食道异物导致气管食管瘘1例
【病史】婴儿,吞入地板上发现的物品。
医学百科网 | YxBaike.Com
问题1. 医学百科网 | YxBaike.Com
根据所示图片,哪个选项是最合适? 医学百科网 | YxBaike.Com
A.侧位片检查以确保物体不在气管内 医学百科网 | YxBaike.Com
B.给果汁或牛奶使物体进入胃 医学百科网 | YxBaike.Com
C.引导呕吐
医学百科网 | YxBaike.Com
D.观察等待,物体(几乎总是)将正常通过胃肠道 医学百科网 | YxBaike.Com
E.医疗急救、马上介入
医学百科网 | YxBaike.Com
医学百科网 | YxBaike.Com
医学百科网 | YxBaike.Com
医学百科网 | YxBaike.Com
医学百科网 | YxBaike.Com
此为6天后CT图像(物体已经被移除)。
2.下面那个选项可解释影像表现?
医学百科网 | YxBaike.Com
A.食管重复畸形,现合并吞咽的硬币
医学百科网 | YxBaike.Com
B.先天性气管食管瘘,吞咽硬币后加剧 医学百科网 | YxBaike.Com
C.吞咽环形工业刀片导致获得性气管食管瘘 医学百科网 | YxBaike.Com
D.吞咽纽扣电池导致获得性气管食管瘘
医学百科网 | YxBaike.Com
E.吞咽瓶盖导致获得性气管食管瘘 医学百科网 | YxBaike.Com
【答案】1.E 2.D 医学百科网 | YxBaike.Com
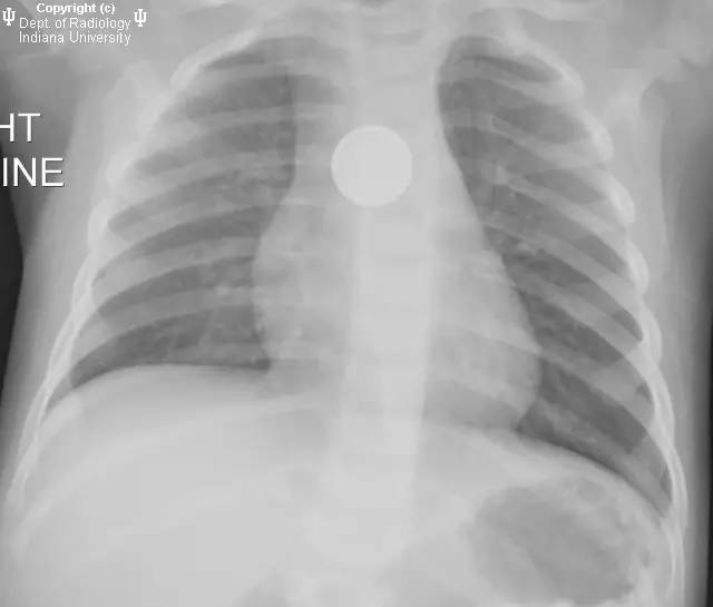
【影像学表现】
医学百科网 | YxBaike.Com
X线片示斜行的圆形不透良应,与食管中段重叠,符合纽扣电池。几天后CT发现较大气管食管瘘,与右主支气管沟通。
医学百科网 | YxBaike.Com
医学百科网 | YxBaike.Com
医学百科网 | YxBaike.Com
【诊断】钮扣电池腐蚀导致气管食管瘘。 医学百科网 | YxBaike.Com
Tracheoesophagealfistula secondary to button battery corrosion.
医学百科网 | YxBaike.Com
【讨论】 – 气管食管瘘(TEF) 医学百科网 | YxBaike.Com
- 气管食管瘘(TEF)是气管与食管之间的沟通,经常导致严重和致命的肺部并发症。此病可以是获得性或先天性。获得性TEF继发于创伤、憩室破裂、感染。纽扣电池对食管和胃粘膜具有很强的腐蚀性,是一种腐蚀性TEF。吞下纽扣电池存留在食道或胃内,应作为急诊处理。病例报告表明,TEF可在纽扣电池存留一小时内发生。任何残留异物都可引起TEF。食管异物其它并发症包括食管憩室、肉芽肿和脓肿形成。机械通气时间延长可发生插管后TEF。
- 其他创伤性TEF继发于穿透伤或严重钝性创伤。钝性外伤TEF在损伤后几天发生,继发于坏死。继发于气管插管或气管切开的TEF考虑为插管研磨或套囊压力导致坏死。
- 先天性TEF的发生率大约占新生儿1/2000-4000,常在新生儿和出生后第一个月发现。没有性别或种族偏好。
- TEF的症状是咳嗽、紫绀、反复肺部感染和相关并发症。
- 所有原因的TEF治疗均是手术。支持措施包括鼻胃管引流、气管切开、胃造瘘术、静脉补液和抗生素。
【影像学概述】 医学百科网 | YxBaike.Com
- 外伤性TEF胸片通常是最初的检查。可见吸入性肺炎等慢性改变。在急性期X线检查可正常或有食管内空气过多。
- TEF也可食道应用对比剂透视观察。另一种方法是用支气管镜或食道镜直接检查。
- CT显示一个连接食管和气管的气道。气管可充满空气。可有继发性改变,如吸入性肺炎。
附件列表
词条内容仅供参考,如果您需要解决具体问题,请遵医嘱或咨询医师。
本站词条内容如果涉嫌侵权,请与客服联系,我们将及时进行处理。如需转载,请注明来源于www.yxbaike.com
如果您认为本词条还有待完善,请 编辑
上一篇 胸廓出口综合征解剖、临床及影像学表现 下一篇 肺结核性空洞1例CT影像讨论分析
