让人琢磨不透的肺肿块—肺癌1例CT影像
医学百科网 | YxBaike.Com
医学百科网 | YxBaike.Com
医学百科网 | YxBaike.Com
医学百科网 | YxBaike.Com
医学百科网 | YxBaike.Com
医学百科网 | YxBaike.Com
医学百科网 | YxBaike.Com
医学百科网 | YxBaike.Com
医学百科网 | YxBaike.Com
医学百科网 | YxBaike.Com
医学百科网 | YxBaike.Com
医学百科网 | YxBaike.Com
医学百科网 | YxBaike.Com
医学百科网 | YxBaike.Com
医学百科网 | YxBaike.Com
医学百科网 | YxBaike.Com
医学百科网 | YxBaike.Com
医学百科网 | YxBaike.Com
医学百科网 | YxBaike.Com
医学百科网 | YxBaike.Com
医学百科网 | YxBaike.Com
医学百科网 | YxBaike.Com
医学百科网 | YxBaike.Com
医学百科网 | YxBaike.Com
医学百科网 | YxBaike.Com
医学百科网 | YxBaike.Com
微信群讨论
任广国: 医学百科网 | YxBaike.Com
左肺上叶类圆形软组织影,边界较清楚,其内密度均匀,外侧缘可见空气新月征,并可见点状钙化,增强扫描可见均匀强化,病灶周围可见磨玻璃渗出性密度影,斜裂侧光滑平整。考虑炎性病灶,以肉芽肿性炎症为主(如真菌性肉芽肿),鉴别结核(无卫星灶,无多态性),肺癌(无毛刺,分叶等恶性征象,)细菌性炎症(密度一般不这么致密,很少钙化及空气新月征)。 医学百科网 | YxBaike.Com
周太狼: 医学百科网 | YxBaike.Com
左肺上叶类圆形软组织影,界清,内见空洞影,病灶周围斑片影,可见空气支气管征,未垮叶。考虑炎性病变,糖尿病四大金刚,肺克?毛霉? 医学百科网 | YxBaike.Com
小兜:
医学百科网 | YxBaike.Com
老年男性,血糖升高六年,反复咳痰咳嗽3周,左肺上叶近斜裂类圆形肿块影,边缘伴磨玻璃影,边界不清。内部可见支气管走行、钙化、小空洞,叶间裂局部膨隆,增强扫描轻度强化,内部可见小的低密度区,边界尚清。考虑为炎性病变可能性大。 医学百科网 | YxBaike.Com
一切∮随缘:
左肺叶裂旁实变影,宽基底与叶裂胸膜相连,边缘平直,部分略膨隆,病灶近段及上段支气管深入病灶内,部分壁略增厚,远端支气管截断,似有小空泡,壁规则,内部可见高密度钙化,周围可见模糊的GGO,血象正常,考虑结核(NTM),鉴别隐球菌,奴卡,放线菌。 医学百科网 | YxBaike.Com
流心明智:
医学百科网 | YxBaike.Com
老年男性,66,反复咳嗽、咳痰3月。糖尿病,血象不高。
胸部CT:左肺上叶类圆形肿块影,边界较清楚,密度较均匀,内可见小片坏死、偏心空洞、空气新月征、点状钙化,周围晕、絮状渗出、边缘模糊,支气管扩张、充气征、支气管进入病灶堵塞,叶裂牵拉明显,增强扫描中度均匀强化,纵隔可见淋巴结。考虑:炎性病灶,肉芽肿性炎症,曲霉?毛霉?鉴别:TB,淋巴瘤。
一米阳光:
左上肺类圆形肿块影,边界较清楚,支气管通畅略扩张,周围磨玻璃影,其内密度均匀,外侧见空气新月征,且见点状钙化。叶间裂光滑稍膨隆。老年男性,糖尿病,高血压,痰培养克雷伯菌。综合考虑炎性病灶,克雷伯合并真菌感染,曲霉。结核合并真菌。鉴别肺癌合并感染。 医学百科网 | YxBaike.Com
毛勤香: 医学百科网 | YxBaike.Com
左肺上叶类圆形软组织影,边界稍模糊,其内密度均匀,外侧缘可见空气新月征,并可见点状钙化,增强扫描渐进性强化,病灶周围可见磨玻璃影,斜裂侧光滑平整,气管未见明显闭塞,淋巴结未见肿大,糖尿病患者,首先考虑感染性变,结核并曲霉?
医学百科网 | YxBaike.Com
尘缘:
医学百科网 | YxBaike.Com
10月份住院,没有肺上病灶,所以肿瘤不考虑。这样就只剩下感染性病变了。肺克阳性,但不一定是责任菌,影像表现也不符合肺克血播表现,临床咳嗽咳痰三个月也不支持肺克吸入表现。白细胞不高,中性粒稍高,其他炎性指标不高,也不符合普通细菌感染,侵袭性曲霉没有哮喘,没有IgE升高,没有嗜酸性粒细胞增高,也不支持,金葡影像临床不支持,毛霉病程支持,影像不典型,结核临床支持,影像不典型。加上有新月征,所以结核合并曲霉菌可能大,鉴别毛霉。
入院三大常规不做?
医学百科网 | YxBaike.Com
胸片,心电图,血尿便,这不是必须要的吗
医学百科网 | YxBaike.Com
大雄:
病史三周,不是三个月。 医学百科网 | YxBaike.Com
就是看个糖尿病,查不到任何历史影像资料,有的话我会提供。
任何影像分析都不能脱离临床。 医学百科网 | YxBaike.Com
尘缘:
那好吧,那肿瘤就不能完全排除。
医学百科网 | YxBaike.Com
@於雄_九江市一医院影像?我再看了下,上一次住院没有影像检查,那么这个病变边缘膨隆明显,增强轻中度强化,肺炎型肺癌是肯定要考虑了,可以穿刺活检。
医学百科网 | YxBaike.Com
小鱼: 医学百科网 | YxBaike.Com
空洞内壁光滑的啊 医学百科网 | YxBaike.Com
医学百科网 | YxBaike.Com
这么大病灶支气管似乎没有堵
医学百科网 | YxBaike.Com
不过远端坏死 医学百科网 | YxBaike.Com
确实里面的坏死边界不清 医学百科网 | YxBaike.Com
周边磨玻璃应该和出血有关吧?
Coke with ice:
赖老师,肿瘤的坏死是清晰的还是不清晰的,我记不清了。 医学百科网 | YxBaike.Com
小鱼:
医学百科网 | YxBaike.Com
肿瘤当然是不清,缺血坏死嘛,坏死不彻底。
平常心: 医学百科网 | YxBaike.Com
边缘磨玻璃模糊,不是在远端,在周围,支持炎症。支气管堵塞不突然,比较圆钝,而且壁厚。空气新月征,还有强化奇怪,前面几期有分界不清低密度,最后一期又比较均匀,坏死整体并不明显,很奇怪,慢性脓肿,结核,毛霉,曲霉啥的应该都会更加明显,隐球菌稍微均匀一点。边缘膨隆,肿瘤这一点不排除。包括叶间裂的膨隆。还有皮下黑色,第一是肿瘤,第二是糖尿病坏疽,没有详细说。周围没有树丫,坏死不够明显,结核不太像。空洞内壁结节,但是这个更加像是空气新月征。这些呢,支气管穿入这个不符合,但是其他还符合。方向,第一个肿瘤,第二个炎症,与糖尿病有关。慢性脓肿坏死不太符合,曲霉球也是不强化,不太符合啊。但是糖尿病,真菌还是不能排除。肿瘤或真菌。 医学百科网 | YxBaike.Com
南边老师分析 医学百科网 | YxBaike.Com
南边:
医学百科网 | YxBaike.Com
问一下这是一个外围朝内带发展的病变?
医学百科网 | YxBaike.Com
还是一个沿支气管朝外发展的病变? 医学百科网 | YxBaike.Com
张延军: 医学百科网 | YxBaike.Com
胸膜下实变,周围伴磨玻璃影,长轴与胸膜平行
尘缘: 医学百科网 | YxBaike.Com
病灶沿叶间胸膜向内,支气管远端不畅,近端有扩张,所以符合外朝内病变。
医学百科网 | YxBaike.Com
医学百科网 | YxBaike.Com
医学百科网 | YxBaike.Com
南边:
外朝内无非是:占位效应,GGO边缘;支气管走形、堵塞的形态,血管,密度及强化;内部的坏死及空洞。
医学百科网 | YxBaike.Com
一起捋一捋吧,一条一条来。 医学百科网 | YxBaike.Com
定位?
医学百科网 | YxBaike.Com
了:
医学百科网 | YxBaike.Com
左肺上叶舌段 医学百科网 | YxBaike.Com
冥冥之中:
尖后段跟舌段都有 医学百科网 | YxBaike.Com
南边:
我标示一下,尖后段搭到一部分,前段也占了一点点。
医学百科网 | YxBaike.Com
南边:
医学百科网 | YxBaike.Com
主体在舌段 医学百科网 | YxBaike.Com
医学百科网 | YxBaike.Com 南边: 医学百科网 | YxBaike.Com
有占位效应吗? 医学百科网 | YxBaike.Com
LiJianli: 医学百科网 | YxBaike.Com
有,斜裂局部膨隆 医学百科网 | YxBaike.Com
尘缘: 医学百科网 | YxBaike.Com
边缘膨隆,叶间裂有局部膨出下坠
医学百科网 | YxBaike.Com
南边: 医学百科网 | YxBaike.Com
有膨隆 收缩
医学百科网 | YxBaike.Com
医学百科网 | YxBaike.Com
医学百科网 | YxBaike.Com 南边:
医学百科网 | YxBaike.Com
密度? 医学百科网 | YxBaike.Com
尘缘:
实变为主,加周围模糊GGO
俞丽: 医学百科网 | YxBaike.Com
GGO 实变
南边: 医学百科网 | YxBaike.Com
医学百科网 | YxBaike.Com
南边:
强化如何? 医学百科网 | YxBaike.Com
生来征服~浪子: 医学百科网 | YxBaike.Com
强化有疑问,前面感觉有低密度的,有些图好像又均匀
小锁:
不均匀中度强化 医学百科网 | YxBaike.Com
尘缘:
不均匀轻中度渐进强化。
南边:
医学百科网 | YxBaike.Com
整体形态 医学百科网 | YxBaike.Com
切面所致,要看长轴
南边:
医学百科网 | YxBaike.Com
外围大,内带小
医学百科网 | YxBaike.Com
医学百科网 | YxBaike.Com
南边: 医学百科网 | YxBaike.Com
支气管? 医学百科网 | YxBaike.Com
医学百科网 | YxBaike.Com
宇宙星空: 医学百科网 | YxBaike.Com
堵塞 医学百科网 | YxBaike.Com
尘缘: 医学百科网 | YxBaike.Com
支气管外面堵了,近端有扩张 医学百科网 | YxBaike.Com
宇宙星空:
医学百科网 | YxBaike.Com
有堵塞,有狭窄
南边:
医学百科网 | YxBaike.Com
中远端堵塞,堵塞端圆钝 医学百科网 | YxBaike.Com
炎性? 肺炎型肺癌待排
宇宙星空: 医学百科网 | YxBaike.Com
血管受侵了吧 医学百科网 | YxBaike.Com
医学百科网 | YxBaike.Com
宇宙星空: 医学百科网 | YxBaike.Com
空洞内侧软组织肿块,比较支持恶性吧 医学百科网 | YxBaike.Com
尘缘:
医学百科网 | YxBaike.Com
这个空洞的性质很重要,对最后诊断结果影响大,如果中间没有曲菌球,那就是偏心空洞,指向恶性,如果是曲菌球引起的新月形改变,那就不一定。至于到底是曲菌球还是偏心空洞,需要仔细看看强化情况。 医学百科网 | YxBaike.Com
宇宙星空: 医学百科网 | YxBaike.Com
不均匀性强化,远端坏死比较明显 医学百科网 | YxBaike.Com
医学百科网 | YxBaike.Com
尘缘:
医学百科网 | YxBaike.Com
如果强化明确,那就可以排除曲菌球。
小鱼:
炎性,恶性待排,结核,隐球菌先考虑,最后恶性 医学百科网 | YxBaike.Com
答 揭 晓 案
医学百科网 | YxBaike.Com
大雄: 医学百科网 | YxBaike.Com
不是二元,就是肿瘤,没有什么感染,磨玻璃都是癌。 医学百科网 | YxBaike.Com
刘丹:
医学百科网 | YxBaike.Com
坏死不是鳞癌多见吗,病理是腺癌。 医学百科网 | YxBaike.Com
小鱼: 医学百科网 | YxBaike.Com
腺癌也可以的,这个是低分化,恶性程度高, 医学百科网 | YxBaike.Com
三个石头: 医学百科网 | YxBaike.Com
血供跟不上都可以
医学百科网 | YxBaike.Com
尘缘: 医学百科网 | YxBaike.Com
低分化腺癌坏死常见,转移的淋巴结坏死也常见,这个奇怪的就是淋巴结没有转移,如果有淋巴结肿大,应该会更容易想到低分化腺癌。 医学百科网 | YxBaike.Com
小鱼: 医学百科网 | YxBaike.Com
进展太快了,来不及转移。
果哣:
气管杯口截断与圆钝截断是恶性与炎性的区别吗?老师们 医学百科网 | YxBaike.Com
尘缘: 医学百科网 | YxBaike.Com
有一定作用,但影像都不是绝对的。
小赵:
医学百科网 | YxBaike.Com
周围磨玻璃影是飘出去的粘液,也是肿瘤的一部分吧? 医学百科网 | YxBaike.Com
尘缘: 医学百科网 | YxBaike.Com
@小赵 这个不一定是粘液,很可能还是周围癌性浸润。看术前复查,原磨玻璃区呈明显小叶间隔增厚改变了。说明还是癌性淋巴浸润。
医学百科网 | YxBaike.Com
傅钢泽: 医学百科网 | YxBaike.Com
癌细胞气腔播散?癌性淋巴道炎?黏液?阻塞性?肺出血?
尘缘: 医学百科网 | YxBaike.Com
@温附一影像科,傅钢泽 应该是STA(气腔播散)加癌性淋巴管炎。 医学百科网 | YxBaike.Com
傅昌瑜: 医学百科网 | YxBaike.Com
支气管稍扩张→有张力,GG0边缘清楚,局部有小叶间隔阻挡。 医学百科网 | YxBaike.Com
小鱼:
反思,恶性膨隆,远端空洞,强化坏死不均,里面血管似乎也是增粗,边界不清,似乎有侵犯。坏死还是边界不清。 医学百科网 | YxBaike.Com
医学百科网 | YxBaike.Com
回顾性分析与总结 医学百科网 | YxBaike.Com
1、团片状,实行密度区外观整体圆顿,位于上叶尖后段与下舌段区间。局部膨隆,但未见分叶,肿瘤多见。 医学百科网 | YxBaike.Com
医学百科网 | YxBaike.Com
医学百科网 | YxBaike.Com
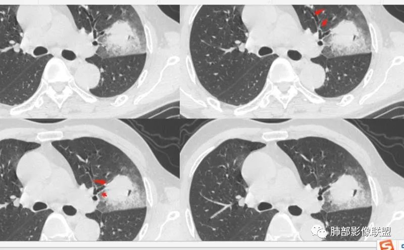
2、偏心空腔病灶,气腔略呈新月形,壁不规则,腔内结节相对密实,明显强化且不均,支持新生物而非曲菌球等。炎性空洞多有强化环。
医学百科网 | YxBaike.Com
医学百科网 | YxBaike.Com
3、病变强化较明显,其内隐约显示多发小斑片状无强化灶,可疑边界不清小灶坏死区。病灶内血管影浅淡、模糊不规则。
医学百科网 | YxBaike.Com
医学百科网 | YxBaike.Com
4、支气管改变:上舌段支气管远段延入部分稍示僵硬。尖后段见分支支气管阻塞,恶性多见。
医学百科网 | YxBaike.Com
医学百科网 | YxBaike.Com
5、周围磨玻璃,3个月后逐渐转为密实,应符合当初附壁生长为主,且逐渐向实体成分转换。
医学百科网 | YxBaike.Com
6、病变长轴平行且受限于胸膜,外围大内带小,符合外朝内发展病变。“腔内结节状明显强化”加之支气管改变有力支持新生物诊断。如此大范围边界不清的磨玻璃影让人浮想联翩。如此大范围病灶,肺门纵隔未见肿大淋巴结也让人意外。
医学百科网 | YxBaike.Com
肺炎型肺癌的基本影像学特点—南边老师总结
1、外周分布(起源外围由外朝内发展蔓延);
2、实变和磨玻璃阴影特点; 医学百科网 | YxBaike.Com
3、病理性支气管充气征;
医学百科网 | YxBaike.Com
4、实变内有密度较低、强化较低区; 医学百科网 | YxBaike.Com
5、“假空洞”/“蜂窝征”; 医学百科网 | YxBaike.Com
6、周围小结节,树芽征少; 医学百科网 | YxBaike.Com
7、血管造影征;
8、间质增厚改变; 医学百科网 | YxBaike.Com
9、瘤体显示;
10、淋巴结肿大; 医学百科网 | YxBaike.Com
11、胸膜改变:糊墙征;
医学百科网 | YxBaike.Com
12、前后对比进展:病灶增大、GGO区实变。
附件列表
词条内容仅供参考,如果您需要解决具体问题,请遵医嘱或咨询医师。
本站词条内容如果涉嫌侵权,请与客服联系,我们将及时进行处理。如需转载,请注明来源于www.yxbaike.com
如果您认为本词条还有待完善,请 编辑
上一篇 卵巢粘液性囊腺癌1例CT影像 下一篇 头颈联合CTA临床应用
