甲状腺结节良恶性的影像鉴别
No.1 甲状腺概述
1. 大体位置、结构 医学百科网 | YxBaike.Com
医学百科网 | YxBaike.Com
2. 主要功能
医学百科网 | YxBaike.Com
内分泌器官:人体最大内分泌腺体;合成、贮存、分泌甲状腺激素
医学百科网 | YxBaike.Com
对能量代谢、物质代谢至关重要:增高人体代谢;促进蛋白质、脂肪等的分解 医学百科网 | YxBaike.Com
No.2 辅助检查方法 医学百科网 | YxBaike.Com
1、高分辨率超声(US) 医学百科网 | YxBaike.Com
甲状腺结节的首选辅助检查 医学百科网 | YxBaike.Com
对甲状腺癌深部组织浸润、组淋巴结转移灵敏度、检出率低
医学百科网 | YxBaike.Com
2. CT 检查 医学百科网 | YxBaike.Com
高分辨率,组织关系明确
医学百科网 | YxBaike.Com
具有电离辐射及含碘对比剂问题
医学百科网 | YxBaike.Com
用于甲状腺检查受限
医学百科网 | YxBaike.Com
3、核素显像
医学百科网 | YxBaike.Com
分辨率低,易漏诊直径较小的甲状腺结节
在结节良恶性鉴别方面价值有限
4、细针抽吸活检(FNAB) 医学百科网 | YxBaike.Com
甲状腺疾病检查的主要手段 医学百科网 | YxBaike.Com
术前诊断敏感性 83%,特异性 72% 医学百科网 | YxBaike.Com
有创性检查,有一定的假阴性,且对滤泡型肿瘤鉴别困难
医学百科网 | YxBaike.Com
(1)CT 检查 医学百科网 | YxBaike.Com
•扫描参数 医学百科网 | YxBaike.Com
•平扫 增强:动脉期 静脉期
医学百科网 | YxBaike.Com
•单期增强(减少辐射量)
医学百科网 | YxBaike.Com
•扫描范围及层厚;颈部-上纵隔,层厚<5 mm,1 mm 重建 •优势: •钙化大小、形态、数目显示较清楚 •病变与周围组织的关系 •累及胸骨后甲状腺肿瘤 •不足:辐射剂量、敏感性。 CASE 1 环状钙化的 CT 表现
医学百科网 | YxBaike.Com
左侧甲状腺结甲环状钙化 医学百科网 | YxBaike.Com
A 超声横切见弧形钙化,钙化后方声衰显著,相应结构显示不清;
医学百科网 | YxBaike.Com
B CT平扫见环形钙化,壁厚薄较均匀;
医学百科网 | YxBaike.Com
C 增强后环内无强化,相对平扫,甲状腺与环内密度差扩大。
CASE 2 医学百科网 | YxBaike.Com
粗钙化的 CT 表现 医学百科网 | YxBaike.Com
医学百科网 | YxBaike.Com
右侧甲状腺乳头状癌:无伪影
医学百科网 | YxBaike.Com
右侧结节性甲状腺肿:伪影明显
(2)MR 检查
医学百科网 | YxBaike.Com
a.MR 扫描序列 医学百科网 | YxBaike.Com
医学百科网 | YxBaike.Com
b.MR 优势及进展
•多参数、多序列、多平面成像
•软组织分辨率高,为病变提供更多信息;为甲状腺癌的分期与预后提供参考信息
医学百科网 | YxBaike.Com
•对比剂为钆剂,对甲状腺功能影响小
医学百科网 | YxBaike.Com
•功能成像有助于定性诊断
•ADC 值可为良、恶性病变的鉴别诊断提供重要依据 医学百科网 | YxBaike.Com
•DCE 有助于肿瘤诊断
医学百科网 | YxBaike.Com
•MRS、SWI 等在甲状腺病变方面价值还不明确 医学百科网 | YxBaike.Com
医学百科网 | YxBaike.Com
c.DCE 扫描序列 医学百科网 | YxBaike.Com
医学百科网 | YxBaike.Com
No.3 甲状腺结节的影像表现 医学百科网 | YxBaike.Com
1. 病变分类
医学百科网 | YxBaike.Com
医学百科网 | YxBaike.Com
2、常见甲状腺结节
医学百科网 | YxBaike.Com
(一)结节性甲状腺肿 医学百科网 | YxBaike.Com
•亦称为结节状增生
医学百科网 | YxBaike.Com
•主要病因为缺碘
医学百科网 | YxBaike.Com
•因增生和胶质储存伴甲状腺激素不正常分泌产生 医学百科网 | YxBaike.Com
•导致垂体 TSH 分泌增多 医学百科网 | YxBaike.Com
•分为地方性和散发性 医学百科网 | YxBaike.Com
•甲状腺功能及基础代谢率大多正常
医学百科网 | YxBaike.Com
CASE 3
结节性甲状腺肿,增强后边界变清晰 医学百科网 | YxBaike.Com
医学百科网 | YxBaike.Com
CASE 4
结节性甲状腺肿,弥漫性肿大伴粗颗粒钙化
1. 结节性甲状腺肿的发展三个阶段
医学百科网 | YxBaike.Com
2. 病理过程 医学百科网 | YxBaike.Com
•长期处于缺碘,甲状腺滤泡增生,甲状腺肿大 医学百科网 | YxBaike.Com
•滤泡上皮增生复旧不一致,部分区域出现退变,滤泡内充满胶质(静止期又称胶质贮积期) 医学百科网 | YxBaike.Com
•长期增生和退行性病变反复交替,腺体内出不同发展阶段的结节
3. 结节性甲状腺肿 CT 表现 医学百科网 | YxBaike.Com
•单发或多发,多发结节常见
•平扫轮廓呈波浪状或结节状;密度降低且不均匀;常继发出血、钙化、囊性变
医学百科网 | YxBaike.Com
•斑片状、弧形、环形钙化多见;腺体边缘线连续,无破坏及中断 医学百科网 | YxBaike.Com
•增强后强化方式多样;病变边界显示较平扫清楚;与腺外结构之脂肪间隙存在
医学百科网 | YxBaike.Com
CASE 5 医学百科网 | YxBaike.Com
双侧甲状腺多发低密度结节,边缘模糊;增强后双侧多发结节较平扫清晰 医学百科网 | YxBaike.Com
CASE 6
医学百科网 | YxBaike.Com
甲状腺左叶低密度病灶,周边见条片状钙化;病灶均匀轻度强化,强化程度低于正常甲状腺
医学百科网 | YxBaike.Com
4. 结节性甲状腺肿 MRI 表现 医学百科网 | YxBaike.Com
•单发或多发(多发常见)
•TIWI 信号多样;高信号多提示结节性甲状腺肿;T2WI 高信号和混杂高信号
•DWI、ADC 为等或高信号;ADC 值>1.5 ×10-3 mm2/s(b = 800) 医学百科网 | YxBaike.Com
•增强后强化方式多样化;但结节强化后边缘规则,边界清晰 医学百科网 | YxBaike.Com
CASE 7 医学百科网 | YxBaike.Com
女性,24 岁,甲状腺右叶结节性甲状腺肿囊变出血、部分腺瘤样增生。 医学百科网 | YxBaike.Com
医学百科网 | YxBaike.Com
CASE 8
患者女性,62 岁,MRI 平扫甲状腺体积增大,信号异常,T1WI 稍高信号,T2WI 高信号,信号欠均(图 A-C), 增强扫描病灶明显强化(横断面及冠状面,图 D、E),动态增强呈流出型(3 型,图 F、G)。病理:双侧结节性甲状腺肿。 医学百科网 | YxBaike.Com
医学百科网 | YxBaike.Com
(二)甲状腺滤泡性腺瘤 医学百科网 | YxBaike.Com
1.CT 表现
•单发多见,边界清晰;可为囊性、实性或囊实性 医学百科网 | YxBaike.Com
•平扫类圆形低密度影
•增强后明显强化,有完整强化环;早期明显强化,可高于正常甲状腺 医学百科网 | YxBaike.Com
•具有乳头状结构有较大恶性倾向;囊变区不强化,实性部分岛状强化
医学百科网 | YxBaike.Com
CASE 9 医学百科网 | YxBaike.Com
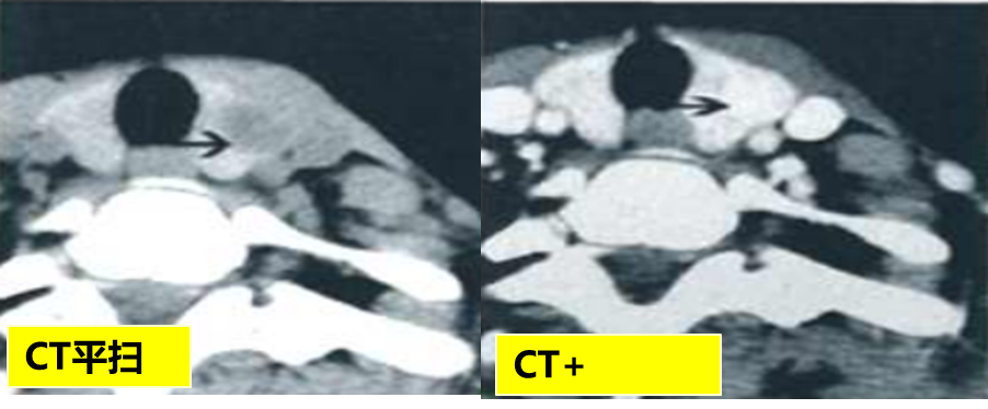
甲状腺左侧叶类圆形低密度影,边界清楚;增强后明显强化,强化程度高于甲状腺组织。 医学百科网 | YxBaike.Com
CASE 10
医学百科网 | YxBaike.Com
男,40 岁,体检发现右颈部肿块,病理:甲状腺右叶腺瘤 医学百科网 | YxBaike.Com
医学百科网 | YxBaike.Com
CT 平扫示类圆形低密度结节,密度均匀,边界清楚;增强显示瘤组织周围完整强化环,中心囊性部分不强化 医学百科网 | YxBaike.Com
2. 甲状腺滤泡性腺瘤 MRI 表现 医学百科网 | YxBaike.Com
•单发多见,边界清晰
医学百科网 | YxBaike.Com
•T1WI 等或低信号,信号均匀;T2WI 高信号,信号均匀 医学百科网 | YxBaike.Com
•ADC 值>1.5 ×10-3 mm2/s 医学百科网 | YxBaike.Com
•增强后早期明显强化,富血供,有包膜
医学百科网 | YxBaike.Com
CASE 11
医学百科网 | YxBaike.Com
男,25 岁,甲状腺左叶腺瘤
医学百科网 | YxBaike.Com
医学百科网 | YxBaike.Com
CASE 12
医学百科网 | YxBaike.Com
女性,54 岁,甲状腺左叶腺瘤囊变出血
医学百科网 | YxBaike.Com
(三)甲状腺癌
医学百科网 | YxBaike.Com
乳头状癌 医学百科网 | YxBaike.Com
1. CT 表现 医学百科网 | YxBaike.Com
•形态多不规则,包膜多不连续
•轮廓显示略模糊;细小砂粒状钙化
•强化形式多样
不均匀强化 医学百科网 | YxBaike.Com
乳头状结节中度强化 医学百科网 | YxBaike.Com
边界较平扫模糊 医学百科网 | YxBaike.Com
•预后好,可有淋巴结转移;远处转移较少 医学百科网 | YxBaike.Com
CASE 13 医学百科网 | YxBaike.Com
CASE 14
医学百科网 | YxBaike.Com
CASE 15 医学百科网 | YxBaike.Com
医学百科网 | YxBaike.Com
CASE 16
医学百科网 | YxBaike.Com
2. 乳头状癌 MRI 表现
•T1WI 等或低信号;T2WI 高信号;DWI 高信号,ADC 值较低;ADC<1.5 ×10-3 mm2/s
医学百科网 | YxBaike.Com
•强化形式多样:增强早期中等强化为主;花纹延迟期边缘不规则强化环;病灶中央造影剂流出多见
•淋巴结转移,周围邻近器官侵犯
CASE 17
医学百科网 | YxBaike.Com
36 岁,甲状腺右叶乳头状癌
医学百科网 | YxBaike.Com
CASE 18 医学百科网 | YxBaike.Com
女性,33 岁,甲状腺左叶乳头状癌 医学百科网 | YxBaike.Com
医学百科网 | YxBaike.Com
CASE 19
医学百科网 | YxBaike.Com
患者女性,32 岁,MRI 平扫右侧甲状腺及峡部信号异常,T2WI 可见囊性信号影(冠状面,图 C),增强扫描病灶呈不规则、不均匀强化(横断面,图 A、B)。动态曲线表现为平台型(2 型,G-F)。病理:右叶甲状腺及峡部乳头状癌。
医学百科网 | YxBaike.Com
医学百科网 | YxBaike.Com
滤泡性癌
1. 滤泡状癌 CT 表现
医学百科网 | YxBaike.Com
•形态欠规则,多单发 医学百科网 | YxBaike.Com
•平扫等或低密度, 边界清或不清;包膜有侵犯,可伴钙化
•增强后大多明显强化 医学百科网 | YxBaike.Com
•易发生血行转移,淋巴结转移较晚 医学百科网 | YxBaike.Com
CASE 20
医学百科网 | YxBaike.Com
2. 滤泡性癌 MRI 表现
医学百科网 | YxBaike.Com
•T1WI 低信号、等信号,边界清晰;T2WI 高信号,DWI 上高信号,ADC 值降低 医学百科网 | YxBaike.Com
•ADC<1.5×10-3 mm2/s 医学百科网 | YxBaike.Com
•增强后强化明显,快速流出,均匀强化 医学百科网 | YxBaike.Com
CASE 21
医学百科网 | YxBaike.Com
医学百科网 | YxBaike.Com
CASE 22 医学百科网 | YxBaike.Com
医学百科网 | YxBaike.Com
CASE 23 医学百科网 | YxBaike.Com
患者女性,35 岁,MRI 平扫右侧甲状腺占位,病灶光整,T1WI 等低信号,T2WI 高信号影为主(横断面及冠状面,图 A-C),增强扫描病灶明显强化(横断面及冠状面,图 D、E)。动态曲线呈平台型(图 F、G)。病理:右叶甲状腺滤泡样癌。 医学百科网 | YxBaike.Com
医学百科网 | YxBaike.Com
髓样癌
1. 髓样癌 CT 表现
医学百科网 | YxBaike.Com
•起源于甲状腺滤泡旁细胞即 C 细胞;血供较丰富,不易坏死
•平扫密度不均匀 ;与周围组织分界不清,淋巴结肿大 医学百科网 | YxBaike.Com
•增强后中等程度强化;边界较平扫模糊
•淋巴结强化程度与癌肿相仿 医学百科网 | YxBaike.Com
CASE 24
甲状腺右叶髓样癌伴两侧肾上腺嗜铬细胞瘤,降钙素、CEA 升高
医学百科网 | YxBaike.Com
医学百科网 | YxBaike.Com
CASE 25 医学百科网 | YxBaike.Com
甲状腺左侧叶髓样癌,平扫边界清晰,增强后边界模糊
医学百科网 | YxBaike.Com
2. 髓样癌 MRI 表现 医学百科网 | YxBaike.Com
•起源于甲状腺滤泡旁细胞即 C 细胞;血供较丰富,不易坏死
•T1WI 等低信号、T2WI 略高信号;DWI 高信号;ADC 低信号 ADC<1.5×10-3 mm2/s
•增强后中等、均匀强化 医学百科网 | YxBaike.Com
•降钙素升高(90% 以上)
医学百科网 | YxBaike.Com
CASE 26 医学百科网 | YxBaike.Com
医学百科网 | YxBaike.Com
No.4 总结
良恶性甲状腺肿瘤鉴别 医学百科网 | YxBaike.Com
医学百科网 | YxBaike.Com
附件列表
词条内容仅供参考,如果您需要解决具体问题,请遵医嘱或咨询医师。
本站词条内容如果涉嫌侵权,请与客服联系,我们将及时进行处理。如需转载,请注明来源于www.yxbaike.com
如果您认为本词条还有待完善,请 编辑
上一篇 椎体压缩骨折MRI鉴别诊断 下一篇 北京一男子殴打女医生致住院!警方:行政拘留
