医学百科网 | YxBaike.Com
医学百科网 | YxBaike.Com
医学百科网 | YxBaike.Com
医学百科网 | YxBaike.Com
医学百科网 | YxBaike.Com
医学百科网 | YxBaike.Com
医学百科网 | YxBaike.Com
医学百科网 | YxBaike.Com
医学百科网 | YxBaike.Com
医学百科网 | YxBaike.Com
医学百科网 | YxBaike.Com
医学百科网 | YxBaike.Com
医学百科网 | YxBaike.Com
医学百科网 | YxBaike.Com
医学百科网 | YxBaike.Com
医学百科网 | YxBaike.Com
医学百科网 | YxBaike.Com
医学百科网 | YxBaike.Com
医学百科网 | YxBaike.Com
医学百科网 | YxBaike.Com
医学百科网 | YxBaike.Com
医学百科网 | YxBaike.Com
医学百科网 | YxBaike.Com
医学百科网 | YxBaike.Com
医学百科网 | YxBaike.Com
医学百科网 | YxBaike.Com
医学百科网 | YxBaike.Com
(图片来自百度) 医学百科网 | YxBaike.Com
微 信 群 讨 论
医学百科网 | YxBaike.Com
一切∮随缘: 医学百科网 | YxBaike.Com
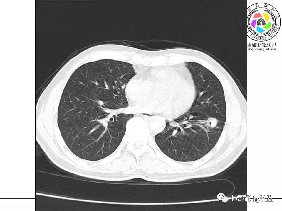
双肺弥漫小树丫,树丫边界清楚,右肺磨玻璃结节,病变包绕血管束,血管走形自然(考虑微浸润腺癌)。左肺下叶多发实性结节,结节以支气管血管束周围分布,大小均一,部分结节伴有空洞,洞壁内侧可见引流支气管及支气管壁增厚,洞壁外侧可见钙化,随访两个月有明显吸收,部分有残留小结节。中老年男性,无实验室检查。考虑:左肺炎性肉芽肿,结核,隐球,组织胞浆菌,NTM,建议完善实验室检查及支气管镜检查。 医学百科网 | YxBaike.Com
水晶石头: 医学百科网 | YxBaike.Com
患者中年男性,咳嗽咳痰两周。胸部CT:右肺上叶尖段不规则混合磨玻璃结节,见分叶、毛刺及血管穿行征象。左肺下叶前基底段沿支气管血管束分布外大内小片状实变、磨玻璃及空洞影,空洞壁薄,见平直、钙化征象。4月多后复查胸部CT,右肺上叶病灶变化不大,左肺下叶病灶明显吸收,遗留部分结节灶。期间治疗方案不详。综合考虑右肺上叶腺癌可能性大(微浸润至浸润),鉴别结核。左下肺炎性病变,结核可能性大,鉴别小细胞癌。 医学百科网 | YxBaike.Com
王秀仙: 医学百科网 | YxBaike.Com
右肺上叶混合性磨玻璃结节,边缘清晰,磨玻璃内可见多发小空泡,五个月后增大。左肺下叶空洞,周围多结节堆积。病灶见引流支气管,周围卫星灶。二元论:右肺上叶浸润性腺癌,左肺下叶结核。
Sugar阿Q: 医学百科网 | YxBaike.Com
右肺上叶混合磨玻璃结节,有分叶毛刺,复查有增大,高密度有增多,考虑肺腺癌。左肺下叶病灶,内见空洞且空洞内壁光滑,周围见花花草草,复查部分病灶有吸收,考虑炎性病变,结核? 医学百科网 | YxBaike.Com
傅昌瑜: 医学百科网 | YxBaike.Com
中年男性,咳嗽咳痰2周。CT:1.左下肺主病灶近圆形结节,内见空洞、钙化,周围索条、实变影,5个月后主病灶没有明显变化,周围病灶似有减少,考虑陈旧性病变;2.右上肺混合磨玻璃结节,见移动联通血管,边缘磨玻璃影边缘清楚,5个月后结节增大,考虑恶性肿瘤——IAC。 医学百科网 | YxBaike.Com
流心明智:
中年男性,咳嗽、咳痰2周。CT:1.左下肺主病灶类圆形结节,内见空洞,有引流支气管,周围索条、实变影,4个月后主病灶没有明显变化,周围病灶变化不大,考虑慢性炎性病变,TB?2.右上肺mGGN,实性成分不规则,血管进入,病灶边缘清楚,4个月后结节增大。考虑:腺癌,MIA? 医学百科网 | YxBaike.Com
大雄: 医学百科网 | YxBaike.Com
右上叶磨玻璃结节,边清,分叶,5个月进展,似有变大,实性成分增加。左下肺内前底段结节及周围渗出,内有钙化,5个月吸收缩小。意见:右肺IAC,左肺TB。
毛勤香:
医学百科网 | YxBaike.Com
右肺上叶混合磨玻璃结节,边缘清晰,分叶,血管进入稍增粗,隐约小空泡,约5月复查密度稍增高,考虑LPA;左肺下叶结节,新月形厚壁空洞,引流支气管稍增粗,钙化,周围树芽征,复查病灶变小,考虑结核。 医学百科网 | YxBaike.Com
小赵: 医学百科网 | YxBaike.Com
中年男性。第一次CT右肺上叶后段mGGN,边缘GGO边界清楚,其内血管影杂乱扭曲。左肺下叶前内基底段结节,边界清楚,其内见粗糙钙化,近肺门侧见空洞,似与近端支气管相通,并支气管壁似有增厚,周围见卫星灶、树芽征、纤维条索及胸膜牵拉征,临近叶间胸膜轻度增厚牵拉移位。4个多月后复查,右肺上叶结节实性成分似有增多,病灶似有增大。左肺下叶病灶明显缩小。考虑右肺上叶后段肺癌,腺癌可能性大(MIA或IAC);左肺下叶前内基底段结核。
丽:
右肺上叶磨玻璃结节,边界清晰,内可见血管穿行,复查后病灶明显增大,实性成分增多,考虑腺癌。另左肺下叶病灶,内可见空洞伴钙化,周围可见散在卫星灶及索条,复查后病灶缩小,考虑结核。
慎独: 医学百科网 | YxBaike.Com
右肺上叶后段混合磨玻璃结节,边界清晰,短毛刺、分叶,小叶阻挡,其内血管增粗、迂曲,考虑腺癌(IAC)。左肺下叶前基底段结节,可见厚壁空洞,内壁光整,可见引流支气管,壁可见钙化灶,边缘可见长毛刺、胸膜牵拉,周围卫星灶,考虑结核。
医学百科网 | YxBaike.Com
(图片来自百度) 医学百科网 | YxBaike.Com
病例结果 医学百科网 | YxBaike.Com
右上肺腺癌,左下肺结核 医学百科网 | YxBaike.Com
您诊断对了吗?
思考总结 医学百科网 | YxBaike.Com
当肺部有结核或炎性背景时,如果肺部某一区域出现孤立性的GGO结节或实性结节的时候,一定要警惕:一是需要仔细分析孤立性GGO或实性结节的影像特征,看结节边界GGO是否清楚?周围是否有卫星灶等?结节内血管改变?是否有增粗或结构扭曲?是否有空泡征,胸膜凹陷?结节收缩力?毛刺分叶征等等。二是必要时结合治疗后复查,对照结节的大小,密度,形态等改变再一步分析。三是需要按肺部结节指南进行随访。一定不能忽视!
医学百科网 | YxBaike.Com
编辑:赵永兵
审核:蔡笑燕 徐 晓
病例提供者:日照市结核病防治所呼吸科 冯连彩 医学百科网 | YxBaike.Com
