卵巢甲状腺肿1例CT影像
医学百科网 | YxBaike.Com
医学百科网 | YxBaike.Com
讨论
苏志强:右附件去囊实性占位,实性结节渐进性强化,肿块形态尚规则,边界清,其内未见明显分隔,无腹水,肿瘤标志无无异常,中年女性,考虑良性肿瘤,卵巢生殖来源肿瘤可能,so? 医学百科网 | YxBaike.Com
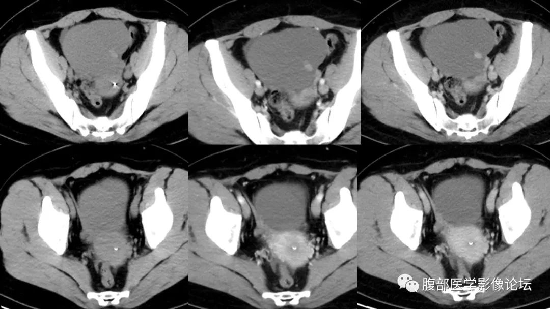
雪天抓兔:今晚学习卵巢甲状腺肿,so。40到60居多,绝经前发病。患者可能有甲亢的症状和体征。偶出现假meigs征,血清ca125升高。
医学百科网 | YxBaike.Com
影像表现囊性或囊实性,可有分隔。囊壁可钙化,高密度囊肿是so特征性表现。增强扫描实性成分及分隔明显强化。核磁,so内粘性胶冻样或者出血信号复杂,t2低信号是so特征性表现。 医学百科网 | YxBaike.Com
鉴别诊断,囊腺瘤,单房或多房囊性病变,细分隔,无软组织成分。
囊腺癌,实性成分多,易坏死,多发壁结节,
巧囊,痛经病史,多发黏连,出血,液平。 医学百科网 | YxBaike.Com
冬天里的一把火:中年妇女,左侧附件区囊实性改变,多个囊腔目测密度不一,大小不一,实性病变内见钙化阴影,强化似明显。考虑卵巢甲状腺肿。鉴别囊腺瘤,成熟性畸胎瘤。 医学百科网 | YxBaike.Com
张文坦:中年女性,实验室肿标正常。右侧附件区囊性肿块,可见结节状稍高密度影,增强似乎没有强化,盆腔内少量积液,考虑SO。没有CT值诊断有点困难[偷笑][偷笑][偷笑],如果都是实性成分,轻微强化,考虑纤维—卵泡膜类细胞瘤。如果没有强化,结节状状高密度有强化,需要鉴别成熟性囊性畸胎瘤、透明细胞癌。
医学百科网 | YxBaike.Com
王鑫:右附件区囊实性病灶,平扫密度稍低,增强后实性成分轻中度强化,少量积液,考虑卵泡膜纤维瘤,卵泡膜细胞瘤,鉴别囊腺瘤,so
医学百科网 | YxBaike.Com
附件列表
词条内容仅供参考,如果您需要解决具体问题,请遵医嘱或咨询医师。
本站词条内容如果涉嫌侵权,请与客服联系,我们将及时进行处理。如需转载,请注明来源于www.yxbaike.com
如果您认为本词条还有待完善,请 编辑
上一篇 新生儿坏死性小肠结肠炎的影像学表现 下一篇 MRI乳腺扫描技术
