胆道解剖与变异
胆道系统的组成 医学百科网 | YxBaike.Com
胆道系统组成:由肝内胆管、肝外胆管、胆囊及 Oddi 括约肌组成。
医学百科网 | YxBaike.Com
左、右肝管:左肝管较为细长,长约 2.5~4 cm,全程位于肝门横沟内,与肝总管间形成 90°夹角;右肝管较粗短,长约 1~3 cm,与肝总管间形成约 150°夹角。
医学百科网 | YxBaike.Com
胆囊:分为底、体、颈三部,为囊性器官,呈梨形,位于肝脏脏面的胆囊窝内,相当于肝右叶与肝方叶之间。长 8~12 cm,宽 3~5 cm;容积 40~60 ml。胆囊管、肝总管及肝脏脏面三者构成的三角形区域称为胆囊三角 (又叫 Calot 三角、卡洛氏三角 Calot\’s triangle、hepatobiliary triangle 、胆囊动脉三角) 医学百科网 | YxBaike.Com
胆囊管:是连接胆囊与胆总管之间的管道,一般长约 2.5~4 cm,管径约 0.2~0.3 cm。胆囊管具有多种的解剖学变异。 医学百科网 | YxBaike.Com
肝总管:左、右肝管出肝后,在肝门部汇合形成肝总管。肝总管直径为 0.4~0.6 cm,长约 2~4 cm,位于肝十二指肠韧带中,其下端与胆囊管汇合形成胆总管。 医学百科网 | YxBaike.Com
胆总管:由肝总管与胆囊管在肝十二指肠韧带中汇合形成,全长约 7~9 cm,直径 0 .6~0 .8 cm,直径一般不超过 1 cm。分为四段:十二指肠上段、十二指肠后段、胰腺段、十二指肠壁内段。
医学百科网 | YxBaike.Com
大多数人胆总管与主胰管在肠壁内汇合形成一共同通道,并膨大形成胆胰壶腹。另有 15%~20% 的胆总管与主胰管分别开口于十二指肠。Oddi 括约肌主要包括胆管括约肌、胰管括约肌和壶腹括约肌,它具有控制和调节胆总管和胰管的排放,以及防止十二指肠内容物反流的重要作用。
医学百科网 | YxBaike.Com
医学百科网 | YxBaike.Com
正常胆管解剖 医学百科网 | YxBaike.Com
正常肝内的胆管与肝动脉及门静脉的肝内分支相互伴行,肝右叶右前、后叶肝管在肝门静脉右支前上方汇合组成右肝管,肝左叶左外上、下段肝管于肝门静脉左支横部的前上方汇合构成左肝管,肝总管下行于肝十二指肠韧带内,在韧带内胆囊管与肝总管以锐角汇合形成胆总管,与十二指肠大乳头处胆总管与主胰管汇入肠管内。肝内胆管主要对由肝细胞产生的胆汁起到输送作用,胆囊管是连接胆囊与肝外胆管的重要结构,胆总管主要是确保胆汁可以由胆囊腔进入肠道内。 医学百科网 | YxBaike.Com
医学百科网 | YxBaike.Com
胆管变异 医学百科网 | YxBaike.Com
胆管变异多种多样,其中大体上包括肝内胆管变异、胆囊管变异及肝外胆管变异等。肝内胆管分为 7 型: 医学百科网 | YxBaike.Com
医学百科网 | YxBaike.Com
Ⅰ型为正常肝内胆管走行,可占 65% 以上;
医学百科网 | YxBaike.Com
Ⅱ型:右前后肝管与左肝管汇合,可占 10%; 医学百科网 | YxBaike.Com
Ⅲ型:右后肝管汇入位置分为三型,约占 20%, 医学百科网 | YxBaike.Com
Ⅲa 型为右后肝管汇入左肝管, 医学百科网 | YxBaike.Com
Ⅲb 型为右后肝管汇入肝总管,
Ⅲc 型为为右后肝管汇入胆囊管; 医学百科网 | YxBaike.Com
Ⅳ型:右肝管汇入胆囊管; 医学百科网 | YxBaike.Com
Ⅴ型为副肝管的存在;
医学百科网 | YxBaike.Com
Ⅵ型为 2、3 段分级肝管汇入右肝管或肝总管; 医学百科网 | YxBaike.Com
Ⅶ型为其他较为复杂的类型。
医学百科网 | YxBaike.Com
医学百科网 | YxBaike.Com
Ⅰ型:肝左右管汇合肝总管,胆囊管与肝总管汇合胆总管。左图:1 为肝左管,2 为肝总管,3 为胆囊管,4 为肝右管,5 为胆总管。黑箭头为胆囊结石。
图为胆总管结石继发梗阻患者。Ⅱ型:肝右前、右后肝管与肝左管汇合肝总管,呈三叉状,1 为肝右前肝管,2 为右后肝管,3 为肝左管,4 为肝总管,箭头为肝总管及胆总管结石。 医学百科网 | YxBaike.Com
医学百科网 | YxBaike.Com
Ⅲa 型:右后肝管汇入左肝管。左图:1 为右前肝管,2 为右后肝管,3 为肝左管,4 为肝总管,5 为胆总管。
医学百科网 | YxBaike.Com
Ⅲb 型为右后肝管汇入肝总管。图 1 为右前肝管,2 为肝左管,3 为右后肝管,4 肝总管,5 胆囊管,6 胆总管。 医学百科网 | YxBaike.Com
医学百科网 | YxBaike.Com
Ⅲc 型为为右后肝管汇入胆囊管。左图 1 为右前肝管,2 为肝左管,3 为右后肝管,4 为胆囊管,5 为胆总管;右图 1 为胆囊管,2 为右后肝管,箭头为胆囊结石。 医学百科网 | YxBaike.Com
医学百科网 | YxBaike.Com
Ⅳ型:右肝管汇入胆囊管。左图为胆总管远端梗阻患者,图示 1 为肝右管,2 为胆囊管,3 为肝左管,4 为胆总管。 医学百科网 | YxBaike.Com
由于副肝管位于胆囊三角或肝门附近,开口越低、越靠近胆囊管开口,手术时就越容易发生误伤。
医学百科网 | YxBaike.Com
Ⅴ型为副肝管的存在。图示 1 为肝右管,2 为肝左管,3 为副肝管,4 为肝总管,5 为胆囊管,6 为胆总管。 医学百科网 | YxBaike.Com
医学百科网 | YxBaike.Com
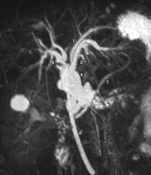
Ⅵ型为 2、3 段分级肝管汇入右肝管或肝总管。图为胆总管末端梗阻 T 管引流术后。图示 1 为 2 段肝管,2 为 3 段肝管,3 为肝右肝管,4 为肝总管,5 为胆总管,6 为 T 型管,7 胰管。 医学百科网 | YxBaike.Com
磁共振胰胆管水成像 (magnetic resonance cholangiopancreatography,MRCP) 属于磁共振功能成像的一种,采用无创的方法对胆系及胰管进行成像,它利用 MR 重 T2 加权成像将含液体的胰管和胆管清晰显示,提供完整的胰胆管影像,通过二维及三维成像,能够从多个角度以及方位对胆管以及胆道形态进行全面的展示。近些年胆系疾病的发病率逐年上升,尤其肝叶切除手术、PTC 手术时,这就要求对胆道系统进行全面评估,避免不必要的损伤,而 MRCP 技术可以较为真实、客观的反应胆管走行、形态情况。
医学百科网 | YxBaike.Com
附件列表
词条内容仅供参考,如果您需要解决具体问题,请遵医嘱或咨询医师。
本站词条内容如果涉嫌侵权,请与客服联系,我们将及时进行处理。如需转载,请注明来源于www.yxbaike.com
如果您认为本词条还有待完善,请 编辑
上一篇 盆腔皮样囊肿1例MR影像 下一篇 胸壁恶性肿瘤的影像学评估
