儿童肾脏肿瘤影像诊断
肾母细胞瘤
肾母细胞瘤(Wilms 瘤)是儿童最常见肾肿瘤。来源于肾胚基细胞的恶性胚胎性肿瘤。绝大多数在 5 岁以内,但新生儿和小婴儿少见。肾母细胞瘤一般呈有完整包膜的圆形或类圆形肿块。瘤内易出现囊变坏死和出血、少数病灶见钙化、极少数可见脂肪。肿块较大时跨过中线、腹膜后大血管被推移但不包绕(与神经母细胞瘤不同)。增强扫描一般不均匀强化,4-8% 可见肾静脉和下腔静脉癌栓,右肾静脉较短导致右肾肾母更易形成癌栓。残肾多为新月形或环形包绕肿块。胸部转移较多见。
case 1:
医学百科网 | YxBaike.Com
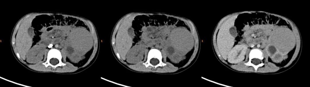
肾母细胞瘤。男,3 岁。肾脏肿块,残肾呈新月形包绕肿块,说明肿块来源于肾脏。 医学百科网 | YxBaike.Com
医学百科网 | YxBaike.Com
case 2:
医学百科网 | YxBaike.Com
囊性部分分化型肾母细胞瘤;女,7M。肾母细胞瘤可以表现为多房囊性,且囊壁可不均匀增厚,以此可与多房囊性肾瘤鉴别。囊性部分分化型肾母细胞瘤年龄多偏小。 医学百科网 | YxBaike.Com
医学百科网 | YxBaike.Com
先天性中胚层肾瘤
医学百科网 | YxBaike.Com
好发于新生儿及婴儿早期。高峰年龄 1-3M、90%<1 岁。3 个月以下婴儿最常见肾脏肿瘤。CT 可与肾母细胞瘤相似,显示肾内大的实性低密度肿块。60% 有囊变甚至呈囊性、可见钙化。增强扫描轻-中度强化。瘤内明显局灶性强化区伴延迟期造影剂潴留于该区具有一定特征(代表有一定分泌功能发育不全的肾小球和肾小管),但少见。文献报道增强扫描病灶内环形强化可能有提示诊断的意义。胎儿期及 3 个月以下小婴儿肾脏肿瘤应首先考虑中胚层肾瘤。 case 1:
先天性中胚层肾瘤,女,4M。影像难以和肾母鉴别,但结合年龄首先考虑先天性中胚层肾瘤。增强扫描病灶内可见环形强化(箭),可能有提示诊断的意义。
case 2:
医学百科网 | YxBaike.Com
先天性中胚层肾瘤。胎儿 MR 显示左肾区肿块。先天性中胚层肾瘤经常在产前发现,胎儿肾脏肿瘤应首先考虑先天性中胚层肾瘤。而肾母细胞瘤极少在产前发现。
肾透明细胞肉瘤 医学百科网 | YxBaike.Com
肾透明细胞肉瘤(CCSK)是罕见的儿童肾恶性肿瘤、恶性程度较高。约占儿童肾肿瘤的 3%,好发于 6 个月-5 岁儿童。骨转移为特征因此又称儿童骨转移性肾肿瘤(肾母骨转移较少见)。与 Wilms 瘤不同在于:①易浸润肾外组织并包绕相邻血管。②肿瘤血供更为丰富。③肿瘤密度混杂、液体成分所占比例较大(瘤体有液化灶存在、多发层状液化与正常组织相间形成虎斑状条纹),这在其他儿童肾肿瘤少见。④25% 的钙化率明显高于肾母。 医学百科网 | YxBaike.Com
case 1: 医学百科网 | YxBaike.Com
医学百科网 | YxBaike.Com
肾透明细胞肉瘤(CCSK)。男,4 岁。可见肿瘤液性成分较多,多发椎体(箭)、胸骨和肋骨(未列出)转移。儿童肾肿瘤伴骨转移时首先考虑肾透明细胞肉瘤。
case 2: 医学百科网 | YxBaike.Com
医学百科网 | YxBaike.Com
男,8 个月。右肾区巨大占位伴点状钙化灶。实性部分中度强化,强化实性部分与液化坏死区呈现黑白相间虎斑样条纹改变。伴有肺转移(未列出)。
医学百科网 | YxBaike.Com
肾脏恶性横纹肌样瘤 医学百科网 | YxBaike.Com
肾脏恶性横纹肌样瘤(MRTK)是罕见肾脏恶性肿瘤、恶性程度高、病情发展迅速。好发于婴幼儿,大多发生于 2 岁以内。如术前高度怀疑肾横纹肌样瘤须同时加扫头颅,因为它可伴有后颅凹中线处的原发性肿瘤。CT 显示位于肾髓质紧邻肾门处不均质肿块,有分叶、细线样钙化(典型呈条状勾出肿瘤轮廓),肾包膜增厚、包膜下新月形积液(提示肿瘤的坏死或出血)时应考虑,发生率约 70%,远高于其他儿童肾肿瘤。
医学百科网 | YxBaike.Com
case 1: 医学百科网 | YxBaike.Com
医学百科网 | YxBaike.Com
肾脏恶性横纹肌样瘤;男,1M14D。该病例局部肾包膜似略厚,没有出现钙化、包膜下积液等征象。诊断肾母年龄太小,易诊断为较常见的先天性中胚层肾瘤。
其他少见肿瘤
医学百科网 | YxBaike.Com
其他发生于儿童的肾脏肿瘤包括婴儿骨化性肾肿瘤、儿童肾癌、肾畸胎瘤、儿童囊性肾瘤、淋巴瘤肾脏浸润和后肾腺瘤等。
case 1: 医学百科网 | YxBaike.Com
医学百科网 | YxBaike.Com
婴儿骨化性肾肿瘤。男,6 个月,间断性肉眼血尿。右肾盂内 2 cm 肿块伴多发钙化灶。婴儿骨化性肾肿瘤是一种极少见的、好发于婴儿的良性肾肿瘤,96% 出现无痛间歇肉眼血尿。CT 通常表现为边界清楚位于肾盏内的肿块,多<3 cm,81% 伴钙化。1 岁以内婴儿临床出现血尿、CT 表现肾盏内钙化性体积不大的肿块,应该考虑该瘤的诊断。 case 2:
医学百科网 | YxBaike.Com
肾细胞癌。男,4 岁。儿童肾细胞癌仅占所有肾细胞癌的 0.3-1.3%,平均就诊年龄 9 岁。诊断时 20% 有肺肝脑或骨骼转移。确诊需病理。
医学百科网 | YxBaike.Com
case 3: 医学百科网 | YxBaike.Com
医学百科网 | YxBaike.Com
儿童囊性肾瘤。儿童囊性肾瘤大部分发生于小于 2 岁,病理学如果发现任何不成熟的肾母细胞瘤成分应诊断为囊性部分分化型肾母细胞瘤。
医学百科网 | YxBaike.Com
case 4:
医学百科网 | YxBaike.Com
男,2y。左肾后肾腺瘤。后肾腺瘤可发生于儿童和成人。CT 显示主要位于肾皮质、边界清楚密度均匀肿块。密度高于周围肾组织,增强扫描轻度延迟强化。
医学百科网 | YxBaike.Com
总结
儿童肾肿瘤肾母细胞瘤占绝大多数,但 1 岁以内肾母细胞瘤比例明显下降,3 个月以内则以先天性中胚层肾瘤最常见,尤其胎儿期就存在的肿瘤多为先天性中胚层肾瘤。
影像上瘤内明显局灶性强化区伴延迟期造影剂潴留于该区、病灶内环形强化有助于先天性中胚层肾瘤的诊断,肾肿瘤伴有骨转移提示肾透明细胞肉瘤,肾包膜增厚、包膜下新月形积液常见于恶性横纹肌样瘤,1 岁以内婴儿 CT 显示肾盏内钙化性体积不大的肿块伴血尿提示婴儿骨化性肾肿瘤,儿童囊性肾瘤和囊性部分分化型肾母细胞瘤影像上难以区分,主要依靠病理。
附件列表
词条内容仅供参考,如果您需要解决具体问题,请遵医嘱或咨询医师。
本站词条内容如果涉嫌侵权,请与客服联系,我们将及时进行处理。如需转载,请注明来源于www.yxbaike.com
