感染性心肌炎1例MR影像表现解读
01 临床病史
男性,47岁,间断胸骨右缘刀割样疼痛3天,发作间隔约12h,每次疼痛持续时间1-2h,无明显诱因,可自行缓解,无发热、呼吸困难、反酸烧心、腹痛腹泻。查血常规正常,cTnI升高,32小时达峰。心电图示II、III、aVF、V2-V6导联ST段抬高,III、aVF导联Q波形成。目前生命体征平稳,无胸痛、心悸、大汗。发病前2周曾出现咽痛,伴流涕、干咳,休息2天后好转。既往高脂血症2年,未规律治疗。长期吸烟史。 医学百科网 | YxBaike.Com
02 影像检查
医学百科网 | YxBaike.Com
医学百科网 | YxBaike.Com
医学百科网 | YxBaike.Com
医学百科网 | YxBaike.Com
医学百科网 | YxBaike.Com
医学百科网 | YxBaike.Com
医学百科网 | YxBaike.Com
03 解读 医学百科网 | YxBaike.Com
1.患者入院后因优先选择以下哪些影像学检查(多选):
A.胸部X线片 医学百科网 | YxBaike.Com
B.胸部CT平扫
C.冠状动脉CT血管成像
D.心脏磁共振
E.超声心动图
F.核素心肌灌注显像
医学百科网 | YxBaike.Com
答案:CD
医学百科网 | YxBaike.Com
解析:患者主要表现为胸痛,心肌酶升高,心电图示ST段抬高、Q波形成,同时,患者中年男性,有高脂血症、吸烟史,需警惕冠心病可能。此外,患者发病前2周曾有可疑病毒感染史,需考虑感染性心肌炎可能。心脏磁共振能全面地评价心脏的结构形态、心室功能、心肌活性和炎性反应,无创、无辐射,对心肌炎诊断及鉴别诊断有很高的价值。冠状动脉CT血管成像对冠心病有较高的阳性预测值。胸部X线片、胸部CT及超声心动图无特征性改变。核素心肌灌注显像检测心肌炎症坏死的敏感性高,但特异性差,且有放射性,非一线检查方法。
医学百科网 | YxBaike.Com
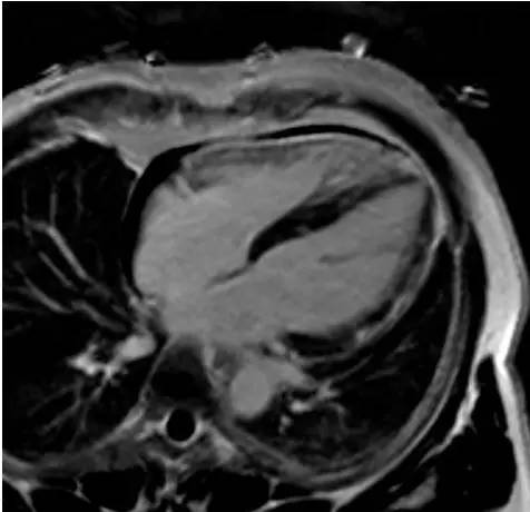
2. 患者行心脏磁共振检查,图像如下,可见哪些阳性表现(多选):
医学百科网 | YxBaike.Com
医学百科网 | YxBaike.Com
医学百科网 | YxBaike.Com
医学百科网 | YxBaike.Com
医学百科网 | YxBaike.Com
医学百科网 | YxBaike.Com
A.左室侧壁T2高信号
B.室间隔T2高信号
C.左室侧壁延迟强化,心外膜下为著
医学百科网 | YxBaike.Com
D.左室侧壁延迟强化,心内膜下为著
E.室间隔延迟强化,心肌中层为著
F.左室侧壁心肌灌注缺损
G.室间隔心肌灌注缺损
H.心包少量积液
医学百科网 | YxBaike.Com
答案:ABCEH
解析:电影序列舒张末期四腔心图像示心室形态未见明显异常。T2黑血序列短轴、四腔心图像示左室侧壁、室间隔多发片状T2高信号。短轴、四腔心图像示心肌静息首过灌注未见明显异常。延迟扫描短轴、四腔心图像示左室侧壁、室间隔心外膜下及心肌内多发条片状及斑片状延迟强化。
3. 患者行冠状动脉CTA检查未见明显异常,根据病史及影像学检查,患者最可能的诊断为(单选): 医学百科网 | YxBaike.Com
A.感染性心肌炎
B.感染性心内膜炎
C.风湿性心脏病
D.急性心肌梗死
E.陈旧性心肌梗死
F.特发型心肌病
医学百科网 | YxBaike.Com
答案:A 医学百科网 | YxBaike.Com
解析:患者T2黑血序列示左室侧壁、室间隔多发片状高信号,提示心肌炎性水肿,延迟强化扫描示左室侧壁、室间隔心外膜下及心肌内多发条片状及斑片状延迟强化,且病变分布与冠状动脉供血区域不符,结合心肌损伤表现和前驱感染症状,考虑感染性心肌炎可能性大。感染性心内膜炎、风湿性心脏病以瓣膜病变最为显著,心肌炎和心包炎相对少见。急性心梗早期亦可见T2高信号,但急性心梗和陈旧性心梗延迟强化以心内膜下为著,累及范围符合冠脉供血区域分布,心肌灌注扫描示灌注减低或缺损。特发型心肌病为排除性诊断,主要表现为心脏形态和功能特征性异常,如特发性扩张型心肌病表现为左心室或左右心室扩大可伴室壁普遍变薄,特发性肥厚型心肌病表现为左室壁增厚,特发型心肌病T2高信号少见。
4. 下一步的诊疗方案最合理的是(单选):
A.抗生素 医学百科网 | YxBaike.Com
B.抗病毒药物
C.对症支持治疗
D.急诊介入治疗
E.抗血小板药物
F.糖皮质激素
医学百科网 | YxBaike.Com
答案:C
解析:病毒性心肌炎以心肌保护、对症支持治疗为主,细菌性、真菌性心肌炎则同时应给予抗感染治疗。
04 诊断
医学百科网 | YxBaike.Com
感染性心肌炎
医学百科网 | YxBaike.Com
05 讨论
医学百科网 | YxBaike.Com
心肌炎(myocarditis)是指心肌的局限性或弥漫性的炎性病变为主要表现的疾病。根据病因可分为感染性与非感染性两大类。感染性心肌炎可由病毒、细菌、螺旋体、立克次体、真菌等引起。病毒性心肌炎(viral myocarditis)是感染性心肌炎最常见的类型,是嗜心肌病毒感染引起的以心肌非特异性间质性炎症为主要病变的心肌炎,以柯萨奇病毒和腺病毒最常见。
2013年欧洲心脏病年会(ESC)提出临床拟诊心肌炎的标准:
医学百科网 | YxBaike.Com
(1)临床表现:急性胸痛;数天至3个月内新发生的心衰;亚急性或慢性心衰急性加重;心悸,无明显诱因的心律失常、晕厥或心源性猝死;不能解释的心源性休克;
(2)辅助检查:心电图改变,ST-T改变、房室传导阻滞、异常Q波、室上性心动过速等;心肌损伤标志物,肌钙蛋白I或T升高;超声心动图或心脏磁共振示心脏结构和功能异常;心脏磁共振示心肌水肿和(或)典型延迟强化表现。疑似心肌炎的诊断标准:有≥1个临床表现并有辅助检查≥ 1项辅助检查异常者;若无临床症状,则需符合≥ 2项辅助检查异常者;同时均应排除其他疾病。 医学百科网 | YxBaike.Com
美国心脏病学会杂志(JACC)2009年心脏磁共振在心肌炎中的应用白皮书提出Lake Louise标准: 医学百科网 | YxBaike.Com
(1)T2WI示局部或全心心肌信号强度增高,提示心肌水肿;
(2)钆对比剂增强T1WI示心肌/骨骼肌早期强化率增高;
(3)钆对比剂反转恢复T1WI(LGE)示至少1处延迟强化灶,且病变分布与典型缺血性改变不符。
医学百科网 | YxBaike.Com
符合以上3 条中2条或以上时诊断成立。其中第3条提示心肌炎症引起的心肌损伤或瘢痕形成。若仅符合3条中1条或虽均不符合,但临床有证据高度疑似心肌炎,应在初次检查1-2周后复查心脏核磁。左室功能异常或心包积液为次要诊断依据。
其他影像学表现:(1)心腔不同程度的扩大;(2)心肌局部变薄,增强CT可见心肌局部低密度低强化灶;(3)超声心动图或心脏磁共振电影序列提示室壁运动减弱,舒张和收缩功能下降;(4)有研究提出病程急性期心脏磁共振表现以左室下侧壁心外膜下心肌斑片状延迟强化多见,延迟强化病灶在治疗过程中可能逐消散至消失,而慢性期以心肌壁内延迟强化多见。
附件列表
词条内容仅供参考,如果您需要解决具体问题,请遵医嘱或咨询医师。
本站词条内容如果涉嫌侵权,请与客服联系,我们将及时进行处理。如需转载,请注明来源于www.yxbaike.com
如果您认为本词条还有待完善,请 编辑
