肺隐球菌病1例CT影像
1 病 史
医学百科网 | YxBaike.Com
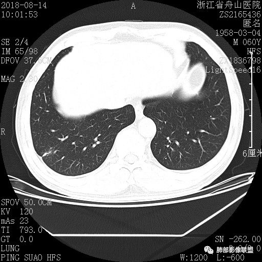
男性,60岁,公务员常规体检发现肺结节20天,要求复查。 医学百科网 | YxBaike.Com
检查:一般可,两肺呼吸音清,未闻及干湿罗音。血常规(-)。 医学百科网 | YxBaike.Com
2 图片在这儿
医学百科网 | YxBaike.Com
医学百科网 | YxBaike.Com
医学百科网 | YxBaike.Com
医学百科网 | YxBaike.Com
诊断? 医学百科网 | YxBaike.Com
我的思考 医学百科网 | YxBaike.Com
这个病人是门诊快结束时候来的,CT结果很奇怪,胸膜下实性结节,整体呈椭圆形,长轴与血管平行,有血管进入,但无分叶毛刺,基底比较窄,胸膜有粘连,有胸膜凹陷征,但是整体病灶有些“糊”。诊断上首先会想到炎性病变,询问病史和体检血象情况,均无急性感染病史,所以想先除外隐球菌感染!遂急查隐球菌荚膜多糖试验。一个半小时后,检查结果阳性!门诊以抗真菌治疗。
医学百科网 | YxBaike.Com
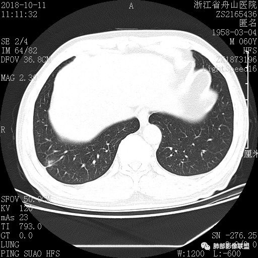
以下是抗真菌后复查结果。6个月后基本吸收。
医学百科网 | YxBaike.Com
医学百科网 | YxBaike.Com
医学百科网 | YxBaike.Com
医学百科网 | YxBaike.Com
医学百科网 | YxBaike.Com
医学百科网 | YxBaike.Com
医学百科网 | YxBaike.Com
医学百科网 | YxBaike.Com
带给我们的思考:
医学百科网 | YxBaike.Com
肺隐球菌感染既往见于有免疫力缺陷病人,比如HIV感染、长期使用激素患者。近年来,随着CT检查的广泛使用,越来越多无免疫力缺陷的肺隐球菌患者被发现。影像学上表现为结节型者约占到三四成。而这种结节在CT诊断上常被当成肺癌而手术,从而造成患者不必要的损害。 医学百科网 | YxBaike.Com
对于急性期的结节,常因病灶多发、病灶边缘模糊,诊断不难;当病灶演变成肉芽肿期时,与肿瘤鉴别相当困难(主要是病灶在随访过程中可以有和肿瘤一样的倍增时间),所以要引起临床足够的重视。 医学百科网 | YxBaike.Com
附件列表
词条内容仅供参考,如果您需要解决具体问题,请遵医嘱或咨询医师。
本站词条内容如果涉嫌侵权,请与客服联系,我们将及时进行处理。如需转载,请注明来源于www.yxbaike.com
如果您认为本词条还有待完善,请 编辑
上一篇 肾脏乳头状肾细胞癌1例CT及MR影像讨论 下一篇 X线解剖图谱(尾骨)
