空泡和胸膜牵拉的价值你清楚吗?
病例2
医学百科网 | YxBaike.Com
医学百科网 | YxBaike.Com
医学百科网 | YxBaike.Com
医学百科网 | YxBaike.Com 源:
医学百科网 | YxBaike.Com
腺瘤样增生?
医学百科网 | YxBaike.Com
小鱼:
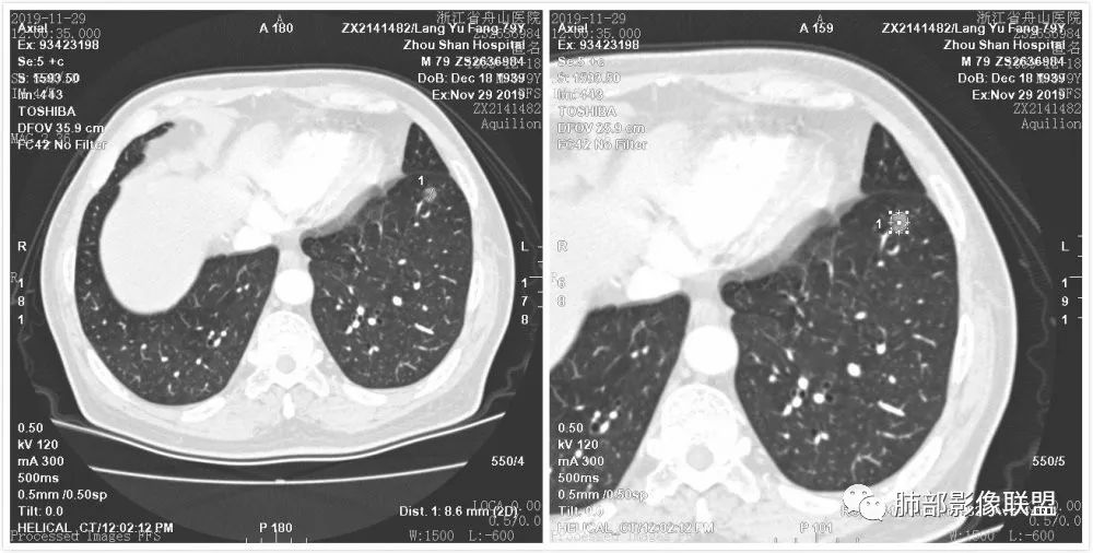
混合磨玻璃,内血管粗,空泡。MIA-LPA? 医学百科网 | YxBaike.Com
王秀仙:
医学百科网 | YxBaike.Com
右肺上叶两个磨玻璃结节,内可见小空泡,边缘清晰,血管进入增粗,考虑MIA
医学百科网 | YxBaike.Com
任广国:
医学百科网 | YxBaike.Com
两个病灶内都有小泡征 医学百科网 | YxBaike.Com
葛良卫(随遇而安): 医学百科网 | YxBaike.Com
支持微浸润腺癌 医学百科网 | YxBaike.Com
甄德强: 医学百科网 | YxBaike.Com
支持mia,空泡罪加一等
医学百科网 | YxBaike.Com
不再涩的柠檬: 医学百科网 | YxBaike.Com
2个,mia或iac
binby: 医学百科网 | YxBaike.Com
微浸润
任广国: 医学百科网 | YxBaike.Com
大的iac,小的密度较高考虑微浸润 医学百科网 | YxBaike.Com
梅如玉: 医学百科网 | YxBaike.Com
混合磨玻璃结节,可见空泡征,MIA
医学百科网 | YxBaike.Com
赵子坤:
大的考虑MIA至LPA
心灵鸡汤: 医学百科网 | YxBaike.Com
大的,有空泡,MIA,小的,AIS 医学百科网 | YxBaike.Com
王兆宇:
医学百科网 | YxBaike.Com
对应小结节中的空泡征,早期腺癌和炎性结节的发生率差别多少? 医学百科网 | YxBaike.Com
王秀仙:
医学百科网 | YxBaike.Com
炎性结节5%,早期腺癌50%
梅如玉:
医学百科网 | YxBaike.Com
炎性结节5%,早期腺癌50-60% 医学百科网 | YxBaike.Com
王兆宇:
医学百科网 | YxBaike.Com
空泡征发生率,炎性结节5%,早期普通型腺癌50-60%,粘液腺癌结节估计在10%左右 医学百科网 | YxBaike.Com
AIS空泡征发生率低 医学百科网 | YxBaike.Com
刘和林: 医学百科网 | YxBaike.Com
跟空洞怎样鉴别? 医学百科网 | YxBaike.Com
binby: 医学百科网 | YxBaike.Com
有这说法说5mm?
赵子坤: 医学百科网 | YxBaike.Com
空洞是坏死物排除
医学百科网 | YxBaike.Com
心灵鸡汤:
医学百科网 | YxBaike.Com
空洞要有引流支气管吧
刘和林: 医学百科网 | YxBaike.Com
影像上有时不一定看到引流支气管 医学百科网 | YxBaike.Com
王兆宇:
癌性空洞的引流支气管,很快被肿瘤填塞
病理诊断 MIA 浸润性微腺癌
医学百科网 | YxBaike.Com
病例3
医学百科网 | YxBaike.Com
医学百科网 | YxBaike.Com
医学百科网 | YxBaike.Com 源: 医学百科网 | YxBaike.Com
血管从凹陷处进入
binby:
这个算不算肚凹?还是容积?
孔儿:
医学百科网 | YxBaike.Com
边界清晰GGN,内血管走形自然、稍增粗,考虑MIA 医学百科网 | YxBaike.Com
梅如玉:
医学百科网 | YxBaike.Com
磨玻璃结节,收缩力弱,血管自然,炎性结节?
心灵鸡汤:
医学百科网 | YxBaike.Com
左肺下叶前内基底段磨玻璃小结节,边界清,有分叶,直径8.5mm,CT值-450,内见增粗血管,VR表面有收缩,考虑浸润性病变,MIA 医学百科网 | YxBaike.Com
王兆宇:
医学百科网 | YxBaike.Com
医学百科网 | YxBaike.Com
这个胸膜改变怎么解释?
毛勤香: 医学百科网 | YxBaike.Com
有少许收缩力
宇宙星空: 医学百科网 | YxBaike.Com
牵拉 医学百科网 | YxBaike.Com
小锁: 医学百科网 | YxBaike.Com
凹陷 医学百科网 | YxBaike.Com
刘和林: 医学百科网 | YxBaike.Com
纤维牵拉
医学百科网 | YxBaike.Com
葛良卫(随遇而安): 医学百科网 | YxBaike.Com
塌陷牵拉 医学百科网 | YxBaike.Com
王兆宇: 医学百科网 | YxBaike.Com
为什么有个扁△状的点
王秀仙: 医学百科网 | YxBaike.Com
侵犯
赵子坤: 医学百科网 | YxBaike.Com
牵拉凹陷,胸膜下积液
医学百科网 | YxBaike.Com
宇宙星空: 医学百科网 | YxBaike.Com
少量积液聚集
医学百科网 | YxBaike.Com
王兆宇: 医学百科网 | YxBaike.Com
为什么少许积液呢? 医学百科网 | YxBaike.Com
葛良卫(随遇而安): 医学百科网 | YxBaike.Com
炎性积液? 医学百科网 | YxBaike.Com
臣本布衣: 医学百科网 | YxBaike.Com
淋巴管阻塞
王兆宇: 医学百科网 | YxBaike.Com
没有炎症的 医学百科网 | YxBaike.Com
赵子坤:
脏层胸膜牵拉凸起 医学百科网 | YxBaike.Com
binby: 医学百科网 | YxBaike.Com
负压可以吸引周围液体局部
王兆宇:
医学百科网 | YxBaike.Com
是的 医学百科网 | YxBaike.Com
binby: 医学百科网 | YxBaike.Com
胸膜腔间本来有润滑液的,负压下可以局部吸引积聚
医学百科网 | YxBaike.Com
刘和林:
跟炎性结节牵拉有没有鉴别意义? 医学百科网 | YxBaike.Com
王兆宇: 医学百科网 | YxBaike.Com
肿瘤侧胸膜牵拉明显,对侧叶胸膜只是被吸引过来一点,所以两层胸膜间有负压吸引微量液体积聚,不是浸润 医学百科网 | YxBaike.Com
跟炎性结节牵拉有没有鉴别意义?有意义的,炎性小结节收缩力弱,结核除外
binby:
医学百科网 | YxBaike.Com
炎性一般增厚多一点
医学百科网 | YxBaike.Com
王兆宇: 医学百科网 | YxBaike.Com
病理诊断 LPA(贴壁庄生长为主浸润腺癌,非黏液性腺癌)
医学百科网 | YxBaike.Com
应该是比较轻的LPA 医学百科网 | YxBaike.Com
小结 医学百科网 | YxBaike.Com
病例一:结节内空泡出现对鉴别性质具有较大价值。一般炎性结节出现率只有5%,早期普通型腺癌出现率50-60%,而粘液腺癌结节估计在10%左右!AIS空泡征发生率低。
医学百科网 | YxBaike.Com
医学百科网 | YxBaike.Com
图一:红箭头标识磨玻璃结节内空泡,图二:红箭头提示内血管增粗,绿箭头提示磨玻璃边界非常清晰。 医学百科网 | YxBaike.Com
病例二:肿瘤侧胸膜牵拉明显,对侧叶胸膜只是被吸引过来一点,所以两层胸膜间有负压吸引微量液体积聚,不是浸润。而一般炎性结节的收缩力较弱,但是结核除外。 医学百科网 | YxBaike.Com
医学百科网 | YxBaike.Com
附件列表
词条内容仅供参考,如果您需要解决具体问题,请遵医嘱或咨询医师。
本站词条内容如果涉嫌侵权,请与客服联系,我们将及时进行处理。如需转载,请注明来源于www.yxbaike.com
如果您认为本词条还有待完善,请 编辑
上一篇 心脏病变的影像诊断 下一篇 小征象大用途—脐凹征
