类风湿性关节炎继发心包积液1例X线CT
【病史】胸痛并气短。 医学百科网 | YxBaike.Com
下图为胸部正侧位片,后2图为1月前图片。
医学百科网 | YxBaike.Com
医学百科网 | YxBaike.Com
问题1.与1月前胸片相比,最明显的异常为? 医学百科网 | YxBaike.Com
A.心脏大小有变化
B.主动脉轮廓有变化 医学百科网 | YxBaike.Com
C.新见胸腔积液 医学百科网 | YxBaike.Com
D.新见肺不张
E.新见骨骼异常 医学百科网 | YxBaike.Com
2.心脏增大的原因最可能为? 医学百科网 | YxBaike.Com
A.缺血性心脏疾病
医学百科网 | YxBaike.Com
B.心室壁瘤 医学百科网 | YxBaike.Com
C.病毒性心肌病
医学百科网 | YxBaike.Com
D.心包积液
E.急性肾功能衰竭
医学百科网 | YxBaike.Com
医学百科网 | YxBaike.Com
【答案】1.A 2.D
医学百科网 | YxBaike.Com
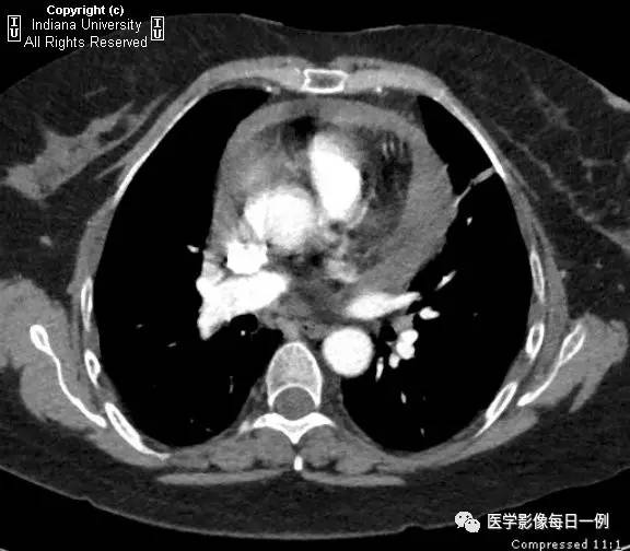
【影像学表现】胸片示心脏较前明显增大,无局部浸润。CT示心脏周围液体,厚度超过2cm,与水呈等密度。无胸腔积液。 医学百科网 | YxBaike.Com
【鉴别诊断】
- 心肌扩张 医学百科网 | YxBaike.Com
心包积液
心包增厚或肿块
纵隔肿块
【诊断】类风湿性关节炎继发心包积液 医学百科网 | YxBaike.Com
Pericardial effusionsecondary to rheumatoid arthritis 医学百科网 | YxBaike.Com
【要点】-心包积液 医学百科网 | YxBaike.Com
- 最好的诊断线索是在连续的X片上心脏大小的改变。
- 通常心包液体为15-50毫升。
- 诊断金标准为心包穿刺术。
- 超声心动图是最好的成像工具,CT对病变特征显示最佳。
- 最常见的病因是感染、肿瘤、自身免疫或特发性。
- 最常见的症状为胸痛、心悸、晕厥、呼吸困难、头晕,但患者通常无症状,即使有长时间形成的大量心包积液。
- Beck\’s三联征:低血压、心音模糊和颈静脉扩张。
- 治疗通常取决于病因。此病例为类风湿性关节炎患者,用糖皮质激素治疗。
- 手术治疗,如对心包填塞或症状严重者行心包开窗探查术或正中胸骨切开术。
附件列表
词条内容仅供参考,如果您需要解决具体问题,请遵医嘱或咨询医师。
本站词条内容如果涉嫌侵权,请与客服联系,我们将及时进行处理。如需转载,请注明来源于www.yxbaike.com
如果您认为本词条还有待完善,请 编辑
上一篇 子宫内膜癌双肺转移1例CT 下一篇 白血病肺部纵隔浸润1例CT影像表现
