“卵壳状钙化征” 的影像表现与临床意义
【名词】 医学百科网 | YxBaike.Com
卵壳状钙化征
医学百科网 | YxBaike.Com
英文:egg-shell calcification。
同义词:蛋壳样钙化征。 医学百科网 | YxBaike.Com
肿块或肺门淋巴结的钙化出现在周围,表现为条状,虚线状或“C”字形,后逐渐发展 成为环形,状如蛋壳,称为蛋壳样钙化征,可见于硅沉着病、畸胎瘤、淋巴结结核、结节病 和淋巴瘤(尤其化疗后患者)等。每个卵壳状钙化的外周必须有一个明确环形状的壳壁,否 则不能称为之。一般认为软壳状钙化征是硅沉着病的特殊X线征象之一,可作为诊断各期 硅沉着病的参考指标。而在其他疾病中只是偶然可见,不具特殊性。
【影像表现】
医学百科网 | YxBaike.Com
—、X线表现
见图1。
医学百科网 | YxBaike.Com
(a)
医学百科网 | YxBaike.Com
(b)
图1 X线表现 前纵隔畸胎瘤:前中纵隔可见一类圆形高密度块影,边界清楚,形态规整, 似可见浅分叶征,团块左后上缘可见细条状钙化影 医学百科网 | YxBaike.Com
二、CT表现
见图2至图6。 医学百科网 | YxBaike.Com
医学百科网 | YxBaike.Com
医学百科网 | YxBaike.Com
图3硅沉着病淋巴结钙化:双肺上叶融合团块, 纵隔肺门淋巴结钙化,部分为环状钙化 医学百科网 | YxBaike.Com
医学百科网 | YxBaike.Com
图4纵隔淋巴结核:肺门淋巴 结肿大、融合,见多个环状钙化 医学百科网 | YxBaike.Com
医学百科网 | YxBaike.Com
图5腹主动脉瘤:腹主动脉局部 明显增大,管壁周围钙化
医学百科网 | YxBaike.Com
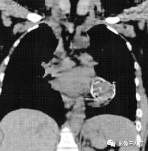
图6 畸胎瘤:胸部冠状面CT平扫可见中纵隔左心缘旁类圆形低密度影,边界清晰,其内密度不均匀,内部见骨样密度影,周边见壳状钙化
【病理机制】 医学百科网 | YxBaike.Com
硅沉着病患者,肺门淋巴结蛋壳样钙化,亦称淋巴结环形钙化,镜下见淋巴结包膜下有 大量钙质沉着,呈环状,因而命名蛋壳样钙化。其形成前肺门改变主要为增大,密度增浓, 结构紊乱,以后出现斑点雪花状阴影,阴影逐渐增大、增浓,发展成环状呈圆形、椭圆形、 半月形或不整形,有的壳壁较完整,有的壳壁呈断续的残缺状,中间可为空心也可为钙化 点,多个环形钙化相互重叠像葡萄成串分布于两肺门。蛋壳样钙化病理学上分为斑点状钙化 灶和浸润性钙化灶,化学定性分析为碳酸钙盐,这两种钙化灶都是在硅沉着病病变的基础上形成的。
【临床意义】
医学百科网 | YxBaike.Com
硅沉着病是由于长期吸入游离二氧化硅粉尘所致的以肺部弥漫性纤维化为主的全身性疾 病,是当前我国危害最严重的职业病之一。 医学百科网 | YxBaike.Com
在临床上按病程分型有三种形式:慢性硅沉着病、急性硅沉着病和介于两者之间的加速 性硅沉着病,这两种临床表现形式与接触粉尘浓度、硅沉着病含量与接尘年限有显著关系, 临床以慢性硅沉着病最为常见。还可依据X线胸片所见分为:I期,小结节阴影,结节数 量不多,线状-网状阴影;n期,结节分布明显,小结节数目多;in期,融合块状。还可按 病理形态学分型:①结节型,以弥漫性小结节为主,伴间质纤维化,X线胸片表现以类圆形 小阴影为主,伴有不规则形小阴影。②间质型,以间质纤维组织增生为主,X线胸片呈不规 则小阴影较明显,结节阴影少而细。③混合型,结节型与间质型同时存在。④融合块状型: 融合病灶达2cmXlcm,各型硅沉着病晚期皆可出现融合团块。一般早期可无症状或症状不 明显,随着病情的进展可出现多种症状。症状无特异性,而且症状轻重往往与硅沉着病病变 并不一致。气促常较早出现,呈进行性加重。早期常感胸闷、胸痛,胸痛较轻微,为胀痛、 隐痛或刺痛,与呼吸、体位及劳动无关。胸闷和气促的程度与病变的范围及性质有关。早期 由于吸入矽尘可出现刺激性咳嗽,并发感染或吸烟者可有咳痰。少数患者有血痰。合并肺结核、肺癌或支气管扩张症时可反复或大量咯血。患者尚可有头昏、乏力、失眠、心悸、胃纳 不佳等症状。硅沉着病的特点是两肺病变一般呈对称性。硅沉着病结节为硅沉着病的常见表 现,是诊断硅沉着病的依据。 医学百科网 | YxBaike.Com
肺门和纵隔淋巴结肿大是硅沉着病患者常见的CT征象,其肿大淋巴结的钙化表现可见 淋巴结外周部分的斑点状、桑葚样、蛋壳样的高度阴影。部分淋巴结可完全钙化呈钙化结 节,其中蛋壳样钙化最具有代表性(图2),是由于淋巴结包膜下的钙质弧形沉着所致, 钙化的淋巴结无破溃和坏死的表现。正常淋巴结在胸片上不易显示,肺门发生改变主要是由 于尘细胞在肺门淋巴结堆集、崩解引起纤维增生。在胸片上首先引起肺门阴影增大、增浓, 有时可见肿大的淋巴结凸出于肺门之外,往往使肺门角消失。纤维增生的淋巴结还可以发生 坏死钙化,钙盐沉积于淋巴结的包膜下,状如蛋壳(图3)。接触粉尘浓度较高的患者较 易出现肺门蛋壳状钙化。淋巴结钙化对结核来说是一种病变稳定及治愈的表现,虽然一些硅 沉着病病例统计研究说明,钙化患者较无钙化患者病程长,进展发生概率及其速度均较慢, 生存率也较高,而根据动物实验的病理变化,硅沉着病肺门淋巴结蛋壳样钙化后在钙化周围 仍看到含尘吞噬细胞说明肺脏对矽尘的反应继续在进行,不支持硅沉着病淋巴结钙化能够阻 止硅沉着病进展的说法。对于接触矽尘的工人或硅沉着病患者X线上肺门淋巴结出现蛋壳 样钙化应考虑可能与硅沉着病病变有关。
医学百科网 | YxBaike.Com
【鉴别诊断】 医学百科网 | YxBaike.Com
一、纵隔淋巴结核
纵隔淋巴结核可以是原发性肺结核的继续,肺内病灶消失而淋巴结肿大持续存在。老年 人免疫力降低时也可出现。纵隔淋巴结核的患者约61%有肺结核,可伴有低热、盗汗等结 核中毒症状。CT表现可为一组或几组淋巴结受累,最常见是右侧气管旁区,其次是右侧气 管支气管区、隆突下区。前纵隔淋巴结极少受累。受累的淋巴结可为孤立性、部分融合和完 全融合成单一的软组织块。淋巴结钙化对定性诊断有帮助,表现肺门区密集的多发结节状或 环状高密度影(图4)。其CT诊断鉴别主要依据好发部位、病灶内钙化和增强扫描病灶 内相对低密度区和环行增强,并密切结合临床有助于鉴别。
医学百科网 | YxBaike.Com
二、畸胎瘤 医学百科网 | YxBaike.Com
畸胎瘤系先天性肿瘤,来自原始胚胎组织的残留物,在胚胎发育过程中,随心、大血管 下降而人纵隔,以后逐渐演变而成。可分为囊性(皮样囊肿)和实质性两种。前者主要含有 外胚层衍生物如毛发及皮脂物,伴少量中胚层衍生物,多为良性;后者则含有内、中、外三 个胚层的衍生物如脂肪、毛发、牙、骨骼、腺体、呼吸道及胃肠道的组织等。可为良性或恶 性。早期无明显症状,肿瘤增长到一定大小时,有压迫周围脏器的表现。当肿瘤长大、感染 和恶变以及穿破周围组织器官时就产生相应的表现:①胸痛、胸闷和咳嗽。②穿破心包,引 起心包炎、心包积液。③穿破支气管和肺组织,则能咳出皮脂样物质。X线表现是肿瘤多位 于前纵隔中部、心与主动脉联接区,偶可发生于中后纵隔;多发现有特异的骨化和钙化,或 牙齿;肿瘤壁上可出现包壳样钙化;肿瘤内部可出现低密度的透光阴影(图1)。CT表 现为含液体的囊性占位(皮样囊肿)时,囊壁可有蛋壳样钙化(图6)。畸胎瘤CT表现 多不均匀,其内有脂肪、骨骼、牙齿、软组织,边缘光整。如肿瘤边缘不清,形态不规则, 短期内显著增大,则提示恶变可能。 医学百科网 | YxBaike.Com
三、肺内孤立性结节
医学百科网 | YxBaike.Com
按组织的生物学行为分为良性和恶性。由于生长方式、病理基础不同,两种结节的边缘及内部结构存在明显差异.恶性肺结节的X线特点:结节边缘不规则,可呈短小毛刺或深小 分叶,结节内部密度不均匀,可有小圆形透亮影即空泡征或小管状透亮影即小支气管充气 征、胸膜凹陷征、血管集中征和模糊绒毛影,可伴肺门、支气管旁和纵隔淋巴结增大。良性 结节的X线特点:肺内圆形或椭圆形结节阴影,密度较高而均匀,边缘光滑而锐利,部分结 节中可见钙化,钙化越多越提示良性,有文献报道,结节2年以上不增大或钙化呈弥漫,层 状,蛋壳样是良性结节的特征。 医学百科网 | YxBaike.Com
四、动脉瘤 医学百科网 | YxBaike.Com
动脉瘤的动脉内膜粥样硬化为周边条状或蛋壳样钙化(图5),这一征象对动脉瘤和 主动脉夹层的鉴别有重要价值。与畸胎瘤的鉴别都可见钙化灶和部分极低密度影,畸胎瘤钙 化多不规则,而动脉瘤多为壳状钙化,畸胎瘤内极低密度影多为脂肪,而动脉瘤内极低密度 影多为附壁血栓。 医学百科网 | YxBaike.Com
五、结节病
是一种原因不明的多系统肺干酪性肉芽肿性疾病,最常累及肺。其典型表现为肺门淋巴 结对称性肿大并肺部粟粒样改变。肺部病变多发生于肺门淋巴结肿大之后,常伴纵隔淋巴结 肿大。结节细小,直径1〜3mm,分布广泛而对称,经激素治疗后可吸收,不能吸收病灶发 生纤维化。少数病例淋巴结肿大过大致使供氧、供血不足,进而可形成囊变,发生坏死和边 缘钙化。其钙化可表现为爆米花状、蛋壳状等不定形态。与硅沉着病相比,其淋巴结肿大更 明显,钙化形态无固定发展规律且钙化较少见。 医学百科网 | YxBaike.Com
附件列表
词条内容仅供参考,如果您需要解决具体问题,请遵医嘱或咨询医师。
本站词条内容如果涉嫌侵权,请与客服联系,我们将及时进行处理。如需转载,请注明来源于www.yxbaike.com
如果您认为本词条还有待完善,请 编辑
上一篇 穿透性经纵隔损伤的影像学评估 下一篇 空洞为主要表现的肺真菌病7例CT影像征象
