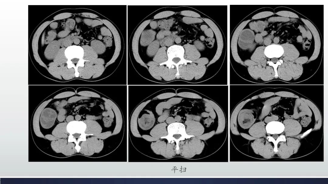
肠壁海绵状淋巴管瘤伴套叠1例CT
医学百科网 | YxBaike.Com
医学百科网 | YxBaike.Com
医学百科网 | YxBaike.Com
医学百科网 | YxBaike.Com
医学百科网 | YxBaike.Com
医学百科网 | YxBaike.Com
医学百科网 | YxBaike.Com
李广明:回肠囊性灶伴套叠,迈克尔憩室?
张文坦:回结型肠套叠,脂肪瘤或小的小的平滑肌继发可能。
欧鸿儒:肠套叠,冠状位明显见系膜血管卷入,里面有脂肪,不除外合并脂肪瘤。 医学百科网 | YxBaike.Com
施彪:回结肠套叠伴癌肿形成,内部强化明显。
徐纲:同心圆,内见脂肪,脂肪瘤并肠套叠?
王鑫:中老年男性,成年人肠套叠,多伴有肿瘤或肿瘤样病变,套叠处肠壁厚薄不均,虽没有明确异常强化分界区,仍需考虑伴有肿瘤可能
天涯:回盲部类囊性病变,似乎伴有套叠样改变,粘液性肿瘤?炎性?待排合并脂肪瘤
医学百科网 | YxBaike.Com
刘祥:肠套叠,考虑末段回肠脂肪瘤所致 医学百科网 | YxBaike.Com
刘志健:回肠囊性病灶继发回结肠套叠,囊肿或迈克尔憩室
医学百科网 | YxBaike.Com
陈应东:中年男性,无出血,回-结套叠,套叠头部囊实性灶,增强实性成分递进强化,周围没有渗出、没有增大淋巴结,不知道是啥,腺癌?异位胰腺? 医学百科网 | YxBaike.Com
附件列表
词条内容仅供参考,如果您需要解决具体问题,请遵医嘱或咨询医师。
本站词条内容如果涉嫌侵权,请与客服联系,我们将及时进行处理。如需转载,请注明来源于www.yxbaike.com
如果您认为本词条还有待完善,请 编辑
上一篇 常见眶内肿瘤影像诊断与鉴别诊断 下一篇 幕上囊性占位—间变性星形细胞瘤1例MR
