肺结核1例CT影像讨论
病例资料 医学百科网 | YxBaike.Com
医学百科网 | YxBaike.Com
医学百科网 | YxBaike.Com
医学百科网 | YxBaike.Com
医学百科网 | YxBaike.Com
医学百科网 | YxBaike.Com
医学百科网 | YxBaike.Com
医学百科网 | YxBaike.Com
医学百科网 | YxBaike.Com
医学百科网 | YxBaike.Com
医学百科网 | YxBaike.Com
医学百科网 | YxBaike.Com
医学百科网 | YxBaike.Com
医学百科网 | YxBaike.Com
医学百科网 | YxBaike.Com
医学百科网 | YxBaike.Com
微信群讨论 医学百科网 | YxBaike.Com
曹志勇: 医学百科网 | YxBaike.Com
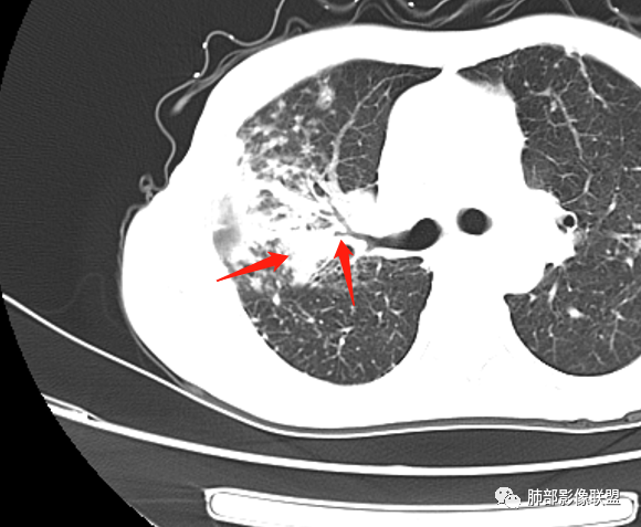
双肺多发片状影,索条影及小结节影,并见少许钙化,右肺上叶为主,主病灶无彭隆,考虑结核可能大
医学百科网 | YxBaike.Com
没意见: 医学百科网 | YxBaike.Com
老年女性,图少、无增强,肺内病灶散、多、弥漫,主体右肺上叶前段外支,后段水平支,胸膜、小叶、中轴间质均受累,串珠样改变,纵隔淋巴结多发肿大,钙化,但无牵拉移位,考虑淋巴增殖性疾病,支气管淀粉样变,可能继发于结核,NTM? 医学百科网 | YxBaike.Com
秦化君:
医学百科网 | YxBaike.Com
双肺不均匀散在分布斑片状,条索状,斑点状影,边缘部分清晰,可见部分病灶钙化,考虑感染性病变,结核?NTM?详细询问病史,尘肺 结核?
医学百科网 | YxBaike.Com
王秀仙: 医学百科网 | YxBaike.Com
双上肺多发片状、索条影及小结节影,并见少许钙化,右肺上叶后段肿块,后段支气管阻塞,边缘膨隆,双上肺小叶间隔增厚呈多发结节状,胸膜局限性增厚,考虑:1、双肺上叶结核;2、右肺上叶后段腺癌并癌淋。 医学百科网 | YxBaike.Com
王开金江津中心医院呼吸科: 医学百科网 | YxBaike.Com
老年女性,短病程,咳嗽,咳痰为主诉,双肺多发病灶,右上为主,实变,小结节,条索,考虑结核,但小叶间隔增厚,胸膜下多发结节,警惕肿瘤。
医学百科网 | YxBaike.Com
玫:
医学百科网 | YxBaike.Com
女,67,咳嗽咳痰半月,双肺多发病灶,部分钙化,右肺为著,右肺上叶大片实变影,累及胸膜,右肺上叶支气管堵塞,右侧肺门略增大,考虑肺癌,双肺结核。
医学百科网 | YxBaike.Com
崔少钢:
老年女性,主病灶在右肺上叶,有点散,周围可见卫星灶及少许树芽,双肺多发索条、结节及散在钙化,纵隔及肺门见钙化淋巴结,考虑结核。 医学百科网 | YxBaike.Com
秋实: 医学百科网 | YxBaike.Com
双肺多发斑片,索条及结节影,内可见钙化,右肺上叶后段支气管截断,断端圆钝略扩张,双肺门及纵膈淋巴结钙化,双侧胸膜增厚伴钙化。首先考虑结核。右肺上叶亚段气管分叉处结节,警惕肿瘤
医学百科网 | YxBaike.Com
果哣.:
老年女性,双肺索条纤维影,右肺上叶散在卫星灶,树芽征,小叶中心融合,右肺后段支气管圆形截断,实变病灶内支气管扩张,考虑结核。
红星:
医学百科网 | YxBaike.Com
老年女性,病史半个月,两肺上叶为主病灶,多发不规则实变影、条索状影及散在小结节影,首先考虑结核,警惕合并肺癌,尤其是右肺上叶团块实变影。还可以看看重建图像,必要的增强。 医学百科网 | YxBaike.Com
水晶石头:
医学百科网 | YxBaike.Com
患者老年女性,咳嗽、咳痰半月余。查体双肺可闻及痰鸣音。胸部CT:双肺上叶可见多发结节、条索、斑片实变影及小叶间隔增厚,部分见分叶、长毛刺及钙化,表面光滑,纵隔淋巴结有钙化。综合考虑良性病变,结核可能大,鉴别腺癌并癌性淋巴管炎。
医学百科网 | YxBaike.Com
丽:
老年女性,咳嗽咳痰,双肺散在片状及索条状高密度影,以右肺上叶为主,周围可见结节,实变内可见钙化,纵膈及双肺门可见钙化淋巴结,首先考虑感染性病变,结核可能大,警惕右肺上叶肿瘤并癌性淋巴管炎 医学百科网 | YxBaike.Com
蓝天白云:
医学百科网 | YxBaike.Com
双肺多发斑片,索条及结节影,内可见钙化,右肺上叶结节影,空泡,右肺上叶后段支气管截断,断端圆钝略扩张,双肺门及纵隔淋巴结钙化,双侧胸膜增厚伴钙化。首先结核肯定会有,右肺上叶结节,考虑腺癌 医学百科网 | YxBaike.Com
傅昌瑜:
老年女性,咳嗽咳痰半月,肺部听诊痰鸣音。影像以右上肺实变?肿块?与支气管关系不清晰;另见两上肺结节、条索,胸膜局部增厚有钙化点,纵隔肺门淋巴结见钙化。综合考虑结核可能性大,注意肺癌。完善增强及支气管镜等检查。
医学百科网 | YxBaike.Com
采莲: 医学百科网 | YxBaike.Com
老年女性,咳嗽咳痰半月,双上肺多发条索影,结节影,密度较高,右肺上叶不规则肿块,内有钙化,靠近胸膜下,靠内侧可见斑片影,树芽征,支气管壁增厚,考虑尘肺并肺结核,肺癌待排。 医学百科网 | YxBaike.Com
三个石头: 医学百科网 | YxBaike.Com
双肺上叶,结节,斑片,条索,大片实变影,支气管远端不通,是不是层面不够啊,后段支气管堵没堵?肺门纵隔淋巴结钙化,常规考虑结核。 医学百科网 | YxBaike.Com
李:
双上肺索条,多发边缘清楚的结节,右上肺结节灶,无连续层面,不能判断支气管是否堵塞,双肺多发钙化,考虑结核,建议气管镜 医学百科网 | YxBaike.Com
尘缘: 医学百科网 | YxBaike.Com
常规考虑结核(鉴别尘肺合并结核,职业史?),老年人还要排除恶性(原发肺癌或者转移,需要结合病史与肿瘤标志物,必要时穿刺活检或支气管镜检)
飞鹰行动:
双肺多发条索状,结节病灶,以右肺显著,部分病灶有爬树征,树芽征,未见明显钙化,纵隔淋巴结增大钙化,常规考虑结核,不能排除肺癌,建议增强和支气管镜检查 医学百科网 | YxBaike.Com
毛勤香: 医学百科网 | YxBaike.Com
两肺上叶多发索片小结节影,部分密度较高,中央间质和周围间质都增厚,肺门纵隔淋巴结肿大钙化,基础疾病考虑有尘肺或陈旧结核,需结合相关病史;右肺上叶见斑片点片状模糊影,部分树芽征上叶后段局部细支气管闭塞,考虑感染,结核可能性大,右肺上叶后段病灶实变成团块状,密度低于胸壁肌肉,首先还是考虑结核肉芽肿,治疗后复查除外合并肿瘤可能。 医学百科网 | YxBaike.Com
流心明智: 医学百科网 | YxBaike.Com
老年女性,67岁,咳嗽、咳痰半月余。双肺可闻及痰鸣音。
胸部CT:双肺上叶多发小结节,沿胸膜下、支气管血管束分布。右上肺斑片实变影、索条影及小叶间隔不均匀增厚,支气管枯枝征?纵隔淋巴结多发肿大,部分有钙化。综合考虑:结节病?尘肺?鉴别:腺癌并癌淋。 医学百科网 | YxBaike.Com
一切∮随缘: 医学百科网 | YxBaike.Com
双肺胸膜胸膜下多发结节及实变影,部分融合,周围可见纤维索条,部分实变内可见钙化影,形态不规则,边缘收缩,纵隔淋巴结肿大伴钙化,考虑结核,鉴别IPF
医学百科网 | YxBaike.Com
蕊:
双侧胸膜下去多发结节状及斑片状实变影,周围伴有条索影,部分结节融合成小片状,中轴间质及小叶间隔增厚,纵隔淋巴结钙化,常规考虑结核,不除外合并尘肺。
宇宙星空: 医学百科网 | YxBaike.Com
支气管血管束是增厚的,多发病灶及纤维灶,有钙化及纵隔钙化淋巴结,树芽征,支持结核合并其他感染。
医学百科网 | YxBaike.Com
就这里不让人放心,是占位吗?支气管是截断的,没有凹陷或者突出阻断,阻断前稍扩张 医学百科网 | YxBaike.Com
医学百科网 | YxBaike.Com
王崇军:
双肺上叶,结节,斑片,条索,大片实变影,支气管远端不通,是不是层面不够啊,后段支气管堵没堵?肺门纵隔淋巴结钙化,常规考虑结核。黄老师病例,尘肺不排除,但可能性不大,合并肺癌待排 医学百科网 | YxBaike.Com
三生石上:
双肺胸膜下多发结节及实变影,部分融合,周围可见纤维索条,部分实变内可见钙化影,形态不规则,边缘收缩,纵隔淋巴结肿大伴钙化,考虑结核。
医学百科网 | YxBaike.Com
巫艳彬(Yanbin):
医学百科网 | YxBaike.Com
老年女性,半月咳嗽咳痰病史,肺部听诊痰鸣音。影像双上肺,以右上肺为主病变。形态不规则实变影,结节,条索,未见侵犯胸壁,右上支气管分枝似有堵塞,胸膜局部增厚有钙化点,纵隔肺门淋巴结见钙化。综合考虑结核可能性大,注意除外腺癌。做支气管镜活检。
赵子坤:
医学百科网 | YxBaike.Com
老年内女性,右肺上叶大片实变,按肺段分布,支气管堵塞处轻度扩张内凹,病灶内及肺门区多发钙化灶,双肺多发结节及索条,以双肺上叶明显,综合考虑结核可能大,因为有喘息病史,曲霉菌不除外;工作中还要排除结核合并肿瘤的可能。 医学百科网 | YxBaike.Com
go and see:
医学百科网 | YxBaike.Com
患者老年女性,亚急性起病,主要症状表现为咳嗽、咳痰半月余,查体:双现呼吸音粗,双肺可闻及痰鸣音。胸部CT:双上肺胸膜下可见多发小叶实变影,双上肺可见多发小叶中心性结节及小叶间隔增厚,右上肺后段可见亚段性实变影,内见多发空洞,前段可见GGO及树芽征,后段局部支气管闭塞,肺门淋巴结肿大并钙化。病灶整体:有气道、间质播散,一元论考虑肺结核合并支气管结核可能性大,建议好好查痰;这样病灶:明显实变 空洞 气道播散,若是结核,痰涂片找到抗酸杆菌应该没问题。建议支气管镜检查助诊,了解有无支气管结核及合并腺癌的可能。 医学百科网 | YxBaike.Com
答案揭晓 医学百科网 | YxBaike.Com
诊断:活动性肺结核 医学百科网 | YxBaike.Com
病例分析
医学百科网 | YxBaike.Com
肺结核是常见的感染性病变,肺结核临床上一般以长期、低热多见。急性血行播散性肺结核在X线胸片上可表现为全肺均匀一致的散在结节,类似二期矽肺的X线改变。诊断依据详细的临床病史和体检,患者有明显的症状,发热呈高热弛张型。实验室检查:结核菌素试验(PPD)呈强阳性反应,痰结核菌涂片及培养为结核感染的直接证据。二者在影像上有相似表现,且尘肺易合并结核。 医学百科网 | YxBaike.Com
本例肺结核的影像征象:
1、树芽征
2、多发结节,卫星灶
医学百科网 | YxBaike.Com
3、小叶间质增厚,有索条影
医学百科网 | YxBaike.Com
4、反晕征 医学百科网 | YxBaike.Com
医学百科网 | YxBaike.Com
5、纵隔淋巴结肿大
医学百科网 | YxBaike.Com
医学百科网 | YxBaike.Com
尘肺知识点:
医学百科网 | YxBaike.Com
我国尘肺病有以下十二种:矽肺、煤工尘肺、石墨尘肺、碳黑尘肺、石棉肺、滑石尘肺、水泥尘肺、云母尘肺、陶工尘肺、铝尘肺、电焊工尘肺和铸工尘肺。
尘肺的病理改变: 医学百科网 | YxBaike.Com
医学百科网 | YxBaike.Com
临床表现: 医学百科网 | YxBaike.Com
尘肺患者主要以咳嗽、咳痰、胸痛、呼吸困难四大症状。部分患者伴喘息、咯血以及其他全身症状。
医学百科网 | YxBaike.Com
影像表现:
医学百科网 | YxBaike.Com
*小结节,直径2-5mm,边缘清楚或不清楚,小叶中心性和胸膜下。 医学百科网 | YxBaike.Com
*弥漫分布,以上叶和后部为主,
*融合团块,形态不规则,含坏死区。 医学百科网 | YxBaike.Com
*局灶性小叶中心性肺气肿。 医学百科网 | YxBaike.Com
*不规则型或瘢痕型肺气肿。
医学百科网 | YxBaike.Com
*淋巴结肿大和钙化。 医学百科网 | YxBaike.Com
电焊工肺:由于致病因子不是SiO2,而是以氧化铁为主,早期以两中下肺明显(而SiO2引起的矽肺以双上肺明显)的小结节影、间质纤维化和淡片影,小叶中心的分支状线影或磨玻璃结节影。该病应与粟粒肺结核、肺泡蛋白沉着症以及过敏性肺炎进行鉴别。
病例点评
医学百科网 | YxBaike.Com
临床及影像: 医学百科网 | YxBaike.Com
1.双肺片状影、大小不等斑片影、结节影、树芽等,病灶密度偏高多钙化。 医学百科网 | YxBaike.Com
2.病灶上肺为主,胸膜下分布为主。双肺病灶明显不对称,右肺块状影较大。
3.纤维条索影广泛杂乱、牵拉,横向分布为主,这点给人也印象很深! 医学百科网 | YxBaike.Com
4.纵隔轻度右移。双肺门纵隔淋巴结增大钙化。 医学百科网 | YxBaike.Com
5.老年女性患者,咳嗽咳痰半月余 医学百科网 | YxBaike.Com
分析: 医学百科网 | YxBaike.Com
1.胸膜下为主,簇状分布,大小不等,新旧不等,树芽,密度偏高等等都结核病变影像学特点。
医学百科网 | YxBaike.Com
2.多数尘肺结节影相对比较随机,没有胸膜下分布优势。 医学百科网 | YxBaike.Com
尘肺结节显得“游离”、清晰,一般较为均匀,很少呈多形性、斑片、树芽或新旧不等改变,晚期形成的纤维块状影多是双上肺中带对称分布,也很少纵隔偏移。
医学百科网 | YxBaike.Com
说在后面的话:
1.本例结核诊断当无异议!
医学百科网 | YxBaike.Com
2.能够完全将尘肺排除在外吗(如II期)?不能!左肺内中带较均匀分布的较均匀是具有尘肺影像学特征而不支持结核血播的。此外双肺门及纵隔淋巴结钙化也更多见于尘肺,尤其是矽肺。
3.临床实践中,尘肺继发结核,有时如影随形!
如在原有尘肺病灶较短期内发生变化且病灶边界相对模糊时;原有尘肺基础上出现斑片影、树芽征,尤其是胸膜下呈簇状分布、不对称分布时;出现空洞性病灶时。 医学百科网 | YxBaike.Com
附件列表
词条内容仅供参考,如果您需要解决具体问题,请遵医嘱或咨询医师。
本站词条内容如果涉嫌侵权,请与客服联系,我们将及时进行处理。如需转载,请注明来源于www.yxbaike.com
如果您认为本词条还有待完善,请 编辑
上一篇 七大恶性骨肿瘤,背背诗就能了解啦! 下一篇 全国哀悼!12位医护人员被首批追封为烈士,这个世上真的有人为你拼过命!
