
王兆宇:
医学百科网 | YxBaike.Com
@管洪林 短期复查也是对的,一般一个月后复查 医学百科网 | YxBaike.Com
杨丽:
医学百科网 | YxBaike.Com
王老师,恶性程度不高的会这样吗?
医学百科网 | YxBaike.Com
王兆宇: 医学百科网 | YxBaike.Com
@杨丽 这种恶性度应该很低的 医学百科网 | YxBaike.Com
心灵鸡汤:
这个不是初次检查?常规还是要先复查一次
医学百科网 | YxBaike.Com
王兆宇:
这个53岁的挺难诊断
医学百科网 | YxBaike.Com
管洪林: 医学百科网 | YxBaike.Com
牵拉洞壁不够光滑,洞底感觉坑坑洼洼的,能提示胸膜浸润吗?@王兆宇 上海 肺病理 医学百科网 | YxBaike.Com
王兆宇: 医学百科网 | YxBaike.Com
不能,早期腺癌很少胸膜浸润 医学百科网 | YxBaike.Com
一句话小结:
胸膜下孤立较大混合密度结节影,中央实行密度,周围磨玻璃边界清楚提示存在小叶间隔阻挡。局部明显胸膜凹陷,提示病灶较强收缩能力,这也很少见于粘液腺癌。 医学百科网 | YxBaike.Com
综上更符合浸润性腺癌。
医学百科网 | YxBaike.Com
case2 医学百科网 | YxBaike.Com
男 48 2019-05-04 医学百科网 | YxBaike.Com
医学百科网 | YxBaike.Com
医学百科网 | YxBaike.Com
医学百科网 | YxBaike.Com
医学百科网 | YxBaike.Com
医学百科网 | YxBaike.Com
医学百科网 | YxBaike.Com
医学百科网 | YxBaike.Com
医学百科网 | YxBaike.Com
医学百科网 | YxBaike.Com
医学百科网 | YxBaike.Com
医学百科网 | YxBaike.Com
2019-05-27复查
医学百科网 | YxBaike.Com
医学百科网 | YxBaike.Com
医学百科网 | YxBaike.Com
医学百科网 | YxBaike.Com
医学百科网 | YxBaike.Com
医学百科网 | YxBaike.Com
医学百科网 | YxBaike.Com
医学百科网 | YxBaike.Com
医学百科网 | YxBaike.Com
医学百科网 | YxBaike.Com
医学百科网 | YxBaike.Com
医学百科网 | YxBaike.Com
医学百科网 | YxBaike.Com
医学百科网 | YxBaike.Com
医学百科网 | YxBaike.Com
2019-11-11 医学百科网 | YxBaike.Com
医学百科网 | YxBaike.Com
医学百科网 | YxBaike.Com
医学百科网 | YxBaike.Com
医学百科网 | YxBaike.Com
Clover:
医学百科网 | YxBaike.Com
鳞癌 医学百科网 | YxBaike.Com
王兆宇: 医学百科网 | YxBaike.Com
请说一下诊断依据 这例有咳嗽发热
Coke with ice:
泥沙样钙化,坏死明显,支气管阻塞,阻塞肺炎
小鱼:
医学百科网 | YxBaike.Com
分叶,血管凹陷进入,内坏死,壁厚薄不均,坏死边界不清,肺门淋巴结大,鳞癌
光明: 医学百科网 | YxBaike.Com
右肺下叶肿块,湖泊样坏死,壁厚薄不均匀,肺门淋巴节肿大,考虑鳞癌 医学百科网 | YxBaike.Com
错过:
厚璧空洞伴不均一致坏死,支气管堵塞伴阻塞性肺炎,考虑鳞癌
医学百科网 | YxBaike.Com
崇军:
医学百科网 | YxBaike.Com
分叶,无毛刺,坏死明显,壁厚薄不均,阻塞性肺炎,复查壁变得更薄,支持鳞癌
医学百科网 | YxBaike.Com
小鱼:远端阻塞肺炎,脐凹
医学百科网 | YxBaike.Com
毛勤香:
厚壁空洞分叶状,近端支气管壁增厚,湖泊样坏死,治疗23天后坏死增多,周围炎症有吸收,增强其内血管显示欠清,考虑鳞癌
Coke with ice:
泥沙样钙化的疾病谱有什么?鳞癌,神经内分泌?记不起来了 医学百科网 | YxBaike.Com
小鱼:内壁和壁坏死边界不清,壁厚薄不均 医学百科网 | YxBaike.Com
医学百科网 | YxBaike.Com
王兆宇:
@曹冠杰 细沙样钙化在神经内分泌癌多见,鳞癌偶尔可以有 医学百科网 | YxBaike.Com
坏死位于远侧,近侧比较实 医学百科网 | YxBaike.Com
不再涩的柠檬:
医学百科网 | YxBaike.Com
支持鳞癌
姚鹏:
医学百科网 | YxBaike.Com
腺癌 医学百科网 | YxBaike.Com
王兆宇:
@姚鹏 腺癌坏死少见,阻塞性炎症也少,胸膜播散多见,癌性淋巴管炎多见,有所不同。
医学百科网 | YxBaike.Com
杨丽:
医学百科网 | YxBaike.Com
6个月后增大,坏死更明显了
医学百科网 | YxBaike.Com
王兆宇: 医学百科网 | YxBaike.Com
病理诊断
鳞癌
医学百科网 | YxBaike.Com
一句话小结:
医学百科网 | YxBaike.Com
右肺下叶背段不规则块影,浅分叶,密度不均,轻度强化,壁厚不均,坏死及空洞明显。病灶边界可分辨,相关支气管狭窄截断。肺门见肿大淋巴结。 医学百科网 | YxBaike.Com
符合典型肺鳞癌影像学表现。 医学百科网 | YxBaike.Com
半年后任由块影坐大匪夷所思。
医学百科网 | YxBaike.Com
case3
男 29 医学百科网 | YxBaike.Com
医学百科网 | YxBaike.Com
医学百科网 | YxBaike.Com
医学百科网 | YxBaike.Com
医学百科网 | YxBaike.Com
医学百科网 | YxBaike.Com
医学百科网 | YxBaike.Com
医学百科网 | YxBaike.Com
医学百科网 | YxBaike.Com
医学百科网 | YxBaike.Com
开始讨论
Clover: 医学百科网 | YxBaike.Com
原位伴肺泡塌陷 医学百科网 | YxBaike.Com
王秀仙:
医学百科网 | YxBaike.Com
右肺下叶磨玻璃结节,边缘清晰,中央肺泡塌陷,ais 医学百科网 | YxBaike.Com
错过: 医学百科网 | YxBaike.Com
PGG0,为AlS 医学百科网 | YxBaike.Com
Coke with ice:
医学百科网 | YxBaike.Com
CT值未见,有点可惜 医学百科网 | YxBaike.Com
管洪林:
医学百科网 | YxBaike.Com
右肺下叶血管旁混合磨玻璃,实性边界清晰,考虑AIS伴有肺泡塌陷。 医学百科网 | YxBaike.Com
光明:
医学百科网 | YxBaike.Com
这个病灶大小是多少,比例尺一格是1cm吗? 医学百科网 | YxBaike.Com
心灵鸡汤:
是的CT值可以参考下 大小也没有
王兆宇:
CT值未见,有点可惜,确实需要分区测值 医学百科网 | YxBaike.Com
没拷太多图,大小只能眼观
毛勤香:
MIA并肺泡塌陷或者AIS,大小目测大于6mm
心灵鸡汤: 医学百科网 | YxBaike.Com
应该是小于1CM,目测
王兆宇: 医学百科网 | YxBaike.Com
医学百科网 | YxBaike.Com
杨丽: 医学百科网 | YxBaike.Com
旁边有标尺 医学百科网 | YxBaike.Com
光明: 医学百科网 | YxBaike.Com
马小锁:
目测CT值 医学百科网 | YxBaike.Com
毛勤香:
医学百科网 | YxBaike.Com
AIS或MIA并肺泡塌陷 医学百科网 | YxBaike.Com
王兆宇: 医学百科网 | YxBaike.Com
病理诊断 :
MIA
医学百科网 | YxBaike.Com
我觉得有中央肺泡塌陷,是比较轻的MIA 没看病理切片 肯定有塌陷
医学百科网 | YxBaike.Com
Coke with ice: 医学百科网 | YxBaike.Com
这个病例在影像如何下结论合适呢,如何建议 医学百科网 | YxBaike.Com
姚鹏:
应该有塌陷区
王兆宇: 医学百科网 | YxBaike.Com
小的实性区边界清楚 医学百科网 | YxBaike.Com
毛勤香: 医学百科网 | YxBaike.Com
塌陷肯定有 医学百科网 | YxBaike.Com
Coke with ice:
医学百科网 | YxBaike.Com
这个除了CT值,其他的没有MIA的征象了 ,这个需要CT值精确判断
姚鹏:
医学百科网 | YxBaike.Com
边界清晰 医学百科网 | YxBaike.Com
毛勤香: 医学百科网 | YxBaike.Com
感觉密度略偏高,血管进入略增粗
所以我首先还是考虑MIA
管洪林:
肺泡塌陷可以见于ais和mia?iac可以吗?
王兆宇:
都可以 医学百科网 | YxBaike.Com
错过: 医学百科网 | YxBaike.Com
AlS也可以塌陷吗?都忘了
医学百科网 | YxBaike.Com
王兆宇:
医学百科网 | YxBaike.Com
可以 医学百科网 | YxBaike.Com
一句话小结:
医学百科网 | YxBaike.Com
血管旁磨玻璃小结节影,边界如此清晰,足以使人高度警惕! 医学百科网 | YxBaike.Com
中央显示有较清楚结节样实性密度区至少应想到微浸润腺癌的可能性。
医学百科网 | YxBaike.Com
CASE 4
医学百科网 | YxBaike.Com
男 78 医学百科网 | YxBaike.Com
医学百科网 | YxBaike.Com
医学百科网 | YxBaike.Com
医学百科网 | YxBaike.Com
医学百科网 | YxBaike.Com
医学百科网 | YxBaike.Com
医学百科网 | YxBaike.Com

医学百科网 | YxBaike.Com
医学百科网 | YxBaike.Com
医学百科网 | YxBaike.Com
医学百科网 | YxBaike.Com
医学百科网 | YxBaike.Com
医学百科网 | YxBaike.Com
医学百科网 | YxBaike.Com
医学百科网 | YxBaike.Com
医学百科网 | YxBaike.Com
医学百科网 | YxBaike.Com
医学百科网 | YxBaike.Com
医学百科网 | YxBaike.Com
讨论 医学百科网 | YxBaike.Com
Clover: 医学百科网 | YxBaike.Com
错构瘤 医学百科网 | YxBaike.Com
光明: 医学百科网 | YxBaike.Com
实性结节,浅分叶,边缘光滑,挂果,考虑错构瘤
王秀仙: 医学百科网 | YxBaike.Com
右肺上叶后段实性结节,边缘光滑清晰,密度离散度大,考虑错构瘤
医学百科网 | YxBaike.Com
月影无踪:
医学百科网 | YxBaike.Com
边缘清,实性,浅分叶,血管贴边,良性结节,错构大过psp
医学百科网 | YxBaike.Com
王兆宇: 医学百科网 | YxBaike.Com
以上二者如何鉴别呢?PSP与错构瘤 医学百科网 | YxBaike.Com
姚鹏: 医学百科网 | YxBaike.Com
没有看到贴边血管,错构瘤
医学百科网 | YxBaike.Com
光明:
医学百科网 | YxBaike.Com
PSP 血管贴边,强化明显,晕,错构瘤没有
医学百科网 | YxBaike.Com
Clover:
医学百科网 | YxBaike.Com
有分叶支持错构瘤 医学百科网 | YxBaike.Com
王兆宇: 医学百科网 | YxBaike.Com
血管贴边与挂枝头有所区别,血管贴边常常贴一会再走,挂枝头是贴一点点直接走了 医学百科网 | YxBaike.Com
王秀仙: 医学百科网 | YxBaike.Com
离散度大 医学百科网 | YxBaike.Com
王兆宇: 医学百科网 | YxBaike.Com
@王秀仙 如何解释离散度大
医学百科网 | YxBaike.Com
王秀仙: 医学百科网 | YxBaike.Com
密度差大 医学百科网 | YxBaike.Com
毛勤香: 医学百科网 | YxBaike.Com
分叶,离散度大,错构瘤
医学百科网 | YxBaike.Com
管洪林:
医学百科网 | YxBaike.Com
离散度? 医学百科网 | YxBaike.Com
Coke with ice: 医学百科网 | YxBaike.Com
边缘平直为主,彭隆感觉比较均匀,血管自然,支气管情况不明,倾向于良性。轻度凹陷,软骨型错构瘤第一位,炎性肉芽肿第二位。淋巴结未见,神经内分泌最后。 医学百科网 | YxBaike.Com
马小锁:
医学百科网 | YxBaike.Com
有黑晕,错构瘤
王秀仙:
医学百科网 | YxBaike.Com
挂果征 医学百科网 | YxBaike.Com
管洪林:
密度差大能作为psp和错构的鉴别吗?@王秀仙 医学百科网 | YxBaike.Com
王秀仙:
医学百科网 | YxBaike.Com
错构瘤离散度大 医学百科网 | YxBaike.Com
Coke with ice: 医学百科网 | YxBaike.Com
离散度是个什么概念,一直没弄明白
医学百科网 | YxBaike.Com
管洪林: 医学百科网 | YxBaike.Com
王老师能给大体讲一下吗? 医学百科网 | YxBaike.Com
王兆宇: 医学百科网 | YxBaike.Com
医学百科网 | YxBaike.Com
毛勤香: 医学百科网 | YxBaike.Com
就是密度差别大,密度最小值和最大值相差大
医学百科网 | YxBaike.Com
王兆宇:
医学百科网 | YxBaike.Com
方差15.8HU算大吗?
医学百科网 | YxBaike.Com
Coke with ice: 医学百科网 | YxBaike.Com
这个名词忘了哪里听的了,好像王老师没有提过这个。
管洪林: 医学百科网 | YxBaike.Com
psp密度相比而言,密度差不会太大?
王兆宇: 医学百科网 | YxBaike.Com
下回好好研究一下良性肿瘤的离散度 医学百科网 | YxBaike.Com
王秀仙:
医学百科网 | YxBaike.Com
3.4和37
医学百科网 | YxBaike.Com
王兆宇:
SFT密度均匀,没钙化,没脂肪,应该离散度非常小
管洪林: 医学百科网 | YxBaike.Com
psp不可以吗?四大区域,成分不同,不可以吗?
毛勤香:
以前群里提过,反正特异性挺高的,屡试不爽 医学百科网 | YxBaike.Com
王兆宇: 医学百科网 | YxBaike.Com
PSP也可以钙化,离散度有时也可以大
Coke with ice: 医学百科网 | YxBaike.Com
黑晕,挂果
医学百科网 | YxBaike.Com
毛勤香: 医学百科网 | YxBaike.Com
还结合分叶状吧 医学百科网 | YxBaike.Com
王兆宇: 医学百科网 | YxBaike.Com
病理诊断
错构瘤 医学百科网 | YxBaike.Com
管洪林:
血管贴边与挂果,分叶与光滑,可以作为鉴别吧
王兆宇: 医学百科网 | YxBaike.Com
从我们二十几例PSP来看,PSP没有明确的分叶 错构瘤浅分叶常见,一般是软骨型错构瘤,因软骨团形成可以好几团或好几个软骨中心,所以有分叶 医学百科网 | YxBaike.Com
管洪林:
黑晕应该错构和psp都可以出现吧,应该不会作为鉴别点
医学百科网 | YxBaike.Com
王兆宇: 医学百科网 | YxBaike.Com
@管洪林 对的,黑晕二者都可以有,以错构瘤多见,达70-80% 医学百科网 | YxBaike.Com
管洪林:
嗯,学习了 医学百科网 | YxBaike.Com
一句话小结:
肺部边缘光整结节影,孤立,有一定规模(大于1公分)且不在胸膜下,未见肺门纵隔淋巴结增大且没有原发肿瘤病史的,首先想到良性病灶。 医学百科网 | YxBaike.Com
病灶密度不均,或者说密度反差太大,即便未见典型的脂肪密度影或钙化亦应当首先先到错构瘤。 医学百科网 | YxBaike.Com
增强扫描有助于鉴别硬化性肺细胞瘤。 医学百科网 | YxBaike.Com
附件列表
词条内容仅供参考,如果您需要解决具体问题,请遵医嘱或咨询医师。
本站词条内容如果涉嫌侵权,请与客服联系,我们将及时进行处理。如需转载,请注明来源于www.yxbaike.com
如果您认为本词条还有待完善,请 编辑
上一篇 胸壁软骨肉瘤1例CT影像 下一篇 伴有颅底凹陷症的三叉神经痛3例
