髋关节的X线测量
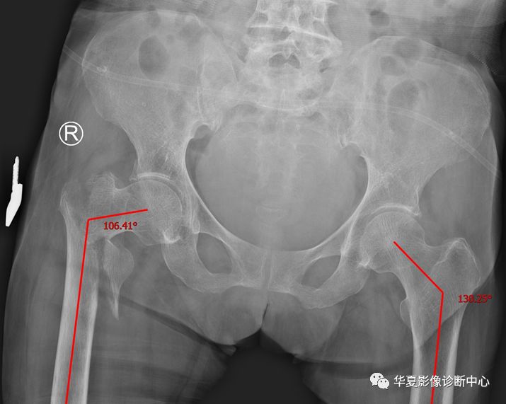
1、股骨颈干角:在髋关节正位片上,股骨干和股骨颈轴线的交角。 医学百科网 | YxBaike.Com
正常值110°~140°,大于140°,髋外翻,小于110°,髋内翻。 医学百科网 | YxBaike.Com
2、股骨颈前倾角:髋关节侧位片上,股骨干和股骨颈轴线交角。 医学百科网 | YxBaike.Com
新生儿正常35°,成人12-15°,平均12.31°,股骨颈骨折,按此标准复位。 医学百科网 | YxBaike.Com
医学百科网 | YxBaike.Com
医学百科网 | YxBaike.Com
3、Shenton线(耻颈线):髋关节正位片上,闭孔上缘与股骨颈内下缘连线。
正常应为平滑曲线,若不连续提示髋关节脱位或者股骨颈错位骨折。 医学百科网 | YxBaike.Com
医学百科网 | YxBaike.Com
医学百科网 | YxBaike.Com
4、Calve线(髂颈线):髋关节正位片上,髂前下棘下方髂骨外缘及股骨颈外缘连线。 医学百科网 | YxBaike.Com
正常为光滑曲线,若不连续提示髋关节脱位或者股骨颈错位骨折。 医学百科网 | YxBaike.Com
医学百科网 | YxBaike.Com
5、Skinner线:成人髋关节正位片上,从股骨大转子顶端做股骨纵轴线的垂线,正常应过圆韧带窝或其下方,圆韧带窝至上述两线交点距离约为4-5cm,若Skinner线超过圆韧带窝,提示股骨颈或大转子错位骨折。
医学百科网 | YxBaike.Com
6、Kline线:股骨颈上缘切线,并沿股骨头方向的延长线。
医学百科网 | YxBaike.Com
正常此线应切割部分股骨头骺部,若骨骺位于该线内方,提示股骨头骨骺向下滑脱。 医学百科网 | YxBaike.Com
医学百科网 | YxBaike.Com
医学百科网 | YxBaike.Com
7、Perkin方格:骨盆正位片,经过双侧髋臼Y形软骨中心画水平线,再通过两侧髋臼外上缘引其垂线,两侧髋关节被分为四个区域,正常时,股骨头骨骺中心位于内下区域,髋关节发育性脱位时,股骨头骨骺位于外上区域。
医学百科网 | YxBaike.Com
医学百科网 | YxBaike.Com
8、髋臼角:骨盆正位片,自髋臼髂部斜面所引的斜形线,与”Y”形软骨连线所形成的夹角。
正常时,新生儿为30°,1岁以后不应超过25°,2岁20°,成人10°,如角度增大表示髋臼变浅,结合其他重要特征(例如髋臼浅、髋臼角增大、申通氏线、帕氏方格等)的相应改变提示髋臼发育不良等疾病。
医学百科网 | YxBaike.Com
9、髂骨角:髂前下棘和髋臼外上缘连线与Y形软骨水平线的夹角。新生儿55°,正常值范围43-67°。
医学百科网 | YxBaike.Com
10、骨骺角:骨盆正位片,通过股骨上端骨骺线的直线,与通过两侧Y形软骨的连线的交角,正常时20~35°,髋内翻时角度增大。 医学百科网 | YxBaike.Com
医学百科网 | YxBaike.Com
11、Sharp角:Y字形软骨闭合后的骨盆正位片上,双侧泪滴下缘连线与泪滴下缘与髋臼上缘的连线的夹角,正常35~38°,大于40°可以诊断为髋臼发育不良。 医学百科网 | YxBaike.Com
12、CE角:即中心边缘角,股骨头中心至髋臼外上缘的连线,与股骨头中心的垂线形成的夹角。
正常时,2岁22°,4岁28°,6岁30°,15岁35°,髋臼发育不良、髋关节脱位、股骨头外移、股骨头形状改变时角度变小。
医学百科网 | YxBaike.Com
13、髋臼深度:骨盆正位片,耻骨联合上缘与髋臼外上缘连线至髋臼底的最大距离,正常时,男13(7-18)mm, 女12(9-18)mm,与CE角配合用于评价髋臼发育情况。
医学百科网 | YxBaike.Com
14、髋臼覆盖率:股骨头受髋臼覆盖部分的横径除以股骨头的横径,正常时应大于0.75。
医学百科网 | YxBaike.Com
医学百科网 | YxBaike.Com
15、Kohler线:即髂坐线,髂骨内缘切线与坐骨体内缘的连线,髋臼陷入症时髋臼突至此线内侧。
医学百科网 | YxBaike.Com
16、Power角:骨盆正位片,过两侧髂前上棘做一水平线,再做股骨颈骨折的延长线而形成的夹角。小于30°为外展型骨折;30°~90°者为内收型骨折,需手术治疗。 医学百科网 | YxBaike.Com
医学百科网 | YxBaike.Com
17、Linton角:髋关节正位片,做股骨干纵轴垂线与股骨颈骨折延长线的夹角。小于30°为外展型骨折,易愈合;30°~90°者为内收型骨折,需手术治疗。 医学百科网 | YxBaike.Com
医学百科网 | YxBaike.Com
18、新生儿髋关节间隙:髋关节正位片,通过两侧Y形软骨连线称H线(Hilg-eneriner线),股骨上端距H线的距离为上方间隙;股骨上端鸟嘴距坐骨支外缘距离为内侧间隙。 医学百科网 | YxBaike.Com
正常上方间隙为9.5mm,内侧为4.3mm;若上方小于8.5mm,内侧大于5.1mm,应怀疑髋关节脱位;若上方小于7.5mm,内侧大于6.1mm,可诊断为髋关节脱位。 医学百科网 | YxBaike.Com
医学百科网 | YxBaike.Com
19、骨骺指数与骨骺商:髋关节正位片,测股骨头骨骺高度与宽度,用高度除以宽度再乘以100即骨骺指数。
医学百科网 | YxBaike.Com
骨骺商指患侧骨骺指数除以健侧骨骺指数。两个指数均表示股骨头骨骺变扁的程度,用于评价pathe病与发育性髋关节脱位的治疗效果。骨骺商主要用于与健侧对比判断病变程度及治疗效果。
附件列表
词条内容仅供参考,如果您需要解决具体问题,请遵医嘱或咨询医师。
本站词条内容如果涉嫌侵权,请与客服联系,我们将及时进行处理。如需转载,请注明来源于www.yxbaike.com
如果您认为本词条还有待完善,请 编辑
上一篇 胫骨平台骨折 Schatzker 分型总结 下一篇 右胫骨骨巨细胞瘤1例MR
