肺纤维肉瘤1例CT影像表现
临床资料:年轻女性,以胸闷、胸痛不适就诊。
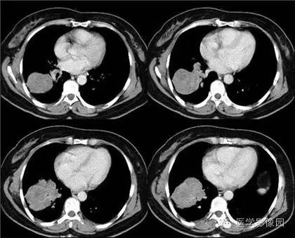
影像学表现:右肺下叶见浅分叶肿块,直径大于3厘米,内部密度不均,周围有裂隙,增强后有强化。 医学百科网 | YxBaike.Com
医学百科网 | YxBaike.Com
医学百科网 | YxBaike.Com
医学百科网 | YxBaike.Com
医学百科网 | YxBaike.Com
医学百科网 | YxBaike.Com
医学百科网 | YxBaike.Com
医学百科网 | YxBaike.Com
医学百科网 | YxBaike.Com
医学百科网 | YxBaike.Com
结果:肺纤维肉瘤 医学百科网 | YxBaike.Com
讨论 医学百科网 | YxBaike.Com
原发性的肺肉瘤在临床上比较少见,最常见的为纤维肉瘤、平滑肌肉瘤。软骨肉瘤、纤维平滑肌肉瘤、恶性血管外皮细胞瘤及癌肉瘤。较大的肉瘤在临床上可有咳嗽、痰中带血、胸闷、气短等表现,其症状在临床上与肺癌较难鉴别。从对发病人群的统计上来看肺肉瘤较多发生于40岁以下的年轻人,而肺癌多见于老年人,但近年来肺癌的发病年龄也有逐渐年轻化的报道。
医学百科网 | YxBaike.Com
肺肉瘤在影像上常表现为较大孤立肿块,边缘一般比较清楚,较少有毛刺,可有轻度分叶表现。较大的肿块内密度多不均匀,多为肿瘤坏死所致,也可见有肿瘤内部出血的表现,钙化极少见。增强扫描肿块多呈不均匀强化。一般如果不经任何治疗病程进展较快,可很快合并胸腔积液。纵隔淋巴结在病程发展早期可不明显,有少数病例可始终不出现肿大淋巴结。 医学百科网 | YxBaike.Com
鉴别方面,主要与周围型肺癌相鉴别。周围型肺癌有明显的肿瘤形态学特征,像毛刺征、凹脐征、兔耳征等。另外周围型肺癌一般不会出现孤立的大肿块,出现淋巴结转移及肺内转移均较早。此外,本病尚需与肺母细胞瘤、炎性肌纤维母细胞瘤鉴别,这三者都有肺内大肿块,边缘清晰、有分叶、增强后都有强化,CT鉴别困难。
附件列表
词条内容仅供参考,如果您需要解决具体问题,请遵医嘱或咨询医师。
本站词条内容如果涉嫌侵权,请与客服联系,我们将及时进行处理。如需转载,请注明来源于www.yxbaike.com
如果您认为本词条还有待完善,请 编辑
