儿童鞍区占位影像要点及鉴别诊断
No.1 颅咽管瘤
医学百科网 | YxBaike.Com
颅咽管瘤是最常见儿童鞍区肿瘤,约占儿童鞍区肿瘤的 54%。大多位于鞍上、也可位于鞍上和鞍内。儿童主要为釉质上皮型(成人多为乳头型),5-14 岁常见。主要症状为颅内高压和尿崩症。儿童颅咽管瘤影像显示肿瘤囊性为主,约 90% 伴钙化。CT 上显示囊壁的线样或蛋壳样钙化为特征。囊性部分以低密度为主,也可为等甚至高密度。因囊内成分不同 MR 各种信号均可出现。增强扫描实质部分均匀或不均匀强化,囊壁强化。
case 1:
医学百科网 | YxBaike.Com
医学百科网 | YxBaike.Com
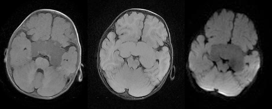
男,5 岁。反复呕吐伴头围增大半月余。CT 显示蛋壳样钙化。MR-T1W 囊液呈稍高信号,T2W 呈高信号,DWI 低信号,增强扫描可见囊壁强化,局部可见结节样强化。 医学百科网 | YxBaike.Com
case 2: 医学百科网 | YxBaike.Com
医学百科网 | YxBaike.Com
颅咽管瘤。女,9 岁。CT 示鞍上囊性为主囊实性占位,囊壁见条状钙化。MR 示鞍内及鞍上占位,前下实质部分呈 T1W、T2W 高信号,后面部分呈囊性,增强扫描囊壁可见环形强化。
医学百科网 | YxBaike.Com
No.2 视交叉和下丘脑星形细胞瘤 医学百科网 | YxBaike.Com
视交叉和下丘脑星形细胞瘤:起源于视交叉星形细胞瘤常影响下丘脑、而起源于下丘脑星形细胞瘤常影响视交叉。星形细胞瘤以视力下降及眼球活动障碍为主要临床症状,与鞍区生殖细胞瘤和颅咽管瘤等易出现尿崩症有很大不同。 医学百科网 | YxBaike.Com
病理类型包括:①毛细胞星形细胞瘤:最多见(WHO I 级)。好发于 2-4 岁。影像主要表现为实质性为主伴或不伴囊变,增强扫描强化多样性(轻度-明显甚至不强化均可出现)、典型者实质部分显著强化。②毛细胞粘液样星形细胞瘤:毛细胞星形细胞瘤特殊类型(WHO II 级)。好发于婴幼儿(多<1 岁)。实质性肿瘤或实质性为主伴小部分囊性,增强扫描实质部分显著强化。与毛细胞星形细胞瘤鉴别困难,主要依靠年龄。③弥漫型、间变型星形细胞瘤和胶质母均极少见。 case 1:
毛细胞星形细胞瘤,男,3 岁。双眼震颤、视物困难 23 个月,左手持物不稳 2 天。MR 示鞍区实性为主肿块伴小囊变,伴脑积水。
医学百科网 | YxBaike.Com
case 2: 医学百科网 | YxBaike.Com
医学百科网 | YxBaike.Com
毛细胞星形细胞瘤,女,2 岁。MR 示实性为主肿块伴小囊变。 医学百科网 | YxBaike.Com
case 3:
医学百科网 | YxBaike.Com
医学百科网 | YxBaike.Com
医学百科网 | YxBaike.Com
毛细胞粘液样星形细胞瘤,女,8M。实质性肿瘤,增强扫描明显均匀强化。注意年龄 8 个月。 医学百科网 | YxBaike.Com
No.3 生殖细胞起源肿瘤 医学百科网 | YxBaike.Com
以生殖细胞瘤最常见。生殖细胞瘤以青春期儿童多见(<10 岁和>40 岁少见)。鞍上生殖细胞瘤男女发病率相同,75% 患儿伴有尿崩症。一般呈结节或分叶状较小病灶。钙化很少见、少数可有小囊变。CT 呈等-高密度。MR-T1W 和 T2W 均为等信号,DWI 部分呈高信号(呈高信号时可与鞍区常见的毛细胞星形细胞瘤区分)。增强扫描显著强化。CSF 播散不少见。其他混合性生殖细胞瘤、 畸胎瘤及卵黄囊瘤等亦可见到,但较少。
医学百科网 | YxBaike.Com
case 1:
医学百科网 | YxBaike.Com
鞍区生殖细胞瘤,女,11 岁。视力减退 4 年加重 1 年。DWI 呈等信号(毛细胞星形细胞瘤 DWI 信号一般偏低)。另外年龄 11 岁较毛细胞星形细胞瘤年龄要大。 医学百科网 | YxBaike.Com
case 2:
混合性生殖细胞瘤。女,7 岁。头晕呕吐 1 年余,发现性早熟 1 月余。HCG 和 AFP 均升高,提示含有卵黄囊瘤和绒毛膜癌成分。
No.4 下丘脑错构瘤 医学百科网 | YxBaike.Com
下丘脑错构瘤(灰结节错构瘤)是一种少见的颅内脑组织发育异常的先天性畸形。好发于婴幼儿和低龄儿童。肿块由异位的类似于灰结节的分化良好神经元构成、有完整血脑屏障。性早熟和痴笑性癫痫为主要临床特征。肿瘤可单独存在也可伴有一种或多种脑内外先天性畸形。典型者显示垂体柄和乳头体之间的圆形或类圆形结节、直径多小于 2 cm。一般信号特征同灰质,呈等 T1 等 T2 信号为主、少数 T2 信号略高。增强扫描不强化。
医学百科网 | YxBaike.Com
case 1: 医学百科网 | YxBaike.Com
下丘脑错构瘤。垂体柄和乳头体之间等信号结节,无强化。
医学百科网 | YxBaike.Com
No.5 其他儿童鞍区占位性病变
①拉脱克裂囊肿(Rathke 囊肿):多见于 20-40 岁。儿童亦不少见,多见于 6-15 岁的年龄较大儿童。主体在鞍内,呈鞍内或鞍内向鞍上延伸的囊性肿物。典型位于垂体前后叶之间、直径多<2 cm。MR 信号多样,T1W 和 T2W 高信号、低信号或等信号均有检出。增强扫描无强化。 ②儿童垂体瘤仅占垂体瘤 2%。多见于青春期女孩、5 岁以下儿童垂体瘤很少见。儿童垂体瘤以大腺瘤为主。多显示为累及鞍内、鞍上的实性为主的病灶,增强扫描中度强化。 ③朗罕斯细胞组织细胞增生症(LCH):「中枢性尿崩症」为主要临床特点。MR 示垂体柄和(或)漏斗部结节状或梭形增粗、T1W 和 T2W 均呈中等信号,增强扫描病灶明显强化。垂体后叶 T1W 高信号消失。 ④鞍区蛛网膜囊肿等。 case 1:
医学百科网 | YxBaike.Com
LCH。女,7 岁。多饮多尿 4 月余。MR 垂体柄上缘偏粗,增强后呈结节样强化。
医学百科网 | YxBaike.Com
case 1: 医学百科网 | YxBaike.Com
Rathke 囊肿。T1W 和 T2W 均呈稍高-高信号。增强扫描未见强化。
附件列表
词条内容仅供参考,如果您需要解决具体问题,请遵医嘱或咨询医师。
本站词条内容如果涉嫌侵权,请与客服联系,我们将及时进行处理。如需转载,请注明来源于www.yxbaike.com
如果您认为本词条还有待完善,请 编辑
上一篇 新发和再发传染病神经影像学表现 下一篇 以囊性病灶为主的骨肿瘤及肿瘤样病变影像解析
