蕈样肉芽肿1例肺部CT影像表现
案例:活动后呼吸困难,干咳一月余。 医学百科网 | YxBaike.Com
医学百科网 | YxBaike.Com
医学百科网 | YxBaike.Com
医学百科网 | YxBaike.Com
医学百科网 | YxBaike.Com
医学百科网 | YxBaike.Com
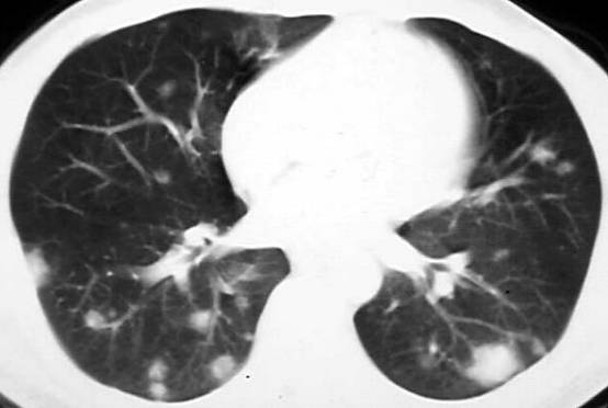
分析:蕈样肉芽肿是T细胞淋巴瘤的一种,早期主要发生在皮肤,表现为湿疹或牛皮癣样改变。随着病情进展,各个器官均有不同程度累及,最常见为淋巴结、肝和肺,约50%的患者有肺部受累。影像学表现多种多样,双肺多发的实性结节,片状致密影,或弥漫性网状结节样改变,可伴有胸腔积液,部分病程发展较快,与大叶性肺炎相似。
医学百科网 | YxBaike.Com
附件列表
词条内容仅供参考,如果您需要解决具体问题,请遵医嘱或咨询医师。
本站词条内容如果涉嫌侵权,请与客服联系,我们将及时进行处理。如需转载,请注明来源于www.yxbaike.com
如果您认为本词条还有待完善,请 编辑
上一篇 肺鳞癌肺内转移1例X线CT 下一篇 loffler综合征
