肺泡微石症的影像诊断
肺泡微石症(pulmonary alveolar microlithiasis.PAM)是一种罕见的肺部慢性疾病,有明显的家族发病倾向,以肺泡内弥漫性分布含钙、磷的细微结石为特征,而体内钙磷代谢尚正常。 医学百科网 | YxBaike.Com
肺泡微石症于1918年由Harbita首先报道,1933年Puhr命名。发病年龄从早产儿至成人均有报道,以30~50岁居多,无性别差异。50%~77%有家族发病倾向,多限于同胞之间,曾有人提出与感染、淤血、钙代谢有关,但均无法证实。目前认为是一种常染色体隐性遗传病。 医学百科网 | YxBaike.Com
【病理】
肺泡微石症主要侵犯肺脏,使肺脏变硬,重量增加。切开肺脏时有沙粒摩擦感。病理检查可见直径0.02~3mm的微小结石,多数存在肺泡内,也可存在肺泡壁、细支气管、肺间质内。结石周围可见巨噬细胞,无明显的炎性反应,晚期常出现肺间质纤维化、肺大泡的表现,最后可发生肺动脉高压和肺心病。 医学百科网 | YxBaike.Com
【临床表现】
肺泡微石症的患者大多临床症状轻微,常在体检时发现。早期可有轻微的咳嗽,晚期可有发绀、气促、咳嗽加重、咯血、右心衰,甚至猝死。病情进展的快慢与感染有关。临床症状轻、客观检查重也是本病的特点。 医学百科网 | YxBaike.Com
【CT表现】
医学百科网 | YxBaike.Com
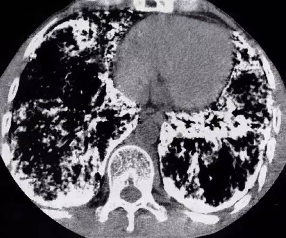
CT平扫肺窗均显示两肺实质内满布似沙粒状的高密度阴影,其中可见短条状高密度阴影呈放射状分布。肺内有微小结节并融化成大结节状,主要分布于中下肺野的外围。直径多在1mm左右。在紧邻纵隔或背侧的胸膜下区,粟粒结节甚至密集融合,形成大小不一的薄层致密带,融合微石的CT值200~400HU。出现不同程度肺气肿或肺大泡改变,呈广泛的胸膜下多发性微小囊泡,即肺边缘与胸壁之间有薄层气泡样透亮带,内见多个细条状间隔,从肺尖延续到肺底。有散在的间质纤维化,表现为不规则的细索条或网纹状影。因肺野密度普遍增高、衬托对比而形成支气管充气像,部分叶完全楔形实变(图1)。
医学百科网 | YxBaike.Com
纵隔窗示肺实质内绝大多数单个未融合的结节因局部容积效应及窗宽窗位的改变而未能显示,而上述紧邻胸膜处的密集融合结节影则显示为沿胸膜的线带状及散在的点簇状钙化影,与肋骨皮质密度近似,带状影的外侧缘沿脏层胸膜锐利连续,内侧缘模糊不规则,向肺内逐渐延伸变淡呈“火焰征”。若单独观察沿脏层胸膜的线样薄层集聚钙化影,颇似胸膜上涂布了一层钡剂,有人称之为“白描征”。同时,支气管血管束周围亦见零星点状钙化影,完全实变的肺段显示的大片钙化密度(图2)。 医学百科网 | YxBaike.Com
HRCT所见:更清晰地显示了肺内细微结构,肺野似磨玻璃样改变,肺内遍布无数的细点状钙化影,大小稍有差别,直径小者无法清晰显示,微石沿支气管血管束分布偏多,并伴部分小叶间隔增厚,同时合并肺气肿及间质纤维化(图3)。
医学百科网 | YxBaike.Com
图1肺泡微石症
医学百科网 | YxBaike.Com
双肺实质满布弥漫性砂粒状高密度影,双肺后部融合呈高密度片
医学百科网 | YxBaike.Com
图2肺泡微石症
医学百科网 | YxBaike.Com
双肺散在点簇状高密度影,双肺后部大片状,呈“火样征” 医学百科网 | YxBaike.Com
图3肺泡微石症
医学百科网 | YxBaike.Com
双肺弥漫性高密度影,以双肺下叶、后部为主 医学百科网 | YxBaike.Com
【鉴别诊断】 医学百科网 | YxBaike.Com
该病的下列诊断要点有助于与尘肺、含铁血黄素沉着、粟粒性肺结核等弥漫分布的间质结节病变鉴别:
医学百科网 | YxBaike.Com
(1)无明显症状及体征,无既往病史及粉尘接触史,血液钙、磷代谢检查无异常改变。 医学百科网 | YxBaike.Com
(2)典型的影像学表现,弥漫性的粟粒状高密度影分布规律为下肺多于上肺,肺外带多于肺内带,双侧后肋膈角最为密集。
(3)肺内影像学表现与临床症状不符,且病变进展缓慢,随访影像学检查变化不大。
(4)CT尤其是HRCT由于能显示微细结石的钙化密度,对本病的诊断起决定作用。 医学百科网 | YxBaike.Com
附件列表
词条内容仅供参考,如果您需要解决具体问题,请遵医嘱或咨询医师。
本站词条内容如果涉嫌侵权,请与客服联系,我们将及时进行处理。如需转载,请注明来源于www.yxbaike.com
如果您认为本词条还有待完善,请 编辑
上一篇 右冠状动脉异常起源1例CT影像表现 下一篇 肺内小结节的影像学特点和处理策略
