副脾伴梗死1例CT及MR影像
医学百科网 | YxBaike.Com
医学百科网 | YxBaike.Com
医学百科网 | YxBaike.Com
医学百科网 | YxBaike.Com
医学百科网 | YxBaike.Com
医学百科网 | YxBaike.Com
医学百科网 | YxBaike.Com
医学百科网 | YxBaike.Com
医学百科网 | YxBaike.Com
医学百科网 | YxBaike.Com
医学百科网 | YxBaike.Com
微信讨论 医学百科网 | YxBaike.Com
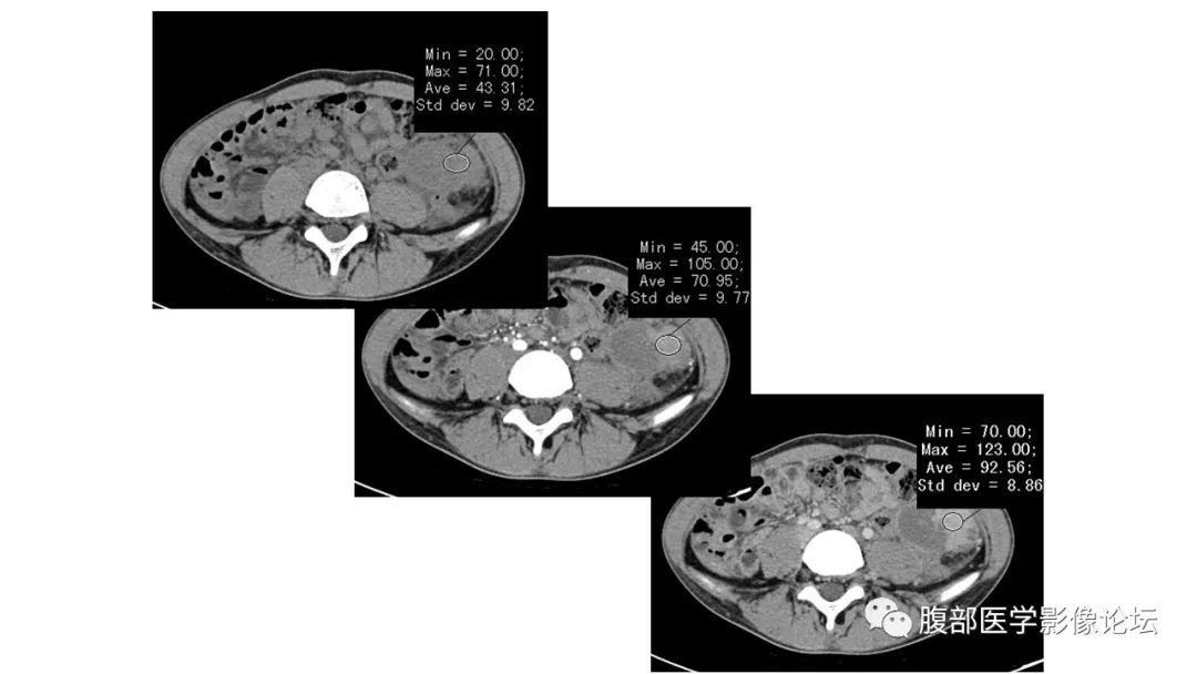
1.张文坦:左侧髂窝肿块,卵圆形,静脉汇入脾静脉,增强部分有强化,无强化区弥散高信号,部分可见暗化,周围渗出比较厉害,比较年轻,急性病程,炎性指标明显高,考虑副脾扭转部分梗死出血。鉴别IMT一般形态比较不规则,囊变坏死区范围小。 医学百科网 | YxBaike.Com
2.腹腔囊实性病灶,有脾静脉迂曲扩张,实性成份明显延迟强化,支持副脾。急腹症,提示扭转可能。囊液DWI高信号,表皮样囊肿? 医学百科网 | YxBaike.Com
综合考虑副脾伴表皮样囊肿扭转。
医学百科网 | YxBaike.Com
附件列表
词条内容仅供参考,如果您需要解决具体问题,请遵医嘱或咨询医师。
本站词条内容如果涉嫌侵权,请与客服联系,我们将及时进行处理。如需转载,请注明来源于www.yxbaike.com
如果您认为本词条还有待完善,请 编辑
