难治性小细胞肺癌脑膜转移伴脑转移瘤一例
作者:马玉超,肖建平,张红梅,万丽娟,刘姗,刘昂斯,北京协和医学院肿瘤医院
医学百科网 | YxBaike.Com
患者男性,44岁。因右肺小细胞肺癌放射治疗、药物化疗和预防性脑照射(PCI)后1年6个月,言语不利7天,于2015年8月13日入院。患者于2013年5月经我院胸部CT和支气管纤维镜活检确诊为右肺中央型小细胞肺癌,广泛期(侵犯上腔静脉,右肺动脉干,右锁骨上动脉,纵隔2、4、7区和右肺门淋巴结),2013年8月2日至10月12日予依托泊苷+顺铂化疗(EP方案),共治疗4个周期(具体剂量不详),根据实体瘤疗效评价标准(RECIST)疗效评价为疾病稳定;2013年11月11日至12月20日行胸部放射治疗,照射剂量为2Gy/次共30次,总剂量60Gy,疗效评价为部分缓解;2014年1月20日至2月16日予以环磷酰胺联合伊立替康(CPT-11)化疗2个周期(具体剂量不详),疗效评价为疾病稳定;2014年2月17-28日行预防性脑照射治疗,照射剂量2.50Gy/次共10次,总剂量为25Gy;2014年5月14日至6月7日再次行依托泊苷+顺铂化疗,共2个周期(具体剂量不详),疗效评价为疾病稳定。 医学百科网 | YxBaike.Com
此后患者定期复查,无明显不适。脑转移首次放射治疗2015年8月6日即预防性脑照射后1年6个月,因突发言语不利伴记忆力减退,以及间断性头痛、头晕入院。体格检查:神志清楚,言语不清,表情淡漠,对答尚切题,KPS评分为70分。实验室检查:肿瘤标志物神经元特异性烯醇化酶(NSE)20.42ng/ml(0~16.30ng/ml),其余各项指标均于正常值范围。 医学百科网 | YxBaike.Com
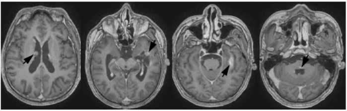
影像学检查:头部MRI检查(2015年8月14日)显示,左侧颞叶和脑室系统弥漫性异常信号结节,体积较大者位于左侧颞叶,约4.40 cm×3.70 cm,考虑为多发性脑膜转移瘤伴脑转移瘤(图1)。
医学百科网 | YxBaike.Com
图1首次放射治疗前头部MRI检查所见(2015年8月14日)1a横断面增强T1WI显示,双侧侧脑室旁弥漫性脑膜转移灶,呈局部强化征象(箭头所示)1b横断面增强T1WI显示,左侧颞叶和第四脑室旁大体积脑转移灶,呈局部强化征象(箭头所示) 医学百科网 | YxBaike.Com
脊椎MRI未见明显转移征象。胸部CT显示原发肿瘤灶无进展。腹部、盆腔CT未见颅外转移灶。由于肿瘤弥漫性分布于脑室系统,无法通过手术切除,且经多个疗程药物化疗后颅内病变仍进展,因此转入放射治疗科行脑部病灶局部放射治疗。靶区勾画方案:大体肿瘤体积(GTV1)为左侧颞叶大病灶,内收2mm形成Boost1;GTV2为脑室旁可见病灶;临床靶体积(CTVbrain)为全脑,外放6mm形成计划靶体积(PTVbrain)。行螺旋断层放射治疗,照射剂量:95%GTV1为3.50Gy/次共10次,总剂量为35Gy;95%Boost1为4.50Gy/次共10次,总剂量为45Gy;95%GTV2为2.50Gy/次共10次,总剂量为25Gy;95%PTVbrain为2Gy/次共10次,总剂量为20Gy。并于放射治疗当日予以替莫唑胺口服同步化疗,剂量为75mg/(m2·d)。放射治疗10次后患者言语不利症状好转,头部MRI检查左侧颞叶和脑室旁大病灶明显缩小(图2)。
医学百科网 | YxBaike.Com
医学百科网 | YxBaike.Com
图2首次放射治疗后横断面增强T1WI显示,脑膜转移灶及左侧颞叶脑转移瘤体积明显缩小(箭头所示)
医学百科网 | YxBaike.Com
医学百科网 | YxBaike.Com
进一步按照体积缩小后的肿瘤范围重新勾画GTV1和GTV2,进行第2疗程放射治疗,其照射剂量为:95%P2-GTV1为4Gy/次共5次,总剂量20Gy;95%P2-GTV22Gy/次共5次,总剂量10Gy。由于头部MRI显示脑室系统脑膜弥漫性转移,高度怀疑脑脊液播散,遂于2015年9月15日即放射治疗第2疗程后即刻行腰椎穿刺术,脑脊液细胞学呈阳性,可见肿瘤细胞,并出现精神障碍、易怒等症状,但脊椎MRI未见明显转移征象。 医学百科网 | YxBaike.Com
医学百科网 | YxBaike.Com
根据MRI和脑脊液检查结果,以及临床病情变化,2015年9月15-28日采取甲氨蝶呤(10mg/次)联合地塞米松(5mg/次)鞘内注射化疗方案,2次/周,共治疗5次,之后患者精神行为逐渐改善,脑脊液细胞学检查(2015年9月24日)未见肿瘤细胞。2015年10月13日至2016年3月25日予CPT-11联合顺铂化疗6个周期(21天为一周期)。药物化疗期间间断复查头部MRI(2015年10月至2016年1月),可见脑膜转移灶和脑转移灶始终处于完全缓解状态(图3)。脑转移第2次放射治疗2016年4月13日即首次放射治疗后7个月,再次出现记忆力减退,行走不稳,伴乏力、嗜睡症状,急诊入院。 医学百科网 | YxBaike.Com
医学百科网 | YxBaike.Com
图3首次放射治疗后随访期间,横断面增强T1WI显示颅内肿瘤维持完全缓解状态3a治疗后1个月(2015年10月19日)3b治疗后2个月(2015年11月26日)3c治疗后4个月(2016年1月11日) 医学百科网 | YxBaike.Com
入院后2天肿瘤标志物检查(2016年4月15日)NSE12.10ng/ml,MRI显示侧脑室旁新发异常信号结节,考虑多发转移瘤,侧脑室、第三脑室和第四脑室室管膜增厚,考虑室管膜转移可能(图4)。 医学百科网 | YxBaike.Com
图4第2次放射治疗前(2016年4月15日)头部MRI检查所见4a 横断面增强T1WI显示,放射治疗范围内侧脑室旁再次出现多发脑膜转移灶(箭头所示) 4b 横断面增强T1WI显示,左侧颞叶和第四脑室旁病灶未复发 医学百科网 | YxBaike.Com
医学百科网 | YxBaike.Com
腰椎穿刺脑脊液检查(2016年4月20日)压力180mmH2O(1mmH2O=9.81×10-3kPa,80~180mmH2O),细胞学再次呈阳性,可见肿瘤细胞,考虑肿瘤复发。因患者此次入院中枢神经系统症状较严重,于2016年4月20日至5月13日行鞘内注射化疗8次(治疗方案同前),复查脑脊液(2016年5月6日)压力为100mmH2O,细胞学转阴性。 医学百科网 | YxBaike.Com
医学百科网 | YxBaike.Com
2016年4月26日予以口服替莫唑胺75mg/(m2·d),维持治疗1个月。2016年5月4日再次行脑部病灶局部放射治疗,勾画双侧侧脑室旁脑膜复发灶、右侧侧脑室旁新发病灶为GTV,照射剂量:95%GTV3.50Gy/次共13次,总剂量45.50Gy。复查头部MRI(2016年6月25日)可见侧脑室旁病灶基本消失,脑组织呈放射治疗后改变,室管膜增厚区较前缩小(图5)。此后患者转至当地医院定期复查并治疗,最终于2016年12月(确诊小细胞肺癌3年6个月、脑转移16个月后)死亡,死因为颅外病变进展,全身脏器功能衰竭,但脑部病变未进展。 医学百科网 | YxBaike.Com
医学百科网 | YxBaike.Com
图5 第2次放射治疗后(2016年6月25日)横断面增强T1WI显示侧脑室旁复发的肿瘤已完全缓解
来源:马玉超,肖建平,张红梅,万丽娟,刘姗,刘昂斯.难治性小细胞肺癌脑膜转移伴脑转移瘤一例[J].中国现代神经疾病杂志,2019,19(11):870-875. 医学百科网 | YxBaike.Com
附件列表
词条内容仅供参考,如果您需要解决具体问题,请遵医嘱或咨询医师。
本站词条内容如果涉嫌侵权,请与客服联系,我们将及时进行处理。如需转载,请注明来源于www.yxbaike.com
如果您认为本词条还有待完善,请 编辑
