肝脏原发性血管肉瘤1例CT影像讨论
医学百科网 | YxBaike.Com
医学百科网 | YxBaike.Com
医学百科网 | YxBaike.Com
病理结果
医学百科网 | YxBaike.Com
讨论
医学百科网 | YxBaike.Com
李广明:
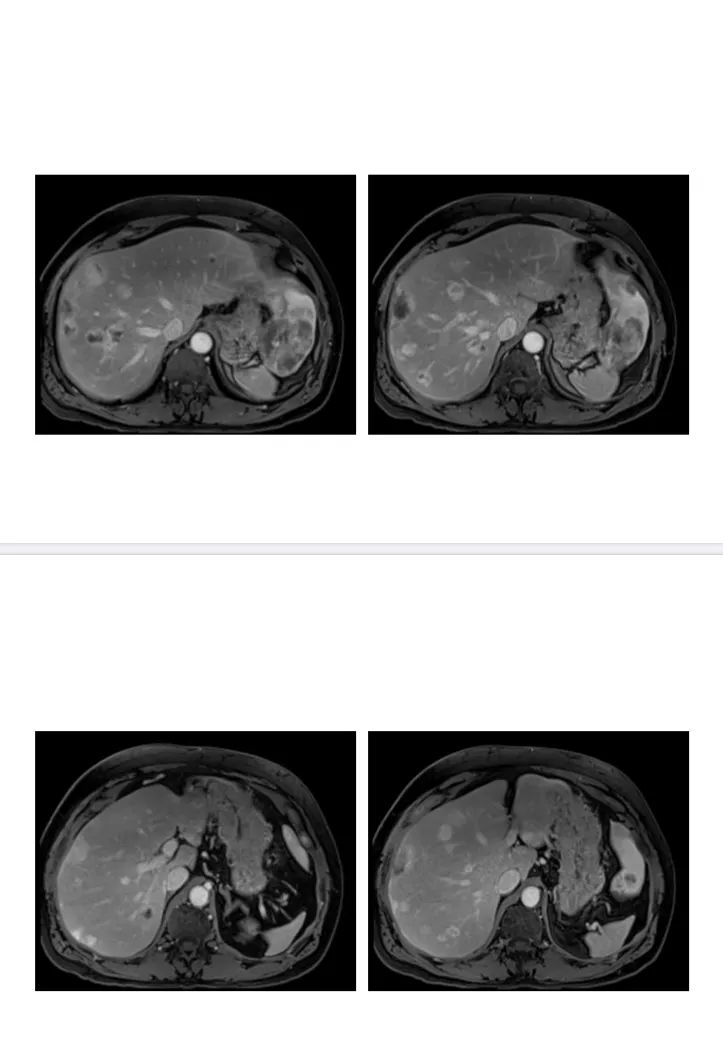
肝脏多发结节及肿块,平扫等 延迟等,考虑恶性程度不高病变。1t2高首先需要考虑血管源性肿瘤,血管瘤,周围环状强化,不太符合,ehe病灶大部分征象符合,有一病灶可见棒棒糖征,一般中心有坏死,本例没有,也未见明显包膜收缩,部分病灶靠中心分布,血管肉瘤,一般中心强化,有坏死。2转移瘤,神经内分泌癌,一般也有坏死。3炎性肉芽肿或炎性假瘤,影像表现符合,需要重点考虑。建议查看白细胞及CRP,综合考虑炎性假瘤或肉芽肿>ehe>神经内分泌肿瘤。
医学百科网 | YxBaike.Com
邱勇刚; 医学百科网 | YxBaike.Com
肝多发病灶,包膜下分布为主,T2WI信号比较高,富血供,向心性充填,符合血源性肿瘤。EHE? 医学百科网 | YxBaike.Com
施彪: 医学百科网 | YxBaike.Com
肝脏多发包膜下肿块,渐进性强化填充,棒棒糖征,包膜回缩,常规考虑EHE,鉴别转移瘤!
医学百科网 | YxBaike.Com
天涯: 医学百科网 | YxBaike.Com
老年女性,肝实质密度减低,肝内多发结节灶,包膜下分布为主,渐进性强化,部分见棒棒糖,倾向EHE,鉴别血管肉瘤及炎性病变。
医学百科网 | YxBaike.Com
魏秀红:
肝脏多发肿块,部分位于包膜下,渐进性强化填充,部门呈环状强化,部分可见棒棒糖征,部分包膜回缩,首先考虑EHE,鉴别转移瘤(病史)。 医学百科网 | YxBaike.Com
苏志强: 医学百科网 | YxBaike.Com
T2低信号,考虑肝结核。 医学百科网 | YxBaike.Com
王鑫: 医学百科网 | YxBaike.Com
肝内及包膜下多发病灶,增强后渐进性强化,并且见肝包膜的线状强化,此征象可能为鉴别要点,考虑炎性肉芽肿,真菌或结核,鉴别神经内分泌肿瘤,ehe
刘祥: 医学百科网 | YxBaike.Com
肝脏多结节和团块,呈长1长T2,增强动脉期部份结节边缘强化,门脉期诸病灶均显示明显强化,以边缘强化为主,延迟期造影向病变内进一步充填。脾脏内也可见多发大小不等的团块,增强不均匀强化。考虑血管源性恶性肿瘤。
附件列表
词条内容仅供参考,如果您需要解决具体问题,请遵医嘱或咨询医师。
本站词条内容如果涉嫌侵权,请与客服联系,我们将及时进行处理。如需转载,请注明来源于www.yxbaike.com
如果您认为本词条还有待完善,请 编辑
上一篇 肾脏感染性病变的影像学表现 下一篇 肺结节2例CT影像讨论
