经食管超声心动图诊断主动脉瓣四叶畸形1例
作者:韩晓明,湖北省荆门市第二人民医院超声诊断科 医学百科网 | YxBaike.Com
患者女,47岁,3年前无明显诱因出现胸闷气短,劳累时加重。体格检查:心界稍扩大,主动脉瓣第1、2听诊区闻及舒张期杂音。心电图检查:窦性心律,心电轴正常,T波改变。胸部X线检查:心尖稍向左侧扩大,心胸比为0.56∶1。 医学百科网 | YxBaike.Com
医学百科网 | YxBaike.Com
超声心动图检查:左室增大,内径55 mm,升主动脉内径正常,室间隔与左室壁厚度正常;左心收缩功能:射血分数56%,短轴缩短率29%,主动脉瓣叶结构不清晰;CDFI:舒张期主动脉瓣可见中量反流信号,缩流颈宽度5 mm,沿二尖瓣前叶走行;连续多普勒:反流峰速440 cm/s,最大压差77 mm Hg(1 mm Hg=0.133 kPa);脉冲多普勒:主动脉瓣上前向最大流速103 cm/s。
医学百科网 | YxBaike.Com
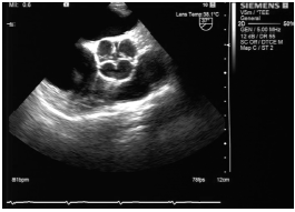
行经食管超声心动图检查:大动脉短轴切面见主动脉窦为四窦,瓣为四瓣,瓣缘增厚,回声增强,呈前后左右排列,左前瓣及右前瓣交界处略粘连,收缩期主动脉瓣开放呈口字形,舒张期关闭呈田字型。开放正常,关闭时可见中央性关闭裂隙,左、右冠状动脉分别起始于左后窦及右前窦(图1,2)。最终诊断为主动脉瓣四叶畸形。
图1 经食管超声心动图示大动脉短轴显示为主动脉瓣关闭状态 医学百科网 | YxBaike.Com
图2 经食管超声心动图示主动脉瓣膜呈开放状态 医学百科网 | YxBaike.Com
医学百科网 | YxBaike.Com
讨论:
医学百科网 | YxBaike.Com
主动脉瓣四叶畸形是一种罕见的先天性主动脉瓣病变,其形成机制尚不明确,胚胎学认为很可能是在动脉干分隔早期,因动脉干内膜隆起发育不良导致正常主动脉瓣叶的三个间质原基之一分裂产生第四个瓣叶,主动脉瓣叶出现数目异常及异常瓣叶的增生。
医学百科网 | YxBaike.Com
医学百科网 | YxBaike.Com
超声心动图是诊断主动脉瓣的主要检查技术,具有高度的敏感性和特异性,但其检查时因声窗观察受限,而经食管超声心动图克服了肺气肿、肥胖、胸廓畸形等因素的影响,可清晰显示主动脉瓣瓣膜结构、数目。因此在常规超声心动图检查发现主动脉瓣瓣叶结构不清,反流原因不明时,应行经食道超声心动图检查以明确诊断,为临床制定治疗方案提供可靠依据。
医学百科网 | YxBaike.Com
来源:韩晓明.经食管超声心动图诊断主动脉瓣四叶畸形1例[J].临床超声医学杂志,2019,21(01):20.
附件列表
词条内容仅供参考,如果您需要解决具体问题,请遵医嘱或咨询医师。
本站词条内容如果涉嫌侵权,请与客服联系,我们将及时进行处理。如需转载,请注明来源于www.yxbaike.com
如果您认为本词条还有待完善,请 编辑
上一篇 左肺上叶腺癌1例CT影像讨论 下一篇 以完全性动眼神经麻痹为表现的垂体瘤卒中1例
