三明治征”之谜—胸膜淋巴瘤1例CT影像
医学百科网 | YxBaike.Com
医学百科网 | YxBaike.Com
医学百科网 | YxBaike.Com
医学百科网 | YxBaike.Com
医学百科网 | YxBaike.Com
医学百科网 | YxBaike.Com
医学百科网 | YxBaike.Com
医学百科网 | YxBaike.Com
医学百科网 | YxBaike.Com
医学百科网 | YxBaike.Com
医学百科网 | YxBaike.Com
医学百科网 | YxBaike.Com
医学百科网 | YxBaike.Com
医学百科网 | YxBaike.Com
医学百科网 | YxBaike.Com
医学百科网 | YxBaike.Com
医学百科网 | YxBaike.Com
医学百科网 | YxBaike.Com
医学百科网 | YxBaike.Com
医学百科网 | YxBaike.Com
医学百科网 | YxBaike.Com
医学百科网 | YxBaike.Com
医学百科网 | YxBaike.Com
医学百科网 | YxBaike.Com
医学百科网 | YxBaike.Com
医学百科网 | YxBaike.Com
医学百科网 | YxBaike.Com
医学百科网 | YxBaike.Com
医学百科网 | YxBaike.Com
医学百科网 | YxBaike.Com
医学百科网 | YxBaike.Com
医学百科网 | YxBaike.Com
医学百科网 | YxBaike.Com
医学百科网 | YxBaike.Com
医学百科网 | YxBaike.Com
医学百科网 | YxBaike.Com
医学百科网 | YxBaike.Com
医学百科网 | YxBaike.Com
医学百科网 | YxBaike.Com
医学百科网 | YxBaike.Com
医学百科网 | YxBaike.Com
医学百科网 | YxBaike.Com
医学百科网 | YxBaike.Com
医学百科网 | YxBaike.Com
医学百科网 | YxBaike.Com
医学百科网 | YxBaike.Com
医学百科网 | YxBaike.Com
医学百科网 | YxBaike.Com
医学百科网 | YxBaike.Com
医学百科网 | YxBaike.Com
精彩讨论 医学百科网 | YxBaike.Com
joyzhy:
老年男性,右侧胸膜软组织肿块延伸至后纵隔主动脉旁,平扫密度均匀稍高,增强扫描均匀强化,高于肌肉,其内血管走形包绕,部分包绕肋骨,考虑淋巴瘤。病人石棉接触史,不能除外间皮瘤(胸水应该更多)。
医学百科网 | YxBaike.Com
一切∮随缘: 医学百科网 | YxBaike.Com
右肺下叶肿块,宽基底与胸膜相连,局部胸膜下间隙消失,肋骨未见明显骨质破坏,平扫密度均匀,增强后可见内部点片状强化,坏死囊变不明显,右肺叶裂旁多个小气囊,双肺多发模糊的小结节,老年男性,有石棉肺,综合考虑1:胸膜间皮瘤2:淋巴瘤3:结核瘤4:SFT
采莲:
老年男性,咳嗽气喘纳差3个月,慢性病史,有石棉接触史。右下肺胸膜下巨大肿块,宽基底与胸膜相连,考虑来源胸膜,密度均匀,内有钙化,左侧胸膜增厚,有点状钙化,双肺野外带可见斑片影,多发囊泡,考虑恶性胸膜间皮瘤,慢阻肺。 医学百科网 | YxBaike.Com
晕晕菜: 医学百科网 | YxBaike.Com
患者老年男性,咳嗽、气喘、纳差3月(近3月体重下降10斤),既往史:中年时期有石棉接触史2年。慢性支气管炎病史6年,胆囊炎手术病史9年。心律不齐病史9年,脑梗塞病史2年余,血沉91mm/h。胸CT:右侧胸膜明显增厚,4R 7组淋巴结肿大。考虑恶性胸膜间皮瘤。
医学百科网 | YxBaike.Com
毛勤香:
右后胸膜下团块,局部膨隆突起,增强扫描有强化,右侧肋间动脉供血,腹膜后主动脉旁亦见团块状软组织密度影,和主动脉分界不清,增强扫描有强化,有石棉工作史,体重明显下降,纵膈淋巴结明显增大,考虑恶性,胸膜间皮瘤?有点疑惑就是胸水不明显,鉴别淋巴瘤。两肺斑片状状影,考虑感染,其中右肺下叶局部结节状影,边缘稍毛糙,周围少许点片状影,首先考虑感染,不除外结核结节和腺癌可能。
红日东升: 医学百科网 | YxBaike.Com
石棉接触史,胸膜三明治征,考虑淋巴瘤,鉴别间皮瘤 医学百科网 | YxBaike.Com
琦遇:
老年男性,有石棉接触史2年,体重近三个减轻5千克。CT上看,胸膜栽桩,右侧内淋巴结以及纵隔淋巴结多发肿大,定恶性应该没有问题,考虑恶性间皮瘤、腺癌、淋巴瘤之间的鉴别,倾向腺癌!
尘缘: 医学百科网 | YxBaike.Com
考虑淋巴瘤的应该会中奖了。 医学百科网 | YxBaike.Com
优彤: 医学百科网 | YxBaike.Com
三明治征,应该是典型淋巴瘤
张延军:
医学百科网 | YxBaike.Com
右后胸壁不规则软组织影,胸膜尾征,密度均匀,呈明显强化,胸壁外脂肪间隙推挤外移,肋骨受压变形,肋间动脉供血,考虑淋巴瘤?胸膜起源可能性,SFT(侵袭)?双肺多发慢性炎症 医学百科网 | YxBaike.Com
大雄: 医学百科网 | YxBaike.Com
医学百科网 | YxBaike.Com
医学百科网 | YxBaike.Com
精彩分析
南边:
恶性没问题吧?
医学百科网 | YxBaike.Com
南边:淋巴瘤?弥漫性间皮瘤?转移瘤?定到恶性就可以了 医学百科网 | YxBaike.Com
没意见:
医学百科网 | YxBaike.Com
囊,淋巴增殖,三明治,淋巴瘤
医学百科网 | YxBaike.Com
王海瑛:
医学百科网 | YxBaike.Com
供血的肋间动脉好像不完整,有破坏,淋巴瘤破坏力没这么强吧
南边:
医学百科网 | YxBaike.Com
看病史,支持间皮瘤,其次淋巴瘤
傅昌瑜: 医学百科网 | YxBaike.Com
石棉接触持续时间与胸膜瘤相关吗,有接触多长时间?
医学百科网 | YxBaike.Com
三个石头:
医学百科网 | YxBaike.Com
间皮瘤多发比较常见,环周增厚,胸水常见
医学百科网 | YxBaike.Com
哦落花时节: 医学百科网 | YxBaike.Com
插了胸导管,胸水引出去了
医学百科网 | YxBaike.Com
刘和林: 医学百科网 | YxBaike.Com
肋间动脉漂浮征,淋巴瘤 医学百科网 | YxBaike.Com
尘缘: 医学百科网 | YxBaike.Com
再看了一下,铁蛋白是正常的。骨髓瘤的可能性要比淋巴瘤小,我把这两个顺序换一下,淋巴瘤排前面。如果是间皮瘤,纵隔淋巴结这么多,这么大,肯定是恶性间皮瘤,那胸膜上肯定不会这么单一,应该多发,而且波浪样改变,所以我觉得不是。孤立性浆细胞瘤是必须要鉴别的。
肺炎多发囊腔。其实囊腔型腺癌伴转移,是不得不考虑的。
医学百科网 | YxBaike.Com
三个石头:
肺内还有多发磨玻璃啊,有没有特点,左肺还有个结节,叶间裂有结节感 医学百科网 | YxBaike.Com
刘和林:
医学百科网 | YxBaike.Com
黄勇老师讲过,肋间动脉三明治征,淋巴瘤特异性很高。
毛勤香: 医学百科网 | YxBaike.Com
这么孤立的大的间皮瘤也没见过,淋巴瘤,有石棉史,间皮瘤我是不敢除外的 医学百科网 | YxBaike.Com
王崇军:
恶性,定位胸膜来源,肋间动脉供血,孤立纤维瘤排除。间皮瘤,有病史,但没有一点钙化斑,说不通;纵隔淋巴结肿大,肿块没有坏死,好像挺支持,但没有见过胸膜的淋巴瘤,这么大年龄,有没有可能是转移瘤呢
医学百科网 | YxBaike.Com
丽:
这个年龄,转移瘤不能除外
医学百科网 | YxBaike.Com
大雄: 医学百科网 | YxBaike.Com
来源壁层胸膜吧
闫美利:
医学百科网 | YxBaike.Com
胸膜来源的恶性肿瘤间皮瘤淋巴瘤转移肉瘤
冥冥之中: 医学百科网 | YxBaike.Com
就是间皮瘤跟转移哪个放在前面@尹发友 达州红十字医院 医学百科网 | YxBaike.Com
冥冥之中: 医学百科网 | YxBaike.Com
间皮瘤跟转移瘤我选这两个@尹发友 达州红十字医院?你选淋巴瘤跟浆细胞瘤?一人两个,发病率,转移>间皮瘤 医学百科网 | YxBaike.Com
大雄:
那我选恶性,我一直间皮瘤
医学百科网 | YxBaike.Com
尘缘:
@於雄_九江市一医院影像 间皮瘤,那你就在坑里别出来了。
丁啸: 医学百科网 | YxBaike.Com
石棉接触有,却没有胸膜斑。这包的血管是上面老师说的三明治意思 医学百科网 | YxBaike.Com
毛勤香: 医学百科网 | YxBaike.Com
丁老师这个是血管漂浮征吗? 医学百科网 | YxBaike.Com
大雄: 医学百科网 | YxBaike.Com
算血管漂浮 医学百科网 | YxBaike.Com
丁啸 : 结果:淋巴瘤 医学百科网 | YxBaike.Com
医学百科网 | YxBaike.Com
丁啸 :
这个人没有胸膜斑,是不是表明石棉接触不多。胸膜病变不广泛。纵隔淋巴结有肿大。这个三明治,挺灵的。
尘缘:
是的,没有胸膜斑,而且太局限了。淋巴结改变与胸膜分布不成正比。 医学百科网 | YxBaike.Com
大雄: 医学百科网 | YxBaike.Com
@江苏 无锡五院呼吸丁啸?恶性间皮瘤好多都没有胸膜斑 医学百科网 | YxBaike.Com
没意见: 医学百科网 | YxBaike.Com
属B淋巴细胞瘤一种 医学百科网 | YxBaike.Com
大雄:
我刚查了下,浆细胞瘤在成熟B细胞淋巴瘤分类里面 医学百科网 | YxBaike.Com
丁啸: 黄勇老师总结,间皮瘤淋巴结肿大的很少。
医学百科网 | YxBaike.Com
尘缘:
血管飘浮,三明治,加上纵隔淋巴结多发肿大,部分有融合。基本上定了淋巴瘤了。 医学百科网 | YxBaike.Com
本例病例总结
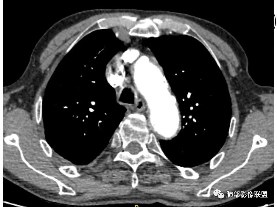
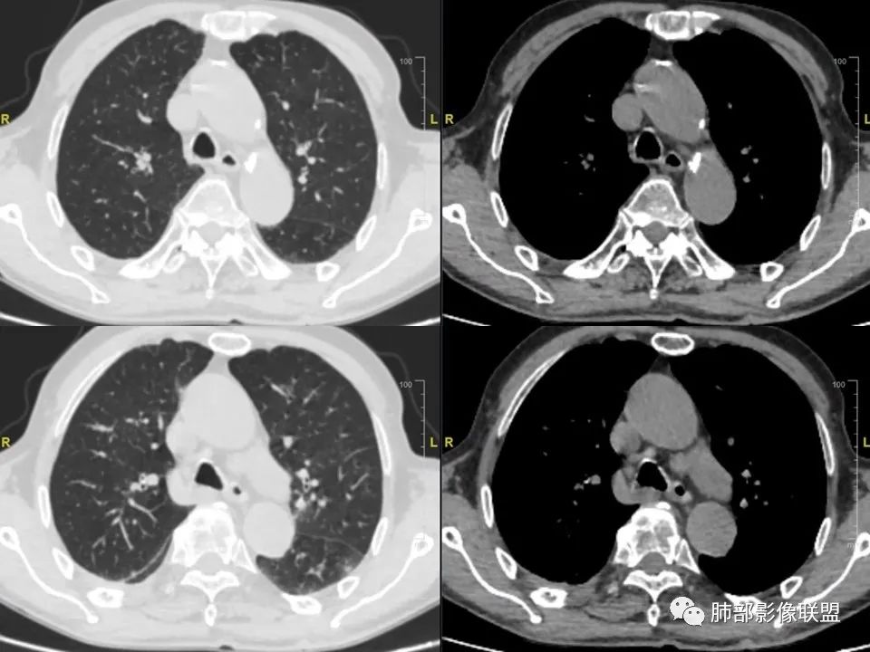
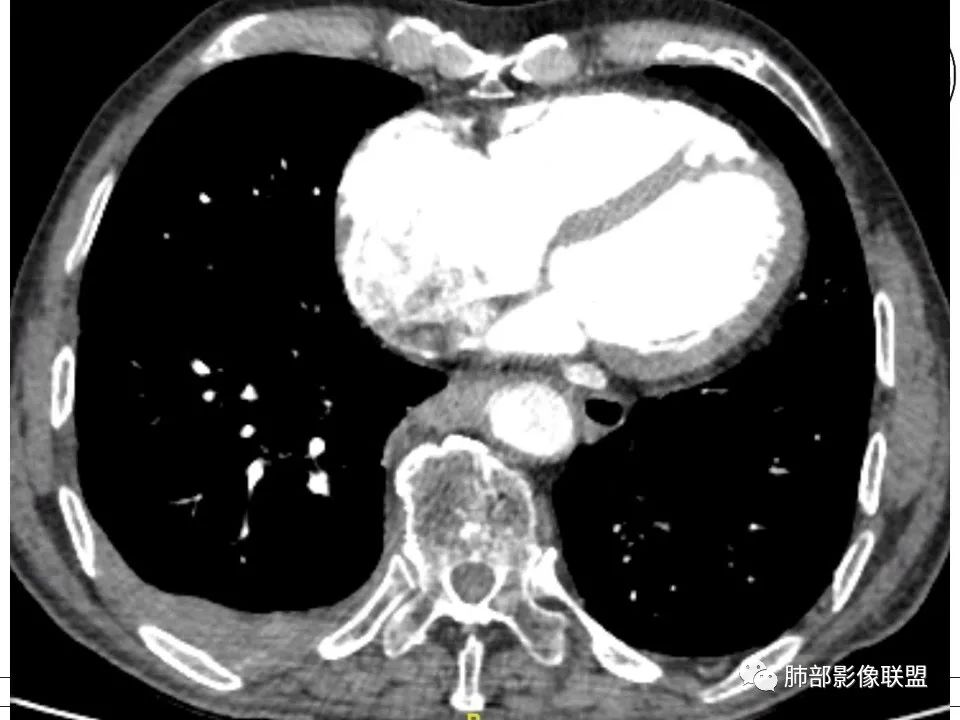
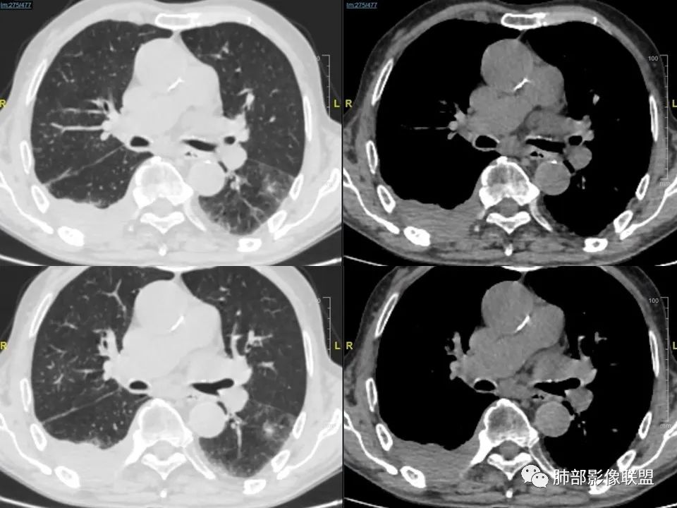
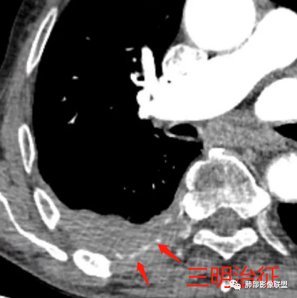
1、老年男性,右侧后胸壁软组织肿块延伸范围较广(至后纵隔主动脉旁),平扫密度均匀稍高,增强扫描均匀强化,其间走行肋间动脉包埋、漂浮(夹心三明治),部分包绕肋骨,肋骨骨质未见明显吸收破坏! 医学百科网 | YxBaike.Com
2、胸膜掀起或尾征,胸壁肋间肌及脂肪间隙浸润,肋间动脉供血。 医学百科网 | YxBaike.Com
3、纵隔淋巴结多发肿大,部分有融合。
医学百科网 | YxBaike.Com
4、双侧未见典型胸膜斑,提示石棉非长期接触。胸膜病变不广泛。淋巴结改变与胸膜病灶不相称。 医学百科网 | YxBaike.Com
5、良性胸膜间皮瘤局限、规则高密度。恶性间皮瘤胸膜呈波浪状,常伴胸水。 医学百科网 | YxBaike.Com
6、老年患者转移瘤多见。双侧多发,易伴胸水。胸壁侵犯肋骨破坏为主。常有原发肿瘤。
医学百科网 | YxBaike.Com
附件列表
词条内容仅供参考,如果您需要解决具体问题,请遵医嘱或咨询医师。
本站词条内容如果涉嫌侵权,请与客服联系,我们将及时进行处理。如需转载,请注明来源于www.yxbaike.com
如果您认为本词条还有待完善,请 编辑
