脑血管畸形
脑血管畸形是脑血管先天性、非肿瘤性发育异常。是指脑血管发育障碍而引起的脑局部血管数量和结构异常,并对正常脑血流产生影响。其破裂出血主要表现为脑内出血或血肿。其多见于年轻人,得到确诊年龄平均20-40岁。 医学百科网 | YxBaike.Com
医学百科网 | YxBaike.Com
脑血管畸形在没有发病的时候,是感觉不出来的,除非做脑血管造影检查,所以发病以前很少能得到诊断。由于畸形使得正常的血管出现了薄弱环节,在人情绪激动或其他可一刺激血压升高的时候(如醉酒、吸烟,高度紧张,甚至是性爱的时候),该处血管由于不能承受突然升高的压力而破损,也就是出血了。这时患者出现剧烈头痛,昏迷等症状,才会去就诊。如果出血不多,及时送医,还能救治,否则就有生命危险,或最终变成植物人。 医学百科网 | YxBaike.Com
医学百科网 | YxBaike.Com
脑血管畸形亦称血管瘤,非真性肿瘤,系先天性脑血管发育异常,临床上有多种类型,其中以动静脉畸形多见,根据畸形血管团直径的大小,临床分为大、中、小型病变。本病多见于男性,青年多见。临床表现以畸形血管破裂出血为最常见症状,部分病人以癫痫为首发症状;由于“盗血”现象,局限性脑缺血可致脑萎缩,智力减退、精神不正常可存在。如出血严重,出现脑疝,如不及时救治,常可致死。 医学百科网 | YxBaike.Com
本病治疗方法较多,其中手术切除病源最为理想。血管内介入治疗与γ-刀治疗是一种全新治疗方法。 医学百科网 | YxBaike.Com
医学百科网 | YxBaike.Com
医学百科网 | YxBaike.Com
脑血管畸形(cerebralvascularmalformations)有4种主要类型:动静脉畸形,海绵状血管瘤,静脉血管瘤和囊性动脉瘤。此外,可引起出血性脑卒中的其他脑血管病还有烟雾病、夹层动脉瘤等。
医学百科网 | YxBaike.Com
1、动静脉畸形(AVM)
又分为典型者和Galen大静脉畸形两种。典型AVM多位于大脑半球,也见于丘脑、基底节或脑干,数毫米至数厘米不等,是一团动脉和静脉杂乱的血管,没有毛细血管床。出现症状的年龄由新生儿至年长儿不等。
医学百科网 | YxBaike.Com
AVM未破裂前,可无任何症状;亦可有发育延缓、癫痫发作、头痛、偏瘫、视力障碍;体积大者可有颅内压增高、脑积水、进行性神经症状、头围增大、颅内血管杂音等。如AVM破裂,则发生出血性脑卒中、蛛网膜下腔出血或脑内出血。可有家族史,曾报道一家三代AVM,似为显性遗传(Larsen等,1997)。CT、MRI可显示脑的缺血灶、钙化灶、出血、囊变、脑室扩大等影像。治疗应手术切除,术前应作血管造影。 医学百科网 | YxBaike.Com
AVM的血管盗血现象值得注意(Sheth等,1995)。AVM的临床症状除因为占位和压迫以外,盗血也是重要的原因。由于AVM内部血管阻力低下,动脉血被分流到畸形内,使正常(甚至远隔)的脑组织灌注不良、慢性缺血,从而引起进行性神经功能缺陷。PET也证明此现象。
医学百科网 | YxBaike.Com
Galen大静脉畸形是脑的大动脉和Galen静脉之间有血管交通。可见于新生儿和婴儿。因血管壁较厚,故少见破裂出血。主要表现是由于大量血液被分流至畸形中。新生儿可有进行性高搏出量心力衰竭,生长发育受阻,往往误为先天性心脏病。颅内血管杂音明显。婴儿期可出现脑积水。病死率很高,约50%死亡。血液分流量不大者,心衰较轻,可有反复的一过性偏瘫。治疗困难,可进行分期手术。 医学百科网 | YxBaike.Com
医学百科网 | YxBaike.Com
2、先天性颅内囊性动脉瘤 医学百科网 | YxBaike.Com
在小儿较少见。主要发生于颅底部的颈内动脉分又,前、后交通动脉处,或椎基底动脉。动脉局部的弹力层和肌层变弱,而突出为瘤,一般在1cm以下。临床症状主要是急性蛛网膜下腔出血、脑实质出血或脑室内出血。未破裂之前则常被忽视,可有头痛及局部压迫症状,特别是颅神经麻痹。家族性囊性动脉瘤常为多发。本病也常伴全身病和其他血管病,如AVM、主动脉缩窄、多囊肾、烟雾病等。MRI和MRA可助诊断,但血管造影更为可靠。本病还应与获得性脑动脉瘤鉴别,如外伤性、感染性等。本病易有复发性出血,故应手术治疗。 医学百科网 | YxBaike.Com
医学百科网 | YxBaike.Com
3、静脉血管瘤
较常见,好发于大脑半球,多见于年长儿。主要表现是癫痫发作,罕见出血,也可能无症状。神经影像可见lmm至数cm直径的血管畸形、约15%有钙化。治疗以保守对症为主。
医学百科网 | YxBaike.Com
4、海绵状血管瘤
多见于大脑半球,为密集的薄壁血管。儿童期常无症状而被偶然发现。一般到年长儿或成人才出现症状,主要是癫痫、头痛、脑内出血。
医学百科网 | YxBaike.Com
CT可见桑椹状病灶。MRI的T2相显示中心明亮而围绕以暗环的影像。常见家族性病例,为显性遗传。本病也可见视网膜、肝、肾、皮肤的相似海绵状血管瘤。对于出血危俭性不大的病例可先观察,必要时手术。
血管畸形是颅内血管床的发育畸形;表现为颅内某一区域血管异常增多。目前一般分为4型:
① 动静脉畸形;
② 毛细血管扩张;
医学百科网 | YxBaike.Com
③ 静脉血管瘤和静脉曲张;
④ 海绵状血管瘤。其中以动静脉畸形最多见,约占半数以上。本节主要叙述动静脉畸形的情况。脑动静脉畸形多见于年青人,以20岁-40岁青壮年人发病率最高,男性比女性多见。胚胎期如有某种因素影响其原始脑血管网正常发育,毛细血管不健全,动静脉直接相通形成短路,发展成为脑动静脉畸形。 医学百科网 | YxBaike.Com
1、一般症状:搏动性头痛,位于病侧,可伴颅内血管杂音。
2、出血:常为首发症状,表现为蛛网膜下腔出血或脑内血肿。 医学百科网 | YxBaike.Com
3、癫痫:可为首发症状或见于出血后,多为全身性发作或局限性发作,局限性发作有定位意义。
4、局源症状:幕上病变者可有精神异常,偏瘫、失语、失读、失算等。幕下者多见眩晕、复视、眼颤及步态不稳等。
医学百科网 | YxBaike.Com
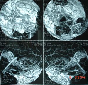
1、脑动脉造影 医学百科网 | YxBaike.Com
脑动静脉畸形有以下典型表现:①显示畸形血管。这是特征表现,呈一团管径相仿相互纠缠的迂曲扩张血管。畸形血管团的范围可小如指甲,大如手掌,多见大脑半球皮质.②异常粗大的供养动脉和引流静脉伴局部循环加快。此为局部血流短路的表现。③血流分流现象:造影剂随血流经畸形血管的短路大量流入静脉,因此,血管畸形部分因血流量增加而显影十分清楚。④血肿的表现:血管破裂出血致脑内血肿,血肿的主要表现为局部占位征象,一股脑部动静脉畸形无血肿时,脑血管不出现占位征象,脑血管不移位。 医学百科网 | YxBaike.Com
医学百科网 | YxBaike.Com
2、CT表现:
在脑动静脉畸形未破裂出血前有较典型的CT表现。在平扫,可见局灶性高低或低等混杂密度影,呈斑点、团块或条索状,边缘不清。其中高密度影为局灶胶质增生、血栓、钙化、新出血或畸形内缓慢血流和含铁血黄素沉着所致,低密度影则为小梗塞或陈旧出血,病灶周围有局限脑萎缩,没有明显占位效应,无周围脑水肿。部分病人平扫不能发现动静脉畸形,但注射造影剂,方能显示病灶。注射造影剂后,脑部动静脉畸形呈团块状强化,甚至可见迂曲血管影、供血动脉和引流静脉出血后的脑动静脉畸形则出现脑内血肿,蛛网膜下腔及脑室系统出血。根据出血时间长短表现高密度影、混杂密影及低密度影,血肿周围有低密度水肿区。同时有脑室受压变形及中线移位等占位效应。注射造影剂后,部分血肿边缘可出现畸形血管迂曲强化影,同时混杂密影血肿常有环状强化。
医学百科网 | YxBaike.Com
3、MRI表现
在脑部动静脉畸形的诊断上有较大优越性,尤其是后颅窝病灶,诊断价值大于CT。因此,当怀疑病人患有脑血管畸形时,MRI为首选的影像检查手段。①脑动静脉畸形的血管成分,表现为成团状、网状分布的无信号流空血管影。其中供血动脉,在T1和T2加权像上因流空现象而表现为低信号或无信号影。引流静脉则因血流缓馒,T1加权像呈低信号,T2加权像为高信号像。血管的钙化表现为低信号或无信号暗区。动静脉畸形中的血栓,在T1和T2加权像均表现为低信号夹杂等信号或高信号和低信号内夹杂高信号影。②动静脉畸形出血形成血肿,则表现为T1和T2加权像变化和其他原因所致血肿相似。亚急性期血肿,在T1和T2加权像上均为高信号,随时间延长,血肿在T1加权像上信号逐渐变为等信号或低信号,T2加权像上仍为高信号。
医学百科网 | YxBaike.Com
1、青少年患者,有头痛、癫痫和蛛网腔下腔出血史。
医学百科网 | YxBaike.Com
医学百科网 | YxBaike.Com
2、临床表现有急性颅内自发出血、或癫痫发作、或明显局源体征者。
医学百科网 | YxBaike.Com
3、头部CT:平扫病变常为低密度、周围亦有低密度,若脑内出血可见高密度,增强后血管区呈高密度,有时可见供血动脉和引流静脉。 医学百科网 | YxBaike.Com
4、头部MRI:优于CT,不仅能显示畸形血管及其周围脑组织,还可区别出血与钙化。MRI血管造影相可提高畸形血管团的诊断率。
医学百科网 | YxBaike.Com
5.脑血管造影:最可靠、最重要的诊断方法,动脉期可见血管团、供血动脉及早期显现的引流静脉。 医学百科网 | YxBaike.Com
治疗原则: 医学百科网 | YxBaike.Com
1、手术治疗。
2、血管内介入治疗。
3、立体定向放射治疗(γ-刀,X-刀)。
4、自发出血的治疗。
5、对症治疗。 医学百科网 | YxBaike.Com
用药原则: 医学百科网 | YxBaike.Com
1、自发出血者立即使用6-氨基己酸等止血药,降颅压以20%甘露醇或速尿为主,必要时使用人血白蛋白。 医学百科网 | YxBaike.Com
2、癫痫:一项长期的系统的治疗,根据癫痫类型,分别选用:苯妥英钠,丙戊酸钠,卡马西平等,必要时用巴比妥类药物。
医学百科网 | YxBaike.Com
3、对症及支持治疗。 医学百科网 | YxBaike.Com
辅助检查:
医学百科网 | YxBaike.Com
1、头颅平片显示颅内板受侵蚀及脑膜中动脉迂曲变宽,提示畸形血管可能。
2、头部CT可发现血肿及提供畸形血管的可能性。
医学百科网 | YxBaike.Com
3、头部磁共振:优于CT,不仅能显示畸形血管及其与周围脑组织的关系,还可区别出血与钙化。
4、脑血管造影是本病最可靠和主要的诊断方法,并能行血管内介入治疗。
医学百科网 | YxBaike.Com
一适应证
1、病人有下述情况之一,而造影检查确定畸形血管可以切除者:
⑴、自发性蛛网膜下腔出血史。
⑵、癫痫频发,药物治疗效果不佳者。 医学百科网 | YxBaike.Com
⑶、有进行性神经系统定位性损害症状或智力减退者(盗血综合征)。 医学百科网 | YxBaike.Com
⑷、合并颅内血肿或颅内高压者。
医学百科网 | YxBaike.Com
2、可采用下列手术方法治疗者:
⑴血肿清除术,适用于出血后有血肿的病人。如病人情况良好,可于术前行脑血管造影,术中同时作畸形血管切除术。如病情危重,可先清除血肿,待病情恢复后行脑血管造影,再行
⑵、畸形血管切除术,适用于有过出血,特别是反复出血者;由于脑盗血现象产生进行性轻偏瘫等进行性脑功能障碍及有顽固性癫痫发作而药物难以控制者。
⑶、供应动脉结扎术,适用于深在病变,涉及重要结构如脑干、深部大静脉等。但有多条供应动脉,仅结扎其中1-2条,不一定能起到治疗作用。 医学百科网 | YxBaike.Com
⑷、人工栓塞术,适用于广泛或多发性病变不能切除者,或用于广泛血管畸形切除术前,作为一种预备性手术。 医学百科网 | YxBaike.Com
二禁忌证
均为相对禁忌证,随着技术的改进,其中有些病例仍可手术治疗。
1、脑深部、内囊、基底节、脑干等处的动静脉畸形。
2、广泛性或多发性动静脉畸形。
3、无症状者。
4、60岁以上老年,伴有心、肾、呼吸系统严重疾病者。
三术前准备
1、由于有多发的可能,术前应作全脑血管造影或双侧颈动脉造影,或按畸形血管部位推测,加作椎动脉造影。典型的脑动静脉畸形包括供应动脉、畸形灶及引流静脉三部分。通过造影应查清供应动脉来源及引流静脉走向,畸形灶的部位及范围,有无血肿等合并症,以及病人有无它处畸形。才能制订出完善的手术计划,也是手术成功的关键。 医学百科网 | YxBaike.Com
2、对于复杂的动静脉畸形,为了对付术中大出血,备血要充足(较大的脑动静脉畸形应备血1500-2000ml),止血的器械及药物亦需齐全,可备两套吸引器。术前做好两处静脉输液,备好动脉输血器械。按全麻术前给药。 医学百科网 | YxBaike.Com
3、如有条件,手术应在可以造影的手术台上进行,以便必要时术中造影。 医学百科网 | YxBaike.Com
四麻醉
如病灶浅而小,估计术中易于处理者,可用局麻。对较复杂的脑动静脉畸形,手术最好在全麻下进行。一般在开颅时用气管内插管,对于复杂而困难的脑动静脉畸形可以在开始显露畸形血管时即予降压,并在整个手术主要过程中使收缩压稳定在10.7-12.0kPa(80-90mmHg)。 医学百科网 | YxBaike.Com
五手术步骤
1.准备性手术 对于颈动脉及其分支主干为脑动静脉畸形供应动脉的手术,术中欲控制颈动脉血液供应时,取仰卧位,头部转向健侧。局麻后,在甲状软骨平面,沿胸锁乳突肌前缘作纵形切口。切开颈阔肌,向外拉开胸锁乳突肌,切开颈动脉鞘,分离出颈内动脉,用胶皮圈绕过,但暂不阻断其血流。切口塞入干纱布保护好,以备术中必要时暂时控制出血。
医学百科网 | YxBaike.Com
2.体位、切口(以较多见的大脑半球额顶叶病灶为例) 病人侧卧,作额顶部大马蹄形切口,前方应能显露中央前回,并把整个病灶包括在手术视野中,切口中线在矢状线上,以便显露大脑半球纵裂。
3.开颅 按头皮颅骨瓣开颅常规处理,但要注意以下几点:①头皮、颅骨出血常较多,有时像脑膜瘤,故头皮要分段切开,认真止血;头皮和骨瓣可分别翻开。②如前中央回的粗大血管与硬脑膜明显粘连,不要勉强掀开,可以留下小块硬脑膜。③如掀开骨瓣时已经撕破血管,可用小块肌肉或明胶海绵压迫,并缝合于硬脑膜上,不可结扎血管,否则术后可发生偏瘫或癫痫。④头皮骨瓣形成后,将骨窗边缘出血处涂以骨蜡,渗血的静脉及蛛网膜粒用脑棉覆盖,可止血和预防气栓形成。
4.鉴定中央回及供血动脉 单凭解剖位置来确定运动区还不够准确,可用电刺激器来鉴定。主要供血动脉直径比正常动脉粗,血管壁比畸形血管 医学百科网 | YxBaike.Com
壁略厚,血管内主要系动脉血,符合造影片上的定位,可根据以上条件来确定。但有时由于动、静脉血相混,血管壁本身也具缺陷,无法确定时,用小镊子或动脉瘤夹夹住血管,观察片刻。如系动脉,其远端将变为蓝色静脉血;反之,如系静脉,则无此改变。 医学百科网 | YxBaike.Com
5.结扎供血动脉 确定动静脉畸形在大脑皮层的范围及供血动脉后,用银夹夹住或丝线结扎供血动脉,但应保留供应前中央回区域的血管。如主要供血动脉来自大脑中动脉,可先把侧裂小心分开,显露大脑中动脉,上血管夹暂时控制血运6-8分钟,迅速分出其供应血管瘤的分支,上银夹后切断,然后放开小血管夹。总之,应尽量把主要供血动脉结扎,而且越靠近血管瘤越好。此时,应可见到血管瘤变小及血管瘪缩,如未瘪缩,应考虑深部尚有主要供血动脉,分离时应注意显露并予处理。
医学百科网 | YxBaike.Com
6.分离血管瘤 在紧贴血管瘤的周围,电凝及切开皮层3-4mm深(已上银夹的动脉应予切断)。用脑压板(深部要用带灯脑压板或冷光源)及吸引器在直视下小心地分离边吸引,但绝不能盲目乱掏,以免引起汹涌出血。遇到较大血管,常用动脉瘤针带线作双重结扎后切断。也可双侧上银夹后在中间电凝并切断,但银夹必须比血管的直径长,如无大型银夹,可用脑动脉瘤夹。再逐步把畸形灶分离翻转,找到深部主要供血血管,牢固结扎后切断,即可摘除脑动静脉畸形灶。
医学百科网 | YxBaike.Com
7.瘤腔止血 血管瘤取出后,将活动性出血点用双极电凝或银夹止血。然后放入一团带线的湿脑棉,用吸引器吸引,使脑棉与瘤腔壁附着,待几分钟后,细心、缓慢地将脑棉掀起,渗血处耐心细致地用双极电凝分别止血。如此反复处理,出血即会停止。关颅前把生理盐水充满瘤腔,并再次观察有无渗血;如有,则继续处理,直至放在瘤腔内的生理盐水保持澄清,并在撤去降压药复压后或压迫颈静脉仍不出血为止。 医学百科网 | YxBaike.Com
8.关颅 紧密缝合硬膜脑,颅骨窗缘硬脑膜悬吊缝合。颅骨窗内硬脑膜过分松弛过,可作一硬脑膜悬吊线,从颅骨瓣相应部位钻一小孔,将悬吊线引至颅骨外,与骨膜缝合结扎,以尽量消灭硬脑膜外间隙,减少术后血肿形成的机会。硬脑膜下和硬脑膜外各放一引流管并另作切口引出。
1.手术计划应周密稳妥,一般原则是开颅后先设法找出其供应动脉,予以结扎,在切除畸形灶后再处理静脉。如病人情况恶化,即可停止手术,术后也可减轻症状。脑静脉畸形的静脉内充有动脉血而变红色,有时不易和动脉鉴别,此时误把静脉结扎,势必引起血管瘤更充血,甚至使管壁较薄的静脉胀破而出血。 医学百科网 | YxBaike.Com
医学百科网 | YxBaike.Com
2.大出血 脑血管瘤切除时,大出血的可能性是经常存在的,应按预定手术计划,在直视下细致操作,尽可能避免出血;如一旦发生出血,其主要原因往往是供血动脉未能妥善处理,此时,应根据造影片及术前计划显露供血动脉的主干(如大脑中动脉、大脑前动脉等),并用血管夹或动脉瘤夹控制。为了减少在显露供血动脉主干过程中继续出血,可请助手把绕过颈内动脉的胖子皮圈收紧,暂时阻断颈内动脉血流,但时间越短越好,如一时不能解决问题,可间断放松胶皮圈,以免时间过久,使脑组织缺血;或可把血压降至10.7-12.0kPa(80-90mmHg收缩压)。如供血动脉显露不良时,术者可用手指把已分出的血管瘤紧紧捏住,沉着而迅速地继续沿血管瘤分离,边分离边上银夹止血或双极电凝烧灼;助手则用吸引器清理手术野。把主要供血动脉结扎后,出血多可停止,同时应按估计失血量加快输血。但这是一种不得已才采取的措施。另一种大出血是“正常灌注压突破综合征”引起的,虽然少见,但如处理不当,常会使手术失败。当血管瘤供应动脉粗大时,动脉血经畸形灶血管直接导入静脉,使动脉内压降低及静脉内压升高,病变附近脑血管长期处于极度扩张及低压状态,使脑血管自动调节机能丧失。病变切除后,该区域的脑血管流量将随脑灌注压的上升而增加,导致正常灌注压突破综合征,表现为脑组织的急性肿胀、渗血甚至广泛出血。处理方法是延长降血压的时间,并增加降血压的幅度。如血管瘤位于额极、颞极等非重要功能部位,也可作较广泛的脑叶切除,直到脑组织不再渗血或出血。
3.休克 主要由于大出血所致,术中减少失血及等量输血是根本的预防方法。但如休克已经严重,输入足量全血仍不见迅速好转时,还要注意采取以下措施:①输入平衡液1000ml,再输入低分子(分子量10000-40000)右旋醣酐500-1000ml,以便扩大血容量;最近有采用氟碳人造血液,每次可输入500-1000ml,但有类过敏反应,过敏体质者一般不宜输入;②增加心收缩效应(可用异丙基肾上腺素或多巴胺等);③充分给氧;④适当降温;⑤应用大量激素(如静脉输入地塞米松等);⑥注意弥散性血管内凝血的可能,并给予必要的检查及处理。 医学百科网 | YxBaike.Com
4.术中找不到病灶 深部或较小的血管瘤有时不易寻找,因此,术前要认真分析和定位,选择正确的手术入路,术中应沿供应动脉耐心细致地追踪探查。如系一条主要供应动脉的小病灶,有时单纯结扎该动脉也可收到满意效果。必要时可用带有银夹的脑棉片(需黑丝线扎住,以防遗漏在切口内)塞入病灶附近处,在手术台上作正、侧位脑血管造影,判定病灶和银夹的距离以助寻找。 医学百科网 | YxBaike.Com
医学百科网 | YxBaike.Com
5.因颅内出血致脑疝而行紧急开颅手术的血管瘤病人,应以清除血肿、解除脑疝压迫、抢救生命为主要目标。术中如能发现血管瘤,则按上述要求步骤处理。如血管瘤范围广泛且供应动脉来源不清,则不可盲目切除血管瘤,防止导致大出血,危及病人生命。待病人情况稳定后,再行脑血管造影明确诊断,进行二次择期手术,切除血管瘤。 医学百科网 | YxBaike.Com
严密观察生命体征,注意有无颅内血肿、休克、脑水肿的发生,并作相应处理;对于术后继续降低血压以治疗“正常灌注压突破综合征”者,更应有专人治疗及护理,直至血压恢复正常 医学百科网 | YxBaike.Com
医学百科网 | YxBaike.Com
| 先天性脑血管畸形 | 乳糜泻 | 原发性腹膜后肿瘤 | 静脉曲张 | 大动脉炎 |
| 脑萎缩 | 雷诺氏病 | 乳糜泻 | 白塞氏病 | 多发性大动脉炎 |
附件列表
词条内容仅供参考,如果您需要解决具体问题,请遵医嘱或咨询医师。
本站词条内容如果涉嫌侵权,请与客服联系,我们将及时进行处理。如需转载,请注明来源于www.yxbaike.com











