肠道非肿瘤性病变影像学诊断
肠道非肿瘤性病变
感染性病变 医学百科网 | YxBaike.Com
肠结核 医学百科网 | YxBaike.Com
医学百科网 | YxBaike.Com
细菌性/病毒性肠炎
非感染性病变
缺血性肠炎 医学百科网 | YxBaike.Com
医学百科网 | YxBaike.Com
医学百科网 | YxBaike.Com
医学百科网 | YxBaike.Com
医学百科网 | YxBaike.Com
系统性血管炎累及消化道
医学百科网 | YxBaike.Com
嗜酸性粒细胞肠炎 医学百科网 | YxBaike.Com
医学百科网 | YxBaike.Com
阑尾炎及憩室炎 医学百科网 | YxBaike.Com
其它
医学百科网 | YxBaike.Com
药物性血管源性水肿 医学百科网 | YxBaike.Com
放化疗相关性肠炎 医学百科网 | YxBaike.Com
医学百科网 | YxBaike.Com
转流性肠炎 医学百科网 | YxBaike.Com
医学百科网 | YxBaike.Com
医学百科网 | YxBaike.Com
血管性病变累及肠道
自身免疫相关
医学百科网 | YxBaike.Com
GVHD(移植物抗宿主反应) 医学百科网 | YxBaike.Com
No.1 医学百科网 | YxBaike.Com
肠道非感染性炎症-IBD
炎症性肠病
克罗恩病(CD)——好发年龄:20~44 岁;病变呈多发节段性分布(≧4);并发症多见:内瘘,腹腔脓肿,肠梗阻,穿孔,消化道出血;亚洲人合并肛周病变概率高。 医学百科网 | YxBaike.Com
溃疡性结肠炎(UC)——病变连续分布,自远及近发展;粘膜面粗糙,颗粒样改变;沿结肠系膜可见成串肿大淋巴结;后期结肠袋消失、形态僵硬
未分类炎症性肠病
1.CT 的诊断价值 医学百科网 | YxBaike.Com
克罗恩病:跳跃灶,粘膜面强化明显,肠壁增厚,出现分层样改变,提示炎症活动 医学百科网 | YxBaike.Com
卵石样改变 医学百科网 | YxBaike.Com
医学百科网 | YxBaike.Com
肠壁增厚,系膜缘模糊,同时可见卵石样改变
医学百科网 | YxBaike.Com
医学百科网 | YxBaike.Com
口疮样溃疡
医学百科网 | YxBaike.Com
克罗恩病:靶征强化;「木梳征」;肠系膜静脉远端小分支曲张 医学百科网 | YxBaike.Com
医学百科网 | YxBaike.Com
克罗恩病:「假憩室」样改变 医学百科网 | YxBaike.Com
医学百科网 | YxBaike.Com
克罗恩病:窦道及脓肿 医学百科网 | YxBaike.Com
医学百科网 | YxBaike.Com
2. MRI 诊断价值
医学百科网 | YxBaike.Com
肠壁显著增厚、靶样强化、肠腔内弥漫息肉样增生,DWI 中见肠壁全层信号增高,提示病灶活动。 医学百科网 | YxBaike.Com
MRI 更易判断瘘道
医学百科网 | YxBaike.Com
医学百科网 | YxBaike.Com
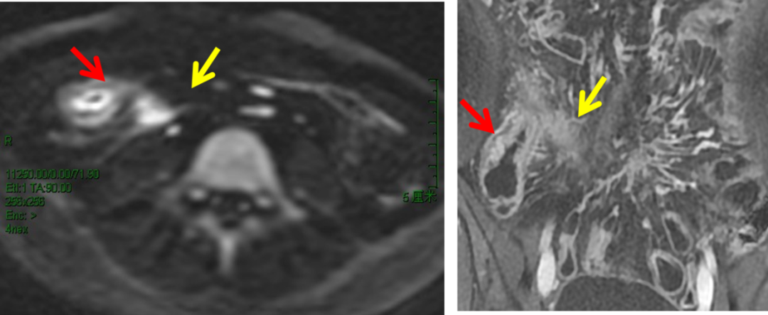
DWI 扫描显示病变肠段粘膜面信号明显增高(红箭头),提示病变处于活动期受累肠段旁脓肿信号明显增高(黄箭头),使病变显示更清晰
医学百科网 | YxBaike.Com
溃疡性结肠炎 医学百科网 | YxBaike.Com
溃结:粘膜强化,表面毛糙;肠壁厚度相对均匀 医学百科网 | YxBaike.Com
溃疡性结肠炎: 结肠弥漫性病变,粘膜面粗糙呈颗粒状,肠壁增厚
医学百科网 | YxBaike.Com
医学百科网 | YxBaike.Com
有溃疡,粘膜下积钡
医学百科网 | YxBaike.Com
医学百科网 | YxBaike.Com
No.2 医学百科网 | YxBaike.Com
免疫性、反应性肠道病变 医学百科网 | YxBaike.Com
常见的风湿病 医学百科网 | YxBaike.Com
肠白塞氏病 医学百科网 | YxBaike.Com
医学百科网 | YxBaike.Com
病因不明的细小血管炎,慢性复发性多系统疾病
医学百科网 | YxBaike.Com
消化道:累及回盲部的深溃疡/穿透性溃疡,常并发严重出血或穿孔
其他系统性血管炎累及肠道
医学百科网 | YxBaike.Com
年轻人好发 医学百科网 | YxBaike.Com
受累肠段范围广(多同时累及空回肠或小肠 结肠),无分布特异性,与系膜血管引流区域无关 医学百科网 | YxBaike.Com
十二指肠受累常提示血管炎(可能性大于缺血性肠炎)
医学百科网 | YxBaike.Com
消化道及泌尿系统同时累及常见于 SLE 及特发性紫癜 医学百科网 | YxBaike.Com
肠白塞氏病: 肠道巨大溃疡 医学百科网 | YxBaike.Com
患者,男,24 岁,腹痛便血。
医学百科网 | YxBaike.Com
回盲部肠壁明显增厚,部分呈软组织肿块样改变;部分层面可见深几乎达浆膜面溃疡,伴周围炎症性反应
医学百科网 | YxBaike.Com
女,23 岁,内镜及病理确诊肠白塞 医学百科网 | YxBaike.Com
回盲部肿块样病变,局部显示穿透性的深溃疡及邻近系膜的渗出改变。 医学百科网 | YxBaike.Com
医学百科网 | YxBaike.Com
系统性红斑狼疮(SLE)
医学百科网 | YxBaike.Com
小肠弥漫性水肿增厚,呈典型「靶征」样强化;系膜「木梳征」
医学百科网 | YxBaike.Com
系统性硬化:肠壁纤维化至蠕动减慢、肠腔扩张;肠粘膜皱襞反常性密集 医学百科网 | YxBaike.Com
医学百科网 | YxBaike.Com
患者,女,35 岁。腹痛腹泻。诊断:系统性血管炎累及消化道。
No.3 医学百科网 | YxBaike.Com
其他免疫性、反应性肠病 医学百科网 | YxBaike.Com
乳糜泻 医学百科网 | YxBaike.Com
IgG 4 相关肠病
医学百科网 | YxBaike.Com
移植物抗宿主反应 医学百科网 | YxBaike.Com
嗜酸粒细胞胃肠炎 医学百科网 | YxBaike.Com
药物性血管源性水肿 医学百科网 | YxBaike.Com
过敏相关 医学百科网 | YxBaike.Com
ACEI 类药物(抑制肾素-血管紧张素系统)——累及空肠为主 医学百科网 | YxBaike.Com
放化疗相关性肠炎 医学百科网 | YxBaike.Com
放疗相关肠炎——与照射域一致;急性放疗反应(第 4 周);慢性放疗反应(第 18 个月,最迟可见于 30 年)
化疗相关肠炎——病变范围更为弥漫 医学百科网 | YxBaike.Com
其他
医学百科网 | YxBaike.Com
乳糜泻:患者长期、顽固性腹泻,营养状态差;Gliadin IgA 与 DGP IgA 明显升高
医学百科网 | YxBaike.Com
空回肠及结肠腔内积液明显增多,回肠粘膜皱襞明显增多
医学百科网 | YxBaike.Com
移植物抗宿主反应(GVHD):溃疡性结肠炎合并 PSC,肝移植术后
医学百科网 | YxBaike.Com
MRE 提示盆腔段小肠肠壁明显水肿增厚,临床拟诊 GVHD 医学百科网 | YxBaike.Com
医学百科网 | YxBaike.Com
嗜酸性粒细胞胃肠炎(浆膜型) 医学百科网 | YxBaike.Com
广泛累及食管、胃及小肠;消化道粘膜水肿明显,浆膜面可见明显强化,腹盆腔积液
医学百科网 | YxBaike.Com
化疗反应:患者,男,32 岁,急性白血病。
化疗中可见左上腹局段空肠肠壁明显水肿增厚;一个月后复查 CTE,结果(-)
No.4
医学百科网 | YxBaike.Com
局限肠管病变所致炎症
医学百科网 | YxBaike.Com
C-MUSE:隐源性多灶性溃疡性狭窄性小肠炎 医学百科网 | YxBaike.Com
局部肉芽、纤维化
憩室炎
医学百科网 | YxBaike.Com
肠脂垂炎 医学百科网 | YxBaike.Com
大网膜梗死和炎症
医学百科网 | YxBaike.Com
瘘道
转流性直肠炎
医学百科网 | YxBaike.Com
贮袋炎 医学百科网 | YxBaike.Com
C-MUSE:回盲肠多发性溃疡形成
医学百科网 | YxBaike.Com
医学百科网 | YxBaike.Com
C-MUSE(隐源性多灶性溃疡性狭窄性小肠炎)
•狭窄段范围较短(小于 3 cm)
医学百科网 | YxBaike.Com
•病灶形态较为均一 医学百科网 | YxBaike.Com
•病变局限于肠壁,周围系膜结构清晰
医学百科网 | YxBaike.Com
憩室炎:患者,男,62 岁,主诉「腹痛」。
右上腹系膜淋巴管瘤。
医学百科网 | YxBaike.Com
盆腔内见一巨大囊袋样膨出影,内含食物残渣,囊壁增厚强化伴周围渗出,手术证实为回肠憩室伴炎症。 医学百科网 | YxBaike.Com
医学百科网 | YxBaike.Com
急性右半结肠憩室炎 医学百科网 | YxBaike.Com
不对称脂肪条纹征,逗号征。肠壁增厚轻,可见脂肪沉积。
医学百科网 | YxBaike.Com
医学百科网 | YxBaike.Com
肠脂垂炎 :降结肠旁卵圆形「同心圆」。肠壁轻度增厚,邻近腹膜增厚。 医学百科网 | YxBaike.Com
医学百科网 | YxBaike.Com
贮袋炎
重度难治性 UC,全结直肠术后,J-pouch 成型术,贮袋炎,系膜淋巴结增大
小结 医学百科网 | YxBaike.Com
肠道非肿瘤性病变类型远比我们想象的要多
有些类型有诸多的相似性,需要结合临床、实验室检查、内镜
医学百科网 | YxBaike.Com
甄别病变类型非常重要:完全不同的治疗方法、预后
医学百科网 | YxBaike.Com
附件列表
词条内容仅供参考,如果您需要解决具体问题,请遵医嘱或咨询医师。
本站词条内容如果涉嫌侵权,请与客服联系,我们将及时进行处理。如需转载,请注明来源于www.yxbaike.com
如果您认为本词条还有待完善,请 编辑
上一篇 胸壁软骨肉瘤1例 下一篇 3 大类儿童松果体区肿瘤,您会诊断吗?
