肺转移瘤的13个不典型表现
1.孤立性肺转移瘤:
医学百科网 | YxBaike.Com
孤立性肺转移瘤约占2%-10%,较多见于黑色素瘤、结肠癌、肉瘤、滋养层细胞癌、肾癌、乳腺癌等。单个较大的结节肿块性病变多边缘光滑,密度均匀,与肺肉瘤相似。少数肺转移瘤形态不规则,呈分叶状,边缘毛糙或有棘状突起,与原发肺癌较难鉴别。 医学百科网 | YxBaike.Com
肿瘤的转移与肿瘤内微血管数量、微血管密度呈正相关,孤立性肺转移瘤多由血供丰富的原发瘤转移而来,多顺延原发瘤的强化程度和形式,可表现为多种形式的明显强化。 医学百科网 | YxBaike.Com
孤立性肺转移瘤不同程度地具有原发肿瘤的病理及生物学行为,导致其同原发肿瘤类似的影像学表现,并决定了其影像表现具有多样性。
当恶性肿瘤已确立又出现肺内单发结节时诊断既要区分其良、恶性质,还需鉴别是孤立性转移还是第二原发肿瘤,Cahan曾报道肺第二原发肿瘤发概率: 医学百科网 | YxBaike.Com
(1)原发肿瘤为鳞癌时,肺内肿瘤多为原发;
(2)原发为腺癌时肺内原发和转移的概率各半; 医学百科网 | YxBaike.Com
(3)原发为软组织肉癌、黑色素瘤、睾丸癌时肺内多为转移。
医学百科网 | YxBaike.Com
2.空洞或空泡样肺转移瘤:
原发灶多见于消化及呼吸系统,以鳞癌、腺癌、黑色素瘤、肉瘤、胚胎细胞瘤和移行细胞瘤多见,约占4%。转移性空洞形成机制可能与鳞癌中心角化物排空、腺癌黏液退变后黏液排空、肿瘤血供不足引起坏死、放化疗、肿瘤向支气管内侵犯形成活瓣等机制有关。 医学百科网 | YxBaike.Com
CT影像常多发,多为圆形,壁薄,光滑均匀,也可以表现为厚薄不一,肺门侧的壁较厚,外侧的壁薄,也可出现厚壁空洞,空洞壁常有明显强化。空洞性病变倾向于分布在胸膜下或叶间裂下,越靠近胸膜,空洞越小,直径较大的空洞多分布在肺的中带。厚壁空洞病变可随着病灶增大而出现分叶、毛刺及壁结节等恶性空洞的特点。
医学百科网 | YxBaike.Com
空洞性肺转移瘤变化快,短期内可见肿瘤增大、增多,有时可在治疗后自行消失。有学者认为空洞壁厚1-2mm及以下者不太符合缺血坏死所形成空洞的形态,因而称空泡更合适。空泡样转移瘤的瘤壁菲薄光滑,质均匀,可与肺纹理相连。

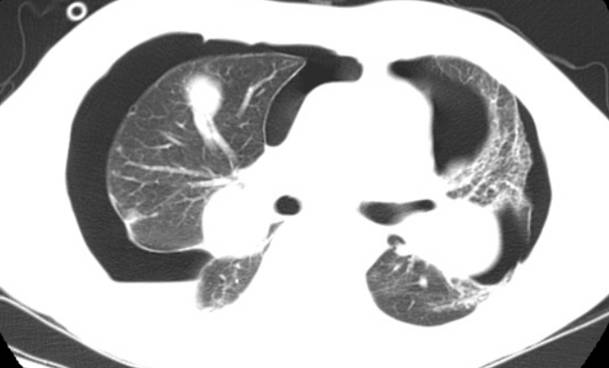
肺腺癌肺转移 医学百科网 | YxBaike.Com
医学百科网 | YxBaike.Com
牙龈癌肺转移
医学百科网 | YxBaike.Com
医学百科网 | YxBaike.Com
左侧背部的平滑肌肉瘤肺转移 医学百科网 | YxBaike.Com
医学百科网 | YxBaike.Com
食管鳞癌肺转移 医学百科网 | YxBaike.Com
3.钙化性肺转移:
主要见于骨肉瘤、软骨肉瘤、滑膜肉瘤、结肠癌、卵巢癌、乳腺癌、甲状腺癌的肺转移和治疗后的转移性绒癌。 医学百科网 | YxBaike.Com
转移瘤的组织学结构往往和原发肿瘤很相似。具体的钙化机制包括:骨形成、营养不良性钙化(肿瘤本身的缺血坏死、钙盐沉积)及分泌黏液蛋白肿瘤内黏液性钙化(见于胃肠道和乳腺黏液腺癌等)。 医学百科网 | YxBaike.Com
转移性钙化灶形态无特异性,多为数目较多的小的钙化点,以中下肺野多见;也可以是软组织密度的转移灶内较大的钙化斑(爆米花钙化)。诊断钙化性转移时首先应除外结核等感染性病灶、淋巴结及尘肺等的钙化。
医学百科网 | YxBaike.Com

医学百科网 | YxBaike.Com
骨肉瘤并两肺多发转移
医学百科网 | YxBaike.Com
医学百科网 | YxBaike.Com

医学百科网 | YxBaike.Com
医学百科网 | YxBaike.Com 4.自发性气胸:
医学百科网 | YxBaike.Com
肺转移瘤并发气胸较为罕见,多见于肉瘤特别是骨肉瘤或滑膜肉瘤肺转移,也见于具有侵袭性和坏死特点的肉瘤样肿瘤。 医学百科网 | YxBaike.Com
产生气胸的机理可能为贴近胸膜下的肿瘤组织坏死形成支气管胸膜瘘或支气管内膜转移阻塞气道、形成活瓣致远端肺泡过度膨胀破裂形成气胸。 医学百科网 | YxBaike.Com
CT上除气胸外,偶可见胸膜下小结节影。
当肺转移瘤并发自发性气胸,可提示原发灶的病理组织类型。
医学百科网 | YxBaike.Com
医学百科网 | YxBaike.Com 骨肉瘤术后右肺及胸膜转移、右侧自发性液气胸
医学百科网 | YxBaike.Com
5.气腔实变型肺转移: 医学百科网 | YxBaike.Com
肺转移瘤类似于肺炎型肺癌与肺炎性病变的生长与发展方式,可以沿完整的肺泡壁及间隔匍行生长,形成斑片状气腔实变表现。多暗示预后不良。 医学百科网 | YxBaike.Com
影像学表现为结节内充支气管征,实变区内“树枝状”含气支气管征,局灶或弥漫的磨玻璃密度增高影像,边缘伴有晕征的结节等。胃肠道腺癌常见,乳腺癌、肝癌、肾癌、绒毛膜癌、前列腺癌、卵巢癌也可以表现为这种类型。 医学百科网 | YxBaike.Com
6.支气管内膜转移:
约占2%,多系邻近的肺实质肿瘤或肺门、纵隔淋巴结的直接侵犯所致,或为癌性淋巴管炎引起的弥漫黏膜浸润。
医学百科网 | YxBaike.Com
其原发瘤通常为乳腺癌、直肠结肠癌、肾癌以及黑色素瘤等,少见的原发瘤部位有子宫颈、宫体等。
医学百科网 | YxBaike.Com
CT 表现为支气管内息肉样肿物,支气管壁增厚,管腔狭窄,可形成黏液栓,合并阻塞性肺炎或肺不张。与原发肺癌所致者酷似,易造成误诊或纵隔淋巴结可增大。有时在肺内其他处可见转移结节。 医学百科网 | YxBaike.Com

医学百科网 | YxBaike.Com
直肠癌支气管内膜转移 医学百科网 | YxBaike.Com
医学百科网 | YxBaike.Com
软骨肉瘤支气管内膜转移
医学百科网 | YxBaike.Com 
肾透明细胞癌支气管内膜转移 医学百科网 | YxBaike.Com
7.肿瘤性动脉栓塞: 医学百科网 | YxBaike.Com
在尸检恶性肿瘤发生率3%-26%,腺癌常见。原发灶多为肺癌、胃癌、乳腺癌、肾癌、绒癌、肝癌、前列腺癌等。与血行性转移瘤不同的是肿瘤性栓塞位于血管内,无血管外增殖,部分位于中小动脉,增强扫描表现为主肺动脉或叶、段肺动脉充盈缺损,小动脉分支突然截断和扭曲,偶可见亚段肺动脉内充盈缺损。 医学百科网 | YxBaike.Com
大量瘤细胞栓塞肺小动脉或毛细血管时可仅显示肺动脉高压征象。分为中心型栓子和周围型栓子,后者多见。前者与肺动脉栓塞不易区分,增强后见强化为其特点。 医学百科网 | YxBaike.Com
周围型肺动脉内瘤栓常位于胸膜下,肺动脉分支局部增粗、扭曲,可见树芽征,与小气道病变的气道树芽征鉴别是与其肺动脉相连。
医学百科网 | YxBaike.Com
血管内瘤栓常伴发于其他类型的肺转移,特别是癌性淋巴管炎。
当单独存在时,影像学上很难做出诊断。由于肿瘤患者较易发生血栓性静脉炎及肺的血栓栓塞,尽管在临床上这两种栓塞的治疗和预后与瘤栓截然不同,但它们与肿瘤栓塞之间的鉴别极为困难。 医学百科网 | YxBaike.Com

医学百科网 | YxBaike.Com
肉瘤样癌并动脉血栓、自发性气胸
医学百科网 | YxBaike.Com
医学百科网 | YxBaike.Com

女,41岁,右肺腺癌
医学百科网 | YxBaike.Com
8.栗粒型转移:
医学百科网 | YxBaike.Com
弥漫栗粒性转移颇似栗粒型肺结核,CT表现双肺弥漫多发、大小不等、密度不均、形态相似、边界清楚的结节,呈上肺野相对较少、中下肺野周边及肺底居多的分布,同时伴有纵隔淋巴结肿大及其他脏器转移,病理机制可能与肺血供上少下多,肺小动脉位于外周以及肿瘤栓子一次多量或短期多次进入血液有关。 医学百科网 | YxBaike.Com

甲状腺乳头状癌伴栗粒型肺转移 医学百科网 | YxBaike.Com
医学百科网 | YxBaike.Com
肺癌伴栗粒型肺转移 医学百科网 | YxBaike.Com
9.晕征: 医学百科网 | YxBaike.Com
即结节周围模糊影,肺结节病灶周围模糊影即晕圈征常代表伴有炎性渗出或伴有出血,对转移瘤则代表:
(1)瘤周出血; 医学百科网 | YxBaike.Com
(2)肿瘤细胞向周围浸润;
(3)支气管黏膜下转移导致阻塞性炎症。 医学百科网 | YxBaike.Com

医学百科网 | YxBaike.Com
血管肉瘤瘤周出血
10.转移瘤内血管扩张: 医学百科网 | YxBaike.Com
增强CT检查发现,转移性肺结节内有时可见扩张、扭曲的管状强化结构,系肿瘤血管,为肺动脉被肿瘤阻塞并扩大所致。
小的和中等大小的肺动脉呈分枝状结节样扩张,常见于肉瘤,如蜂窝状软骨肉瘤或平滑肌肉瘤。 医学百科网 | YxBaike.Com

医学百科网 | YxBaike.Com
11.净化转移和转移的自发消失:
医学百科网 | YxBaike.Com
净化转移是指肺转移结节经有效化疗后其大小保持稳定不变或缩小,组织学检查显示结节坏死伴或不伴纤维化,无残存恶性细胞的证据。睾丸癌、绒毛膜癌、生殖细胞肿瘤及偶尔其他恶性肿瘤的肺转移经化疗后可发生此种情况。除组织学检查外,临床上很难判断是否属净化转移。 医学百科网 | YxBaike.Com
肿瘤学标记物如人绒毛膜促性腺激素(β-HCG)、甲胎蛋白(AFP)的检测有助于确定其活性。PET检查结节的生物学活性也有助于鉴别诊断,必要时可行穿刺活检。绝少数情况下,原发瘤经手术切除、放疗或化疗后,肺转移瘤可自发性消失,其机理至今不明。 医学百科网 | YxBaike.Com
12.良性肿瘤肺转移:
医学百科网 | YxBaike.Com
在绝少数情况下,肺外良性肿瘤亦可发生肺转移,如子宫平滑肌瘤、子宫葡萄胎、骨巨细胞瘤、软骨母细胞瘤、腮腺多形性腺瘤及脑膜瘤等,其机制不明,可能系脱落细胞经血运迁移至肺所致。CT上除结节生长非常缓慢外,与一般转移结节无任何区别。
医学百科网 | YxBaike.Com
子宫肌瘤肺转移
医学百科网 | YxBaike.Com
13. 迟发性肺转移瘤:
医学百科网 | YxBaike.Com
可以根据肺转移瘤出现的时间,分为以下类型:
医学百科网 | YxBaike.Com
1)早发性肺转移瘤:原发病灶未发现之前出现的肺转移瘤; 医学百科网 | YxBaike.Com
2)即发性肺转移瘤:原发病灶发现3年以内出现的肺转移瘤;
3)晚发性肺转移瘤:原发病灶发现3-10年出现的肺转移瘤; 医学百科网 | YxBaike.Com
4)迟发性肺转移瘤:原发病灶发现10年以上出现的肺转移瘤。 医学百科网 | YxBaike.Com
肺转移瘤具有来源的多源性、病理机制的复杂性、肺血循环的双重性和影像表现的多样性,同一种原发肿瘤可表现为不同类型转移瘤,而不同原发肿瘤也可表现为同一类型转移瘤形态。 医学百科网 | YxBaike.Com
甲状腺癌肺部转移以粟粒型多见;滋养细胞癌肺部转移多数为边缘光整的肿块,少数为边缘模糊的云雾状,切除原发灶并加以合适的化疗, 病灶可短期内缩小甚至消失;肺空洞样转移瘤头颈部肿瘤或其它部位肉瘤多见,亦可见消化道和生殖细胞肿瘤;癌性淋巴管炎多见于乳腺及消化系统肿瘤;肺转移灶内出现钙化,特别是团块状或斑片状钙化,多见于成骨肉瘤和软骨肉瘤。 医学百科网 | YxBaike.Com
当原发病灶不能被发现,而以肺转移灶为首发症状和体征时,可结合具体情况有目的地寻找原发灶,尽快制定治疗方案。
医学百科网 | YxBaike.Com
附件列表
词条内容仅供参考,如果您需要解决具体问题,请遵医嘱或咨询医师。
本站词条内容如果涉嫌侵权,请与客服联系,我们将及时进行处理。如需转载,请注明来源于www.yxbaike.com
如果您认为本词条还有待完善,请 编辑
上一篇 气管切开拔管指征以及方法 下一篇 肺部”加农炮征”
