肾脏第2常见良性实性肿瘤—肾嗜酸性细胞瘤
医学百科网 | YxBaike.Com
肾嗜酸性细胞腺瘤是一种起源于肾近曲小管上皮细胞的良性肿瘤,其发病率占肾脏肿瘤的 3-7%。为肾脏第 2 常见良性实性肿瘤(第 1 位为血管平滑肌脂肪瘤)。大多数发生于 50 岁以上,男性稍多于女性。多由体检发现。嗜酸细胞腺瘤与肾癌的影像鉴别成为难点,影像科医生准确认识嗜酸细胞腺瘤的影像表现有助于提示诊断。
医学百科网 | YxBaike.Com
基本影像 医学百科网 | YxBaike.Com
肿瘤位于肾皮质区,向肾轮廓外突出,边缘清晰。可多发或双侧发生。肿瘤实质部分 CT 平扫可呈等、稍高或稍低密度,出血、坏死、囊变极少见,钙化可见。MR-T1W 病灶呈等或低信号,T2W 多呈混杂略高信号,亦可呈等或低信号。
主要特征 – 肿瘤内瘢痕 医学百科网 | YxBaike.Com
中央或偏心性瘢痕为嗜酸细胞腺瘤主要特征。瘢痕形态多不规则,可呈线状、Y 形、圆形或轮辐状改变,CT 呈低密度,MR-T1W 呈低信号,T2 多呈高信号。星芒状瘢痕伴辐轮状强化为最典型征象。 医学百科网 | YxBaike.Com
早期观点认为中央星状瘢痕是嗜酸细胞腺瘤的特征性表现,后来发现嫌色细胞癌和极少部分透明细胞癌也可有此征象。
增强特征 医学百科网 | YxBaike.Com
①肿瘤实质部分:增强扫描多于皮质期出现明显强化峰值,实质期保持较高强化(可略高或略低于皮质期),排泄期肿瘤密度或信号多低于肾实质密度「快进慢出」。部分肿瘤强化不典型,强化峰值可出现于实质期,或皮质期明显强化,实质期强化程度明显减低呈「快进快出」。 医学百科网 | YxBaike.Com
②瘢痕组织:完全或不完全填充式强化,少部分可不强化。
医学百科网 | YxBaike.Com
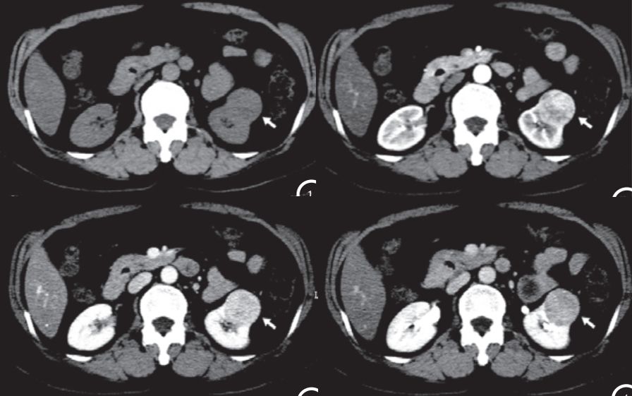
CASE 1
医学百科网 | YxBaike.Com
医学百科网 | YxBaike.Com
嗜酸细胞腺瘤。男性,63 岁。典型的星芒状瘢痕伴轮辐征。肿瘤实质各期 CT 值分别为:33 HU、142 HU、 141 HU、59 HU。瘢痕不完全填充式强化。 医学百科网 | YxBaike.Com
CASE 2
医学百科网 | YxBaike.Com
医学百科网 | YxBaike.Com
医学百科网 | YxBaike.Com
嗜酸细胞腺瘤。男,63 岁。不规则较大瘢痕。瘢痕完全填充式强化。 医学百科网 | YxBaike.Com
CASE 3 医学百科网 | YxBaike.Com
医学百科网 | YxBaike.Com
男,67 岁。嗜酸细胞腺瘤。瘢痕 T2W 呈高信号,增强扫描呈不完全填充式强化。
节段性强化逆转
文献报道动态增强时部分嗜酸细胞腺瘤中可出现节段性增强逆转,即皮质期病变强化明显的部分在排泄期强化减低,强化不明显的部分在排泄期强化明显。早期文献认为阶段性强化逆转是嗜酸细胞腺瘤特征性表现,后期发现该征象亦可见于肾癌,但更常见于嗜酸细胞腺瘤。但该征象仍具有一定参考价值。
CASE 1 医学百科网 | YxBaike.Com
医学百科网 | YxBaike.Com
女,52岁。嗜酸细胞腺瘤。各期CT值分别为39/116/140/77HU。强化峰值出现于实质期。该层面病灶后部示「节段性强化逆转」。 医学百科网 | YxBaike.Com
CASE 2 医学百科网 | YxBaike.Com
医学百科网 | YxBaike.Com
嗜酸细胞腺瘤。箭头所示「节段性强化逆转」
肿瘤钙化
医学百科网 | YxBaike.Com
有文献指出钙化可以提示肿瘤良恶性,若钙化发生于瘢痕的基础之上,提示良性肿瘤,若钙化位于病变实质区,则提示恶性病变。具有一定参考价值。
医学百科网 | YxBaike.Com
CASE 1
医学百科网 | YxBaike.Com
女,59 岁。嗜酸细胞腺瘤。增强扫描瘢痕呈不完全填充强化。其中瘢痕钙化进一步提示为良性病变。 医学百科网 | YxBaike.Com
椎形交界面
医学百科网 | YxBaike.Com
表现为病灶与正常肾实质交界面清晰呈锥形,这可能是由于嗜酸细胞腺瘤质地较软,生长受限所致。外生性生长的肿瘤出现锥形交界面提示肿瘤为良性可能。有一定参考价值。 医学百科网 | YxBaike.Com
CASE 1 医学百科网 | YxBaike.Com
女性,46 岁。嗜酸细胞腺瘤。锥形交界面。 医学百科网 | YxBaike.Com
无中央瘢痕的嗜酸性细胞腺瘤 医学百科网 | YxBaike.Com
部分嗜酸细胞腺瘤无中央瘢痕,且多出现在肿瘤较小时。直径>3 cm 的嗜酸细胞腺瘤更易出现瘢痕。
医学百科网 | YxBaike.Com
CASE 1 医学百科网 | YxBaike.Com
医学百科网 | YxBaike.Com
女性,59 岁。嗜酸细胞腺瘤。各期 CT 值分别为43HU、183HU、117HU、 75HU。强化方式亦不典型,很难与小肾癌鉴别。 医学百科网 | YxBaike.Com
主要鉴别诊断
医学百科网 | YxBaike.Com
①瘢痕为嗜酸细胞腺瘤最重要征象。嫌色细胞癌和极少部分透明细胞癌也可有此征象。主要依据强化方式不同鉴别。肾嫌色细胞癌血供不及嗜酸细胞腺瘤丰富,增强扫描嫌色细胞癌多呈轻-中度强化,强化程度远不如嗜酸细胞腺瘤明显。极少数透明细胞癌亦可出现纤维瘢痕且透明细胞癌也是明显富血供,但透明细胞癌因恶性程度高,易发生囊变、坏死及出血,增强扫描透明细胞癌多呈「快进快出」表现。节段性强化逆转、与肾实质锥形交界面、钙化和临床症状亦有助于与肾癌鉴别。
医学百科网 | YxBaike.Com
②无瘢痕的嗜酸细胞腺瘤多见于较小肿瘤,与肾癌鉴别困难。依据与肾实质锥形交界面、强化方式、节段性强化逆转等有可能提示诊断。 医学百科网 | YxBaike.Com
CASE 1 医学百科网 | YxBaike.Com
医学百科网 | YxBaike.Com
肾嫌色细胞癌。男,73 岁。无痛性肉眼血尿 2 天。亦可见中央瘢痕,瘢痕内钙化(钙化发生于瘢痕的基础之上常提示良性肿瘤,该例不典型)。结合强化程度较低、出现血尿提示嫌色细胞癌可能。 医学百科网 | YxBaike.Com
CASE 2 医学百科网 | YxBaike.Com
医学百科网 | YxBaike.Com
透明细胞癌伴瘢痕,极少见。明显富血供。 医学百科网 | YxBaike.Com
图片来源:Hou WB, Liu GH et, al. Stellate scar sign of renal cell carcinoma. Asian Journal of Urology (2015) 2, 244-245.
附件列表
词条内容仅供参考,如果您需要解决具体问题,请遵医嘱或咨询医师。
本站词条内容如果涉嫌侵权,请与客服联系,我们将及时进行处理。如需转载,请注明来源于www.yxbaike.com
如果您认为本词条还有待完善,请 编辑
上一篇 头霉素类抗生素 下一篇 儿童胸部影像诊断#基础病变
