全面解析胸廓出口综合征解剖、临床及影像学表现
胸廓出口起于颈椎和纵隔上界至胸小肌外侧,臂丛神经、锁骨下动、静脉横贯其中,因此,当胸廓出口受压时,可引起上肢的一系列症状。患者因胸廓出口内神经、血管受压而出现症状被称为胸廓出口综合征(TOS)。根据受压结构的不同,可分为3种,即神经性TOS(臂丛神经受压),静脉性(锁骨下静脉受压),和动脉性TOS(锁骨下动脉受压)。 医学百科网 | YxBaike.Com
由于缺乏客观的报告规范和不一致的报告标准,TOS的发病率和患病率都知之甚少。然而,TOS是一个重要的临床事件,因为它通常会影响年轻人,如果没有正确诊断和未经处理,可能会致残和丧失劳动力而对劳动群体有非常显著的影响。截至2008年,在美国进行的大约有2000-2500例患者由于TOS而行第一 肋骨切除术,大部分在转诊中心由血管外科或胸外科医师进行。 医学百科网 | YxBaike.Com
虽然TOS的诊断通常依赖于仔细的病史询问和体格检查,影像学在识别潜在的病因及支持诊断上可以发挥重要作用。影像学也可以排除其他情况或对患者症状提供替代解释。本文的目的是探索影像学在TOS患者中的应用。我们不仅关注TOS影像学的诊断作用,而且关注对胸廓出口减压手术术后的评估,复习需要及时认识的重要并发症。我们的经验来自于从转诊中心大组TOS病人。 医学百科网 | YxBaike.Com
1、胸廓出口综合征根据受压结构的不同,可分为3种,即神经性TOS,静脉性,和动脉性TOS。通过压迫穿过胸廓出口神经血管束组成而产生的症状是可变的,并且部分患者可能具有一个或多个这些结构受压。 医学百科网 | YxBaike.Com
2、虽然诊断的主要基础是病人所呈现病史和体格检查,影像学研究有助于确定诊断或者侵及部位和范围,异常解剖,评估导致患者症状的其他潜在原因,并且将病人的情况适当地分类为神经性TOS,动脉性TOS,或静脉TOS .
医学百科网 | YxBaike.Com
3、需要认识到血管性TOS的诊断,不是单纯的通过辨别血管管径的位置变化来的。通过横段面成像有症状和无症状的患者均可以在胸廓出口有动脉和/或静脉的压迫。静脉压迫更为常见,但是,它可发生在的50%以上无症状患者中。
4、磁共振成像对可疑TOS患者是非侵入性横断面成像的选择方法。鉴于体位变窄的评估需要采集多个体位的成像,磁共振成像拥有CT的固有优势,而且因为它缺乏电离辐射,故其在一般的年轻疑似TOS患者中优势很大。 医学百科网 | YxBaike.Com
5、许多外科医生会有意侵犯胸膜顶,以便液体进入胸膜腔,为术后减压提供一种手段。因此,小的甚至中度的胸腔积液或小气胸是可以预期的表现。
医学百科网 | YxBaike.Com
理解胸廓出口的解剖和组成对于准确报告疾病位置至关重要。胸廓出口从颈椎及纵隔上缘延伸至胸小肌外侧缘。解剖学上,胸廓出口可以分成三个部分。
医学百科网 | YxBaike.Com
最内侧部分是斜角肌三角,位于和锁骨后上方。斜角肌三角是由后方的中斜角肌,前方的前斜角肌,和下方的第一肋围成。斜角肌三角只包含锁骨下动脉及臂丛神经,由于锁骨下静脉位于前斜角肌前方,因此它位于斜角肌三角外。 医学百科网 | YxBaike.Com
横向移动时,在肋锁间隙由前方的锁骨下肌肉,上方的锁骨,以及下方的第一肋骨和后方的前斜角肌围成。该肋锁间隙包含整个神经血管束。胸廓出口的最外侧部分是位于锁骨下方的锁骨下胸小肌间隙。在锁骨下胸小肌间隙,神经血管束沿着胸小肌腱前方和肋骨以及肋间肌后方走形。
医学百科网 | YxBaike.Com
胸廓出口的解剖结构是动态的,随着同侧手臂外展可能造成在胸廓出口的三个间隙变窄。这种变窄可以发生在有症状和无症状的患者中,并在TOS患者神经血管压迫的发展中起着作用(图1)。 医学百科网 | YxBaike.Com
图1.胸廓出口的横段位CT和MR解剖。 (a)CT容积重建显示胸廓出口的三个组成部分。斜角肌三角位于锁骨上(绿箭)。横向移动,往外侧移行时,在肋锁间隙位于锁骨和第一肋骨(双头黄箭)之间。最外侧则为胸小肌间隙,位于锁骨下方(蓝箭)。 (b)在手臂内收状态下,在斜角肌水平,矢状T1加权图像显示,可以显示关键的结构,包括中斜角肌(紫箭),前斜角肌(蓝箭),锁骨(蓝箭) ,肋锁韧带(粉红箭),锁骨下静脉(绿箭),锁骨下动脉(红箭),及臂丛神经(黄箭)。 (c)在手臂内收状态下,在肋锁间隙水平,矢状T1加权像显示锁骨(蓝箭),锁骨下肌(橙箭),锁骨下静脉(绿箭),锁骨下动脉(红箭),臂丛(黄箭),第一肋(白箭)。(d)另一个病人,在肋锁间隙水平,矢状面CT图像显示锁骨(蓝箭)向后移动而压迫神经血管束,导致这些结构的受压。绿箭=锁骨下静脉,红箭=锁骨下动脉,白箭=第一肋骨。
医学百科网 | YxBaike.Com
TOS是指穿过胸廓出口的神经血管结构被压迫而产生的一系列症状。
解剖异常,如颈肋,通常存在于TOS患者,但不代表TOS,因为许多没有TOS的患者也可以具有这些异常。多数TOS患者也有外伤史或由于工作或活动的一部分而做某项重复运动。因此,解剖的异常常可导致和加重TOS。 TOS多见于40岁以下的患者。尽管有一些学者报道女性的发病率更高,但我们的经验是男女性别的比例接近1:1。
TOS当中,神经源性TOS通常占超过90%,但这可能由于转诊偏向而被估计过高。神经源性TOS的最常见的原因是挥鞭机制而导致颈部过伸伤,但摔倒伸臂或工作、体育活动中的重复运动损伤也可引起神经源性TOS。解剖异常,包括斜角肌肥大,骨质异常,纤维束,也往往存在于并可能导致神经源性TOS的发展。典型的神经源性TOS患者有肩,颈,头,胸,或手臂疼痛或感觉异常,尤其是手臂的活动,抬高,或晃动。疼痛的位置取决于在该臂丛压迫水平。有些患者可能表现出手冰冷,手指肿胀,或颜色改变等雷诺现象样症状,这些与动脉性TOS的特征重叠。应当强调的是,神经源性TOS患者的雷诺现象样症状是由于交感神经系统过于活跃而不是由于缺血所致。检查时,通常是在患者锁骨上斜角肌三角和/或在锁骨下胸小肌腱处触诊。神经性TOS的终末阶段可导致Gilliatt-Sumner手,即手部肌肉萎缩,以及在尺侧和内侧前臂内侧皮肤分布区感觉减退与正中神经感觉正常。 医学百科网 | YxBaike.Com
静脉性TOS是TOS的第二大常见原因。典型的锁骨下静脉压缩点位于第一肋,锁骨下肌肉,和锁骨之间的肋锁间隙的水平。大多数患者表现为自发性腋锁骨下静脉血栓形成(也称为“肌紧张后血栓形成”或Paget-Schroetter综合征),但也可存在于没有血栓(McCleery综合征)的间歇性静脉压迫症状的患者中。
静脉性TOS患者的机制是基于前侧的肋锁剪切机制,其存在于在手臂极度外展的正常人。骨解剖结构常是正常的,但由于体育或职业活动往往存在周围肌肉肥大。这些肥大肌肉可导致肋锁间隙变窄和静脉的重复性损害,从而导致静脉血管壁增厚,纤维化,和血栓形成。也有人指出在轻微的或隐匿性第一肋骨内侧骨折常存在于静脉性TOS患者,尤其是在超过30岁的患者中。
医学百科网 | YxBaike.Com
腋锁骨下静脉血栓形成患者的典型表现是起病急骤,肿胀,充血和疼痛。侧支血管可形成并充盈于整个肩部和胸部外侧区域。可能有相关的感觉异常或虚弱,但总的临床表现通常与神经源性TOS的非常不同。腋锁骨下静脉血栓形成患者多数有近期剧烈的上肢使用的病史且在第二天症状有进展。有可能是“先锋”事件的额外病史的症状提示先前有过次全闭塞血栓和吸收。肺栓塞可发生于高达10%的闭塞静脉性TOS患者中。
动脉性TOS是TOS中最少见的形式,占所有病例中的不到3%。动脉性TOS包含两个部分:在第一肋水平锁骨下动脉损伤和远端栓塞现象。动脉性TOS几乎总是与潜在的骨骼结果异常有关,无论是颈肋,异常的第一肋骨,或第一肋骨或锁骨骨折。 医学百科网 | YxBaike.Com
典型的的动脉性TOS患者表现为上肢远端缺血症状,包括无力,肢体冰冷和疼痛。由于潜在的动脉瘤,部分患者可在锁骨上间隙有无症状搏动性肿块。很少情况下,可发生逆行栓塞,导致脑血管事件。大多数动脉TOS患者是年轻人或职业或娱乐活动过程中有手臂剧烈运动病史的健康人。由于侧枝的形成,疼痛在运动或者手臂举头时可以减轻。 医学百科网 | YxBaike.Com
放射科医师在首次评估可疑TOS的患者中扮演着非常重要的角色。 医学百科网 | YxBaike.Com
所有怀疑TOS的患者通常行胸部X线检查,因为它可以帮助显示骨质异常。对疑似血管性TOS的患者,取决于患者表现的程度和是否需要立即干预,可行血管造影或者磁共振或CT轴位成像检查。超声(US)也可以用于评估可疑血管性TOS患者,但根据我们的经验,超声有诸多限制,且常在诊所中应用。
血管性TOS的影像学诊断需要有血管损伤的存在。对于静脉性TOS,这涉及到辨别腋锁骨下静脉血栓形成,动态压迫下的锁骨下静脉固定部位狭窄,或扩大的侧支血管。对动脉性TOS,诊断支持结果包括腋锁骨下动脉瘤或假性动脉瘤,动脉血栓,在动态压迫下锁骨下动脉固定部位狭窄,远端栓子,或扩张的侧枝。对患者手臂内收和外展(带外旋)引出体位性的血管变窄进行独立的图像采集,因为这可以精确的识别血管压迫位置而影响手术治疗。
医学百科网 | YxBaike.Com
类似的结果已反映在正常人的超声研究中,这表明体位变化与腋锁骨下血管管径和血流模式的可变性。以单独血管压迫作为是TOS患者的诊断可导致误诊和潜在的过度手术干预治疗(图2)
图2.孤立的血管狭窄的磁共振成像。手臂外展位冠状位静脉期梯度回波(GRE)图像显示在肋锁间隙内的左锁骨下动脉(箭)。
该患者的左锁骨下动脉口径在手臂内收位是正常的。也没有血管损伤或血栓的证据,该病人有神经性TOS,而无动脉性TOS的临床证据。在这种情况下,当有孤立的血管变窄时,我们报告为动态血管受压,但不标注该患者患有血管性TOS,以防止过度诊断和可能的不必要的治疗。
磁共振成像对神经性TOS患者的诊断也已经被描述,但它尚未被证明可影响可疑神经性TOS患者的治疗。提示神经性TOS的磁共振成像标准包括:外展位下臂丛水肿或臂丛神经周围脂肪减少。疑似神经性TOS的患者常常还是要接受X线平片或横断面成像检查,以评估解剖异常或并存的血管性TOS。TOS的影像学表现的总结在表1中。
| TOS的影像学表现 | |
|---|---|
| 静脉TOS | 骨和软组织解剖异常 |
| 腋锁骨下静脉血栓形成 | |
| 侧枝增粗 | |
| 固定部位的腋锁骨下静脉动态狭窄 | |
| 外展位下腋锁骨下静脉狭窄 | |
| 动脉性TOS | 骨和软组织解剖异常 |
| 腋锁骨下动脉瘤或者假性动脉瘤 | |
| 动脉血栓 | |
| 远端栓子 | |
| 侧枝增粗 | |
| 固定部位的腋锁骨下动脉动态狭窄 | |
| 外展位下腋锁骨下动脉狭窄 | |
| 神经性TOS | 骨和软组织解剖异常 |
| 外展位下臂丛神经周围脂肪减少 | |
| 外展位下臂丛水肿 | |
| 诊断常常基于临床而非影像学表现 | |
神经性或血管性TOS症状的潜在原因并不总是胸廓出口骨和软组织结构的压迫。 TOS应仍是排除性诊断。肺上沟恶性肿瘤是对有TOS症状的老年患者和有吸烟史患者要关注的首要考虑,其可侵入胸廓出口并对神经血管产生压迫症状。肺上沟癌常可在胸片,CT或磁共振成像上识别。其他肿瘤,包括脂肪瘤或锁骨上神经源性肿瘤,也能产生与TOS重叠的症状。影响血管的原发因素能产生类似TOS的症状。大血管炎,如多发性大动脉炎可表现为间歇性的手臂和/或手痛和类似TOS的栓塞表现。在影像学检查,多发性大动脉炎通常会表现为血管狭窄或扩张区域血管壁增厚。肺动脉可能累及。最后,重度动脉粥样硬化患者可有上肢无力或血栓现象的症状,这些表现可与TOS重叠。在这些情况下,区别的关键在于确定该闭塞或斑块不位于胸廓出口,并且不直接与血管压迫相关。鉴别那些与TOS症状相似的病变是放射科医生应该做的,因为这些病变可能不会被临床医生怀疑。
医学百科网 | YxBaike.Com
对所有怀疑TOS的患者应行胸片,它是了解骨解剖异常的一种低成本方法。即使疑似TOS患者计划接受磁共振成像,仍应该行X线检查,由于颈肋及其他骨异常在磁共振成像可能漏诊。此外,传统的X线允许评价的引起右上肢症状的其它原因,包括潜在的肿瘤。X线检查可发现的与TOS相关的主要的骨异常包括颈肋,细长的C7横突,反常第一肋,和异常第一肋或锁骨(图3)。 医学百科网 | YxBaike.Com
图3.骨异常可与TOS关联。 医学百科网 | YxBaike.Com
(a)CT冠状最大强度投影(MIP)示一完整右颈肋与右第一肋(箭)形成关节。病人在CT肺栓塞的参数图像上无意中被发现有颈肋导致的右锁骨下动脉狭窄,需要强调并非所有的影像学表现血管狭窄的患者都有TOS。 (b)前凸正位胸片示右粗大的(箭)C7横突和左侧(箭头)不完整的颈肋。 (c)正面胸片显示,双侧异常的第一肋(箭)与第二肋形成关节。 (d)临床诊断为神经性TOS患者的X线显示由于不愈合骨折导致的异常右锁骨(箭)。 医学百科网 | YxBaike.Com
颈肋发生于6%的人,女性发生率两倍于男性。颈肋可被归类为完整型和不完整型。完整型颈肋,占颈肋的30%,通过融合或通过形成关节与正常的第一肋连接。更常见的不完整型颈肋可以是不同长度的,但通常有一个厚韧带从其前端延伸至第一肋。颈肋位于在中斜角肌的平面,可使斜角肌三角比正常人更狭窄。大多数有颈肋的人无症状,但已经注意到在TOS患者中颈肋发生率有增加的趋势。在疑似TOS病人的情况下,如果进行减压手术,颈肋常需要被切除。最好的确定颈肋的办法是在X线或CT检查上是确定对侧第一肋骨,并确认颈肋源于C7横突。在双侧颈肋的情况下,计数下肋骨的总数也是有帮助的。
医学百科网 | YxBaike.Com
细长C7横突细长C7横突定义为横向延伸超越T1的横突。细长C7横突比颈肋更常见,发生在多达23%的人,这取决于研究人群。而细长C7横突和短的不完整的颈肋可能很难区分,并且二者有共同的胚胎发展通路,而颈肋做细长C7横突没有表现出一个肋椎关节。类似于不不完整颈肋,由于从它的韧带从顶点延伸到第一肋,因此一个细长的C7横突可以是TOS的致病因素。类似于颈肋,多数细长横突患者是无症状的,虽然有细长C7横突患者的TOS发病率增加。
异常第一肋,有时被称为第一肋发育不全,是与第二肋,而不是在胸骨形成关节。异常第一肋通常更薄,相比正常的第一肋,其往往靠近头侧。并且与一个正常第一肋相比较,可以具有多个垂直的“J”的形状。由于关联的纤维带或与第二肋笨重的关节运动,异常第一肋可引起在胸廓出口变窄。
异常第一肋或锁骨在可能患者存在TOS的的情况下,异常第一肋或锁骨定义为具有陈旧性骨折或外生骨疣。陈旧性骨折常常以笨重的骨痂愈合或偏移校准愈合,可以缩小胸廓出口并导致血管或神经受压愈合。不愈合的第一肋或锁骨骨折也常有大量的周边瘢痕组织或异位骨化。疑似TOS患者的异常的第一肋或锁骨常在减压术中切除。 医学百科网 | YxBaike.Com
对疑似TOS患者,超声允许便携式无创成像且无电离辐射。也可用于患者任何体位或任何程度的手臂外展成像(坐,站)。在我们的机构,它的主要是用于门诊,腋锁骨下血管的超声评估可用在门诊来确定出院病人的通畅情况。超声用于TOS的一个重要的限制是其有限的声窗,具体表现在,对许多患者的肋锁间隙可能难以或不可能直接成像。超声也依赖于操作者,并且对于肌肉发达或那些有广泛脂肪组织的患者技术上具有挑战性。血管闭塞的在超声的结果包括灰度图像上增加的血管腔回声,缺乏多普勒信号,和不可压缩性。血管侧支循环可在超声下确定;对于慢性血栓形成,必须小心不要误认大的侧枝血管为锁骨下静脉或动脉。由于中央锁骨下静脉有限的可视化,在有临床怀疑,且需排除静脉TOS的存在时,超声不应使用。血管轮廓的突然变化应该怀疑到血管损伤,特别是动脉损害,因为它可能代表狭窄后动脉瘤或假性动脉瘤。如前面所讨论的,位置变化引起的血管管径异常,甚至不存在血流的可以见于正常的患者的腋锁骨下血管,因此其不应该单独作为血管性TOS的诊断。 医学百科网 | YxBaike.Com
在CT和磁共振血管造影的时代,导管造影在急性症状或已知血栓形成患者的初期干预中仍非常有用。对急性腋锁骨下血栓形成的静脉性TOS患者,静脉造影允许经导管灌注溶栓剂或药物-机械溶栓。实际上,静脉性TOS患者在手术治疗之前,溶栓治疗中通常是第一步的。溶栓通常是有效的,表现为常有62%-84%的成功率,在患者症状发作2周时间内溶栓,成功率可接近100%。不推荐支架放置,由于单独的支架置入而无手术介入通常失败,并且一旦支架治疗失败,支架的存在可以限制静脉重建方案的实施。单独溶栓不足以治疗静脉性TOS,因为大部分未进行明确的手术减压的患者症状会持续存在和反复血栓形成。导管造影也用于有潜在的动脉血栓或远端缺血(图4)表现的患者。再次,可于明确的减压手术之前经导管灌注溶栓剂或药物-机械溶栓。造影在TOS患者术后护理也是有用的,因为它可以用于评估使用血管成形术治疗的残留的狭窄,或者在血管成形术失败时,行支架放置。
医学百科网 | YxBaike.Com
医学百科网 | YxBaike.Com
图4。血管性TOS患者的血管造影。 医学百科网 | YxBaike.Com
(a)一急性右臂肿胀的棒球运动员经右路静脉注射获得的数字减影图像(DSA)显示右锁骨下静脉(箭)的突然闭塞与梗阻部位近端(箭头)的侧支静脉充盈。这些表现与静脉性TOS一致,该病人随后行血栓切除术和明确的减压手术。 (b)28岁右上肢缺血性溃疡患者,选择性右锁骨下动脉注数字减影图像(DSA)显示右锁骨下动脉(箭)小叶假性动脉瘤。(c)同一病人的肱动脉数字减影图像(DSA)显示其闭塞(箭)。病人也有多个指动脉闭塞(未示出)。这些表现与动脉性TOS一致,是因为有明确的的锁骨下动脉外伤导致的动脉瘤和远端血管血栓形成。
医学百科网 | YxBaike.Com
磁共振成像对可疑TOS患者是非侵入性横断面成像的选择方法。鉴于体位变窄的评估需要采集多个体位的成像,磁共振成像拥有CT的固有优势,而且因为它缺乏电离辐射,故其在一般的年轻疑似TOS患者中优势很大。
我们的磁共振成像TOS成像扫描方法是专为用于评估血管的,并静脉注射含钆对比剂。静脉内导管应置于有症状手臂的对侧以防止由于钆对比剂浓缩造成的T2 *伪影,从而模糊同侧腋锁骨下血管结构的图像显示。在我们的方法中,我们更喜欢使用血管内或“血池”对比剂(钆磷维塞三钠),它单次注射即可获得两个手臂体位成像以及可能的更高空间分辨率的各方向体素成像。采用多个序列扫描,手臂内收和外展,以评估腋锁骨下血管狭窄位置。如果血池剂不可用,可以使用细胞外含钆对比剂,而剂量则内收和外展位分开注射。 医学百科网 | YxBaike.Com
我们将TOS 的MR成像方法列出在表2中
| TOS 的MR成像方法 | |
|---|---|
| 相控阵线圈,位于主动脉弓中间 | |
| 对比剂 | 优先:单次剂量,单次注射gadofosveset trisodium,1ml/s |
| 替换:细胞外对比剂量2ml/s | |
| 静脉内导管应置于有症状手臂的对侧窄 | |
| 成像参数 | 手臂内收 |
| 冠状位、横轴位、矢状位高分辨率T1WTSE | |
| 平扫轴位3D Volume-interpolated GRE (屏气) | |
| 平扫冠状位3D MRA (屏气) | |
| Test bolus:到达主动脉弓时扫描 | |
| 增强冠状位3D MRA (屏气),test bolus获取图像1,延迟12s获取图像2,延迟40s获取图像3 | |
| 增强轴位3D Volume-interpolated GRE (屏气) | |
| 改变手臂为外展位,外部旋转,重复 | |
| 增强冠状位3D MRA (2次获取图像,屏气) | |
| 平扫冠状位3D MRA (各方向像素,减少像素尺寸,屏气) | |
| 增强轴位3D Volume-interpolated GRE (屏气) | |
| 选项:矢状位高分辨率T1WTSE(评估臂丛压迫) | |
罕见的情况下,当患者由于严重肾功能衰竭不能使用静脉内对比剂,或由于严重过敏不能接受CT,可使用修改的不含对比剂的时间飞跃法。可以根据需要重建MIP和容积重建(VR)图像,后者有助于临床医生描述疾病。由于重建伪影的的可能性,后处理图像确定是表现需要原始图像予以证实(图5)。 医学百科网 | YxBaike.Com
医学百科网 | YxBaike.Com
图5。磁共振成像考虑为TOS。 医学百科网 | YxBaike.Com
(a)外展位动脉相MIP梯度回波图像显示中左锁骨下动脉(箭)广泛不规则,可疑血管变窄。(b)原始图像显示,该表现是继发于在左锁骨下静脉(箭)内钆造影剂浓缩造成的相关T2*伪影,从而模糊左锁骨下动脉。本例说明了静脉内导管放置于患者无症状侧上手臂的重要性,而通过原始图像的MIP或重建图像证实了该发现。 (c)在手臂下垂下,冠状静脉期MIP GRE图像显示了中央右锁骨下静脉(箭)轻度局部狭窄。(d)原始图像表明,这种狭窄是伪影,并且由于手术夹(箭)造成的T2 *伪影,X线下证实其存在。 医学百科网 | YxBaike.Com
对疑似TOS患者的磁共振成像结果的描述应从潜在的血管损伤结果的描述开始。对静脉性TOS,这包括鉴定血栓或固定的狭窄。慢性静脉性TOS时,正常的锁骨下静脉可能不被识别,且侧支血管可看到其延伸在预期位置周围(图6)。如果发现静脉血栓形成,有必要行简短的肺中央血管探查,以评估栓子。 医学百科网 | YxBaike.Com
对动脉性TOS,血管损伤的表现包括动脉瘤或假性动脉瘤形成,有或无动脉血栓(图7)。可以存在增大的侧枝血管,但往往较静脉性TOS少见。即使在没有看到中央血栓,也应该进行评估手臂下游栓子(图8)。动脉或静血管狭窄的位置应该报告,并且其可以是表明外源性血管压迫的一个支持性表现,但不应该作为诊断血管性TOS的独立标准。也应注意任何骨或软组织异常,包括颈肋,反常第一肋,纤维带,和非对称的肌肉组织。
图6。一例静脉性TOS,棒球投手,急性手臂肿胀。 医学百科网 | YxBaike.Com
(a)手臂外展位下冠状GRE图像显示左腋锁骨下广泛的静脉血栓形成(箭)和肋锁间隙(箭头)内的静脉狭窄。(b)屏气下轴位图片显示一侧支血管形成(箭)。侧支血管在冠状GRE图像上往往难以识别,但在轴位图像上常常能很好的显示出。 医学百科网 | YxBaike.Com
医学百科网 | YxBaike.Com
图7。一例动脉性TOS,长期使用左上肢的有左手缺血征象的女性患者。 医学百科网 | YxBaike.Com
(a)手臂内收位的动脉期冠状位MIP梯度回波(GRE)图像显示肋锁间隙远端一分叶状假性动脉血栓(箭)。(b)手臂外展位冠状GRE图像显示锁骨水平(箭头)的左锁骨下动脉狭窄(实箭)和远侧的假性动脉(虚箭)。(c)屏气下图像显示一颈肋(箭)。颈肋在磁共振成像上可能很难辨认,但是,在高分辨率非增强T1加权和轴向体积内插屏气图像可被很好的识别。 医学百科网 | YxBaike.Com
医学百科网 | YxBaike.Com
图8. 左侧动脉动脉性TOS,双侧颈肋患者(未示出)。
(a)手臂内收位冠状位静脉相GRE图像显示了左锁骨下动脉(箭头)完全闭塞。栓塞血管常常在静脉期显示更好,如从不强化血栓中区分出血管壁。(b)手臂外展位冠状位GRE图像显示没有动态血管狭窄,需要强调的是动态血管狭窄并不是影像上诊断血管性TOS所必须的。(c)手臂内收位动脉期MIP显示左锁骨下动脉(实箭)血栓和肱动脉(箭头)远侧血栓以及一侧枝形成(虚箭)。
虽然磁共振成像无电离辐射,是怀疑TOS患者首选的影像学检查方法, CT是无创性进行血管成像的替代手段。当然,继发于严重依赖透析的肾功能衰竭,幽闭恐惧症,或移植物不兼容时,不能行磁共振成像,CT成为首选的检查方法。 CT也是评估疑似异常肋或骨折患者的首选方法,因为骨解剖在CT上更容易辨认(图9,10)。 CT对评估术后患者是否有残余的第一肋也是有用的。CT研究对于TOS的解释类似于磁共振成像研究的解释,包括解剖异常,直接血管损伤和体位性血管狭窄。
医学百科网 | YxBaike.Com
医学百科网 | YxBaike.Com
图9.一例静脉性TOS病人,反复肿胀,行右腋锁骨下静脉血栓治疗。
医学百科网 | YxBaike.Com
(a)右臂内收位CT矢状面图像显示位于右锁骨下静脉(实箭)和动脉(箭头)前方的不愈合骨折(虚箭)。(b)右臂外展位图像显示不愈合骨折(虚箭)向后移位压缩右锁骨下静脉(实箭)和动脉(箭头)。CT未看到血栓。(c)数字减影血管造影图像(DSA)显示的在不愈合骨折水平的狭窄近端有多个侧枝形成,表明这是一个显著血液动力学狭窄并且确诊为静脉TOS。
医学百科网 | YxBaike.Com
图10。一例动脉性TOS患者,有左上肢动脉供血不足症状。
(a)CT容积重建示出了异常的左侧第一肋即发育不全,并与第二肋(箭)形成的关节联合。(b)左臂内收位,动脉期的CT容积重建显示左锁骨下动脉(箭)以及增粗的侧枝(箭头)区域形成的血栓。(c)左臂内收位动脉期矢状位CT图像显示未受压左锁骨下动脉(箭),管腔扩张且不强化,符合血栓形成表现。(d)左臂外展位图像显示锁骨(虚箭)向后移位并且压迫左锁骨下动脉(实箭)正对着发育不全的左第一肋(箭头)。左锁骨下动脉血栓形成,扩张和动态压迫确定动脉性TOS的诊断。 医学百科网 | YxBaike.Com
CT行TOS检查也是通过静脉注射对比剂进行。与磁共振成像一样,静脉内导管应置于有症状侧手臂的对侧以防止由于高密度对比剂位于注射静脉内造成的条纹伪影,从而模糊血管结构的显示。在标准的扫描方法中,我们首先让患者有症状的手臂内收和无症状的手臂外展。将总对比剂量的一半,以4-5毫升/秒的注入,团注跟踪软件位于主动脉弓用于触发采集图像,动脉期采集后,90秒后再次采集已达到最佳静脉增强效果。在有症状的手臂外展和无症状的手臂内收情况下,另一半对比剂量然后注入,动脉期采集后,90秒延迟后再次采集,一共采集到4种图像。扫描野的解剖范围包括胸部中线位置到外展位的手肘。如果只有临床怀疑动脉或静脉狭窄,不必要的检查相可省去,以减少辐射剂量。我们检查TOS的CT方法的总结如表3所示。 医学百科网 | YxBaike.Com
| TOS的 CT检查方法 | |
|---|---|
| 静脉内导管置于有症状侧手臂的对侧 | |
| 扫描野:主动脉弓中央,包括胸部中线位置到外展位的手肘 | |
| 扫描方法 | 1.有症状的手臂外展和无症状的手臂内收 |
| a.到达主动脉弓采集 | |
| b.延迟90s | |
| 2.有症状的手臂内收和无症状的手臂外展 | |
| a. 到达主动脉弓采集 | |
| b. 延迟90s | |
术后患者随访
医学百科网 | YxBaike.Com
由于TOS外科手术的数量上升,放射科医师将越来越多地遇到术后TOS患者。虽然胸廓出口减压方有几种不同的法,但大多数涉及整个第一肋和颈肋的切除。对胸廓出口肌肉切除是可变的。一些手术,特别对于那些血管性TOS患者,可能涉及血管松解术,血管重建,血管移植术,或支架放置。 医学百科网 | YxBaike.Com
术后早期预期表现
在胸廓出口减压手术后的评估患者术后早期影像时,有一些预期的表现。第一肋将被切除,引流管通常存在于锁骨上区域。 医学百科网 | YxBaike.Com
在术后早期,许多患者会将呼吸夹板固定在手术侧;因此,下叶肺不张是最近行胸廓出口减压患者的常见表现。鉴定肺不张很重要,因为它会直接使临床医生团队支持通过激励肺活量测定和更深的呼吸来通畅不张的肺。由于手术操作或局部麻醉剂的输注导致的临时膈神经功能障碍,同侧膈肌升高也可存在于早期胸廓出口减压术后。 医学百科网 | YxBaike.Com
短期并发症(数天到数周) 医学百科网 | YxBaike.Com
放射科医生需要注意的胸廓出口手术的几个重要潜在的短期并发症。考虑到胸廓出口受限的空间和可能需要的血管松解术,在手术后,非预期的血管损伤可能导致锁骨上区域血肿。如果还有突破顶胸膜表面或者连续性出血,可能会导致血胸。在胸廓出口减压术同侧迅速扩大的胸腔积液应考虑到血胸,CT可进一步明确,且可能需要手术引流(图11)。同样地,少量气胸是胸廓出口减压术后预期表现,正在扩大的气胸或产生张力性气胸通常需要临床立刻高度重视。
医学百科网 | YxBaike.Com
医学百科网 | YxBaike.Com
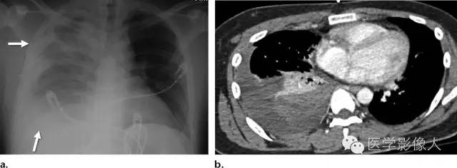
图11右侧锁骨周围胸廓出口减压手术后血胸患者,发生颈部肿胀和呼吸困难8天。 医学百科网 | YxBaike.Com
(a)胸片显示了右侧壁和肺底(箭)胸腔积液。这种新发的和相对比较迅速的胸腔积液的是令人担忧的血胸。(b)CT图像显示在右侧胸膜腔内高密度病变,与含血液成分相一致。病人随后进行了血胸引流手术。 医学百科网 | YxBaike.Com
胸导管和右淋巴导管都在胸廓出口,是减压手术过程中可能受到伤害的其他重要结构。如果术后这些主要的淋巴管有显著的淋巴液漏,可能导致乳糜胸。乳糜胸可发生于胸廓出口减压术后的几天到几个月,是鉴别诊断胸廓出口减压术后患者出现呼吸困难或正在增加的胸腔积液的重要组成部分。在CT图像上,乳糜积液一般表现为单纯的液体,其内可含脂液平面(图12)。乳糜漏往往只需饮食管理和奥曲肽的非手术治疗。当药物治疗失败,可能需要手术再探索和胸导管结扎。大的乳糜漏患者如果治疗不及时,可能导致淋巴细胞较少和随后的免疫功能低下。 医学百科网 | YxBaike.Com
医学百科网 | YxBaike.Com
图12。左侧胸廓出口减压手术乳糜胸患者,6个月后出现慢性呼吸困难。
医学百科网 | YxBaike.Com
术后胸片显示结果正常(未示出)。胸片(a)和冠状CT图像(b)显示左侧大量胸腔积液。胸水较单纯但而产生张力,压迫纵隔右移和左侧膈肌(b中箭)反向。乳糜液从胸水中引流。初步的治疗包括饮食调整和奥曲肽,但药物治疗最终失败,手术结扎胸导管是必要的。 医学百科网 | YxBaike.Com
和任何术后患者一样,胸廓出口减压手术后患者也有感染风险。由于血肿积累和潜在的血栓移位,接受手术的静脉性TOS患者可能有稍高感染率。胸廓出口减压术后感染可以包含在手术床上,但由于可能侵犯胸膜腔,它们可导致胸膜腔或肺感染(图13)。CT检查对存在胸廓出口减压术术后患者感染的特异性更好,故常使用。放射科医生有责任仔细检查患侧胸膜腔的胸腔增强程度以及分叶状飞气体或液体,这些结果提示发生脓胸的形成。
医学百科网 | YxBaike.Com
图13。右胸廓出口减压术后1月感染,该患者出现发热和明显的感染症状。
医学百科网 | YxBaike.Com
(a)胸片显示了融合的右肺上叶并且右肺尖些许斑片状气体。(b,c)CT图像与肺窗(b)和软组织窗(c)显示肺炎以及通过胸膜的对皮肤和肺部感染的通道(在c中的箭)。该患者行胸廓出口减压术,由于手术野和胸膜顶相通,胸膜腔和肺部的存在感染的风险。 医学百科网 | YxBaike.Com
长期并发症(数月至数年)
胸廓出口减压术后患者也可以发展更加延迟的并发症。鉴于与胸廓出口的关系,臂丛神经或膈神经功能障碍是胸廓出口减压术的潜在的并发症,但通常是暂时的自发缓解。虽然确切发病率未知,但膈神经功能障碍可能是发生不到5%的患者。在术后早期阶段,不建议将膈肌抬高作为具有膈神经损伤的发现,因为肺不张,少量胸腔积液,呼吸夹板和暂时性瘫痪都可以导致实际的或明显的膈肌抬高。如果患者的膈肌升高是发生在术后初始期间以外,应进行探查膈神经麻痹,可以专门透视检查进行以进一步评估膈肌运动。
胸廓出口减压术后的另一个罕见的潜在长期并发症是肺尖疝。出现这种情况是由于侵犯肺尖胸膜,因此肺疝入锁骨上区域并引起患者不适。尽管这一结果可以在胸片下发现,通常需要冠状位CT重建用来确认并确定疝累及程度(图14)。胸廓出口减压术后患者肺尖疝可能需要通过楔形切除术来治疗。
医学百科网 | YxBaike.Com
图14.左胸廓出口减压后6个月肺尖疝患者,伴左锁骨上区疼痛、隆起。冠状位CT图像显示肺尖左上叶(箭)进入左锁骨区域的广口疝。病人接受左上叶疝楔形切除术,手术成功。
医学百科网 | YxBaike.Com
胸廓出口减压术后患者可有反复发作或持续性的症状。此时常常需要MR成像或CT来评估血管或移植物的通畅性。为了最好的解释这些检查,放射科医师有必要了解病人的手术史。因为不了解病人的手术史,放射科医师有可能用漏掉闭塞的移植物,特别是在磁共振成像,因为移植物在磁共振上识别是很困难的(图15)。
医学百科网 | YxBaike.Com
、
医学百科网 | YxBaike.Com
图15. 经过左侧颈-锁骨下动脉搭桥的胸廓出口减压术后患者,症状复发,移植物闭塞。 医学百科网 | YxBaike.Com
手臂向下的减影GRE成像,动脉期冠状面MIP显示向下示出了左锁骨下动脉(箭)近端和中间段的闭塞。左侧颈-锁骨下动脉移植物闭塞,但未显示在这个图像上,如果患者的手术史不详很容易被错过。(b)移植物溶栓后MR图像显示血流恢复(箭)。
医学百科网 | YxBaike.Com
最后,残留或者再生的第一肋骨可引起持续性症状或胸廓出口减压术后复发的血栓。第一肋完全切除包括前方的胸骨和后方的肋脊交界处。对于不完全切除患者,残留的第一前肋有可能仍然附着在前斜角肌的残留部分。这残留的第一肋往往是接近穿过的腋锁骨下血管,可引起反复发作的血管并发症。在怀疑有残留第一肋的情况下,CT是首选的影像学检查,因为它最能明确胸廓出口的骨解剖(图16)。不仅应该报告残留第一肋的存在,还应该包括残留第一肋的大小,因为较大的残余肋可能引起复发症状的概率较高。 医学百科网 | YxBaike.Com
医学百科网 | YxBaike.Com
图16.一例左胸廓出口减压手术患者,残存第一肋骨,左侧腋、锁骨下静脉多次重复血栓形成。
医学百科网 | YxBaike.Com
最终,放置了一枚支架(a,b)CT图像显示左第一肋的深后部(箭a)和前部(箭b)残余部分。(c)左臂外展位,矢状面CT图像显示左第一肋的前部残余部分(箭),并且与轻度压缩的左锁骨下静脉支架(箭头)表面相接触。病人接受了第一根肋骨左前和后残余完全切除术后,和无血栓复发.CT可以很好的显示被切除的第一肋的残余部分,并且可以为复发症状提供相应的解释。 医学百科网 | YxBaike.Com
胸片检查后,磁共振成像和CT是在可疑血管性TOS患者的最常用的无创性成像方式,而可能需要紧急溶栓的急症患者往往可能需要造影治疗。为防止误诊,放射科医生要明白,单独血管压迫不足以诊断血管性TOS,血管性TOS必然存在着血管损伤或血栓形成。 医学百科网 | YxBaike.Com
随着TOS患者手术干预的增加,放射科医生还在胸廓出口减压术后患者的护理中起着作用。通过影像学检查来诊断短期和长期术后并发症是提供积极治疗的关键,因为一些这些并发症可能不会单纯根据临床表现而发现。
医学百科网 | YxBaike.Com
附件列表
词条内容仅供参考,如果您需要解决具体问题,请遵医嘱或咨询医师。
本站词条内容如果涉嫌侵权,请与客服联系,我们将及时进行处理。如需转载,请注明来源于www.yxbaike.com
如果您认为本词条还有待完善,请 编辑
