肾上腺平滑肌瘤伴钙化1例CT影像
医学百科网 | YxBaike.Com
医学百科网 | YxBaike.Com
医学百科网 | YxBaike.Com
医学百科网 | YxBaike.Com
医学百科网 | YxBaike.Com
医学百科网 | YxBaike.Com
医学百科网 | YxBaike.Com
医学百科网 | YxBaike.Com
医学百科网 | YxBaike.Com
医学百科网 | YxBaike.Com
医学百科网 | YxBaike.Com
医学百科网 | YxBaike.Com
医学百科网 | YxBaike.Com
医学百科网 | YxBaike.Com
医学百科网 | YxBaike.Com
医学百科网 | YxBaike.Com
讨论
医学百科网 | YxBaike.Com
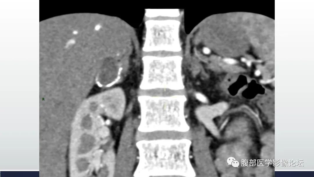
李广明:右侧肾上腺外侧支结节,环状钙化,其内以囊性为主,尚可见稍高密度灶,增强强化不明显,左侧肾上腺稍增生。考虑1囊肿类,病灶环状钙化,需要优先考虑囊肿病变出血所致,a血肿机化及囊变,一般有外伤病史。b支气管囊肿,影像表现亦符合。2炎症,结核,肾上腺结核一般伴有爱迪生氏综合症,该患者临床没有提示。3肿瘤神经源性,强化偏弱,此种改变不典型。综合考虑肾上腺良性病变,囊肿类首先考虑,陈旧性血肿或支气管囊肿。建议核磁检查,除外肿瘤囊变。 医学百科网 | YxBaike.Com
结果:肾上腺平滑肌瘤 肾上腺平滑肌瘤一般无明显临床症状,多在体检或其他疾病临床诊治中偶然发现,亦呈“偶发瘤”。但是个别患者因肿瘤增大对周围组织压迫而出现腰部疼痛等症状。由于无内分泌功能,因此肾上腺皮髓质分泌功能正常,皮质醇、肾素、血管紧张素、醛固酮均无异常改变。影像表现为肾上腺区圆形或类圆形实质性肿块,质地均匀,部分有钙化,强化不明显,确诊有待病理检查。手术切除为主要治疗方法,术后无复发。 医学百科网 | YxBaike.Com
赵德利:适合我的三板斧和原则,第一板,钙化多见于四大类:囊肿,腺瘤,髓质瘤和感染如结核。增强无强化考虑复杂囊肿,强化考虑腺瘤。
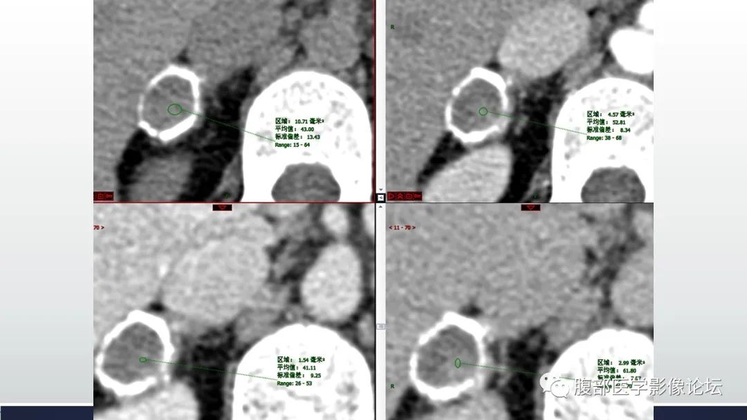
徐钢:环形钙化,里面有轻度强化,静脉期退出,延迟又有强化,不知是不是测量的问题,但是延迟确实看到有强化,我考虑良性病变,倾向感染类,结核?至于临床症状有否,要看确切的临床资料
医学百科网 | YxBaike.Com
珠联璧合:定位:右侧肾上腺外支。
定量:环形钙化,中心密度减低为主,见少许密度稍高区,增强扫描未见强化;中年女性,平素健康。
定性:良性。
定病:结核>血肿机化>神经源性肿瘤。 医学百科网 | YxBaike.Com
邱勇刚:右肾上腺囊性占位,病灶有一定张力,囊内密度偏高,边缘环形钙化,内部轻度强化,考虑良性病变。疾病谱肾上腺血肿,囊肿,完全囊变的神经鞘瘤,节瘤。本例有张力不符合节瘤,强化不太符合神经鞘瘤。血管瘤太少见,考虑血肿>血管瘤。
医风听雨:右侧肾上腺蛋壳样钙化病灶,内部密度不均,(40到60多),这种表现很少见,分析只能一一排除,肿瘤(包括原发和转移),炎症,囊肿。肿瘤的话考虑良性肿瘤,炎症没有特别适合的病变,囊肿可以边缘钙化,但是这个病灶钙化比较厚,不符合。总结还是考虑良性肿瘤。 医学百科网 | YxBaike.Com
附件列表
词条内容仅供参考,如果您需要解决具体问题,请遵医嘱或咨询医师。
本站词条内容如果涉嫌侵权,请与客服联系,我们将及时进行处理。如需转载,请注明来源于www.yxbaike.com
如果您认为本词条还有待完善,请 编辑
上一篇 臂丛神经MR扫描 下一篇 食管Schatzki环
