肺腺癌1例CT影像讨论
图像资料
医学百科网 | YxBaike.Com
医学百科网 | YxBaike.Com
医学百科网 | YxBaike.Com
医学百科网 | YxBaike.Com
医学百科网 | YxBaike.Com
医学百科网 | YxBaike.Com
医学百科网 | YxBaike.Com
医学百科网 | YxBaike.Com
医学百科网 | YxBaike.Com
医学百科网 | YxBaike.Com
医学百科网 | YxBaike.Com
医学百科网 | YxBaike.Com
医学百科网 | YxBaike.Com
医学百科网 | YxBaike.Com
病例讨论 医学百科网 | YxBaike.Com
雪狐7305:女性,左下叶肿块,膨隆,分叶,但收缩力偏弱,周围有边界欠清的GGO,没有增强窗,粘液腺癌?
小强:支气管受压,内壁不平,周围磨玻璃,整体膨隆,叶间胸膜增厚,考虑恶性,腺癌? 医学百科网 | YxBaike.Com
毛勤香:分叶状,膨隆明显,多支支气管闭塞,外朝内生长,老年女性,小细胞癌?鉴别不典型低分化腺癌
医学百科网 | YxBaike.Com
光明:分叶形肿块,支气管受挤压为主,考虑类癌?淋巴瘤?
医学百科网 | YxBaike.Com
林漠:病灶内未见含气支气管,周围支气管推移改变,无明确收缩力,斜裂反应较广泛,周围晕征。类癌? 医学百科网 | YxBaike.Com
王秀仙:左肺下叶肿块,长轴沿着支气管走行,支气管变窄,内壁欠光滑,分叶,周围模糊晕,考虑小细胞肺癌
医学百科网 | YxBaike.Com
孔儿:支气管堵塞,较大分叶,边缘彭隆,考虑恶性
王兆宇:女性,多见的是什么癌?小细胞癌多吗? 医学百科网 | YxBaike.Com
孔儿:女性多见的是腺癌,小细胞不多 医学百科网 | YxBaike.Com
毛勤香:小细胞癌女性不多
医学百科网 | YxBaike.Com
王秀仙:类癌也要考虑,少强化
医学百科网 | YxBaike.Com
宇宙星空:病灶膨隆,周围有晕,收缩力不明显,应该有小支气管阻断的
医学百科网 | YxBaike.Com
binby:截断还有一段支气管内爬行
医学百科网 | YxBaike.Com
毛勤香:多支细支气管闭塞 医学百科网 | YxBaike.Com
王兆宇:如果是腺癌,哪一种生长方式比较符合? 医学百科网 | YxBaike.Com
月影无踪:腺或实体 医学百科网 | YxBaike.Com
毛勤香:实体状 医学百科网 | YxBaike.Com
王兆宇:病理诊断,实体型腺癌
医学百科网 | YxBaike.Com
雪狐7305:为何收缩力表现这么弱 医学百科网 | YxBaike.Com
毛勤香:低分化,长得快 医学百科网 | YxBaike.Com
王兆宇:为什么符合实体型腺癌呢?
binby:看到毛玻璃模糊和没收缩不敢想了
医学百科网 | YxBaike.Com
王兆宇:这个不算磨玻璃,算晕。可能有炎症或出血。低分化厉害的,收缩力可以消失,特别是实体型。实体型内部纤维组织很少。另外,类癌的话,就是和不典型类癌鉴别,确实比较难,典型类癌分叶不明显;不典型类癌男女比例差不多,少见
医学百科网 | YxBaike.Com
毛勤香:和类癌鉴别强化有意义吧,王老师,
医学百科网 | YxBaike.Com
王兆宇:同意,有意义,但不典型类癌不一定
医学百科网 | YxBaike.Com
总结 医学百科网 | YxBaike.Com
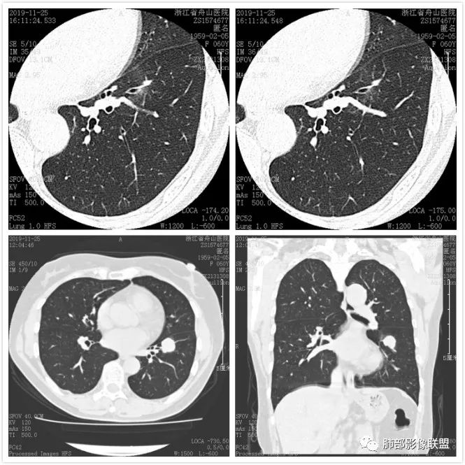
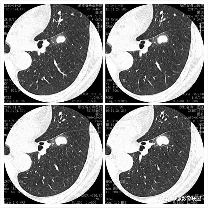
这个病例看上去像个爱心,但是具备恶性征象不少,有分叶,脐凹,支气管截断,膨隆,月牙铲等。没有毛刺,牵拉力不强,多见于低分化肿瘤,其收缩力可以消失,特别是实体型。实体型内部纤维组织很少。与不典型类癌鉴别比较难,典型类癌分叶不明显;不典型类癌男女比例差不多,少见。
图一:提示支气管截断;图二:看到脐凹血管进入;图三:月牙铲;图四:典型分叶;图五:病灶膨隆,图六:支气管截断可能。 医学百科网 | YxBaike.Com
医学百科网 | YxBaike.Com
医学百科网 | YxBaike.Com
医学百科网 | YxBaike.Com
医学百科网 | YxBaike.Com
附件列表
词条内容仅供参考,如果您需要解决具体问题,请遵医嘱或咨询医师。
本站词条内容如果涉嫌侵权,请与客服联系,我们将及时进行处理。如需转载,请注明来源于www.yxbaike.com
如果您认为本词条还有待完善,请 编辑
