胸膜解剖及胸膜孤立性纤维瘤的 CT 诊断
No.1 胸膜孤立性纤维瘤概述
胸膜孤立性纤维瘤(solitary fibrous tumor,SFT)是一种罕见的胸部肿瘤,约占胸膜原发肿瘤的 5%,发病率约十万分之 2.8
医学百科网 | YxBaike.Com
发病率无性别差异,多见于 50—70 岁人群
医学百科网 | YxBaike.Com
该病起源于胸膜间皮下非定型间充质层的树突间质细胞,是一种 CD34 表达阳性的间叶组织细胞肿瘤
医学百科网 | YxBaike.Com
临床表现无特异性,肿瘤缓慢生长对周围的正常组织产生压迫;出现咳嗽,胸痛,甚至肺性骨关节病
医学百科网 | YxBaike.Com
少数情况可引起副瘤综合征,肿瘤分泌 2 型类胰岛素样生长因子而出现低血糖(Doege-Potter 综合症) 医学百科网 | YxBaike.Com
一般认为其为良性肿瘤,但有约 20% 恶变或向周围浸润 医学百科网 | YxBaike.Com
No.2 胸膜解剖 医学百科网 | YxBaike.Com
脏胸膜:被覆于肺表面 医学百科网 | YxBaike.Com
壁胸膜包括:膈胸膜,纵隔胸膜,肋胸膜,胸膜顶
医学百科网 | YxBaike.Com
胸膜腔:脏胸膜与壁胸膜之间围成的潜在间隙 医学百科网 | YxBaike.Com
胸膜隐窝:在壁胸膜各部转折处,脏、壁胸膜之间留有一定的间隙,称为胸膜隐窝;包括肋膈隐窝和肋纵隔隐窝,以肋膈隐窝最大且位置最深;胸膜腔积液常首先蓄积于此处
医学百科网 | YxBaike.Com
医学百科网 | YxBaike.Com
胸膜的神经 医学百科网 | YxBaike.Com
脏胸膜:来自肺丛,属内脏神经 医学百科网 | YxBaike.Com
医学百科网 | YxBaike.Com
胸膜的血管 医学百科网 | YxBaike.Com
壁胸膜:体循环;肋胸膜-肋间动脉和胸廓内动脉;纵隔胸膜和膈胸膜-心包膈动脉和支气管动脉分支;胸膜顶-锁骨下动脉及其分支 医学百科网 | YxBaike.Com
脏胸膜:支气管动脉及肺动脉双重供血 医学百科网 | YxBaike.Com
No.3 影像表现
医学百科网 | YxBaike.Com
影像检查主要以 CT 平扫 增强为主
医学百科网 | YxBaike.Com
胸腔内实性肿块,与胸膜宽基底相连
孤立性肿块,边缘清楚光整,浅分叶
医学百科网 | YxBaike.Com
病灶发现时一般较大,直径达 8 cm 以上 医学百科网 | YxBaike.Com
密度较均匀,增强后均匀中等强化;病灶较大时可密度不均匀,增强后地图样强化 医学百科网 | YxBaike.Com
肿瘤内可见迂曲血管影及假包膜,少数病灶可见胸膜蒂
MR 检查更能反应肿瘤特性及与胸膜关系 医学百科网 | YxBaike.Com
T1WI 多呈等低或等信号,T2WI 信号变化多样,可同时有高低信号区 医学百科网 | YxBaike.Com
T2WI 高信号反映肿瘤黏液样变区,略高信号反映肿瘤细胞密集区,低信号区反映致密胶原纤维 医学百科网 | YxBaike.Com
增强不均匀强化 医学百科网 | YxBaike.Com
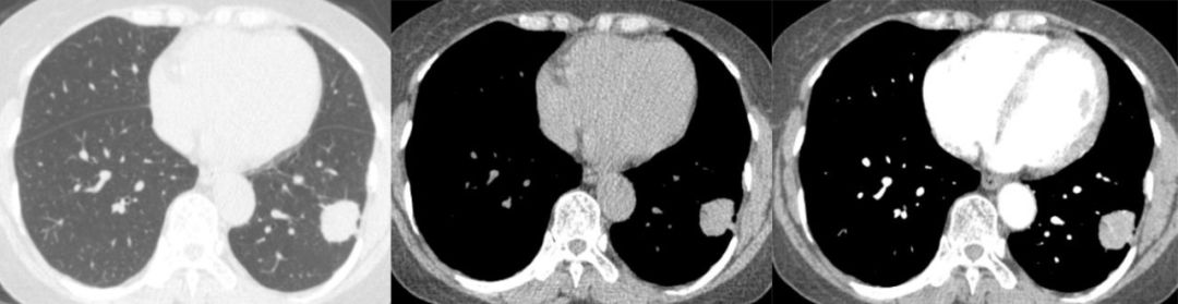
CASE 1 68Y/F 咳嗽、咳痰 20 余天4
医学百科网 | YxBaike.Com
CASE 2 70Y/F 咳嗽、咳痰 5 年余,检查发现肺部结节 2 天
医学百科网 | YxBaike.Com
CASE 3 55Y/F 发现纵隔占位 10 余天
医学百科网 | YxBaike.Com
医学百科网 | YxBaike.Com
CASE 4 50Y/F 发现右肺占位 10 余天
医学百科网 | YxBaike.Com
医学百科网 | YxBaike.Com
No.4 胸膜孤立性纤维瘤的鉴别诊断 医学百科网 | YxBaike.Com
结核球 医学百科网 | YxBaike.Com
由肺部继发结核病灶演变而成 医学百科网 | YxBaike.Com
男性多于女性,年龄多小于 40 岁,多有结核感染史和接触史 医学百科网 | YxBaike.Com
好发于两上肺尖后段及下叶背段
医学百科网 | YxBaike.Com
球形,有卫星灶,平扫密度较高,可不均匀,可伴钙化,结核空洞
医学百科网 | YxBaike.Com
结核球是由纤维肉芽组织包裹的干酪样坏死物形成的,由于中央干酪样坏死部分无血管,故而在增强扫描时无强化或轻微强化,部分病灶边缘强化
CASE 1 59Y/F 左侧胸痛 10 余天 医学百科网 | YxBaike.Com
医学百科网 | YxBaike.Com
医学百科网 | YxBaike.Com
炎性假瘤
医学百科网 | YxBaike.Com
肺实质内非特异性慢性增殖性炎症形成的肿瘤样病变 医学百科网 | YxBaike.Com
有呼吸道感染史,中老年多见
好发于中下肺叶和肺外周部分,可跨段或跨叶
医学百科网 | YxBaike.Com
结节或团片状,病灶形态多样,可有长毛刺,可见特征性的方形征,桃尖征
肺门侧引流支气管影、周边晕圈样改变和网格状改变
医学百科网 | YxBaike.Com
病灶增生形成炎性肉芽肿,增强为中度至明显的不均匀强化 医学百科网 | YxBaike.Com
CASE 1 47Y/F 胸闷咳嗽 10 天入院
医学百科网 | YxBaike.Com
硬化性血管瘤
医学百科网 | YxBaike.Com
肺内良性肿瘤,过去认为其起源于血管,随着免疫组化技术的进步,现认为其起源于 II 型肺泡上皮细胞 医学百科网 | YxBaike.Com
肺内单发结节,圆形或类圆形,边界较清楚,锐利光整,无明显毛刺和分叶 医学百科网 | YxBaike.Com
CT 增强明显强化,病灶较大时可为不均匀强化 医学百科网 | YxBaike.Com
贴边血管征,肺动脉为主征及尾征 医学百科网 | YxBaike.Com
CASE 1 76Y/F 胸闷、心悸 1 月余 医学百科网 | YxBaike.Com
医学百科网 | YxBaike.Com
肺肉瘤 医学百科网 | YxBaike.Com
原发性肺肉瘤是一种较少见的肺部恶性疾病,起源于支气管基质、支气管壁、血管壁等的肺间质组织
占肺部原发性恶性肿瘤的 1% ~ 4%,主要见于老年患者
医学百科网 | YxBaike.Com
可发生在肺的中央或周围,有好发于肺上叶的报道 医学百科网 | YxBaike.Com
瘤体一般较大,膨胀性生长,多分布于肺周边部(周围型),且瘤体边界清楚、密度均匀;周围型与胸膜关系密切,可有胸膜牵拉,胸腔积液 医学百科网 | YxBaike.Com
快速强化,持续性强化,瘤体较大时可有坏死 医学百科网 | YxBaike.Com
CASE 1 65Y/F 发现左肺占位 3 年余,乏力 2 月
医学百科网 | YxBaike.Com
医学百科网 | YxBaike.Com
医学百科网 | YxBaike.Com
医学百科网 | YxBaike.Com
医学百科网 | YxBaike.Com
肋间神经鞘瘤较少见,起源于肋间神经 Schwann 细胞 医学百科网 | YxBaike.Com
类圆形或椭圆形,边缘清晰,包膜完整,位于肋间隙,多沿神经分布
可有肋骨受压吸收及肋间隙增宽
囊变坏死常见,增强后不均匀强化 医学百科网 | YxBaike.Com
CASE 1 69Y/M 胸痛 2 月余
医学百科网 | YxBaike.Com
间皮瘤
医学百科网 | YxBaike.Com
起源于胸膜间皮细胞的肿瘤,临床少见,约占胸膜肿瘤的 5%,常有石棉接触史;分为局限型和弥漫型 医学百科网 | YxBaike.Com
恶性间皮瘤特征表现为单侧弥漫性胸膜增厚,,表现为胸膜弥漫性结节、肿块状增厚或环状增厚,常伴胸腔积液;弥漫结节均匀强化,较大者可有坏死
局限性良性间皮瘤鉴别困难 医学百科网 | YxBaike.Com
CASE 1 55Y/M 乏力、气喘 1 个月 医学百科网 | YxBaike.Com
No.5 总结
胸膜孤立性纤维瘤起源于胸膜间皮下非定型间充质,属良性肿瘤,临床罕见 医学百科网 | YxBaike.Com
临床症状无特异性,缓慢生长压迫产生相应症状,可有副瘤综合征 医学百科网 | YxBaike.Com
影像表现为较大的孤立性肿块,宽基底与胸膜相连, 中度均匀强化,肿块较大地图样强化,可有增粗迂曲血管及假包膜 医学百科网 | YxBaike.Com
与肺内及胸膜的良性肿瘤,肿瘤样病变及少部分恶性肿瘤鉴别,根据病灶与胸膜的关系及强化方式鉴别 医学百科网 | YxBaike.Com
附件列表
词条内容仅供参考,如果您需要解决具体问题,请遵医嘱或咨询医师。
本站词条内容如果涉嫌侵权,请与客服联系,我们将及时进行处理。如需转载,请注明来源于www.yxbaike.com
如果您认为本词条还有待完善,请 编辑
上一篇 颅内动脉供血区域解剖及临床影像 下一篇 儿童朗格汉斯细胞增生症的影像学表现
