易误诊为梗死的胼胝体变性1例MR影像
病例信息
医学百科网 | YxBaike.Com
主诉:男,61 岁,因“右下肢活动不灵 12 天”急诊于 2016 年 12 月 30 日入院。
医学百科网 | YxBaike.Com
现病史:12 天前无明显诱因出现右下肢活动不灵,但尚可行走,伴右下肢发麻不适,遂至当地医院行头 CT 检查提示脑梗死,给予改善循环等治疗(具体不详)后,患者症状未见缓解,并出现尿失禁,遂至 XX 医院就诊,行头 MRI 检查提示左侧基底节区、胼胝体急性梗死灶,住院行改善循环、营养神经等(尤瑞克林、依达拉奉、血塞通、长春西汀)治疗后,患者肢体活动不灵稍缓解,现为求进一步诊治来我院,急诊以「脑梗死」收入我疗区。病程中有大便失禁,家属诉患者有视物模糊,伴行为异常,双手不自主活动,不愿意说话,反应慢;无头痛、头晕,无恶心、呕吐,无发热,无肢体抽搐或意识障碍,无饮水呛咳、吞咽困难等。起病以来,患者精神、睡眠稍差,食欲一般,尿便失禁,体力下降,体重无明显改变。 医学百科网 | YxBaike.Com
既往史:高血压病史 2 年,最高达 160/120mmHg,未正规降压治疗,未监测血压水平;有“轻度肝硬化”病史;20 年前曾因“胃良性肿瘤”行胃 2/3 切除术;否认冠心病、糖尿病病史;否认肝炎、结核病史;否认外伤史;否认食物、药物过敏史;吸烟 40 年,20 支/日;饮酒 40 年,1.5 斤/日;否认相关疾病家族史。 医学百科网 | YxBaike.Com
影像资料:
医学百科网 | YxBaike.Com
医学百科网 | YxBaike.Com
医学百科网 | YxBaike.Com
医学百科网 | YxBaike.Com
医学百科网 | YxBaike.Com 临床诊断:原发性胼胝体变性 医学百科网 | YxBaike.Com
原发性胼胝体变性 医学百科网 | YxBaike.Com
概述:原发性胼胝体变性,又称为 Marchiafave-Bignami 氏综合征,致病原因尚不明确,常见于大量饮酒的中老年患者,其他的原因包括营养不良,副肿瘤综合征及手术。原发性胼胝体变性病因病理病机可能由血脑屏障以及神经细胞膜改变等继发的通透性改变引起。有人认为可能与长期大量酗酒、酒精性营养不良,长期处于低血 Na 状态有关。临床表现主要表现为进行性痴呆和昏睡。 医学百科网 | YxBaike.Com
MR表现: 医学百科网 | YxBaike.Com
•急性期表现为胼胝体弥漫性肿胀,T1WI呈稍低信号,T2WI及FLAIR呈稍高信号,以矢状位观察最佳,可单独累及胼胝体压部或整个胼胝体,DWI呈高信号,ADC图呈低信号,部分患者可观察到脑室周围白质或内囊受累,少见皮层受累,表现为扩散受限,不强化和强化病例均可见到。如果增强扫描可见胼胝体有不同程度强化,呈小灶状或不规则斑片状,系血脑屏障破坏所致(如本例),本例患者处于急性期。 医学百科网 | YxBaike.Com
医学百科网 | YxBaike.Com
原发性胼胝体变性急性期:T2WI矢状位(A)清晰观察到弥漫胼胝体病变,FLAIR呈高信号(B),DWI呈高信号(C),ADC图呈低信号。
医学百科网 | YxBaike.Com
医学百科网 | YxBaike.Com
医学百科网 | YxBaike.Com
31岁,男性,长期饮酒,出现急性失语、短期注意力和记忆力缺陷,胼胝体及半卵圆中心对称性异常信号,扩散受限,未见强化,经过维生素B1/6/9/12治疗后病灶吸收明显,诊断为原发性胼胝体变性急性期。
医学百科网 | YxBaike.Com
医学百科网 | YxBaike.Com
48岁,男性,长期饮酒过量20年,出现出现眩晕,胼胝体、侧脑室周围白质、内囊后肢对称性异常信号,扩散受限,诊断为原发性胼胝体变性急性期。
医学百科网 | YxBaike.Com
医学百科网 | YxBaike.Com
胼胝体压部病变及多发皮层对称性病变,表现为扩散受限
医学百科网 | YxBaike.Com
•随着病变进展至亚急性期和慢性期,胼胝体内可出现坏死、囊变,以膝部及压部表现为著。在膝部和体部常表现为中心夹层状异常信号,类似“三明治”状,其境界清楚,据认为这是本病的特点之一。病理检查证实,病变主要对称性侵及胼胝体的中心层,而背、腹层面的组织结构相对完好。主要的组织学所见为脱髓鞘,少突胶质细胞明显减少,而含脂巨细胞大量增多。部分病例在T2加权像上,偶见胼胝体变性、坏死区内出现极低信号,镜下病理显示含脂巨细胞内可见散在或成堆的含铁血黄素分布,可能为T2异常低信号的病理基础。 医学百科网 | YxBaike.Com
医学百科网 | YxBaike.Com
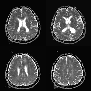
上排:原发性胼胝体变性急性期
医学百科网 | YxBaike.Com
下排:原发性胼胝体变性慢性期,表现为胼胝体萎缩、软化
医学百科网 | YxBaike.Com
急性期原发性胼胝体变性(胼胝体压部及体部病变,CT呈低密度,T1WI呈稍低信号,FLAIR呈稍高信号,扩散受限)向慢性期转变,慢性期胼胝体压部病灶出现坏死或囊变,FLAIR呈低信号
医学百科网 | YxBaike.Com
附件列表
词条内容仅供参考,如果您需要解决具体问题,请遵医嘱或咨询医师。
本站词条内容如果涉嫌侵权,请与客服联系,我们将及时进行处理。如需转载,请注明来源于www.yxbaike.com
如果您认为本词条还有待完善,请 编辑
上一篇 贲门小弯侧深在性囊性胃炎CT影像诊断一例 下一篇 多形性黄色星形细胞瘤1例MR影像
