女性患者,有类风湿关节炎病史,指甲及唇部出现色素沉着,病因为何?
医脉通编译整理,未经授权不得转载。
案例简介
医学百科网 | YxBaike.Com
患者,女性,66岁,10年前确诊为类风湿关节炎(RA),因嘴唇及指趾甲色素沉着而就诊。在体格检查中,患者指(趾)甲发现黑色素沉着(图1和2),嘴唇和胫前区皮肤有棕色色素沉着(图3)。目前口服药物甲氨蝶呤(10 mg /周)和柳氮磺胺吡啶(2 g /天)治疗RA。家族史未见异常。
医学百科网 | YxBaike.Com
医学百科网 | YxBaike.Com
图1双脚指甲黑色素沉着 医学百科网 | YxBaike.Com
医学百科网 | YxBaike.Com
图2 双手指甲黑色素沉着
医学百科网 | YxBaike.Com
图3嘴唇上棕褐色色素沉着 医学百科网 | YxBaike.Com
医学百科网 | YxBaike.Com
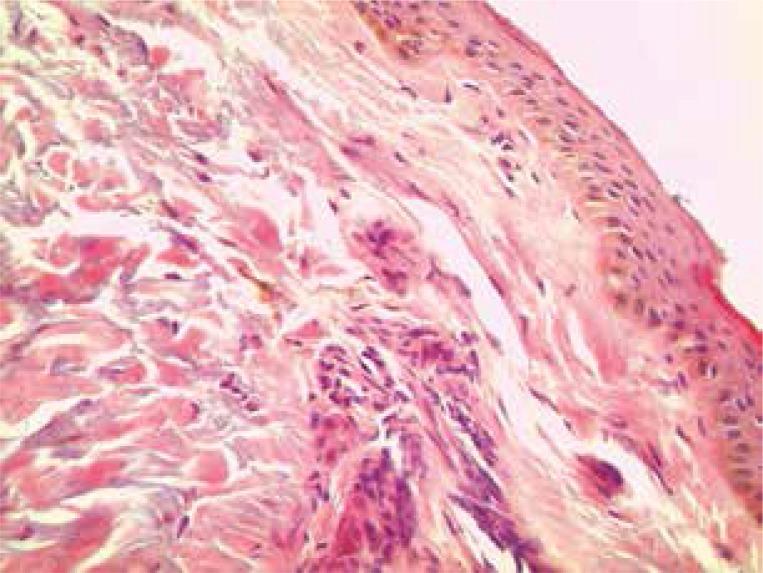
实验室检查血常规、生化指标及尿检结果均在正常范围内。类风湿因子、抗CCP和抗核抗体均为阴性,红细胞沉降率(ESR)为21 mm/h,C反应蛋白(CRP)水平为0.9 mg/dl。血浆皮质醇水平、促肾上腺皮质激素(ACTH)值和甲状腺功能均在正常范围内。肿瘤标志物筛查阴性,腹部超声、上消化道内镜、结肠镜、乳腺摄影均未发现异常。皮肤活检显示基底层黑色素沉积(图4)。
医学百科网 | YxBaike.Com
医学百科网 | YxBaike.Com
医学百科网 | YxBaike.Com
图4 皮肤活检显示基底层黑色素增加 医学百科网 | YxBaike.Com
医学百科网 | YxBaike.Com
基于临床症状及活检结果,诊断为Laugier-Hunziker综合征。 医学百科网 | YxBaike.Com
医学百科网 | YxBaike.Com
讨论 医学百科网 | YxBaike.Com
医学百科网 | YxBaike.Com
Laugier-Hunziker综合征是一种以黏膜皮肤色素沉着为特征的后天性疾病,好发于唇部和口腔,包括口腔黏膜、软腭、硬腭和牙龈,女性好发,男女发病比例为1:1.8。 医学百科网 | YxBaike.Com
医学百科网 | YxBaike.Com
虽然病因尚不完全清楚,有报道称,这可能与自身免疫和结缔组织疾病有关。文献中有2例干燥综合征患者经LHS确诊,但未见LHS合并RA的报道。
医学百科网 | YxBaike.Com
LHS的典型组织病理学表现为:均匀的色素改变,黑色素在基底角质形成细胞中沉积,黑素噬体在真皮中聚集,黑素细胞大小和数量正常,无非典型细胞存在。 医学百科网 | YxBaike.Com
医学百科网 | YxBaike.Com
LHS的鉴别诊断包括汞合金纹身、石墨纹身、血管瘤、黑色素瘤和痣、艾迪生病、药物反应、McCune-Albright综合征、神经纤维瘤病、Bandler综合征和Peutz-Jeghers综合征等。 医学百科网 | YxBaike.Com
医学百科网 | YxBaike.Com
LHS一般为良性病变,对患者身体健康无影响, 考虑美观问题,可采用激光或者冷冻治疗。由于治疗后可能出现复发,建议采取防晒措施以减少复发。
医学百科网 | YxBaike.Com
医学百科网 | YxBaike.Com
参考文献:Enginar AÜ, Karaman NS, Karakaş AA. Laugier-Hunziker syndrome in a patient with rheumatoid arthritis. Reumatologia. 2019;57(1):63‐65. doi:10.5114/reum.2019.83243 医学百科网 | YxBaike.Com
附件列表
词条内容仅供参考,如果您需要解决具体问题,请遵医嘱或咨询医师。
本站词条内容如果涉嫌侵权,请与客服联系,我们将及时进行处理。如需转载,请注明来源于www.yxbaike.com
如果您认为本词条还有待完善,请 编辑
