当肺真菌病与肺癌相遇
第一例 医学百科网 | YxBaike.Com
男,74岁,咳嗽4月余,间断发热20余天。 医学百科网 | YxBaike.Com
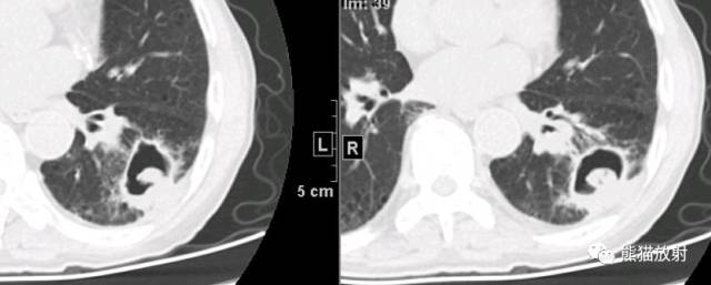
胸部CT-肺窗
医学百科网 | YxBaike.Com
俯卧位(下图):洞内球状内容物随体位的变化移位
医学百科网 | YxBaike.Com
纵隔窗(平扫 增强)
医学百科网 | YxBaike.Com
医学百科网 | YxBaike.Com
CT考虑左下肺霉菌感染; 医学百科网 | YxBaike.Com
临床用伏立康唑治疗后患者症状明显好转。 医学百科网 | YxBaike.Com
两周后复查:洞腔较前略增大 医学百科网 | YxBaike.Com
医学百科网 | YxBaike.Com
四个半月后,复查: 医学百科网 | YxBaike.Com
医学百科网 | YxBaike.Com
医学百科网 | YxBaike.Com
医学百科网 | YxBaike.Com
小 结 医学百科网 | YxBaike.Com
首诊(左图):容易只诊断为曲霉菌感染,空洞内移动的霉菌球的表现很抢眼,但容易忽略洞壁局部增厚并与胸膜关系密切(大箭),左下肺门可见增大淋巴结(小箭); 医学百科网 | YxBaike.Com
四个月后复查(右图):空洞增大,洞壁明显不规则增厚,左下肺门淋巴结明显肿大;已经足以证明这是一例左下肺肺癌并曲霉菌感染,发生在癌性空洞内的寄生型肺曲霉病(肺曲霉球)。
第二例 医学百科网 | YxBaike.Com
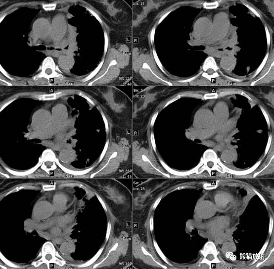
女,55岁,咳嗽1月余,胸闷近10天;血糖22.3mmol/L,尿糖(4 )。
外院CT示(无图像):左肺门大小约3.0*3.5cm软组织肿块,有强化,左肺门血管被包绕,左肺上叶支气管狭窄,左肺上、下叶均见多发斑片状高密度影,边缘模糊,密度不均,隆突下见肿大淋巴结,心包及左侧胸腔少量积液。提示:左肺占位并阻塞性肺炎,纵隔淋巴结肿大,心包及左侧少量胸腔积液。 医学百科网 | YxBaike.Com
在我院行胸部CT平扫(下图):
医学百科网 | YxBaike.Com
医学百科网 | YxBaike.Com
医学百科网 | YxBaike.Com
医学百科网 | YxBaike.Com
左主支气管不规则狭窄,腔内可见小结节样等密度灶;左肺阻塞性肺不张,多发炎性改变表现,纵隔多发增大淋巴结,依然不得不把中央型肺癌放在第一诊断,建议纤支镜检查。 医学百科网 | YxBaike.Com
纤支镜示:左主支气管外压性狭窄,进镜后可见大量白苔样坏死物,活检病理:(左肺活检)支气管粘膜慢性炎,局部纤维组织增生伴大量慢性炎细胞浸润,表面查见真菌(曲霉菌)菌丝及孢子,符合真菌感染。 免疫组化:CK -、CD68 -、P63 -;特染:PAS 、六胺银 -。 医学百科网 | YxBaike.Com
建议患者于呼吸内科进一步控制感染,感染好转后进一步明确肺占位性质。
医学百科网 | YxBaike.Com
抗真菌治疗; 医学百科网 | YxBaike.Com
一年后、两年后,多次复查无明显变化,表现如下图: 医学百科网 | YxBaike.Com
医学百科网 | YxBaike.Com
医学百科网 | YxBaike.Com
医学百科网 | YxBaike.Com
医学百科网 | YxBaike.Com
小 结 医学百科网 | YxBaike.Com
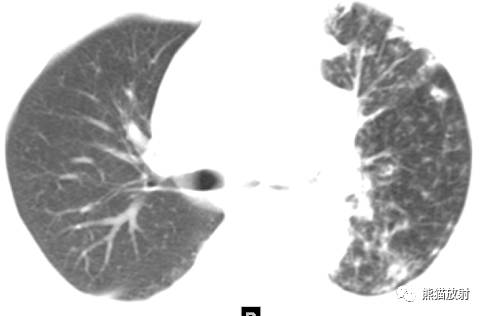
首诊(左图):左主支气管狭窄,气管内异常密度灶,左肺阻塞性肺不张,肺癌的诊断无法排除;但仔细观察肺窗(下图),左肺内纹理增多、增粗,沿纹理走行区可见多发斑点状、片状高密度灶,可见“树芽征”,这些表现并不支持肿瘤所致的阻塞性肺炎或癌性淋巴管炎。后经纤支镜检查确诊为支气管曲霉菌感染; 医学百科网 | YxBaike.Com
两年半后复查(右图):左肺支气管完全闭塞,左肺完全塌陷,长期随访无变化。
医学百科网 | YxBaike.Com
最后,本例应该可以除外肿瘤了,诊断为:曲霉性气管支气管炎(阻塞性)。 医学百科网 | YxBaike.Com
医学百科网 | YxBaike.Com
如上,工作中遇到的两个不错的病例,在这里总结、分享一下,希望大家也能从中有所收获。
多观察影像细节,综合分析,定性诊断留余地。 医学百科网 | YxBaike.Com
医学百科网 | YxBaike.Com
肺曲霉病 (pulmonary aspergillosis)
临床类型: 医学百科网 | YxBaike.Com
(1) 寄生型:包括肺曲霉球、寄生性支气管曲霉病,以前者最常见;曲霉球通常发生在已经存在的肺空洞病变内,如肺结核空洞、支气管扩张、肺囊肿、癌性空洞、强直性脊柱炎和结节病等所致肺纤维空洞等,偶见于胸膜腔和支气管残端,属于腐物性寄生;寄生型肺曲霉病仅有轻微组织炎症反应,但易造成病变剧围的血管损害。曲霉球本身由菌丝和坏死白细胞包绕而成。 医学百科网 | YxBaike.Com
(2) 过敏型:包括过敏性支气管曲霉病、外源性过敏性肺泡炎或称过敏性肺炎、支气管哮喘。还有学者主张从过敏性支气管曲霉病中分出支气管中性肉芽肿和黏液嵌塞型。
医学百科网 | YxBaike.Com
(3) 侵袭型:包括曲霉性气管支气管炎(进一步可区分阻塞性、坏死溃疡性、假膜性等)、急性和慢性侵袭性肺曲霉病、慢性坏死性肺曲霉病。侵袭性曲霉性气管支气管炎或称气道侵袭性曲霉病在组织学上必须是曲霉深达气道基底膜。慢性坏死性肺曲霉病也称为隐匿性侵袭性或半侵袭性肺曲霉病。也有人提出“血管侵袭性”一型,乃指曲霉所致血管栓塞和组织坏死,临床上该型与影像学显示液化和空洞的侵袭性肺曲霉病意义相同。 医学百科网 | YxBaike.Com
附件列表
词条内容仅供参考,如果您需要解决具体问题,请遵医嘱或咨询医师。
本站词条内容如果涉嫌侵权,请与客服联系,我们将及时进行处理。如需转载,请注明来源于www.yxbaike.com
如果您认为本词条还有待完善,请 编辑
上一篇 “马赛克征” 的影像表现与临床意义 下一篇 二手烟的肺竟然是这样的
