医学百科网 | YxBaike.Com
医学百科网 | YxBaike.Com
医学百科网 | YxBaike.Com
医学百科网 | YxBaike.Com
医学百科网 | YxBaike.Com
医学百科网 | YxBaike.Com
医学百科网 | YxBaike.Com
医学百科网 | YxBaike.Com
医学百科网 | YxBaike.Com

医学百科网 | YxBaike.Com
微信群内部分讨论 医学百科网 | YxBaike.Com
一米阳光:
医学百科网 | YxBaike.Com
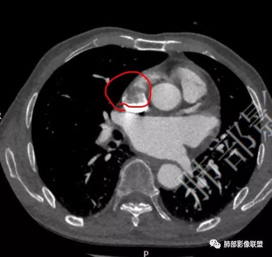
定位右心房。 医学百科网 | YxBaike.Com
熊桅: 医学百科网 | YxBaike.Com
房壁
医学百科网 | YxBaike.Com
王秀仙:
医学百科网 | YxBaike.Com
右房占位,向上腔静脉侵犯。 医学百科网 | YxBaike.Com
李宇:
医学百科网 | YxBaike.Com
右心房壁(哪个壁)?腔?
医学百科网 | YxBaike.Com
刘秋实:
医学百科网 | YxBaike.Com
右房游离壁。
李宇: 医学百科网 | YxBaike.Com
定位要准确,不同位置常见病变是不一样的。 医学百科网 | YxBaike.Com
费锋: 医学百科网 | YxBaike.Com
这个提示是壁来的。
李宇:
医学百科网 | YxBaike.Com
这一例右房壁和上一例对比是硬是软?
医学百科网 | YxBaike.Com
费锋: 医学百科网 | YxBaike.Com
这个显示硬一点的。
医学百科网 | YxBaike.Com
李宇:
医学百科网 | YxBaike.Com
右房大小?
费锋: 医学百科网 | YxBaike.Com
右房增大,左房也大。 医学百科网 | YxBaike.Com
李宇:
良性恶性?
一米阳光:
医学百科网 | YxBaike.Com
向腔外明显突出,形态不规整,恶性? 医学百科网 | YxBaike.Com
李宇: 医学百科网 | YxBaike.Com
病变边界清不清晰?规不规则?
弯弓射大雕: 医学百科网 | YxBaike.Com
不规则。 医学百科网 | YxBaike.Com
李宇: 医学百科网 | YxBaike.Com
周围结构有没有受累或受压?上腔静脉口是不是受累?
一米阳光: 医学百科网 | YxBaike.Com
受累。
医学百科网 | YxBaike.Com
李宇:这个明显长进去的。 医学百科网 | YxBaike.Com
医学百科网 | YxBaike.Com
刘秋实: 医学百科网 | YxBaike.Com
上腔静脉受累了就考虑血管肉瘤啦。 医学百科网 | YxBaike.Com
李宇: 医学百科网 | YxBaike.Com
另外,看一下心包。 医学百科网 | YxBaike.Com
晚风:
心包有增厚积液,心包也有累及。 医学百科网 | YxBaike.Com
毛勤香:
医学百科网 | YxBaike.Com
心包少量积液。 医学百科网 | YxBaike.Com
费锋:这个血管壁是显示不清了 医学百科网 | YxBaike.Com
毛勤香:
心包左侧是不是有壁结节,增厚是有的。
和风徐徐: 医学百科网 | YxBaike.Com
心包不规则增厚。 医学百科网 | YxBaike.Com
李宇: 医学百科网 | YxBaike.Com
左房增大啥原因?
宇宙星空:
医学百科网 | YxBaike.Com
两房受压?
医学百科网 | YxBaike.Com
李宇: 医学百科网 | YxBaike.Com
这个我理解是:心包增厚是肿瘤浸润所致,所以虽然不是夸张的厚但是比较僵硬,类似缩窄性心包炎,所以左室舒张受限,左房回流压力增高。 医学百科网 | YxBaike.Com
费锋: 医学百科网 | YxBaike.Com
心脏血管肉瘤可分为腔内型及向心包弥漫性浸润型,其中腔内型可呈单发或多发大小不等、不光滑的向腔内生长为主、宽基底的低密度结节状或团块状占位,发现时一般瘤体较大,常分叶,并向邻近组织结构膨胀性生长,挤压或侵犯相邻组织或冠状动脉;而向心包弥漫性浸润型血管肉瘤主要向心包浸润,引起心包增厚与积液。
公布结果 医学百科网 | YxBaike.Com
李宇:
(右心房肿物)高级别血管肉瘤,浸润心肌组织。
李宇: 医学百科网 | YxBaike.Com
血管肉瘤是最常见的心脏原发恶性肿瘤,最好发的位置在右房游离壁,病变容易局部增长累及冠状动脉、心包、三尖瓣等,心包积液比较常见,高级别的血管分化好,增强后不均匀明显强化。低级别血管分化差,强化弱,肿瘤细胞容易脱落入血肺内、全身多处转移,转移病灶容易出血。
医学百科网 | YxBaike.Com
