继发性肺结核1例CT影像表现分析
【临床资料】 医学百科网 | YxBaike.Com
男性,69岁。咳嗽、发热伴胸闷1个月,无明显咳痰,体温最髙39度,无寒战。肺癌三项检查指标正常;胸腔积液:漏出液,未见肿瘤细胞,CEA正常。 医学百科网 | YxBaike.Com
A
医学百科网 | YxBaike.Com
B
医学百科网 | YxBaike.Com
C
医学百科网 | YxBaike.Com D
【影像学检查】
医学百科网 | YxBaike.Com
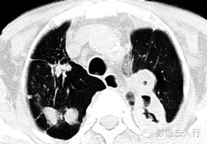
A.B.CT平扫示两上肺多发结节状、片状实变影,左上肺实变影内可见多发空洞,洞壁较厚,内外壁尚光整。纵隔内多发中小淋巴结影;
医学百科网 | YxBaike.Com
C.D.肺窗病灶边缘可见长毛刺影,周围可见斑片、条索状影。 医学百科网 | YxBaike.Com
【最后诊断】 医学百科网 | YxBaike.Com
继发性肺结核,肺穿刺:见大量坏死组织,未见肿瘤细胞;痰涂片结核杆菌阳性。 医学百科网 | YxBaike.Com
【诊断要点】 医学百科网 | YxBaike.Com
肺结核(pulmonary tuberculosis)是由结核杆菌在肺内引起的一种常见的慢性传染性疾病。分为五型:原发性肺结核(I型)、血行播散型肺结核(II型)、继发性肺结核(III型)、结核性胸膜炎(IV型)、其他肺外结核(V型)。继发性肺结核是肺结核中最常见的类型,大多见于成人,多为已静止的原发病灶的重新活动,即内源性,偶为外源性再感染。近年来由于老年性肺结核的增多,肺结核耐药性增加,抗生素及激素的使用,使其临床表现常不典型;痰检找到结核杆菌或痰培养阳性及纤维支气管镜检查发现结核性病变是诊断肺结核的可靠依据。 医学百科网 | YxBaike.Com
1.临床表现:典型表现为咳嗽、咳痰、咯血、午后低热及盗汗等症状。
2.X线表现:
继发性肺结核好发于两上肺,X线表现多种多样,可表现为渗出性病灶、增殖性病灶、干酪性病灶、纤维性病灶、钙化病灶、结核性空洞等各种基本病变,可以同时存在几种病变,以某一种表现为主。 医学百科网 | YxBaike.Com
3.CT表现: 医学百科网 | YxBaike.Com
1)浸润性肺结核:CT表现为斑点或斑片状实变,呈小叶性分布,其内可见不规则的多发空洞。
医学百科网 | YxBaike.Com
2)干酪性肺炎:表现为肺叶或肺段实变,轮廓清晰,其内可见大小不一的无壁空洞,有时可见“空气支气管征”,同侧或对侧肺内出现结核播散灶。 医学百科网 | YxBaike.Com
3)结核球:是指纤维包裹的干酪病灶直径>2 cm以上者,呈圆形或椭圆形,边缘多光滑,无分叶或浅分叶,病灶内有时可见小点状钙化或小空洞,周围常可见小斑点、小斑片状卫星灶及病灶周围炎,部分可见“胸膜凹陷征”。
医学百科网 | YxBaike.Com
4)空洞性肺结核:急性或亚急性期洞壁常呈厚壁,内缘不规则、形态不整;慢性期则洞壁变薄,内壁不光整,或演变为纤维硬壁空洞。一般无液平,多数病例空洞附近有散在的卫星灶,与空洞相邻的胸膜常有粘连或增厚。
医学百科网 | YxBaike.Com
5)慢性纤维性肺结核:以广泛纤维条索病灶为特征,多种病灶同时存在,可合并支气管扩张、肺气肿、纵隔、肺门向患侧移位等。 医学百科网 | YxBaike.Com
【分析思路】
诊断依据: 医学百科网 | YxBaike.Com
1.患者为老年男性,咳嗽、发热1个月,无明显咳痰,无寒战。 医学百科网 | YxBaike.Com
2.两上肺多发结节状密度增高影,结节灶周围可见斑片及条索状影,符合浸润性肺结核多种性状病灶影共存的特征。 医学百科网 | YxBaike.Com
3.结节灶周围粗长毛刺影提示炎性病灶。 医学百科网 | YxBaike.Com
4.肺实变灶内多发大小不一的空洞影是结核性空洞特点之一。 医学百科网 | YxBaike.Com
5.纵隔淋巴结肿大。 医学百科网 | YxBaike.Com
6.痰涂片:结核杆菌阳性。 医学百科网 | YxBaike.Com
鉴别诊断: 医学百科网 | YxBaike.Com
继发性肺结核由于机体抵抗力不同,病理及影像学表现多种多样,可与多种疾病的影像学表现类似,容易误诊。 医学百科网 | YxBaike.Com
1.以空洞为主的肺结核需与周围型肺癌的空洞相鉴别:周围型肺癌的空洞一般为厚壁空洞(壁厚度超过3 mm,多在5 mm以上),洞壁外缘呈肿瘤形态,洞壁内缘凹凸不平,有时可见壁结节;结核性空洞的洞壁可为薄壁亦可为厚壁,但洞壁内外多较光滑清晰,且空洞周围可见广泛的纤维灶及支气管播散病灶。 医学百科网 | YxBaike.Com
2.斑片状浸润性肺结核与非特异性炎症的鉴别:肺结核好发于两上肺,病灶密度不均匀,病变的边缘常可见散在的“腺泡结节影”或“玫瑰花结影”,而非特异性炎症病灶密度相对均匀。 医学百科网 | YxBaike.Com
附件列表
词条内容仅供参考,如果您需要解决具体问题,请遵医嘱或咨询医师。
本站词条内容如果涉嫌侵权,请与客服联系,我们将及时进行处理。如需转载,请注明来源于www.yxbaike.com
如果您认为本词条还有待完善,请 编辑
上一篇 冠状动脉解剖 下一篇 卖茶叶蛋收入比当医生高?张文宏:想赚大钱就别学医!
